BLCAP Antibody (4E1)

Images

 
Western Blot: BLCAP Antibody (4E1) [NBP2-75420] - Analysis of BLCAP on recombinant protein tissue lysate using anti-BLCAP antibody at 1/5,000 dilution.
Immunocytochemistry/ Immunofluorescence: BLCAP Antibody (4E1) [NBP2-75420] - Staining BLCAP (green) in HepG2 cells. The nuclear counter stain is DAPI (blue). Cells were fixed in paraformaldehyde, permeabilised with ...read more
Immunohistochemistry-Paraffin: BLCAP Antibody (4E1) [NBP2-75420] - Analysis of paraffin-embedded rat cervix tissue using anti-BLCAP antibody. Counter stained with hematoxylin.
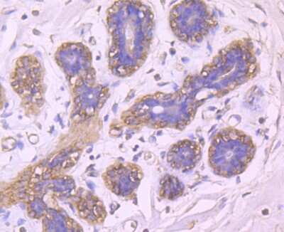
Immunohistochemistry-Paraffin: BLCAP Antibody (4E1) [NBP2-75420] - Analysis of paraffin-embedded human breast tissue using anti-BLCAP antibody. Counter stained with hematoxylin.

Product Details

Summary
Product Discontinued
View other related BLCAP Primary Antibodies

Order Details


    • Catalog Number
      NBP2-75420
    • Availability
      Product Discontinued

    Can't find what you are looking for? Use our Antibody Concierge Service & we will help you locate your antibody!

    Or feel free to contact us for alternative products.

BLCAP Antibody (4E1) Summary

Immunogen
Synthetic peptide within Human BLCAP aa 38-87 / 87. (SwissProt: P62952 Human; SwissProt: P62950 Rat)
Localization
Membrane.
Isotype
IgG2a
Clonality
Monoclonal
Host
Mouse
Gene
BLCAP
Purity
Protein G purified
Innovator's Reward
Test in a species/application not listed above to receive a full credit towards a future purchase.

Applications/Dilutions

Dilutions
  • Immunocytochemistry/ Immunofluorescence 1:50-1:200
  • Immunohistochemistry
  • Immunohistochemistry-Paraffin 1:50-1:200
  • Western Blot 1:1000-1:2000

Packaging, Storage & Formulations

Storage
Store at 4C short term. Aliquot and store at -20C long term. Avoid freeze-thaw cycles.
Buffer
PBS (pH7.4), 0.2% BSA, 50% Glycerol
Preservative
0.05% Sodium Azide
Concentration
2 mg/ml
Purity
Protein G purified

Alternate Names for BLCAP Antibody (4E1)

  • Bc10
  • BC10Bladder cancer 10 kDa protein
  • bladder cancer associated protein
  • bladder cancer related protein (10kD)
  • bladder cancer-associated protein

Background

BLCAP is encoded by this gene was identified using a differential display procedure with tumor biopsies obtained from a noninvasive and an invasive bladder transitional cell carcinoma. Although database searches revealed no homology to any human gene at the time of identification, mouse, rat and zebrafish orthologs have since been identified. The function of this differentially expressed protein is not yet known but it appears to be down-regulated during bladder cancer progression. [provided by RefSeq].

Limitations

This product is for research use only and is not approved for use in humans or in clinical diagnosis. Primary Antibodies are guaranteed for 1 year from date of receipt.

Customers Who Viewed This Item Also Viewed...

H00004826-P01
Species: Hu
Applications: ELISA, AP, PA, WB
NBP1-90242
Species: Hu
Applications: ICC/IF, IHC,  IHC-P, KD, WB
NBP2-43685
Species: Hu
Applications: WB
NBP2-29463
Species: Pm, Hu, Pm, Mu
Applications: Flow, ICC/IF, IHC,  IHC-P, WB
NBP1-87404
Species: Hu, Mu, Rt
Applications: Flow, ICC/IF, IHC,  IHC-P, KD, WB
H00002316-M01
Species: Hu, Mu, Rt
Applications: ELISA, ICC/IF, IHC,  IHC-P, PLA, WB
NB100-93325
Species: Hu
Applications: ICC/IF, IP, WB
H00000104-B01P
Species: Hu
Applications: ICC/IF, WB
NB100-56098
Species: Ca, Hu, Mu, Rt
Applications: IHC,  IHC-P, IP, WB
NB100-56104
Species: Ca, Hu, Mu, Rt
Applications: IHC, IHC-Fr,  IHC-P, IP, WB
NBP2-75510
Species: Hu, Mu, Rt
Applications: ICC/IF, IHC,  IHC-P, IP, WB
AF1436
Species: Mu
Applications: WB
NBP2-24915
Species: Bv, Hu, Mu, Rt
Applications: IHC,  IHC-P, WB
NBP2-46085
Species: Hu
Applications: IHC,  IHC-P, WB
NB200-103
Species: Hu, Mu, Rt, Xp(-), Ye
Applications: CyTOF-ready, ELISA, Flow-IC, Flow, ICC/IF, IHC, IHC-Fr,  IHC-P, IP, WB
NLS892
Species: Bt, Bv, Ca, Ha, Hu, Mu, Po, Rb, Rt
Applications: ICC, IHC,  IHC-P, WB
AF1443
Species: Mu, Rt
Applications: ICC, IHC, Simple Western, WB
H00150684-M01
Species: Hu
Applications: ELISA, IP, WB

Publications for BLCAP Antibody (NBP2-75420) (0)

There are no publications for BLCAP Antibody (NBP2-75420).
By submitting your publication information earn gift cards and discounts for future purchases.

Reviews for BLCAP Antibody (NBP2-75420) (0)

There are no reviews for BLCAP Antibody (NBP2-75420). By submitting a review you will receive an Amazon e-Gift Card or Novus Product Discount.
  • Review with no image -- $10/€7/£6/$10 CAD/¥70 Yuan/¥1110 Yen
  • Review with an image -- $25/€18/£15/$25 CAD/¥150 Yuan/¥2500 Yen

Product General Protocols

Find general support by application which include: protocols, troubleshooting, illustrated assays, videos and webinars.

Video Protocols

WB Video Protocol
ICC/IF Video Protocol

FAQs for BLCAP Antibody (NBP2-75420) (0)

There are no specific FAQs related to this product. Read our general customer & technical service FAQs.

Contact Information

Product PDFs

Calculators

Concentration Calculator

The concentration calculator allows you to quickly calculate the volume, mass or concentration of your vial. Simply enter your mass, volume, or concentration values for your reagent and the calculator will determine the rest.

=
÷

Review this Product

Be the first to review our BLCAP Antibody (4E1) and receive a gift card or discount.

Bioinformatics

Gene Symbol BLCAP