BHMT Antibody (9E1)

Images

 
Western Blot: BHMT Antibody (9E1) [NBP2-75418] - Analysis of BHMT on human liver tissue and human kidney tissue lysate using anti-BHMT antibody at 1/1,000 dilution.
Immunocytochemistry/ Immunofluorescence: BHMT Antibody (9E1) [NBP2-75418] - Staining BHMT (green) in HepG2 cells. The nuclear counter stain is DAPI (blue). Cells were fixed in paraformaldehyde, permeabilised with 0.25% ...read more
Immunohistochemistry-Paraffin: BHMT Antibody (9E1) [NBP2-75418] - Analysis of paraffin-embedded rat kidney tissue using anti-BHMT antibody. Counter stained with hematoxylin.
Flow Cytometry: BHMT Antibody (9E1) [NBP2-75418] - Analysis of HepG2 cells with BHMT antibody at 1/100 dilution (red) compared with an unlabelled control (cells without incubation with primary antibody; black). Alexa ...read more
Immunocytochemistry/ Immunofluorescence: BHMT Antibody (9E1) [NBP2-75418] - Staining BHMT (green) in SiHa cells. The nuclear counter stain is DAPI (blue). Cells were fixed in paraformaldehyde, permeabilised with 0.25% ...read more
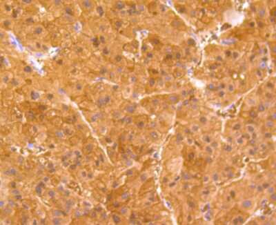
Immunohistochemistry-Paraffin: BHMT Antibody (9E1) [NBP2-75418] - Analysis of paraffin-embedded human liver tissue using anti-BHMT antibody. Counter stained with hematoxylin.
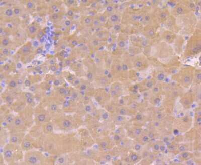
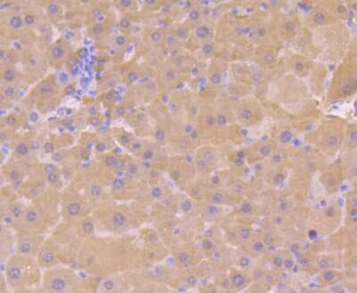
Immunohistochemistry-Paraffin: BHMT Antibody (9E1) [NBP2-75418] - Analysis of paraffin-embedded mouse liver tissue using anti-BHMT antibody. Counter stained with hematoxylin.

Product Details

Summary
Product Discontinued
View other related BHMT Primary Antibodies

Order Details


    • Catalog Number
      NBP2-75418
    • Availability
      Product Discontinued

    Can't find what you are looking for? Use our Antibody Concierge Service & we will help you locate your antibody!

    Or feel free to contact us for alternative products.

BHMT Antibody (9E1) Summary

Immunogen
Recombinant protein with Human BHMT aa 250-406 / 406. (SwissProt: Q93088 Human; SwissProt: 329582 Mouse; SwissProt: O09171 Rat)
Localization
Cytoplasm.
Isotype
IgG1
Clonality
Monoclonal
Host
Mouse
Gene
BHMT
Purity
Protein G purified
Innovator's Reward
Test in a species/application not listed above to receive a full credit towards a future purchase.

Applications/Dilutions

Dilutions
  • Flow Cytometry 1:50-1:100
  • Immunocytochemistry/ Immunofluorescence 1:50
  • Immunohistochemistry
  • Immunohistochemistry-Paraffin 1:50-1:200
  • Western Blot 1:1000-1:5000
Theoretical MW
45 kDa.
Disclaimer note: The observed molecular weight of the protein may vary from the listed predicted molecular weight due to post translational modifications, post translation cleavages, relative charges, and other experimental factors.

Reactivity Notes

Mouse blocking reagent may be needed for IHC and ICC experiments to reduce high background signal. You can find these reagents under catalog numbers PK-2200-NB and MP-2400-NB. Please contact Technical Support if you have any. Please note that this antibody is reactive to Mouse and derived from the same host, Mouse. Mouse-On-questions.

Packaging, Storage & Formulations

Storage
Store at 4C short term. Aliquot and store at -20C long term. Avoid freeze-thaw cycles.
Buffer
PBS (pH7.4), 0.2% BSA, 50% Glycerol
Preservative
0.05% Sodium Azide
Concentration
2 mg/ml
Purity
Protein G purified

Alternate Names for BHMT Antibody (9E1)

  • betaine homocysteine methyltransferase
  • betaine-homocysteine methyltransferase
  • betaine--homocysteine S-methyltransferase 1
  • betaine--homocysteine S-methyltransferase
  • BHMT1
  • EC 2.1.1
  • EC 2.1.1.5

Background

BHMT encodes a cytosolic enzyme that catalyzes the conversion of betaine and homocysteine to dimethylglycine and methionine, respectively. Defects in this gene could lead to hyperhomocyst(e)inemia, but such a defect has not yet been observed. [provided by RefSeq]

Limitations

This product is for research use only and is not approved for use in humans or in clinical diagnosis. Primary Antibodies are guaranteed for 1 year from date of receipt.

Customers Who Viewed This Item Also Viewed...

NBP1-33518
Species: Hu, Mu, Rt
Applications: ICC/IF, IHC,  IHC-P, IP, KD, KO, WB
NB100-791
Species: Hu, Mu
Applications: IHC,  IHC-P, PEP-ELISA, WB
NBP1-57749
Species: Hu
Applications: IHC,  IHC-P, WB
NBP3-17040
Species: Hu
Applications: IHC,  IHC-P, WB
AF7895
Species: Hu
Applications: IHC, WB
NBP1-85826
Species: Hu, Mu, Rt
Applications: IHC,  IHC-P, WB
NBP1-59580
Species: Hu, Rt
Applications: WB
NBP1-82612
Species: Hu, Mu, Rt
Applications: IHC,  IHC-P, WB
NBP1-59904
Species: Hu
Applications: IHC,  IHC-P, WB
NBP1-87508
Species: Hu
Applications: IHC,  IHC-P, WB
NBP1-81838
Species: Hu, Mu
Applications: IHC,  IHC-P, WB
NB120-22711
Species: Hu, Mu
Applications: ELISA, Flow, ICC/IF, IHC, IHC-Fr,  IHC-P
MAB1417
Species: Bv, Hu, Mu
Applications: ICC, IHC
AF6526
Species: Hu
Applications: WB
NBP2-48817
Species: Hu
Applications: ICC/IF, IHC,  IHC-P, WB
NBP1-85437
Species: Hu
Applications: ICC/IF, IHC,  IHC-P, WB
NBP3-25721
Species: Ca, Fe, Hu, Mu, Rt
Applications: ICC/IF, IHC,  IHC-P, WB
NBP2-80919
Species: Hu
Applications: CyTOF-ready, Flow, ICC/IF (-), IHC,  IHC-P, WB

Publications for BHMT Antibody (NBP2-75418) (0)

There are no publications for BHMT Antibody (NBP2-75418).
By submitting your publication information earn gift cards and discounts for future purchases.

Reviews for BHMT Antibody (NBP2-75418) (0)

There are no reviews for BHMT Antibody (NBP2-75418). By submitting a review you will receive an Amazon e-Gift Card or Novus Product Discount.
  • Review with no image -- $10/€7/£6/$10 CAD/¥70 Yuan/¥1110 Yen
  • Review with an image -- $25/€18/£15/$25 CAD/¥150 Yuan/¥2500 Yen

Product General Protocols

Find general support by application which include: protocols, troubleshooting, illustrated assays, videos and webinars.

Video Protocols

WB Video Protocol
ICC/IF Video Protocol

FAQs for BHMT Antibody (NBP2-75418) (0)

There are no specific FAQs related to this product. Read our general customer & technical service FAQs.

Secondary Antibodies

 

Isotype Controls

Additional BHMT Products

Research Areas for BHMT Antibody (NBP2-75418)

Find related products by research area.

Blogs on BHMT

There are no specific blogs for BHMT, but you can read our latest blog posts.

Contact Information

Product PDFs

Calculators

Concentration Calculator

The concentration calculator allows you to quickly calculate the volume, mass or concentration of your vial. Simply enter your mass, volume, or concentration values for your reagent and the calculator will determine the rest.

=
÷

Review this Product

Be the first to review our BHMT Antibody (9E1) and receive a gift card or discount.

Bioinformatics

Gene Symbol BHMT