ARAP3 Antibody - BSA Free

Images

 
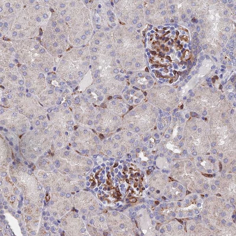
Staining of human kidney shows moderate membranous-cytoplasmic positivity in cells in glomeruli and endothelial cells.
Staining of human placenta shows moderate membranous-cytoplasmic positivity in endothelial cells.
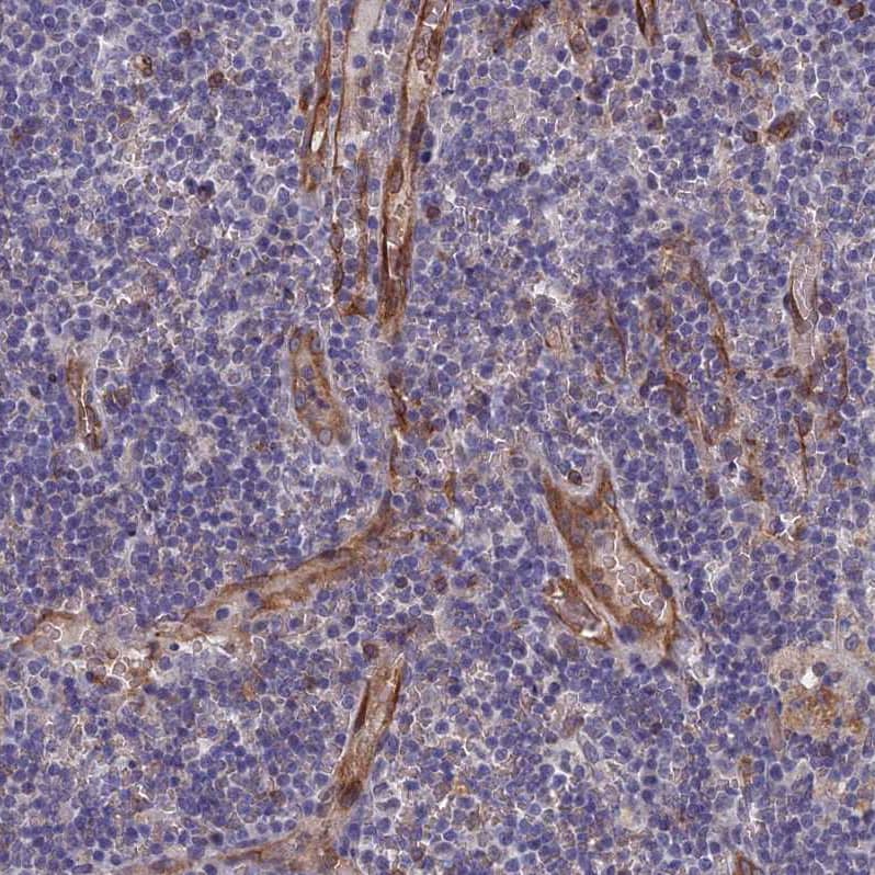
Staining of human lymphoid tissues shows moderate membranous-cytoplasmic positivity in endothelial cells.
Analysis in human cell line EFO-21.
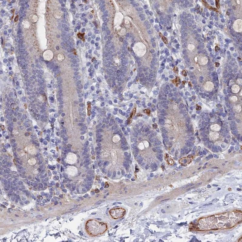
Staining of human duodenum shows strong membranous positivity in endothelial cells and weak cytoplasmic membranous positivity in glandular cells.

Product Details

Summary
Reactivity HuSpecies Glossary
Applications WB, IHC
Clonality
Polyclonal
Host
Rabbit
Conjugate
Unconjugated
Format
BSA Free

Order Details

View Available Formulations
Catalog# & Formulation Size Price

ARAP3 Antibody - BSA Free Summary

Description
Novus Biologicals Rabbit ARAP3 Antibody - BSA Free (NBP1-84541) is a polyclonal antibody validated for use in IHC and WB. Anti-ARAP3 Antibody: Cited in 1 publication. All Novus Biologicals antibodies are covered by our 100% guarantee.
Immunogen
This antibody was developed against Recombinant Protein corresponding to amino acids: MPNSIYFGLDSRGRAQAAQDKAPDSSQISAPTPALRPTTGTVHIMDPGCLYYGVQPVGTPGAPDRRESRGVCQGRAEHRLSRQDLEAREDAGYASLELPGDSTLLSPTLETEETSDDLISPYASFSF
Isotype
IgG
Clonality
Polyclonal
Host
Rabbit
Gene
ARAP3
Purity
Immunogen affinity purified
Innovator's Reward
Test in a species/application not listed above to receive a full credit towards a future purchase.

Applications/Dilutions

Dilutions
  • Immunohistochemistry 1:200 - 1:500
  • Immunohistochemistry-Paraffin 1:200 - 1:500
  • Western Blot 0.04-0.4 ug/ml
Application Notes
For IHC-Paraffin, HIER pH 6 retrieval is recommended.
Theoretical MW
170 kDa.
Disclaimer note: The observed molecular weight of the protein may vary from the listed predicted molecular weight due to post translational modifications, post translation cleavages, relative charges, and other experimental factors.
Control Peptide
ARAP3 Protein (NBP1-84541PEP)
Publications
Read Publication using
NBP1-84541 in the following applications:

  • WB
    1 publication

Reactivity Notes

Immunogen displays the following percentage of sequence identity for non-tested species: Mouse (80%), Rat (80%)

Packaging, Storage & Formulations

Storage
Store at 4C short term. Aliquot and store at -20C long term. Avoid freeze-thaw cycles.
Buffer
PBS (pH 7.2) and 40% Glycerol
Preservative
0.02% Sodium Azide
Purity
Immunogen affinity purified

Alternate Names for ARAP3 Antibody - BSA Free

  • Arf and Rho GAP adapter protein 3
  • arf-GAP with Rho-GAP domain, ANK repeat and PH domain-containing protein 3
  • ArfGAP with RhoGAP domain, ankyrin repeat and PH domain 3
  • ARF-GAP, RHO-GAP, ankyrin repeat and plekstrin homology domains-containingprotein 3
  • centaurin, delta 3
  • centaurin-delta-3
  • CENTD3
  • cnt-d3
  • DRAG1
  • FLJ21065
  • phosphoinositide binding protein
  • PtdIns(34,5)P3-binding protein

Background

The ARAP3 gene encodes a phosphoinositide binding protein containing ARF-GAP, RHO-GAP, RAS-associating, and pleckstrinhomology domains. The ARF-GAP and RHO-GAP domains cooperate in mediating rearrangements in the cell cytoskeleton andcell shape. It is a specif

Limitations

This product is for research use only and is not approved for use in humans or in clinical diagnosis. Primary Antibodies are guaranteed for 1 year from date of receipt.

Customers Who Viewed This Item Also Viewed...

NBP2-41263
Species: Hu, Mu, Rt
Applications: ELISA, ICC/IF, IHC,  IHC-P, WB
NB100-91273
Species: Hu, Mu, Pm, Rt
Applications: ICC/IF, IHC,  IHC-P, WB
NBP2-19804
Species: Hu, Mu
Applications: ICC/IF, IHC,  IHC-P, WB
NBP2-15071
Species: Hu, Mu, Rt
Applications: ICC/IF, IHC,  IHC-P, KO, WB
NBP2-46404
Species: Hu, Mu, Rt
Applications: IHC,  IHC-P
NBP2-25160
Species: Bv, Ca, Eq, Hu, Mu, Po, Rt
Applications: ICC/IF, IHC, WB
NBP1-58359
Species: Hu
Applications: IHC,  IHC-P, WB
NB200-106
Species: Mu, Rt
Applications: ELISA, ICC/IF, IHC, IHC-Fr,  IHC-P, WB
NBP1-32870
Species: Ch, Hu
Applications: IHC,  IHC-P, IP, KD, WB
NBP2-81767
Species: Hu, Mu, Rt
Applications: ELISA, ICC/IF, IHC,  IHC-P, WB
AF2685
Species: Hu
Applications: IHC, Simple Western, WB
AF887
Species: Hu, Mu, Rt
Applications: CyTOF-ready, IHC, ICFlow, Simple Western, WB
H00003636-M01
Species: Hu, Pm
Applications: ELISA, ICC/IF, WB
NB100-1343
Species: Hu
Applications: Flow, ICC/IF, IHC,  IHC-P, PEP-ELISA, WB
NBP1-91228
Species: Hu, Rt
Applications: IHC,  IHC-P, WB
NBP1-84957
Species: Hu
Applications: IHC,  IHC-P, WB
H00000518-P01
Species: Hu
Applications: ELISA, AP, PA, WB

Publications for ARAP3 Antibody (NBP1-84541)(1)

We have publications tested in 1 confirmed species: Human.

We have publications tested in 1 application: WB.


Filter By Application
WB
(1)
All Applications
Filter By Species
Human
(1)
All Species

Reviews for ARAP3 Antibody (NBP1-84541) (0)

There are no reviews for ARAP3 Antibody (NBP1-84541). By submitting a review you will receive an Amazon e-Gift Card or Novus Product Discount.
  • Review with no image -- $10/€7/£6/$10 CAD/¥70 Yuan/¥1110 Yen
  • Review with an image -- $25/€18/£15/$25 CAD/¥150 Yuan/¥2500 Yen

Product General Protocols

Find general support by application which include: protocols, troubleshooting, illustrated assays, videos and webinars.

Video Protocols

WB Video Protocol

FAQs for ARAP3 Antibody (NBP1-84541) (0)

There are no specific FAQs related to this product. Read our general customer & technical service FAQs.

Customers Who Bought This Also Bought

Contact Information

Product PDFs

Calculators

Concentration Calculator

The concentration calculator allows you to quickly calculate the volume, mass or concentration of your vial. Simply enter your mass, volume, or concentration values for your reagent and the calculator will determine the rest.

=
÷

Review this Product

Be the first to review our ARAP3 Antibody - BSA Free and receive a gift card or discount.

Bioinformatics

Gene Symbol ARAP3
Entrez
Uniprot