BMPR-II Antibody

Images

 
Genetic Strategies: Western Blot: BMPR-II Antibody [NBP1-32218] - Wild-type (WT) and BMPR2 knockout (KO) HeLa cell extracts (30 ug) were separated by 5% SDS-PAGE, and the membrane was blotted with BMPR2 antibody ...read more
Western Blot: BMPR-II Antibody [NBP1-32218] - Various whole cell extracts (30 ug) were separated by 5% SDS-PAGE, and the membrane was blotted with BMPR2 antibody [C1C3] diluted at 1:500. The HRP-conjugated anti-rabbit ...read more
Western Blot: Rabbit Polyclonal BMPR-II Antibody [NBP1-32218] - Bone lysate homogenate from goats. SDS-PAGE with 0.3 mg of total protein from the homogenate per well. BMP-2, NBP1-32218, was used at a dilution of 1:1000 ...read more
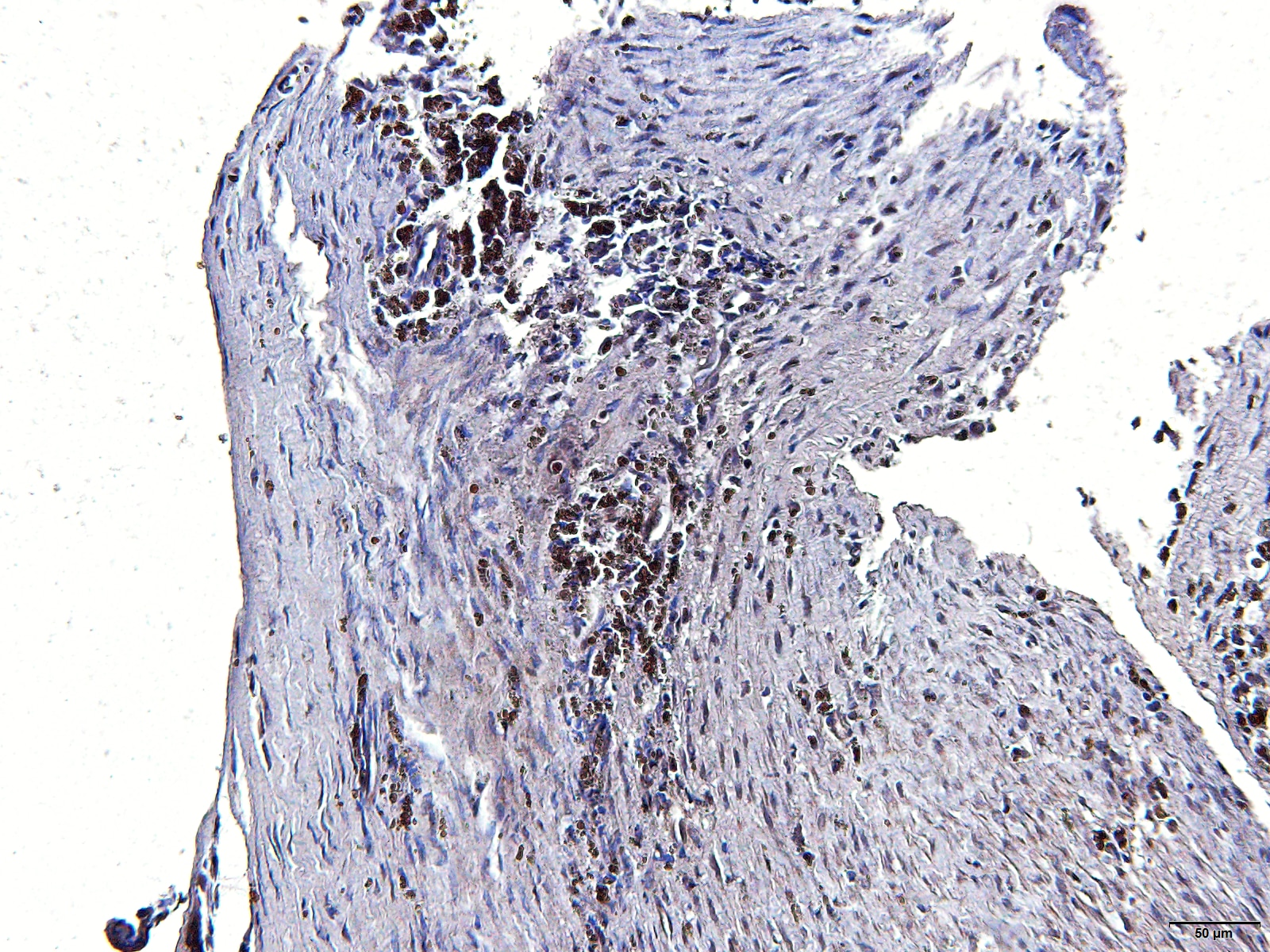
The sections of histological sections of goat bone fragments were deparaffinized, peroxidase blocked in methanol and 30% hydrogen peroxide (9:1), and antigen retrieval was performed with porcine gastric pepsin and HCl ...read more

Product Details

Summary
Reactivity Hu, Gt, Mu, Rt, Po, Bv, RM, ShSpecies Glossary
Applications WB, IHC, KO
Clonality
Polyclonal
Host
Rabbit
Conjugate
Unconjugated
Validated by:
     

Genetic Strategies

   

Order Details

BMPR-II Antibody Summary

Description
Novus Biologicals Knockout (KO) Validated Rabbit BMPR-II Antibody (NBP1-32218) is a polyclonal antibody validated for use in IHC and WB. All Novus Biologicals antibodies are covered by our 100% guarantee.
Immunogen
Recombinant protein encompassing a sequence within the C-terminus region of human BMPR-II. The exact sequence is proprietary.
Localization
Membrane
Predicted Species
Mouse (92%), Rat (92%), Porcine (92%), Bovine (93%), Rhesus Macaque (98%), Sheep (93%). Backed by our 100% Guarantee.
Isotype
IgG
Clonality
Polyclonal
Host
Rabbit
Gene
BMPR2
Purity
Antigen Affinity-purified
Innovator's Reward
Test in a species/application not listed above to receive a full credit towards a future purchase.

Applications/Dilutions

Dilutions
  • Immunohistochemistry Validated for IHC from a verified customer review.
  • Immunohistochemistry-Paraffin Validated for IHC-P from a verified customer review.
  • Knockout Validated
  • Western Blot 1:500-1:3000
Theoretical MW
115 kDa.
Disclaimer note: The observed molecular weight of the protein may vary from the listed predicted molecular weight due to post translational modifications, post translation cleavages, relative charges, and other experimental factors.
Reviewed Applications
Read 2 Reviews rated 5
using
NBP1-32218 in the following applications:

Reactivity Notes

Chicken (86%). Goat reactivity reported from a verified customer review.

Packaging, Storage & Formulations

Storage
Aliquot and store at -20C or -80C. Avoid freeze-thaw cycles.
Buffer
PBS, 1% BSA, 20% Glycerol
Preservative
0.025% Proclin 300
Purity
Antigen Affinity-purified

Alternate Names for BMPR-II Antibody

  • BMP type II receptor
  • BMP type-2 receptor
  • BMPR2
  • BMPR-2
  • BMPR3
  • BMPRII
  • BMPR-II
  • BMPR-IIprimary pulmonary hypertension 1
  • Bone morphogenetic protein receptor type II
  • bone morphogenetic protein receptor type-2
  • bone morphogenetic protein receptor, type II (serine/threonine kinase)
  • BRK-3
  • EC 2.7.11
  • EC 2.7.11.30
  • FLJ41585
  • FLJ76945
  • PPH1BMR2
  • T-ALK
  • type II activin receptor-like kinase
  • type II receptor for bone morphogenetic protein-4

Background

This gene encodes a member of the bone morphogenetic protein (BMP) receptor family of transmembrane serine/threonine kinases. The ligands of this receptor are BMPs, which are members of the TGF-beta superfamily. BMPs are involved in endochondral bone formation and embryogenesis. These proteins transduce their signals through the formation of heteromeric complexes of two different types of serine (threonine) kinase receptors: type I receptors of about 50-55 kD and type II receptors of about 70-80 kD. Type II receptors bind ligands in the absence of type I receptors, but they require their respective type I receptors for signaling, whereas type I receptors require their respective type II receptors for ligand binding. Mutations in this gene have been associated with primary pulmonary hypertension, both familial and fenfluramine-associated, and with pulmonary venoocclusive disease. [provided by RefSeq]

Limitations

This product is for research use only and is not approved for use in humans or in clinical diagnosis. Primary Antibodies are guaranteed for 1 year from date of receipt.

Customers Who Viewed This Item Also Viewed...

355-BM
Species: Hu, Mu, Rt
Applications: BA
314-BP
Species: Hu
Applications: BA, BA
354-BP
Species: Hu
Applications: BA
AF346
Species: Hu
Applications: IHC, WB
355-BM
Species: Hu, Mu, Rt
Applications: BA
MAB505
Species: Hu, Mu
Applications: WB
AF2039
Species: Hu
Applications: IHC, Simple Western, WB
NBP1-85533
Species: Hu
Applications: ICC/IF, IHC,  IHC-P, WB
NBP2-48615
Species: Hu
Applications: IHC,  IHC-P, WB
507-BP
Species: Hu
Applications: BA
354-BP
Species: Hu
Applications: BA
AF853
Species: Mu
Applications: IHC, WB
AF3025
Species: Hu
Applications: ELISA, ICC, WB
739-G9
Species: Mu
Applications: BA
NBP2-67394
Species: Hu, Mu, Rt
Applications: ICC/IF, IHC,  IHC-P, WB
AF2097
Species: Hu
Applications: ChIP, ICC, WB
NBP1-32218
Species: Hu, Gt, Mu, Rt, Po, Bv, RM, Sh
Applications: WB, IHC, KO

Publications for BMPR-II Antibody (NBP1-32218) (0)

There are no publications for BMPR-II Antibody (NBP1-32218).
By submitting your publication information earn gift cards and discounts for future purchases.

Reviews for BMPR-II Antibody (NBP1-32218) (2) 52

Average Rating: 5
(Based on 2 reviews)
We have 2 reviews tested in 1 species: Goat.

Reviews using NBP1-32218:
Filter by Applications
 IHC-P
(1)
WB
(1)
All Applications
Filter by Species
Goat
(2)
All Species
Images Ratings Applications Species Date Details
Immunohistochemistry-Paraffin BMPR-II NBP1-32218
Enlarge
5
reviewed by:
Verified Customer
 IHC-P Goat 07/29/2025
View

Summary

ApplicationImmunohistochemistry-Paraffin
Sample TestedBone Extracts,Bone
SpeciesGoat
Lot43118

Comments

CommentsValidation of an immunohistochemistry technique for goats
***Bio-Techne Response: This review reflects a new species or application tested on a primary antibody.***
Western Blot BMPR-II NBP1-32218
Enlarge
5
reviewed by:
Inácio Viana
WB Goat 05/13/2025
View

Summary

ApplicationWestern Blot
Sample TestedBone Extracts,Bone
SpeciesGoat
Lot43118 21/12/2024

Comments

Comments***Bio-Techne Response: This review reflects a new species or application tested on a primary antibody.***
Quantification of BMP-2 in bone graft in the tibia of intrailiac cellularized goats at different times compared with tibial autograft and untreated bone defect. Evaluation of pre-cellularized graft in the iliac crest in the treatment of bone defects in the tibia of goats. G1: cellularized graft for 4 weeks applied to the tibial bone defect, G2: cellularized graft for 6 weeks applied to the tibial bone defect, G3: cellularized graft for 8 weeks applied to the tibial bone defect, G4: tibial autograft and G5: untreated bone defect. All groups were evaluated 120 days after graft implantation.

Product General Protocols

Find general support by application which include: protocols, troubleshooting, illustrated assays, videos and webinars.

Video Protocols

WB Video Protocol

FAQs for BMPR-II Antibody (NBP1-32218) (0)

There are no specific FAQs related to this product. Read our general customer & technical service FAQs.

Customers Who Bought This Also Bought

Contact Information

Product PDFs

Calculators

Concentration Calculator

The concentration calculator allows you to quickly calculate the volume, mass or concentration of your vial. Simply enter your mass, volume, or concentration values for your reagent and the calculator will determine the rest.

=
÷

Recent Reviews

5
5
2
4
0
3
0
2
0
1
0

Verified Customer
07/29/2025
Application:  IHC-P
Species: Goat

Inácio Viana
05/13/2025
Application: WB
Species: Goat

Bioinformatics

Gene Symbol BMPR2