BCAP/PIK3AP1 Antibody (OTI7A11) - Azide and BSA Free

Images

 
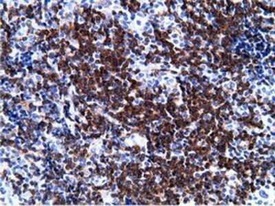
Immunohistochemistry: BCAP/PIK3AP1 Antibody (OTI7A11) - Azide and BSA Free [NBP2-72368] - Staining of paraffin-embedded Human lymph node tissue using anti-PIK3AP1 mouse monoclonal antibody.
Flow Cytometry: BCAP/PIK3AP1 Antibody (OTI7A11) - Azide and BSA Free [NBP2-72368] - Staining of COS7 cells transiently transfected by pCMV6-ENTRY PIK3AP1.
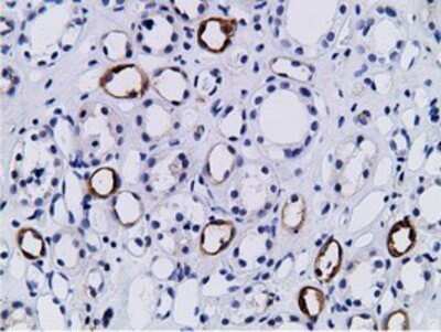
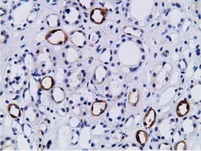
Immunohistochemistry: BCAP/PIK3AP1 Antibody (OTI7A11) - Azide and BSA Free [NBP2-72368] - Staining of paraffin-embedded Human Kidney tissue using anti-PIK3AP1 mouse monoclonal antibody.
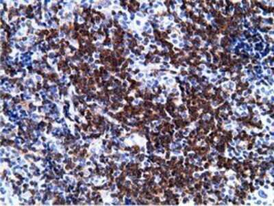
Immunohistochemistry: BCAP/PIK3AP1 Antibody (OTI7A11) - Azide and BSA Free [NBP2-72368] - Staining of paraffin-embedded Human lymphoma tissue using anti-PIK3AP1 mouse monoclonal antibody.
Flow Cytometry: BCAP/PIK3AP1 Antibody (OTI7A11) - Azide and BSA Free [NBP2-72368] - HEK293T cells were transfected with the pCMV6-ENTRY control (Left lane) or pCMV6-ENTRY PIK3AP1 (Right lane) cDNA for 48 hrs and lysed. ...read more
Flow Cytometry: BCAP/PIK3AP1 Antibody (OTI7A11) - Azide and BSA Free [NBP2-72368] - HEK293T cells transfected with either overexpression plasmid (Red) or empty vector control plasmid (Blue) were immunostaining by ...read more

Product Details

Summary
Reactivity Hu, Mu, RtSpecies Glossary
Applications WB, Flow, ICC/IF, IHC, CyTOF-ready
Clone
OTI7A11
Clonality
Monoclonal
Host
Mouse
Conjugate
Unconjugated
Format
Azide and BSA Free
Concentration
LYOPH

Order Details

BCAP/PIK3AP1 Antibody (OTI7A11) - Azide and BSA Free Summary

Description
Novus Biologicals Mouse BCAP/PIK3AP1 Antibody (OTI7A11) - Azide and BSA Free (NBP2-03109) is a monoclonal antibody validated for use in IHC, WB, Flow and ICC/IF. All Novus Biologicals antibodies are covered by our 100% guarantee.
Immunogen
Full length human recombinant protein of human PIK3AP1 (NP_689552) produced in HEK293T cell.
Isotype
IgG1
Clonality
Monoclonal
Host
Mouse
Gene
PIK3AP1
Purity
Immunogen affinity purified
Innovator's Reward
Test in a species/application not listed above to receive a full credit towards a future purchase.

Applications/Dilutions

Dilutions
  • CyTOF-ready
  • Flow Cytometry 1:100
  • Immunocytochemistry/ Immunofluorescence 1:100
  • Immunohistochemistry 1:150
  • Immunohistochemistry-Paraffin
  • Western Blot 1:2000
Theoretical MW
90.2 kDa.
Disclaimer note: The observed molecular weight of the protein may vary from the listed predicted molecular weight due to post translational modifications, post translation cleavages, relative charges, and other experimental factors.

Reactivity Notes

Please note that this antibody is reactive to Mouse and derived from the same host, Mouse. Mouse-On-Mouse blocking reagent may be needed for IHC and ICC experiments to reduce high background signal. You can find these reagents under catalog numbers PK-2200-NB and MP-2400-NB. Please contact Technical Support if you have any questions.

Packaging, Storage & Formulations

Storage
Store at -20C. Avoid freeze-thaw cycles.
Buffer
Lyophilized from PBS (pH 7.3) with 8% Trehalose
Preservative
No Preservative
Concentration
LYOPH
Purity
Immunogen affinity purified
Reconstitution Instructions
we recommend adding 100uL distilled water to a final antibody concentration of about 1 mg/mL. To use this carrier-free antibody for conjugation experiment, we strongly recommend performing another round of desalting process.

Alternate Names for BCAP/PIK3AP1 Antibody (OTI7A11) - Azide and BSA Free

  • 1810044J04Rik
  • B cell adaptor protein
  • BCAP
  • BCAPB-cell adapter for phosphoinositide 3-kinase
  • B-cell phosphoinositide 3-kinase adapter protein 1
  • FLJ35564
  • phosphoinositide 3-kinase adapter protein 1
  • phosphoinositide-3-kinase adaptor protein 1
  • Pik3ap1
  • RP11-34E5.3

Background

PIK3AP1 is involved in the activation of phosphoinositide 3-kinase (PI3K) in B-cells and in natural killer (NK) cells.Couples B-cell antigen receptor (BCR) to PI3K activation by providing a docking site for the PI3K subunit PIK3R1,which contributes to B-cell develop

Limitations

This product is for research use only and is not approved for use in humans or in clinical diagnosis. Primary Antibodies are guaranteed for 1 year from date of receipt.

Customers Who Viewed This Item Also Viewed...

NBP2-19804
Species: Hu, Mu
Applications: ICC/IF, IHC,  IHC-P, WB
NBP2-46404
Species: Hu, Mu, Rt
Applications: IHC,  IHC-P
NBP2-15071
Species: Hu, Mu, Rt
Applications: ICC/IF, IHC,  IHC-P, KO, WB
AF887
Species: Hu, Mu, Rt
Applications: CyTOF-ready, IHC, ICFlow, Simple Western, WB
AF2699
Species: Mu
Applications: Simple Western, WB
NBP1-90078
Species: Hu, Mu, Rt
Applications: ICC/IF, IHC,  IHC-P, WB
NBP1-88650
Species: Hu
Applications: IHC,  IHC-P, KD, WB
NBP2-67058
Species: Hu, Mu, Rt
Applications: Flow, ICC/IF, IHC,  IHC-P, Simple Western, WB
NBP2-34136
Species: Hu
Applications: IHC,  IHC-P, WB
MAB6777
Species: Hu
Applications: ICC, WB
AF5129
Species: Hu
Applications: WB
NBP1-78295
Species: Hu, Mu
Applications: Flow, ICC/IF, IHC,  IHC-P, WB
NB100-56566
Species: Bv, Hu, Ma, Mu, Po, Rt
Applications: B/N, ChIP, CyTOF-ready, DB, Dual ISH-IHC, ELISA(Cap), ELISA, Flow-CS, Flow-IC, Flow, ICC/IF, IHC, IHC-Fr,  IHC-P, In vitro, KD, KO, PAGE, Simple Western, WB
NBP1-32870
Species: Ch, Hu
Applications: IHC,  IHC-P, IP, KD, WB
NBP2-37585
Species: Hu, Mu
Applications: ELISA, Flow, ICC/IF, IHC,  IHC-P, WB
NBP2-25196
Species: Hu, Mu
Applications: CyTOF-ready, Flow, ICC/IF, In vitro, WB
NBP1-84957
Species: Hu
Applications: IHC,  IHC-P, WB
H00000518-P01
Species: Hu
Applications: ELISA, AP, PA, WB
NB100-59845
Species: Hu
Applications: IHC,  IHC-P, IP (-), WB

Publications for BCAP/PIK3AP1 Antibody (NBP2-72368) (0)

There are no publications for BCAP/PIK3AP1 Antibody (NBP2-72368).
By submitting your publication information earn gift cards and discounts for future purchases.

Reviews for BCAP/PIK3AP1 Antibody (NBP2-72368) (0)

There are no reviews for BCAP/PIK3AP1 Antibody (NBP2-72368). By submitting a review you will receive an Amazon e-Gift Card or Novus Product Discount.
  • Review with no image -- $10/€7/£6/$10 CAD/¥70 Yuan/¥1110 Yen
  • Review with an image -- $25/€18/£15/$25 CAD/¥150 Yuan/¥2500 Yen

Product General Protocols

Find general support by application which include: protocols, troubleshooting, illustrated assays, videos and webinars.

Video Protocols

WB Video Protocol
ICC/IF Video Protocol

FAQs for BCAP/PIK3AP1 Antibody (NBP2-72368) (0)

There are no specific FAQs related to this product. Read our general customer & technical service FAQs.

Customers Who Bought This Also Bought

Contact Information

Product PDFs

Calculators

Concentration Calculator

The concentration calculator allows you to quickly calculate the volume, mass or concentration of your vial. Simply enter your mass, volume, or concentration values for your reagent and the calculator will determine the rest.

=
÷

Review this Product

Be the first to review our BCAP/PIK3AP1 Antibody (OTI7A11) - Azide and BSA Free and receive a gift card or discount.

Bioinformatics

Gene Symbol PIK3AP1