ALDH1L1 Antibody (JU53-54)

Images

 
Western Blot: ALDH1L1 Antibody (JU53-54) [NBP2-75399] - Analysis of ALDH1L1 on mouse liver tissue lysates using anti-ALDH1L1 antibody at 1/500 dilution.
Immunohistochemistry-Paraffin: ALDH1L1 Antibody (JU53-54) [NBP2-75399] - Analysis of paraffin-embedded rat kidney tissue using anti-ALDH1L1 antibody. Counter stained with hematoxylin.
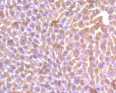
Immunohistochemistry-Paraffin: ALDH1L1 Antibody (JU53-54) [NBP2-75399] - Analysis of paraffin-embedded human liver tissue using anti-ALDH1L1 antibody. Counter stained with hematoxylin.
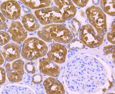
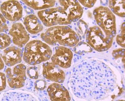
Immunohistochemistry-Paraffin: ALDH1L1 Antibody (JU53-54) [NBP2-75399] - Analysis of paraffin-embedded human kidney tissue using anti-ALDH1L1 antibody. Counter stained with hematoxylin.
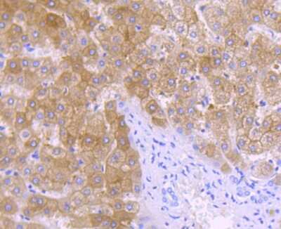
Immunohistochemistry-Paraffin: ALDH1L1 Antibody (JU53-54) [NBP2-75399] - Analysis of paraffin-embedded mouse liver tissue using anti-ALDH1L1 antibody. Counter stained with hematoxylin.

Product Details

Summary
Product Discontinued
View other related ALDH1L1 Primary Antibodies

Order Details


    • Catalog Number
      NBP2-75399
    • Availability
      Product Discontinued

    Can't find what you are looking for? Use our Antibody Concierge Service & we will help you locate your antibody!

    Or feel free to contact us for alternative products.

ALDH1L1 Antibody (JU53-54) Summary

Additional Information
Recombinant Monoclonal Antibody.
Immunogen
Recombinant protein within Human ALDH1L1 aa 155-375 . (SwissProt: O75891 Human; SwissProt: Q8R0Y6 Mouse; SwissProt: P28037 Rat)
Localization
Cytoplasm.
Isotype
IgG
Clonality
Monoclonal
Host
Rabbit
Gene
ALDH1L1
Purity
Protein A purified
Innovator's Reward
Test in a species/application not listed above to receive a full credit towards a future purchase.

Applications/Dilutions

Dilutions
  • Immunohistochemistry
  • Immunohistochemistry-Paraffin 1:50-1:200
  • Western Blot 1:500-2000
Theoretical MW
99 kDa.
Disclaimer note: The observed molecular weight of the protein may vary from the listed predicted molecular weight due to post translational modifications, post translation cleavages, relative charges, and other experimental factors.

Packaging, Storage & Formulations

Storage
Store at 4C short term. Aliquot and store at -20C long term. Avoid freeze-thaw cycles.
Buffer
TBS (pH7.4), 0.05% BSA, 40% Glycerol
Preservative
0.05% Sodium Azide
Concentration
1 mg/ml
Purity
Protein A purified

Alternate Names for ALDH1L1 Antibody (JU53-54)

  • 10-formyltetrahydrofolate dehydrogenase
  • aldehyde dehydrogenase 1 family, member L1
  • aldehyde dehydrogenase family 1 member L1
  • Cytosolic 10-formyltetrahydrofolate dehydrogenase
  • DKFZp781N0997
  • EC 1.5.1.6,10-FTHFDH
  • FDH
  • formyltetrahydrofolate dehydrogenase
  • FTHFD10-fTHF

Background

ALDH1L1 is encoded by this gene catalyzes the conversion of 10-formyltetrahydrofolate, NADP, and water to tetrahydrofolate, NADPH, and carbon dioxide. The encoded protein belongs to the aldehyde dehydrogenase family and is responsible for formate oxidation in vivo. Deficiencies in this gene can result in an accumulation of formate and subsequent methanol poisoning.

Limitations

This product is for research use only and is not approved for use in humans or in clinical diagnosis. Primary Antibodies are guaranteed for 1 year from date of receipt.

Customers Who Viewed This Item Also Viewed...

NBP2-49350
Species: Hu
Applications: IHC,  IHC-P, Simple Western, WB
NBP1-81838
Species: Hu, Mu
Applications: IHC,  IHC-P, WB
AF1936
Species: Hu
Applications: IP, WB
MAB1455
Species: Hu
Applications: CyTOF-ready, Dual ISH-IHC, ICC, IHC, ICFlow, Simple Western, WB
AF009
Species: Hu
Applications: IHC, WB
NBP1-81935
Species: Hu
Applications: ICC/IF, IHC,  IHC-P
NBP2-02164
Species: Hu, Mu, Rt
Applications: Flow, ICC/IF, IHC,  IHC-P, WB
NBP1-91942
Species: Hu, Mu, Rt
Applications: IHC,  IHC-P, WB
NBP1-32259
Species: Hu, Mu, Rt
Applications: ICC/IF, IHC,  IHC-P, KO, WB
NBP1-90906
Species: Hu, Mu, Rt
Applications: ICC/IF, IHC,  IHC-P, WB
NBP2-16679
Species: Dr, Hu, Mu, Rt
Applications: ELISA, ICC/IF, IHC,  IHC-P, WB
MAB17761
Species: Hu, Mu, Rt
Applications: ICC, WB
NBP2-24915
Species: Bv, Hu, Mu, Rt
Applications: IHC,  IHC-P, WB
NB200-103
Species: Hu, Mu, Rt, Xp(-), Ye
Applications: CyTOF-ready, ELISA, Flow-IC, Flow, ICC/IF, IHC, IHC-Fr,  IHC-P, IP, WB
NBP1-82847
Species: Hu
Applications: ICC/IF, IHC,  IHC-P, WB
H00000053-M01
Species: Hu
Applications: ELISA, ICC/IF, IHC,  IHC-P, KD, WB
NBP1-04266
Species: Hu
Applications: ELISA, ICC/IF, WB
NB100-56745
Species: Hu, Mu
Applications: ChIP, ChIP, ICC/IF, IHC,  IHC-P, IP, WB
H00055835-M02
Species: Hu
Applications: ELISA, IP, S-ELISA, WB
NBP2-75399
Species: Hu, Mu, Rt
Applications: WB, IHC

Publications for ALDH1L1 Antibody (NBP2-75399) (0)

There are no publications for ALDH1L1 Antibody (NBP2-75399).
By submitting your publication information earn gift cards and discounts for future purchases.

Reviews for ALDH1L1 Antibody (NBP2-75399) (0)

There are no reviews for ALDH1L1 Antibody (NBP2-75399). By submitting a review you will receive an Amazon e-Gift Card or Novus Product Discount.
  • Review with no image -- $10/€7/£6/$10 CAD/¥70 Yuan/¥1110 Yen
  • Review with an image -- $25/€18/£15/$25 CAD/¥150 Yuan/¥2500 Yen

Product General Protocols

Find general support by application which include: protocols, troubleshooting, illustrated assays, videos and webinars.

Video Protocols

WB Video Protocol

FAQs for ALDH1L1 Antibody (NBP2-75399) (0)

There are no specific FAQs related to this product. Read our general customer & technical service FAQs.

Secondary Antibodies

 

Isotype Controls

Additional ALDH1L1 Products

Research Areas for ALDH1L1 Antibody (NBP2-75399)

Find related products by research area.

Blogs on ALDH1L1

There are no specific blogs for ALDH1L1, but you can read our latest blog posts.

Contact Information

Product PDFs

Calculators

Concentration Calculator

The concentration calculator allows you to quickly calculate the volume, mass or concentration of your vial. Simply enter your mass, volume, or concentration values for your reagent and the calculator will determine the rest.

=
÷

Review this Product

Be the first to review our ALDH1L1 Antibody (JU53-54) and receive a gift card or discount.

Bioinformatics

Gene Symbol ALDH1L1