BCL2L12 Antibody (JE51-66)

Images

 
Western Blot: BCL2L12 Antibody (JE51-66) [NBP2-80451] - Analysis of BCL2L12 on different lysates. Proteins were transferred to a PVDF membrane and blocked with 5% BSA in PBS for 1 hour at room temperature. The primary ...read more
Immunocytochemistry/ Immunofluorescence: BCL2L12 Antibody (JE51-66) [NBP2-80451] - Staining of BCL2L12 in SW620 cells (green). Formalin fixed cells were permeabilized with 0.1% Triton X-100 in TBS for 10 minutes at room ...read more
Immunohistochemistry-Paraffin: BCL2L12 Antibody (JE51-66) [NBP2-80451] - Analysis of paraffin-embedded human testis tissue using anti-BCL2L12 antibody. The section was pre-treated using heat mediated antigen retrieval ...read more
Flow Cytometry: BCL2L12 Antibody (JE51-66) [NBP2-80451] - Analysis of BCL2L12 was done on A431 cells. The cells were fixed, permeabilized and stained with the primary antibody (1/50) (red). After incubation of the ...read more
Immunocytochemistry/ Immunofluorescence: BCL2L12 Antibody (JE51-66) [NBP2-80451] - Staining of BCL2L12 in A431 cells (green). Formalin fixed cells were permeabilized with 0.1% Triton X-100 in TBS for 10 minutes at room ...read more
Immunohistochemistry-Paraffin: BCL2L12 Antibody (JE51-66) [NBP2-80451] - Analysis in human lung carcinoma tissue using BCL2L12 antibody. The section was pre-treated using heat mediated antigen retrieval with sodium ...read more
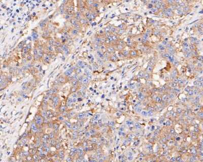
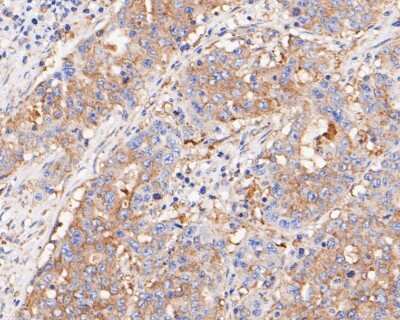
Immunohistochemistry-Paraffin: BCL2L12 Antibody (JE51-66) [NBP2-80451] - Analysis in human gastric carcinoma tissue using BCL2L12 antibody. The section was pre-treated using heat mediated antigen retrieval with sodium ...read more
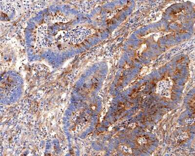
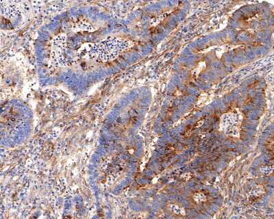
Immunohistochemistry-Paraffin: BCL2L12 Antibody (JE51-66) [NBP2-80451] - Analysis of paraffin-embedded human colon carcinoma tissue using anti-BCL2L12 antibody. The section was pre-treated using heat mediated antigen ...read more

Product Details

Summary
Product Discontinued
View other related BCL2L12 Primary Antibodies

Order Details


    • Catalog Number
      NBP2-80451
    • Availability
      Product Discontinued

    Can't find what you are looking for? Use our Antibody Concierge Service & we will help you locate your antibody!

    Or feel free to contact us for alternative products.

BCL2L12 Antibody (JE51-66) Summary

Additional Information
Recombinant Monoclonal Antibody
Immunogen
Recombinant protein within Human BCL2L12 aa 180-320 / 334. (SwissProt: Q9HB09 Human)
Localization
Nucleus, membrane.
Isotype
IgG
Clonality
Monoclonal
Host
Rabbit
Gene
BCL2L12
Purity
Protein A purified
Innovator's Reward
Test in a species/application not listed above to receive a full credit towards a future purchase.

Applications/Dilutions

Dilutions
  • Flow Cytometry 1:50-1:100
  • Immunocytochemistry/ Immunofluorescence 1:50-1:100
  • Immunohistochemistry
  • Immunohistochemistry-Paraffin 1:200-1:1000
  • Western Blot 1:500-1:2000
Theoretical MW
37 kDa.
Disclaimer note: The observed molecular weight of the protein may vary from the listed predicted molecular weight due to post translational modifications, post translation cleavages, relative charges, and other experimental factors.

Packaging, Storage & Formulations

Storage
Store at 4C short term. Aliquot and store at -20C long term. Avoid freeze-thaw cycles.
Buffer
TBS (pH7.4), 0.05% BSA, 40% Glycerol
Preservative
0.05% Sodium Azide
Concentration
1 mg/ml
Purity
Protein A purified

Alternate Names for BCL2L12 Antibody (JE51-66)

  • Bcl-2 related proline-rich protein
  • bcl2-L-12
  • BCL2-like 12 (proline rich)
  • bcl-2-like protein 12
  • Bcl-2-related proline-rich protein
  • BPR
  • MGC120313
  • MGC120314
  • MGC120315

Background

BCL2L12 belongs to the BCL-2 protein family which is involved in several cellular activities. This protein is known to have interaction with BCL2L1, HSPA1A, and HSPA1B. Expression of BCL2L12 results in the resistance to apoptosis.

Limitations

This product is for research use only and is not approved for use in humans or in clinical diagnosis. Primary Antibodies are guaranteed for 1 year from date of receipt.

Customers Who Viewed This Item Also Viewed...

NB100-56098
Species: Ca, Hu, Mu, Rt
Applications: IHC,  IHC-P, IP, WB
NB120-13550
Species: Hu, Mu, Rt
Applications: ICC/IF, IHC,  IHC-P, WB
AF820
Species: Hu, Mu
Applications: ICC, IHC, KO, Simple Western, WB
NB400-114
Species: Ch, Fe, Ha, Hu, Mu, Pl, Po, Pm, Rt
Applications: ICC/IF, IHC,  IHC-P, IP, KD, WB
NB300-221
Species: Av, Bv, Ca, Ch, ChHa, Dr, Eq, Fe, Ha, Hu, Mu, Ma-Op, Po, Pm, Rb, Rt, Sh, Ze
Applications: ChIP, ICC/IF, IHC, IHC-Fr, IP, KD, Simple Western, Single-Cell Western, WB
NB200-106
Species: Mu, Rt
Applications: ELISA, ICC/IF, IHC, IHC-Fr,  IHC-P, WB
NB100-56118
Species: Ca, Ma, Hu, Mu, Rt
Applications: Flow-IC, ICC/IF, IHC, IHC-Fr,  IHC-P, IP, WB
NBP2-67741
Species: Hu, Mu, Rt
Applications: Flow, ICC/IF, IHC,  IHC-P, WB
AF578
Species: Mu
Applications: ELISA(Cap), ELISA(Det), ELISA(Sta), IHC, WB
NB100-56529
Species: Hu, Mu, Rt
Applications: IHC,  IHC-P, WB
NB200-103
Species: Hu, Mu, Rt, Xp(-), Ye
Applications: CyTOF-ready, ELISA, Flow-IC, Flow, ICC/IF, IHC, IHC-Fr,  IHC-P, IP, WB
NB600-1159
Species: Hu, Mu, Rt
Applications: Flow, ICC/IF, IHC,  IHC-P, WB
NBP1-26612
Species: Hu
Applications: IP (-), WB
NBP1-47708
Species: Hu, Mu, Rt
Applications: Flow, ICC/IF, IHC,  IHC-P, IP, WB
AF6016
Species: Hu, Mu
Applications: WB
NB100-64808
Species: Hu
Applications: ELISA, Flow, ICC/IF, IHC, IHC-Fr, IP, WB
AF7197
Species: Hu, Mu
Applications: ICC, IHC, WB

Publications for BCL2L12 Antibody (NBP2-80451) (0)

There are no publications for BCL2L12 Antibody (NBP2-80451).
By submitting your publication information earn gift cards and discounts for future purchases.

Reviews for BCL2L12 Antibody (NBP2-80451) (0)

There are no reviews for BCL2L12 Antibody (NBP2-80451). By submitting a review you will receive an Amazon e-Gift Card or Novus Product Discount.
  • Review with no image -- $10/€7/£6/$10 CAD/¥70 Yuan/¥1110 Yen
  • Review with an image -- $25/€18/£15/$25 CAD/¥150 Yuan/¥2500 Yen

Product General Protocols

Find general support by application which include: protocols, troubleshooting, illustrated assays, videos and webinars.

Video Protocols

WB Video Protocol
ICC/IF Video Protocol

FAQs for BCL2L12 Antibody (NBP2-80451) (0)

There are no specific FAQs related to this product. Read our general customer & technical service FAQs.

Secondary Antibodies

 

Isotype Controls

Additional BCL2L12 Products

Research Areas for BCL2L12 Antibody (NBP2-80451)

Find related products by research area.

Blogs on BCL2L12

There are no specific blogs for BCL2L12, but you can read our latest blog posts.

Contact Information

Product PDFs

Calculators

Concentration Calculator

The concentration calculator allows you to quickly calculate the volume, mass or concentration of your vial. Simply enter your mass, volume, or concentration values for your reagent and the calculator will determine the rest.

=
÷

Review this Product

Be the first to review our BCL2L12 Antibody (JE51-66) and receive a gift card or discount.

Bioinformatics

Gene Symbol BCL2L12