ART5 Antibody - BSA Free

Images

 
Western Blot: ART5 Antibody [NBP1-32664] - Sample (30 ug of whole cell lysate) A: 293T B: A431 10% SDS PAGE, antibody diluted at 1:1000.
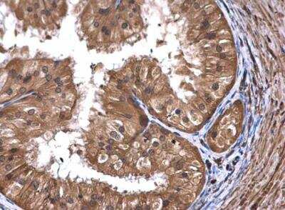
Immunohistochemistry-Paraffin: ART5 Antibody [NBP1-32664] - Mouse prostate. ART5 antibody [N1C3] diluted at 1:500. Antigen Retrieval: Citrate buffer, pH 6.0, 15 min.
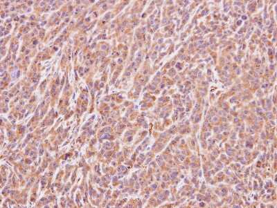
Immunohistochemistry-Paraffin: ART5 Antibody [NBP1-32664] - SAS xenograft, using ART5 antibody at 1:500 dilution. Antigen Retrieval: Citrate buffer, pH 6.0, 15 min.

Product Details

Summary
Reactivity Hu, Mu, RMSpecies Glossary
Applications WB, IHC
Clonality
Polyclonal
Host
Rabbit
Conjugate
Unconjugated
Format
BSA Free

Order Details

ART5 Antibody - BSA Free Summary

Description
Novus Biologicals Rabbit ART5 Antibody - BSA Free (NBP1-32664) is a polyclonal antibody validated for use in IHC and WB. All Novus Biologicals antibodies are covered by our 100% guarantee.
Immunogen
Recombinant protein encompassing a sequence within the center region of human ART5. The exact sequence is proprietary.
Localization
Secreted
Predicted Species
Rhesus Macaque (95%). Backed by our 100% Guarantee.
Isotype
IgG
Clonality
Polyclonal
Host
Rabbit
Gene
ART5
Purity
Antigen Affinity-purified
Innovator's Reward
Test in a species/application not listed above to receive a full credit towards a future purchase.

Applications/Dilutions

Dilutions
  • Immunohistochemistry 1:100-1:1000
  • Immunohistochemistry-Paraffin 1:100-1:1000
  • Western Blot 1:500-1:3000
Theoretical MW
32 kDa.
Disclaimer note: The observed molecular weight of the protein may vary from the listed predicted molecular weight due to post translational modifications, post translation cleavages, relative charges, and other experimental factors.

Reactivity Notes

Rat (85%).

Packaging, Storage & Formulations

Storage
Aliquot and store at -20C or -80C. Avoid freeze-thaw cycles.
Buffer
0.1M Tris, 0.1M Glycine, 10% Glycerol
Preservative
0.01% Thimerosal
Purity
Antigen Affinity-purified

Alternate Names for ART5 Antibody - BSA Free

  • ADP-ribosyltransferase 5
  • EC 2.4.2.31
  • ecto-ADP-ribosyltransferase 5
  • MGC22848
  • Mono(ADP-ribosyl)transferase 5
  • NAD(P)(+)--arginine ADP-ribosyltransferase 5

Background

The protein encoded by this gene belongs to the ARG-specific ADP-ribosyltransferase family. Proteins in this family regulate the function of target proteins by attaching ADP-ribose to specific amino acid residues in their target proteins. The mouse homolog lacks a glycosylphosphatidylinositol-anchor signal sequence and is predicted to be a secretory enzyme. Transcript variants with different 5' UTRs, but encoding the same protein have been found for this gene. [provided by RefSeq]

Limitations

This product is for research use only and is not approved for use in humans or in clinical diagnosis. Primary Antibodies are guaranteed for 1 year from date of receipt.

Customers Who Viewed This Item Also Viewed...

NB100-65853
Species: Mu
Applications: Flow, IP
NBP3-41185
Species: Hu, Rt
Applications: IHC,  IHC-P, WB
DAGR00
Species: Hu
Applications: ELISA
NBP3-35775
Species: Hu, Mu, Rt
Applications: ELISA, ICC/IF, WB
NBP2-02541
Species: Hu, Pm, Mu, Pm, Rt
Applications: ICC/IF, IHC,  IHC-P, WB
NBP2-24653
Species: Hu, Mu, Rt
Applications: IHC,  IHC-P, WB
H00000419-M05
Species: Hu
Applications: ELISA, IHC,  IHC-P, WB
NBP2-67933
Species: Hu
Applications: ELISA
NBP3-46465
Species: Hu, Mu
Applications: ELISA, IHC, WB
NBP2-94007
Species: Hu, Mu
Applications: ICC/IF, WB
NBP2-67150
Species: Hu, Mu, Rt
Applications: IHC, IHC-Fr,  IHC-P, IP, WB
NBP1-83747
Species: Hu, Mu, Rt
Applications: ICC/IF, IHC,  IHC-P, WB
AF2030
Species: Hu
Applications: IHC, WB
NBP3-35541
Species: Hu, Mu, Rt
Applications: ELISA, ICC/IF, IHC,  IHC-P, WB
MAB5018
Species: Hu
Applications: IP, WB
NBP1-32664
Species: Hu, Mu, RM
Applications: WB, IHC
⚠ WARNING: This product can expose you to chemicals including mercury, which is known to the State of California to cause reproductive toxicity with developmental effects.  For more information go to www.P65Warnings.ca.gov.

Publications for ART5 Antibody (NBP1-32664) (0)

There are no publications for ART5 Antibody (NBP1-32664).
By submitting your publication information earn gift cards and discounts for future purchases.

Reviews for ART5 Antibody (NBP1-32664) (0)

There are no reviews for ART5 Antibody (NBP1-32664). By submitting a review you will receive an Amazon e-Gift Card or Novus Product Discount.
  • Review with no image -- $10/€7/£6/$10 CAD/¥70 Yuan/¥1110 Yen
  • Review with an image -- $25/€18/£15/$25 CAD/¥150 Yuan/¥2500 Yen

Product General Protocols

Find general support by application which include: protocols, troubleshooting, illustrated assays, videos and webinars.

Video Protocols

WB Video Protocol

FAQs for ART5 Antibody (NBP1-32664) (0)

There are no specific FAQs related to this product. Read our general customer & technical service FAQs.

Customers Who Bought This Also Bought

Contact Information

Product PDFs

Calculators

Concentration Calculator

The concentration calculator allows you to quickly calculate the volume, mass or concentration of your vial. Simply enter your mass, volume, or concentration values for your reagent and the calculator will determine the rest.

=
÷

Review this Product

Be the first to review our ART5 Antibody - BSA Free and receive a gift card or discount.

Bioinformatics

Gene Symbol ART5
Entrez
Uniprot