BAF53A Antibody (JU40-32)

Images

 
Western Blot: BAF53A Antibody (JU40-32) [NBP2-75415] - Analysis of ACTL6A on Jurkat cell(1) and mouse brain tissue(2) lysate using anti-ACTL6A antibody at 1/500 dilution.
Immunocytochemistry/ Immunofluorescence: BAF53A Antibody (JU40-32) [NBP2-75415] - Staining ACTL6A in PC-3M cells (green). The nuclear counter stain is DAPI (blue). Cells were fixed in paraformaldehyde, permeabilised ...read more
Immunohistochemistry-Paraffin: BAF53A Antibody (JU40-32) [NBP2-75415] - Analysis of paraffin-embedded mouse brain tissue using anti-ACTL6A antibody. Counter stained with hematoxylin.
Immunocytochemistry/ Immunofluorescence: BAF53A Antibody (JU40-32) [NBP2-75415] - Staining ACTL6A in LOVO cells (green). The nuclear counter stain is DAPI (blue). Cells were fixed in paraformaldehyde, permeabilised with ...read more
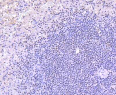
Immunohistochemistry-Paraffin: BAF53A Antibody (JU40-32) [NBP2-75415] - Analysis of paraffin-embedded human tonsil tissue using anti-ACTL6A antibody. Counter stained with hematoxylin.
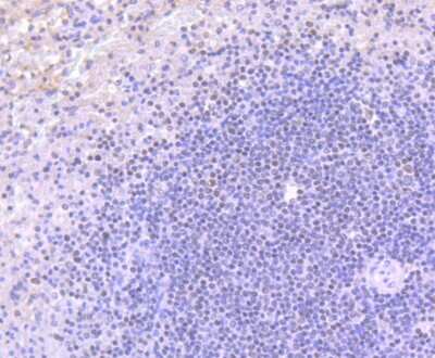
Immunohistochemistry-Paraffin: BAF53A Antibody (JU40-32) [NBP2-75415] - Analysis of paraffin-embedded human spleen tissue using anti-ACTL6A antibody. Counter stained with hematoxylin.

Product Details

Summary
Product Discontinued
View other related BAF53A Primary Antibodies

Order Details


    • Catalog Number
      NBP2-75415
    • Availability
      Product Discontinued

    Can't find what you are looking for? Use our Antibody Concierge Service & we will help you locate your antibody!

    Or feel free to contact us for alternative products.

BAF53A Antibody (JU40-32) Summary

Additional Information
Recombinant Monoclonal Antibody.
Immunogen
Recombinant protein within Human BAF53A aa 185-326 . (SwissProt: O96019 Human; SwissProt: Q9Z2N8 Mouse)
Localization
Nucleus.
Isotype
IgG
Clonality
Monoclonal
Host
Rabbit
Gene
ACTL6A
Purity
Protein A purified
Innovator's Reward
Test in a species/application not listed above to receive a full credit towards a future purchase.

Applications/Dilutions

Dilutions
  • Immunocytochemistry/ Immunofluorescence 1:50-1:100
  • Immunohistochemistry
  • Immunohistochemistry-Paraffin 1:50-1:100
  • Immunoprecipitation 1:10-1:50
  • Western Blot 1:500-1:2000
Theoretical MW
47 kDa.
Disclaimer note: The observed molecular weight of the protein may vary from the listed predicted molecular weight due to post translational modifications, post translation cleavages, relative charges, and other experimental factors.

Packaging, Storage & Formulations

Storage
Store at 4C short term. Aliquot and store at -20C long term. Avoid freeze-thaw cycles.
Buffer
TBS (pH7.4), 0.05% BSA, 40% Glycerol
Preservative
0.05% Sodium Azide
Concentration
1 mg/ml
Purity
Protein A purified

Alternate Names for BAF53A Antibody (JU40-32)

  • actin-like 6A
  • actin-like protein 6A
  • actin-related protein 4,53 kDa BRG1-associated factor A
  • Actin-related protein Baf53a
  • Actl6
  • Arp4
  • arpNbeta
  • BAF complex 53 kDa subunit
  • Baf53a
  • BAF53AACTL6
  • BAF53MGC5382
  • BRG1-associated factor 53A
  • hArpN beta
  • INO80 complex subunit K
  • INO80KARPN-BETA

Background

BAF53A encodes a family member of actin-related proteins (ARPs), which share significant amino acid sequence identity to conventional actins. Both actins and ARPs have an actin fold, which is an ATP-binding cleft, as a common feature. The ARPs are involved in diverse cellular processes, including vesicular transport, spindle orientation, nuclear migration and chromatin remodeling. This gene encodes a 53 kDa subunit protein of the BAF (BRG1/brm-associated factor) complex in mammals, which is functionally related to SWI/SNF complex in S. cerevisiae and Drosophila; the latter is thought to facilitate transcriptional activation of specific genes by antagonizing chromatin-mediated transcriptional repression. Together with beta-actin, it is required for maximal ATPase activity of BRG1, and for the association of the BAF complex with chromatin/matrix. Three transcript variants that encode two different protein isoforms have been described.

Limitations

This product is for research use only and is not approved for use in humans or in clinical diagnosis. Primary Antibodies are guaranteed for 1 year from date of receipt.

Customers Who Viewed This Item Also Viewed...

NBP2-61879
Species: Hu, Mu
Applications: ELISA, Flow, IHC,  IHC-P, WB
NBP2-14306
Species: Hu
Applications: IHC,  IHC-P, WB
NBP2-92909
Species: Hu, Mu, Rt
Applications: ICC/IF, IHC,  IHC-P, WB
AF5738
Species: Hu
Applications: ICC, KO, Simple Western, WB
NBP3-13283
Species: Hu, Mu, Rt
Applications: ICC/IF, IHC,  IHC-P, WB
NBP2-24613
Species: Hu
Applications: IHC,  IHC-P, Simple Western, WB
MAB4675
Species: Mu
Applications: IHC, Neut, WB
H00057016-M01
Species: Hu
Applications: ELISA, ICC/IF, IHC,  IHC-P, S-ELISA, WB
H00007873-M01
Species: Hu
Applications: ELISA, ICC/IF, S-ELISA, WB
H00000473-M06
Species: Hu
Applications: ELISA, ICC/IF, WB
NBP1-78759
Species: Hu
Applications: IP, WB
NBP2-76978
Species: Hu, Mu, Rt
Applications: Flow, ICC/IF, IHC,  IHC-P, WB
NBP1-90014
Species: Hu, Mu, Rt
Applications: ICC/IF, IHC,  IHC-P, WB
AF7365
Species: Hu, Mu, Rt
Applications: WB
NBP1-40354
Species: Hu, Mu
Applications: ICC/IF, IHC,  IHC-P, IP, KD, WB
H00200316-P01
Species: Hu
Applications: ELISA, AP, PA, WB
NBP2-07996
Species: Hu
Applications: WB
NBP2-52486
Species: Hu
Applications: CyTOF-ready, ELISA, Flow, ICC/IF, IHC,  IHC-P, WB

Publications for BAF53A Antibody (NBP2-75415) (0)

There are no publications for BAF53A Antibody (NBP2-75415).
By submitting your publication information earn gift cards and discounts for future purchases.

Reviews for BAF53A Antibody (NBP2-75415) (0)

There are no reviews for BAF53A Antibody (NBP2-75415). By submitting a review you will receive an Amazon e-Gift Card or Novus Product Discount.
  • Review with no image -- $10/€7/£6/$10 CAD/¥70 Yuan/¥1110 Yen
  • Review with an image -- $25/€18/£15/$25 CAD/¥150 Yuan/¥2500 Yen

Product General Protocols

Find general support by application which include: protocols, troubleshooting, illustrated assays, videos and webinars.

Video Protocols

WB Video Protocol
ICC/IF Video Protocol

FAQs for BAF53A Antibody (NBP2-75415) (0)

There are no specific FAQs related to this product. Read our general customer & technical service FAQs.

Secondary Antibodies

 

Isotype Controls

Additional BAF53A Products

Research Areas for BAF53A Antibody (NBP2-75415)

Find related products by research area.

Blogs on BAF53A

There are no specific blogs for BAF53A, but you can read our latest blog posts.

Contact Information

Product PDFs

Calculators

Concentration Calculator

The concentration calculator allows you to quickly calculate the volume, mass or concentration of your vial. Simply enter your mass, volume, or concentration values for your reagent and the calculator will determine the rest.

=
÷

Review this Product

Be the first to review our BAF53A Antibody (JU40-32) and receive a gift card or discount.

Bioinformatics

Gene Symbol ACTL6A