alpha 1-Microglobulin Antibody (AMBP/4536) - Azide and BSA Free

Images

 
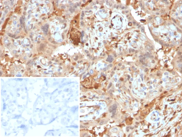
Formalin-fixed, paraffin-embedded human placenta stained with alpha 1-Microglobulin Antibody (AMBP/4536) - Azide and BSA Free. Inset: PBS instead of primary antibody; secondary only negative control.

Product Details

Summary
Reactivity HuSpecies Glossary
Applications IHC
Clone
AMBP/4536
Clonality
Monoclonal
Host
Mouse
Conjugate
Unconjugated
Format
Azide and BSA Free
Concentration
1 mg/ml

Order Details

alpha 1-Microglobulin Antibody (AMBP/4536) - Azide and BSA Free Summary

Description
Antibody without azide - store at -20 to -80C. Non-hazardous. No MSDS required.
Immunogen
Recombinant fragment (around aa200-353) of human alpha 1-Microglobulin protein (exact sequence is proprietary)
Localization
Secreted
Isotype
IgG2 Kappa
Clonality
Monoclonal
Host
Mouse
Gene
AMBP
Purity
Protein A or G purified
Innovator's Reward
Test in a species/application not listed above to receive a full credit towards a future purchase.

Applications/Dilutions

Dilutions
  • Immunohistochemistry-Paraffin 1-2ug/ml for 30 minutes at RT
Application Notes
Immunohistochemistry-Paraffin 1-2ug/ml for 30 minutes at RT. Optimal dilution for a specific application should be determined.. Staining of formalin-fixed tissues requires heating tissue sections in 10mM Tris with 1mM EDTA, pH 9.0, for 45 min at 95C followed by cooling at RT for 20 minutes

Packaging, Storage & Formulations

Storage
Store at -20 to -80C. Avoid freeze-thaw cycles.
Buffer
10mM PBS
Preservative
No Preservative
Concentration
1 mg/ml
Purity
Protein A or G purified

Alternate Names for alpha 1-Microglobulin Antibody (AMBP/4536) - Azide and BSA Free

  • A1M
  • alpha 1Microglobulin
  • alpha 1-Microglobulin
  • alpha-1-microglobulin/bikunin precursor
  • AMBP
  • bikunin
  • EDC1
  • HCP
  • HCPcomplex-forming glycoprotein heterogeneous in charge
  • HI30
  • IATIL
  • inter-alpha-trypsin inhibitor light chain
  • ITI
  • ITIL
  • ITILC
  • ITILgrowth-inhibiting protein 19
  • protein AMBP
  • protein HC
  • trypstatin
  • uristatin
  • uronic-acid-rich protein
  • UTI

Background

Alpha-1-Microglobulin encodes a complex glycoprotein secreted in plasma. The precursor is proteolytically processed into distinct functioning proteins: alpha-1-microglobulin, which belongs to the superfamily of lipocalin transport proteins and may play a role in the regulation of inflammatory processes, and bikunin, which is a urinary trypsin inhibitor belonging to the superfamily of Kunitz-type protease inhibitors and plays an important role in many physiological and pathological processes. This gene is located on chromosome 9 in a cluster of lipocalin genes.

Limitations

This product is for research use only and is not approved for use in humans or in clinical diagnosis. Primary Antibodies are guaranteed for 1 year from date of receipt.

Customers Who Viewed This Item Also Viewed...

AF1106
Species: Hu
Applications: IP, WB
MAB1455
Species: Hu
Applications: CyTOF-ready, Dual ISH-IHC, ICC, IHC, ICFlow, Simple Western, WB
NB100-91761
Species: Hu, Mu, Rt
Applications: ELISA, ICC/IF, IHC,  IHC-P, WB
DY1707
Species: Hu
Applications: ELISA
DY4517-05
Species: Mu
Applications: ELISA
NBP1-83276
Species: Hu, Rt
Applications: ICC/IF, IHC,  IHC-P, WB
NB100-91761
Species: Hu, Mu, Rt
Applications: ELISA, ICC/IF, IHC,  IHC-P, WB
M6000B
Species: Mu
Applications: ELISA
1310-SE
Species: Hu
Applications: EnzAct
MAB2104
Species: Hu, Mu
Applications: WB
NBP1-58268
Species: Hu, Mu
Applications: IHC,  IHC-P, WB
AF5739
Species: Hu, Mu, Rt
Applications: WB
NB600-930
Species: Hu, Rt
Applications: ELISA, WB
MAB208
Species: Hu
Applications: CyTOF-ready, ELISA(Cap), ELISA(Det), ELISA(Sta), ICC, ICFlow, Neut, Simple Western, WB
MAB1417
Species: Bv, Hu, Mu
Applications: ICC, IHC
NBP2-22203
Species: Hu, Pm, Mu, Rt
Applications: ELISA, Flow, ICC/IF, IHC,  IHC-P, WB
NBP3-26936
Species: Hu
Applications: IHC

Publications for alpha 1-Microglobulin Antibody (NBP3-26936) (0)

There are no publications for alpha 1-Microglobulin Antibody (NBP3-26936).
By submitting your publication information earn gift cards and discounts for future purchases.

Reviews for alpha 1-Microglobulin Antibody (NBP3-26936) (0)

There are no reviews for alpha 1-Microglobulin Antibody (NBP3-26936). By submitting a review you will receive an Amazon e-Gift Card or Novus Product Discount.
  • Review with no image -- $10/€7/£6/$10 CAD/¥70 Yuan/¥1110 Yen
  • Review with an image -- $25/€18/£15/$25 CAD/¥150 Yuan/¥2500 Yen

Product General Protocols

Find general support by application which include: protocols, troubleshooting, illustrated assays, videos and webinars.

FAQs for alpha 1-Microglobulin Antibody (NBP3-26936) (0)

There are no specific FAQs related to this product. Read our general customer & technical service FAQs.

Secondary Antibodies

 

Isotype Controls

Additional alpha 1-Microglobulin Products

Research Areas for alpha 1-Microglobulin Antibody (NBP3-26936)

Find related products by research area.

Blogs on alpha 1-Microglobulin

There are no specific blogs for alpha 1-Microglobulin, but you can read our latest blog posts.

Customers Who Bought This Also Bought

Contact Information

Product PDFs

Calculators

Concentration Calculator

The concentration calculator allows you to quickly calculate the volume, mass or concentration of your vial. Simply enter your mass, volume, or concentration values for your reagent and the calculator will determine the rest.

=
÷

Review this Product

Be the first to review our alpha 1-Microglobulin Antibody (AMBP/4536) - Azide and BSA Free and receive a gift card or discount.

Bioinformatics

Gene Symbol AMBP