Blk Antibody (9D10B7)

Images

 
Western Blot: Blk Antibody (9D10B7) [NBP1-47499] - Analysis using BLK mouse mAb against truncated BLK recombinant protein Raji cell lysate.
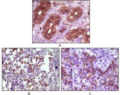
Immunohistochemistry-Paraffin: Blk Antibody (9D10B7) [NBP1-47499] - Analysis of human breast tissue (A), lymph tissue (B) and skin carcinoma (C), showing membrane localization using BLK mouse mAb with DAB staining.

Product Details

Summary
Product Discontinued
View other related Blk Primary Antibodies

Order Details


    • Catalog Number
      NBP1-47499
    • Availability
      Product Discontinued

    Can't find what you are looking for? Use our Antibody Concierge Service & we will help you locate your antibody!

    Or feel free to contact us for alternative products.

Blk Antibody (9D10B7) Summary

Immunogen
Purified recombinant fragment of BLK expressed in E. Coli.
Isotype
IgG1
Clonality
Monoclonal
Host
Mouse
Gene
BLK
Purity
Unpurified
Innovator's Reward
Test in a species/application not listed above to receive a full credit towards a future purchase.

Applications/Dilutions

Dilutions
  • ELISA 1:10000
  • Immunohistochemistry 1:10 - 1:500
  • Immunohistochemistry-Paraffin 1:200 - 1:1000
  • Western Blot 1:500 - 1:2000

Packaging, Storage & Formulations

Storage
Store at 4C short term. Aliquot and store at -20C long term. Avoid freeze-thaw cycles.
Buffer
Ascites
Preservative
0.03% Sodium Azide
Purity
Unpurified

Alternate Names for Blk Antibody (9D10B7)

  • B lymphocyte kinase
  • B lymphoid tyrosine kinase
  • BLK nonreceptor tyrosine kinase
  • Blk
  • EC 2.7.10.2
  • MGC10442
  • MODY11
  • p55-Blk
  • tyrosine-protein kinase Blk

Background

BLK ( B lymphoid tyrosine kinase), with 505-amino acid protein (about 56KDa), belongs to the Src non-receptor tyrosine kinases family.Different subcellular localizations of Src-family kinases may be important for the regulation of specific cellular processes such as mitogenesis, cytoskeletal organization, and membrane trafficking.Blk is expressed exclusively by B lymphocytes and it is thought to function in a signal transductory pathway specific to this lineage. B lymphoid expression of an active Blk mutant caused proliferation of B progenitor cells and enhanced responsiveness of these cells to interleukin 7. Thus, sustained activation of Blk induces responses normally associated with the pre-BCR.

Limitations

This product is for research use only and is not approved for use in humans or in clinical diagnosis. Primary Antibodies are guaranteed for 1 year from date of receipt.

Customers Who Viewed This Item Also Viewed...

AF3206
Species: Hu, Mu, Rt
Applications: ICC, Simple Western, WB
NB500-517
Species: Hu, Mu
Applications: ICC/IF, IHC,  IHC-P, IP, WB
AF2685
Species: Hu
Applications: IHC, Simple Western, WB
MAB7500
Species: Hu
Applications: ICC, WB
NBP1-32945
Species: Hu, Mu, Rt
Applications: ICC/IF, IHC,  IHC-P, IP, WB
NBP1-85677
Species: Hu
Applications: ICC/IF, IHC,  IHC-P, WB
NB100-1092
Species: Hu, Mu
Applications: ChIP, Flow, KD, PEP-ELISA, WB
NBP1-78295
Species: Hu, Mu
Applications: Flow, ICC/IF, IHC,  IHC-P, WB
MAB3487
Species: Hu, Mu
Applications: Flow, ICC, IHC, mIF, Simple Western, WB
7268-CT
Species: Hu
Applications: BA
MAB6210
Species: Hu
Applications: Simple Western, WB
NBP1-88714
Species: Hu
Applications: IHC,  IHC-P
AF5129
Species: Hu
Applications: WB
NB100-64347
Species: Hu
Applications: Flow, IHC, IHC-Fr,  IHC-P
NBP2-79843
Species: Hu
Applications: CyTOF-ready, ELISA, Flow, ICC/IF, IHC,  IHC-P, PA, WB
MAB3915
Species: Hu, Mu
Applications: WB
AF6814
Species: Mu
Applications: CyTOF-ready, Flow, ICC, WB
NB100-524
Species: Hu, Mu
Applications: Flow-IC, Flow, ICC/IF, IHC, IHC-Fr,  IHC-P, IP, WB
NBP1-77533
Species: Hu, Mu, Rt
Applications: CyTOF-ready, Flow-IC, Flow, ICC/IF, IHC,  IHC-P, IP, Simple Western, WB

Publications for Blk Antibody (NBP1-47499) (0)

There are no publications for Blk Antibody (NBP1-47499).
By submitting your publication information earn gift cards and discounts for future purchases.

Reviews for Blk Antibody (NBP1-47499) (0)

There are no reviews for Blk Antibody (NBP1-47499). By submitting a review you will receive an Amazon e-Gift Card or Novus Product Discount.
  • Review with no image -- $10/€7/£6/$10 CAD/¥70 Yuan/¥1110 Yen
  • Review with an image -- $25/€18/£15/$25 CAD/¥150 Yuan/¥2500 Yen

Product General Protocols

Find general support by application which include: protocols, troubleshooting, illustrated assays, videos and webinars.

Video Protocols

WB Video Protocol

FAQs for Blk Antibody (NBP1-47499) (0)

There are no specific FAQs related to this product. Read our general customer & technical service FAQs.

Secondary Antibodies

 

Isotype Controls

Additional Blk Products

Research Areas for Blk Antibody (NBP1-47499)

Find related products by research area.

Blogs on Blk

There are no specific blogs for Blk, but you can read our latest blog posts.

Contact Information

Product PDFs

Calculators

Concentration Calculator

The concentration calculator allows you to quickly calculate the volume, mass or concentration of your vial. Simply enter your mass, volume, or concentration values for your reagent and the calculator will determine the rest.

=
÷

Review this Product

Be the first to review our Blk Antibody (9D10B7) and receive a gift card or discount.

Bioinformatics

Gene Symbol BLK
Entrez