Aldo-keto Reductase 1C1/AKR1C1 Antibody (AKR1C1/9318) - Azide and BSA Free

Images

 
Western Blot Analysis of human HepG2 lysate using Aldo-keto Reductase 1C1/AKR1C1 Antibody (AKR1C1/9318) - Azide and BSA Free.
Western Blot Analysis of A-549 lysate using Aldo-keto Reductase 1C1/AKR1C1 Antibody (AKR1C1/9318) - Azide and BSA Free.
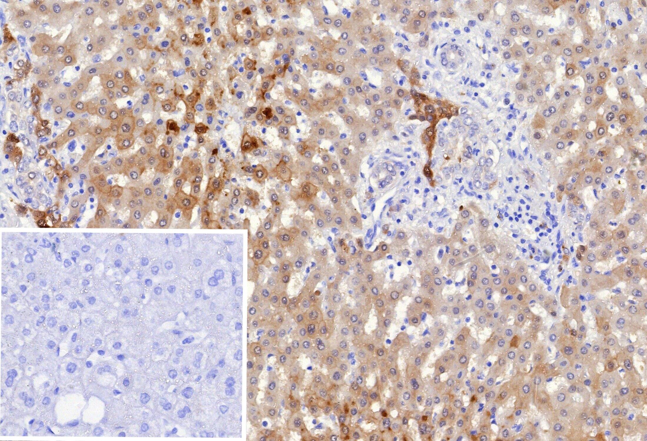
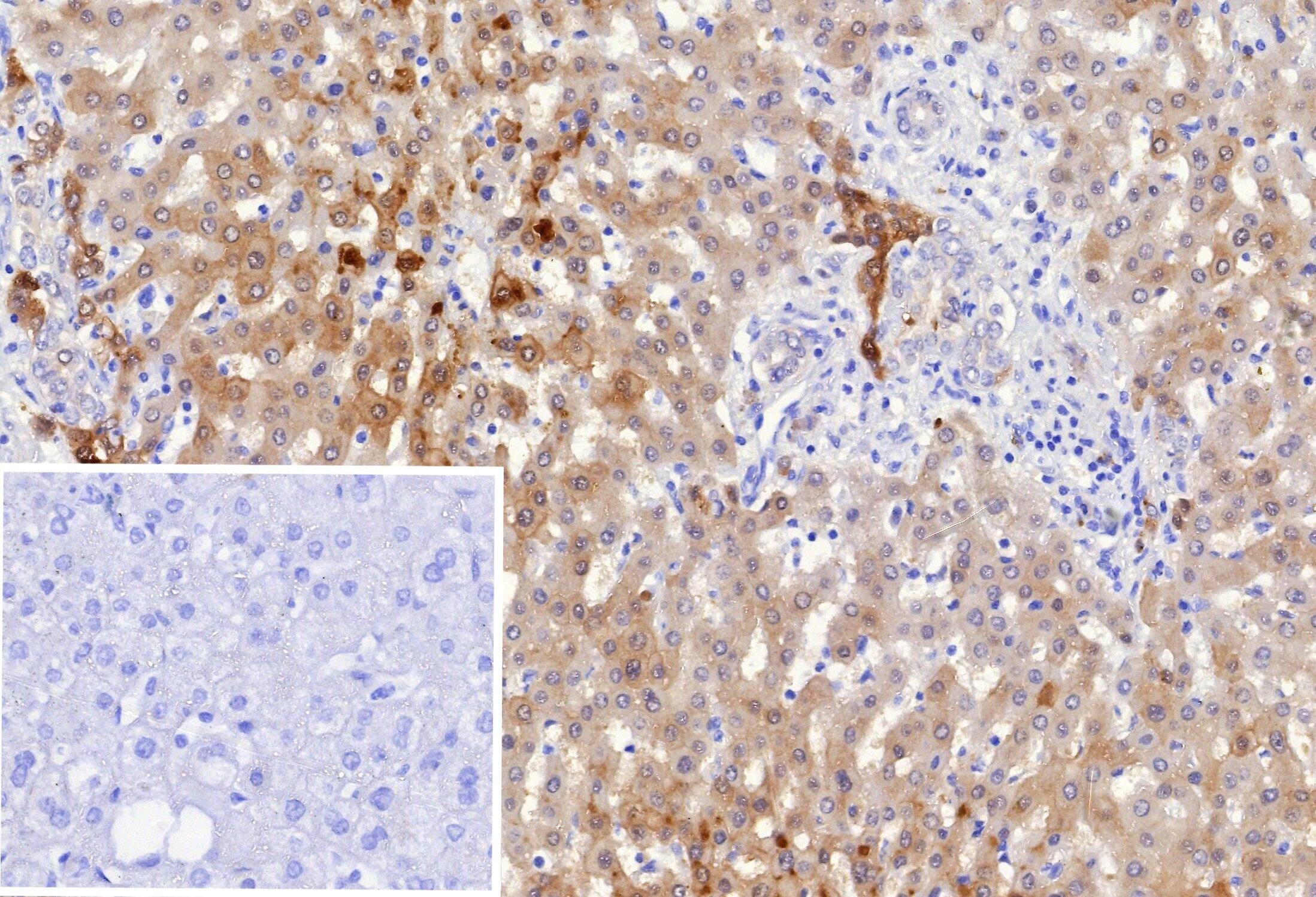
Formalin-fixed, paraffin-embedded human hepatocellular carcinoma (HCC) stained with Aldo-keto Reductase 1C1/AKR1C1 Antibody (AKR1C1/9318) - Azide and BSA Free. Inset: PBS instead of primary antibody; secondary only ...read more
Western blot analysis of (1) human liver, (2) mouse liver, (3) rat liver, (4) hamster liver, (5) guinea pig liver and (6) HepG2 cell lysates using Aldo-keto Reductase 1C1/AKR1C1 Antibody (AKR1C1/9318) - Azide and BSA ...read more

Product Details

Summary
Reactivity HuSpecies Glossary
Applications WB, IHC
Clone
AKR1C1/9318
Clonality
Monoclonal
Host
Mouse
Conjugate
Unconjugated
Format
Azide and BSA Free
Concentration
1 mg/ml

Order Details

View Available Formulations
Catalog# & Formulation Size Price

Aldo-keto Reductase 1C1/AKR1C1 Antibody (AKR1C1/9318) - Azide and BSA Free Summary

Description
1.0 mg/ml of antibody purified from Bioreactor Concentrate by Protein A/G. Prepared in 10mM PBS WITHOUT BSA & azide. Also available at 200 ug/ml WITH BSA & azide (NBP3-44593).

Antibody with azide - store at 2 to 8C. Antibody without azide - store at -20 to -80C. Non-hazardous. No MSDS required.
Immunogen
Recombinant human full-length Aldo-keto Reductase 1C1/AKR1C1 protein (Uniprot: Q04828). Exact sequence is proprietary.
Localization
Cytoplasm.
Isotype
IgG2b Kappa
Clonality
Monoclonal
Host
Mouse
Gene
AKR1C1
Purity
Protein A purified
Innovator's Reward
Test in a species/application not listed above to receive a full credit towards a future purchase.

Applications/Dilutions

Dilutions
  • Immunohistochemistry : 1-2ug/ml
  • Western Blot : 2-4ug/ml
Application Notes
Immunohistochemistry: 30 min at RT. Staining of formalin-fixed tissues requires heating tissue sections in 10mM Tris with 1mM EDTA, pH 9.0, for 45 min at 95C followed by cooling at RT for 20 minutes.
Theoretical MW
37 kDa.
Disclaimer note: The observed molecular weight of the protein may vary from the listed predicted molecular weight due to post translational modifications, post translation cleavages, relative charges, and other experimental factors.

Packaging, Storage & Formulations

Storage
Store at -20 to -80C. Avoid freeze-thaw cycles.
Buffer
10 mM PBS
Preservative
No Preservative
Concentration
1 mg/ml
Purity
Protein A purified

Alternate Names for Aldo-keto Reductase 1C1/AKR1C1 Antibody (AKR1C1/9318) - Azide and BSA Free

  • 20 alpha-hydroxysteroid dehydrogenase
  • 20-ALPHA-HSD
  • 20-alpha-hydroxysteroid dehydrogenase
  • 2-ALPHA-HSD
  • AKR1C1
  • Aldo-keto Reductase 1C1
  • aldo-keto reductase family 1 member C1
  • aldo-keto reductase family 1, member C1 (dihydrodiol dehydrogenase 1; 20-alpha(3-alpha)-hydroxysteroid dehydrogenase)
  • AldoketoReductase 1C1
  • C9
  • Chlordecone reductase homolog HAKRC
  • DD1/DD2
  • DD1MGC8954
  • DDH1
  • DDHH-37
  • dihydrodiol dehydrogenase 1
  • Dihydrodiol dehydrogenase 1/2
  • dihydrodiol dehydrogenase isoform DD1
  • EC 1.1.1
  • EC 1.1.1.-
  • EC 1.1.1.112
  • EC 1.1.1.149,2-ALPHA-HSD
  • EC 1.3.1.20
  • HAKRC
  • HAKRCDDH1aldo-keto reductase C
  • HBAB
  • hepatic dihydrodiol dehydrogenase
  • High-affinity hepatic bile acid-binding protein
  • Indanol dehydrogenase
  • MBAB
  • Trans-1,2-dihydrobenzene-1,2-diol dehydrogenase
  • type II 3-alpha-hydroxysteroid dehydrogenase

Background

AKR1C1 encodes a member of the aldo/keto reductase superfamily, which consists of more than 40 known enzymes and proteins. These enzymes catalyze the conversion of aldehydes and ketones to their corresponding alcohols by utilizing NADH and/or NADPH as cofactors. The enzymes display overlapping but distinct substrate specificity. This enzyme catalyzes the reaction of progesterone to the inactive form 20-alpha-hydroxy-progesterone. This gene shares high sequence identity with three other gene members and is clustered with those three genes at chromosome 10p15-p14.

Limitations

This product is for research use only and is not approved for use in humans or in clinical diagnosis. Primary Antibodies are guaranteed for 1 year from date of receipt.

Customers Who Viewed This Item Also Viewed...

NB200-540
Species: Ec, Mu
Applications: CyTOF-ready, Flow-IC, Flow, IA, ICC/IF, IHC, IHC-Fr,  IHC-P, IP
2150-C5
Species: Mu
Applications: BA
H00000730-D01P
Species: Hu, Mu
Applications: WB
DIP100
Species: Hu
Applications: ELISA
NBP3-16514
Species: Hu, Mu, Rt
Applications: IHC,  IHC-P, WB
NBP1-91803
Species: Hu
Applications: IHC,  IHC-P, WB
H00005688-M01
Species: Hu
Applications: ELISA, ICC/IF, IHC,  IHC-P, IP, S-ELISA, WB
NBP2-36776
Species: Hu
Applications: ICC/IF, IHC,  IHC-P, KD, WB
NBP2-34234
Species: Hu
Applications: ELISA, ICC/IF, IHC,  IHC-P
AF1936
Species: Hu
Applications: IP, WB
NBP3-35145
Species: Hu, Mu, Rt
Applications: ELISA, ICC/IF, IHC,  IHC-P, WB
NB500-330
Species: Hu
Applications: B/N, CyTOF-ready, Flow, IHC, IHC-Fr,  IHC-P, IP
H00113246-P01
Species: Hu
Applications: ELISA, AP, PA, WB
H00001109-M01
Species: Hu
Applications: ELISA, ICC/IF, IHC,  IHC-P, S-ELISA, WB
NBP1-87492
Species: Hu
Applications: IHC,  IHC-P, WB
NBP1-88527
Species: Hu, Mu, Rt
Applications: IHC,  IHC-P, WB
NBP2-93935
Species: Hu, Mu, Rt
Applications: ICC/IF, WB
NBP1-31378
Species: Hu, Rt
Applications: ICC/IF, IHC,  IHC-P, IP, WB
2308-VN
Species: Hu
Applications: BA
AF2009
Species: Hu
Applications: ICC, IHC

Publications for Aldo-keto Reductase 1C1/AKR1C1 Antibody (NBP3-45095) (0)

There are no publications for Aldo-keto Reductase 1C1/AKR1C1 Antibody (NBP3-45095).
By submitting your publication information earn gift cards and discounts for future purchases.

Reviews for Aldo-keto Reductase 1C1/AKR1C1 Antibody (NBP3-45095) (0)

There are no reviews for Aldo-keto Reductase 1C1/AKR1C1 Antibody (NBP3-45095). By submitting a review you will receive an Amazon e-Gift Card or Novus Product Discount.
  • Review with no image -- $10/€7/£6/$10 CAD/¥70 Yuan/¥1110 Yen
  • Review with an image -- $25/€18/£15/$25 CAD/¥150 Yuan/¥2500 Yen

Product General Protocols

Find general support by application which include: protocols, troubleshooting, illustrated assays, videos and webinars.

Video Protocols

WB Video Protocol

FAQs for Aldo-keto Reductase 1C1/AKR1C1 Antibody (NBP3-45095) (0)

There are no specific FAQs related to this product. Read our general customer & technical service FAQs.

Customers Who Bought This Also Bought

Contact Information

Product PDFs

Calculators

Concentration Calculator

The concentration calculator allows you to quickly calculate the volume, mass or concentration of your vial. Simply enter your mass, volume, or concentration values for your reagent and the calculator will determine the rest.

=
÷

Review this Product

Be the first to review our Aldo-keto Reductase 1C1/AKR1C1 Antibody (AKR1C1/9318) - Azide and BSA Free and receive a gift card or discount.

Bioinformatics

Gene Symbol AKR1C1