ALDH1A3 Antibody (CL11968) - Azide and BSA Free

Images

 
Orthogonal Strategies: Analysis in human prostate and skeletal muscle tissues using NBP3-44356 antibody. Corresponding ALDH1A3 RNA-seq data are presented for the same tissues.
Staining of human anaplastic oligodendroglioma shows strong cytoplasmic positivity in a subset of cells.
Staining of human cerebral cortex shows strong cytoplasmic positivity in glial cells.
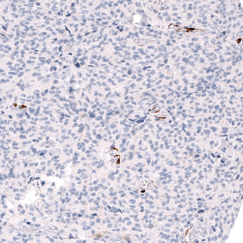
Staining of human skeletal muscle shows no positivity in myocytes as expected.
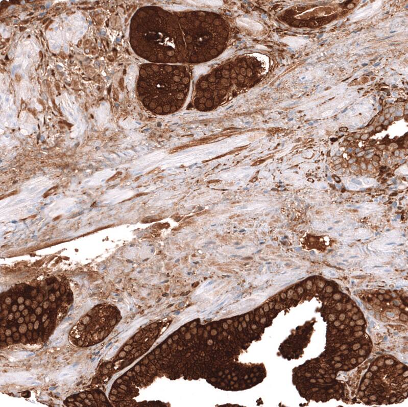
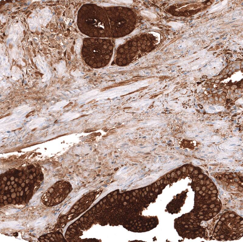
Staining of human prostate cancer shows strong cytoplasmic positivity in tumor cells.
Staining of human prostate shows strong cytoplasmic positivity in glandular cells.
Analysis in human cell line U-2197.
Staining of PC-3 cells using the Anti-ALDH1A3 monoclonal antibody, showing specific staining in cytosol in green. Nuclear probe is visualized in blue.
Staining of human testis shows moderate to strong cytoplasmic positivity in peritubular myoid cells.

Product Details

Summary
Reactivity HuSpecies Glossary
Applications WB, ICC/IF, IHC
Clone
CL11968
Clonality
Monoclonal
Host
Mouse
Conjugate
Unconjugated
Format
Azide and BSA Free
Concentration
LYOPH
Validated by:
       

Orthogonal Strategies

 

Order Details

ALDH1A3 Antibody (CL11968) - Azide and BSA Free Summary

Description
Novus Biologicals Mouse ALDH1A3 Antibody (CL11968) - Azide and BSA Free (NBP3-15126) is a monoclonal antibody validated for use in IHC, WB and ICC/IF. All Novus Biologicals antibodies are covered by our 100% guarantee.
Immunogen
This antibody was generated using a synthetic peptide of P47895, with the exact immunogen sequence remaining proprietary.
Isotype
IgG2a
Clonality
Monoclonal
Host
Mouse
Gene
ALDH1A3
Purity
Protein A purified
Innovator's Reward
Test in a species/application not listed above to receive a full credit towards a future purchase.

Applications/Dilutions

Dilutions
  • Immunocytochemistry/ Immunofluorescence 2-10 ug/ml
  • Immunohistochemistry-Paraffin 1:1000 - 1:2500
  • Western Blot 1 ug/ml
Application Notes
For IHC-Paraffin, HIER pH 6 retrieval is recommended. Immunocytochemistry/Immunofluorescence, PFA/Triton X-100 is recommended for fixation/permeabilization.

Packaging, Storage & Formulations

Storage
Store at 4C short term. Aliquot and store at -20C long term. Avoid freeze-thaw cycles.
Buffer
Lyophilized from a 0.2 um filtered solution in PBS with Trehalose
Preservative
No Preservative
Concentration
LYOPH
Purity
Protein A purified
Reconstitution Instructions
Centrifuge the vial of lyophilized antibody at 12,000 x g for 20 seconds. Reconstitute by adding sterile, distilled water to achieve a final antibody concentration of 1mg/ml.

Alternate Names for ALDH1A3 Antibody (CL11968) - Azide and BSA Free

  • aldehyde dehydrogenase 1 family, member A3
  • Aldehyde Dehydrogenase 1-A3
  • Aldehyde dehydrogenase 6
  • aldehyde dehydrogenase family 1 member A3
  • ALDH1A3
  • ALDH1A6
  • ALDH6
  • ALDH6acetaldehyde dehydrogenase 6
  • EC 1.2.1
  • EC 1.2.1.5
  • MCOP8
  • RALDH3
  • RALDH-3
  • Retinaldehyde dehydrogenase 3

Background

Aldehyde dehydrogenase isozymes are thought to play a major role in the detoxification of aldehydes generated by alcohol metabolism and lipid peroxidation. The enzyme encoded by this gene uses retinal as a substrate, either in a free or cellular retinol-binding protein form. [provided by RefSeq].

Limitations

This product is for research use only and is not approved for use in humans or in clinical diagnosis. Primary Antibodies are guaranteed for 1 year from date of receipt.

Customers Who Viewed This Item Also Viewed...

AF5869
Species: Hu, Mu
Applications: ICC, IHC, IP, Simple Western, WB
NBP1-87158
Species: Hu
Applications: IHC,  IHC-P, Simple Western, WB
NBP3-16627
Species: Hu, Mu, Rt
Applications: ELISA, ICC/IF, IHC,  IHC-P, WB
314-BP
Species: Hu
Applications: BA, BA
AF8150
Species: Hu
Applications: ICC, ICFlow, Simple Western, WB
423-F8
Species: Hu, Mu
Applications: BA
NBP2-00637
Species: Hu, Mu, Rt
Applications: Flow, ICC/IF, IHC,  IHC-P, WB
NBP2-02483
Species: Hu
Applications: Flow, ICC/IF, IHC,  IHC-P, WB
NBP2-15161
Species: Hu
Applications: ICC/IF, WB
NBP2-02164
Species: Hu, Mu, Rt
Applications: Flow, ICC/IF, IHC,  IHC-P, WB
NBP1-89150
Species: Hu
Applications: IHC,  IHC-P, WB
NBP3-16601
Species: Hu, Mu, Rt
Applications: ICC/IF, IHC,  IHC-P, WB
NB100-53810
Species: Hu, Mu
Applications: Flow, IHC,  IHC-P, PEP-ELISA
NB200-322
Species: Hu, Mu, Rt
Applications: ICC/IF, IHC, IHC-Fr, WB
NBP2-24722
Species: Hu
Applications: IHC,  IHC-P, In vitro, WB
NB100-74398
Species: Hu, Mu, Pm, Rt
Applications: ICC/IF, IHC,  IHC-P, WB
NBP3-44356
Species: Hu
Applications: WB, ICC/IF, IHC

Publications for ALDH1A3 Antibody (NBP3-44356) (0)

There are no publications for ALDH1A3 Antibody (NBP3-44356).
By submitting your publication information earn gift cards and discounts for future purchases.

Reviews for ALDH1A3 Antibody (NBP3-44356) (0)

There are no reviews for ALDH1A3 Antibody (NBP3-44356). By submitting a review you will receive an Amazon e-Gift Card or Novus Product Discount.
  • Review with no image -- $10/€7/£6/$10 CAD/¥70 Yuan/¥1110 Yen
  • Review with an image -- $25/€18/£15/$25 CAD/¥150 Yuan/¥2500 Yen

Product General Protocols

Find general support by application which include: protocols, troubleshooting, illustrated assays, videos and webinars.

Video Protocols

WB Video Protocol
ICC/IF Video Protocol

FAQs for ALDH1A3 Antibody (NBP3-44356) (0)

There are no specific FAQs related to this product. Read our general customer & technical service FAQs.

Secondary Antibodies

 

Isotype Controls

Additional ALDH1A3 Products

Research Areas for ALDH1A3 Antibody (NBP3-44356)

Find related products by research area.

Blogs on ALDH1A3

There are no specific blogs for ALDH1A3, but you can read our latest blog posts.

Customers Who Bought This Also Bought

Contact Information

Product PDFs

Calculators

Concentration Calculator

The concentration calculator allows you to quickly calculate the volume, mass or concentration of your vial. Simply enter your mass, volume, or concentration values for your reagent and the calculator will determine the rest.

=
÷

Review this Product

Be the first to review our ALDH1A3 Antibody (CL11968) - Azide and BSA Free and receive a gift card or discount.

Bioinformatics

Gene Symbol ALDH1A3