ATG3/APG3 Antibody (JU00-35)

Images

 
Western Blot: ATG3/APG3 Antibody (JU00-35) [NBP2-75414] - Analysis of Apg3 on different lysates using anti-Apg3 antibody at 1/500 dilution.Positive control:Lane 1: Mouse testis tissue Lane 2: K562 Lane 3: HL-60 ...read more
Immunohistochemistry-Paraffin: ATG3/APG3 Antibody (JU00-35) [NBP2-75414] - Analysis of paraffin-embedded mouse small intestine tissue using anti-Apg3 antibody. Counter stained with hematoxylin.
Immunohistochemistry-Paraffin: ATG3/APG3 Antibody (JU00-35) [NBP2-75414] - Analysis of paraffin-embedded human tonsil tissue using anti-Apg3 antibody. Counter stained with hematoxylin.
Immunohistochemistry-Paraffin: ATG3/APG3 Antibody (JU00-35) [NBP2-75414] - Analysis of paraffin-embedded human thyroid gland tissue using anti-Apg3 antibody. Counter stained with hematoxylin.
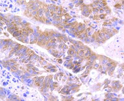
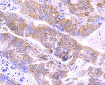
Immunohistochemistry-Paraffin: ATG3/APG3 Antibody (JU00-35) [NBP2-75414] - Analysis of paraffin-embedded human colon cancer tissue using anti-Apg3 antibody. Counter stained with hematoxylin.

Product Details

Summary
Product Discontinued
View other related ATG3/APG3 Primary Antibodies

Order Details


    • Catalog Number
      NBP2-75414
    • Availability
      Product Discontinued

    Can't find what you are looking for? Use our Antibody Concierge Service & we will help you locate your antibody!

    Or feel free to contact us for alternative products.

ATG3/APG3 Antibody (JU00-35) Summary

Additional Information
Recombinant Monoclonal Antibody.
Immunogen
Synthetic peptide within Human ATG3/APG3 1-50 / 314. (SwissProt: Q9NT62 Human; SwissProt: Q9CPX6 Mouse)
Localization
Cytoplasm.
Isotype
IgG
Clonality
Monoclonal
Host
Rabbit
Gene
ATG3
Purity
Protein A purified
Innovator's Reward
Test in a species/application not listed above to receive a full credit towards a future purchase.

Applications/Dilutions

Dilutions
  • Immunohistochemistry
  • Immunohistochemistry-Paraffin 1:50-1:200
  • Western Blot 1:500-1:2000
Theoretical MW
40 kDa.
Disclaimer note: The observed molecular weight of the protein may vary from the listed predicted molecular weight due to post translational modifications, post translation cleavages, relative charges, and other experimental factors.

Packaging, Storage & Formulations

Storage
Store at 4C short term. Aliquot and store at -20C long term. Avoid freeze-thaw cycles.
Buffer
TBS (pH7.4), 0.05% BSA, 40% Glycerol
Preservative
0.05% Sodium Azide
Concentration
1 mg/ml
Purity
Protein A purified

Alternate Names for ATG3/APG3 Antibody (JU00-35)

  • APG3 autophagy 3-like (S. cerevisiae)
  • APG3
  • APG3L
  • APG3-LIKE
  • Apg3p
  • ATG3 autophagy related 3 homolog (S. cerevisiae)
  • ATG3
  • Autophagy-related protein 3
  • DKFZp564M1178
  • EC 6.3.2.-
  • FLJ22125,2610016C12Rik
  • hApg3
  • MGC15201
  • PC3-96
  • Protein PC3-96
  • ubiquitin-like-conjugating enzyme ATG3

Background

FUNCTION: GABARAPL1 (GABARAPL2 or GABARAP or MAP1LC3)-modifier protein conjugating enzyme involved in its E2-like covalent binding to PE. ATG7 (E1-like enzyme) facilitates this reaction by forming an E1-E2 complex with ATG3 (E2-like enzyme). Preferred substrate is MAP1LC3A. Formation of the GABARAPL1-PE conjugate is essential for autophagy. SUBUNIT: Interacts with ATG7 and ATG12. The complex, composed of ATG3 and ATG7, plays a role in the conjugation of ATG12 to ATG5. SUBCELLULAR LOCATION: Cytoplasm. ALTERNATIVE PRODUCTS: 2 named isoformsproduced by alternative splicing. TISSUE SPECIFICITY: Widely expressed, with a highest expression in heart, skeletal muscle, kidney, liver and placenta. SIMILARITY: Belongs to the ATG3 family.

Limitations

This product is for research use only and is not approved for use in humans or in clinical diagnosis. Primary Antibodies are guaranteed for 1 year from date of receipt.

Customers Who Viewed This Item Also Viewed...

NBP2-82090
Species: Hu, Mu, Rt
Applications: ELISA, ICC/IF, IHC,  IHC-P, WB
MAB6608
Species: Hu, Mu
Applications: CyTOF-ready, ICC, IHC, ICFlow, Simple Western, WB
NBP1-55202
Species: Hu
Applications: IHC,  IHC-P, WB
NBP2-15501
Species: Hu, Mu, Rt
Applications: ICC/IF, IHC,  IHC-P, IP, WB
NB110-53818
Species: Al, Bv, Dr, Fi, Gp, Hu, Mu, Po, Pm, Rt, Xp, Ze
Applications: EM, ELISA, Flow, IB, ICC/IF, IHC,  IHC-P, IP, KD, KO, PLA, RIA, Simple Western, WB
NB100-2331
Species: Am, Ca, Fi, Hu, Mu, Pl, Rt, Ze
Applications: ChIP, ChIP, ELISA, Flow, IB, ICC/IF, IHC-WhMt, IHC, IHC-Fr,  IHC-P, IP, Simple Western, SB, WB
NBP1-89522
Species: Hu, Mu, Rt
Applications: ICC/IF, IHC,  IHC-P, WB
NB500-249
Species: Hu, Mu, Rt
Applications: Flow, ICC/IF, IHC, IHC-Fr,  IHC-P, IP, KD, Simple Western, WB
AF9024
Species: Mu, Rt
Applications: IHC, WB
NBP2-54301
Species: Hu, Mu, Rt
Applications: CyTOF-ready, ELISA, IHC,  IHC-P, WB
NBP2-13961
Species: Hu
Applications: ICC/IF, IHC,  IHC-P, WB
NBP2-38524
Species: Hu, Mu
Applications: ICC/IF, IHC,  IHC-P, KD, WB
NBP2-33950
Species: Hu, Mu
Applications: ICC/IF, IHC,  IHC-P, WB
NBP3-38363
Species: Hu, Mu, Rt
Applications: ELISA, IHC,  IHC-P, WB
H00008878-M01
Species: Bv, Ha, Hu, Mu, Rb, Rt
Applications: ELISA, ICC/IF, IHC, IHC-Fr,  IHC-P, IP, WB
NBP2-41217
Species: Hu, Mu, Rt
Applications: ELISA, ICC/IF, IHC,  IHC-P, WB
NBP2-37399
Species: Hu
Applications: CyTOF-ready, ELISA, Flow, ICC/IF, IHC,  IHC-P, WB
NB200-103
Species: Hu, Mu, Rt, Xp(-), Ye
Applications: CyTOF-ready, ELISA, Flow-IC, Flow, ICC/IF, IHC, IHC-Fr,  IHC-P, IP, WB
NBP1-71771
Species: Dr, Hu, Mu
Applications: ICC/IF, IHC,  IHC-P, WB
NBP1-31381
Species: Hu, Mu, Rt
Applications: ICC/IF, IHC,  IHC-P, IP, WB

Publications for ATG3/APG3 Antibody (NBP2-75414) (0)

There are no publications for ATG3/APG3 Antibody (NBP2-75414).
By submitting your publication information earn gift cards and discounts for future purchases.

Reviews for ATG3/APG3 Antibody (NBP2-75414) (0)

There are no reviews for ATG3/APG3 Antibody (NBP2-75414). By submitting a review you will receive an Amazon e-Gift Card or Novus Product Discount.
  • Review with no image -- $10/€7/£6/$10 CAD/¥70 Yuan/¥1110 Yen
  • Review with an image -- $25/€18/£15/$25 CAD/¥150 Yuan/¥2500 Yen

Product General Protocols

Find general support by application which include: protocols, troubleshooting, illustrated assays, videos and webinars.

Video Protocols

WB Video Protocol

FAQs for ATG3/APG3 Antibody (NBP2-75414) (0)

There are no specific FAQs related to this product. Read our general customer & technical service FAQs.

Secondary Antibodies

 

Isotype Controls

Additional ATG3/APG3 Products

Research Areas for ATG3/APG3 Antibody (NBP2-75414)

Find related products by research area.

Blogs on ATG3/APG3

There are no specific blogs for ATG3/APG3, but you can read our latest blog posts.

Contact Information

Product PDFs

Calculators

Concentration Calculator

The concentration calculator allows you to quickly calculate the volume, mass or concentration of your vial. Simply enter your mass, volume, or concentration values for your reagent and the calculator will determine the rest.

=
÷

Review this Product

Be the first to review our ATG3/APG3 Antibody (JU00-35) and receive a gift card or discount.

Bioinformatics

Gene Symbol ATG3