Adipolin/FAM132A Antibody - BSA Free

Images

 
Immunocytochemistry/ Immunofluorescence: Adipolin/FAM132A Antibody [NBP1-90700] - Staining of human cell line U-251 MG shows localization to vesicles. Antibody staining is shown in green.
Immunohistochemistry-Paraffin: Adipolin/FAM132A Antibody [NBP1-90700] - Staining of human colon shows membranous and cytoplasmic positivity in glandular cells.
Immunohistochemistry-Paraffin: Adipolin/FAM132A Antibody [NBP1-90700] - Staining of human tonsil shows moderate membranous and cytoplasmic positivity in squamous epithelial cells.
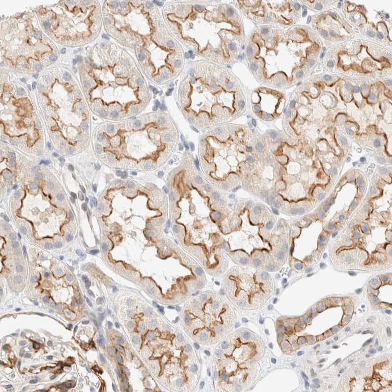
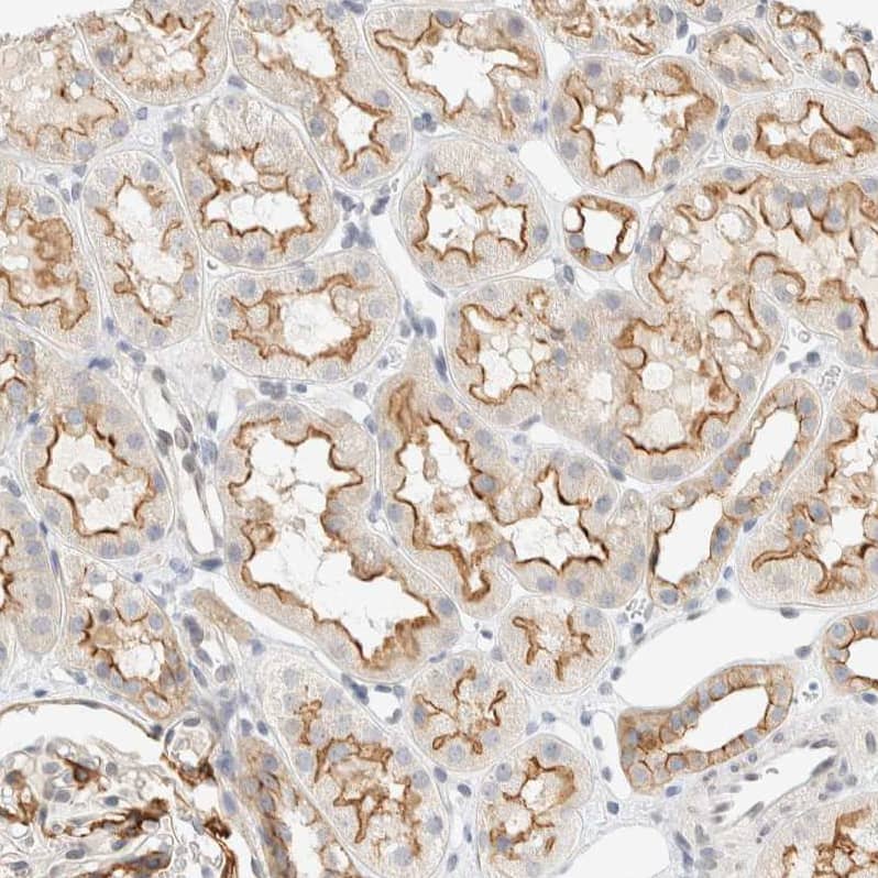
Immunohistochemistry-Paraffin: Adipolin/FAM132A Antibody [NBP1-90700] - Staining of human kidney shows moderate membranous and cytoplasmic postivity in cells in tubules.
Staining of human Kidney shows moderate membranous and cytoplasmic positivity in cells in tubules.
Staining of human Tonsil shows moderate membranous and cytoplasmic positivity in squamous epithelial cells.
Staining of human Colon shows moderate membranous-cytoplasmic positivity in glandular cells.
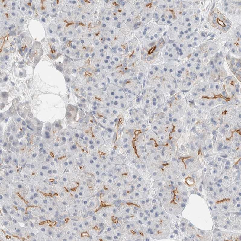
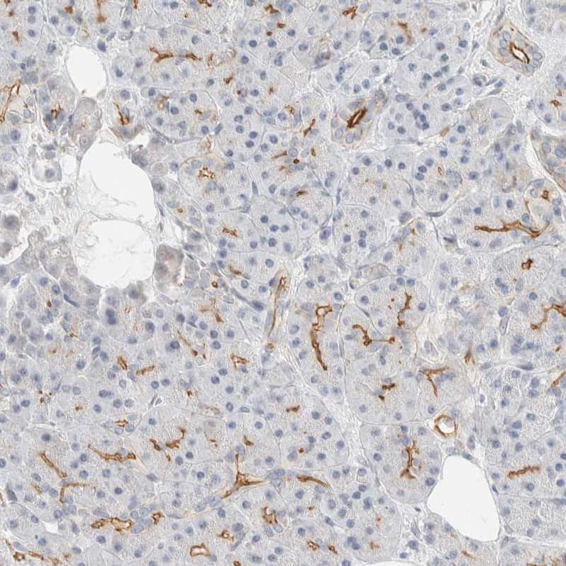
Staining of human Pancreas shows moderate membranous positivity in exocrine glandular cells.

Product Details

Summary
Reactivity HuSpecies Glossary
Applications ICC/IF, IHC
Clonality
Polyclonal
Host
Rabbit
Conjugate
Unconjugated
Format
BSA Free

Order Details

View Available Formulations
Catalog# & Formulation Size Price

Adipolin/FAM132A Antibody - BSA Free Summary

Description
Novus Biologicals Rabbit Adipolin/FAM132A Antibody - BSA Free (NBP1-90700) is a polyclonal antibody validated for use in IHC and ICC/IF. All Novus Biologicals antibodies are covered by our 100% guarantee.
Immunogen
This antibody was developed against Recombinant Protein corresponding to amino acids: DAHMTWLNFVRRPDDGALRKRCGSRDKKPRDLFGPPGPPGAEVTAETLLHEFQELLKEATERRFSGLLD
Isotype
IgG
Clonality
Polyclonal
Host
Rabbit
Gene
FAM132A
Purity
Immunogen affinity purified
Innovator's Reward
Test in a species/application not listed above to receive a full credit towards a future purchase.

Applications/Dilutions

Dilutions
  • Immunocytochemistry/ Immunofluorescence 0.25-2 ug/ml
  • Immunohistochemistry 1:50 - 1:200
  • Immunohistochemistry-Paraffin 1:50 - 1:200
Application Notes
For IHC-Paraffin, HIER pH 6 retrieval is recommended. ICC/IF Fixation Permeabilization: Use PFA/Triton X-100.
Control Peptide
Adipolin/FAM132A Recombinant Protein Antigen (NBP1-90700PEP)

Packaging, Storage & Formulations

Storage
Store at 4C short term. Aliquot and store at -20C long term. Avoid freeze-thaw cycles.
Buffer
PBS (pH 7.2) and 40% Glycerol
Preservative
0.02% Sodium Azide
Purity
Immunogen affinity purified

Alternate Names for Adipolin/FAM132A Antibody - BSA Free

  • Adipolin
  • Adipose-Derived Insulin-Sensitizing Factor
  • C1qDC2
  • C1qTNF12
  • CTRP12
  • FAM132A
  • family with sequence similarity 132, member A
  • protein FAM132A

Limitations

This product is for research use only and is not approved for use in humans or in clinical diagnosis. Primary Antibodies are guaranteed for 1 year from date of receipt.

Customers Who Viewed This Item Also Viewed...

NB100-1903
Species: Ca, Ha, Hu, Mu, Po, Pm, Rt
Applications: B/N, Flow, ICC/IF, IHC,  IHC-P, IP, WB
MAB1417
Species: Bv, Hu, Mu
Applications: ICC, IHC
NBP1-87492
Species: Hu
Applications: IHC,  IHC-P, WB
AF887
Species: Hu, Mu, Rt
Applications: CyTOF-ready, IHC, ICFlow, Simple Western, WB
NBP2-22203
Species: Hu, Pm, Mu, Rt
Applications: ELISA, Flow, ICC/IF, IHC,  IHC-P, WB
AF1443
Species: Mu, Rt
Applications: ICC, IHC, Simple Western, WB
NB400-144
Species: Av, Bv, Hu, Mu, Po, Pm, Rb, Rt
Applications: ICC/IF, IHC, IHC-Fr,  IHC-P, WB
NBP1-87695
Species: Hu, Mu, Rt
Applications: ICC/IF, IHC,  IHC-P, WB
NBP2-81909
Species: Hu, Mu, Rt
Applications: ELISA, ICC/IF, IHC, WB
MAB3304
Species: Hu
Applications: CyTOF-ready, ICC, ICFlow
NBP1-90700
Species: Hu
Applications: ICC/IF, IHC

Publications for Adipolin/FAM132A Antibody (NBP1-90700) (0)

There are no publications for Adipolin/FAM132A Antibody (NBP1-90700).
By submitting your publication information earn gift cards and discounts for future purchases.

Reviews for Adipolin/FAM132A Antibody (NBP1-90700) (0)

There are no reviews for Adipolin/FAM132A Antibody (NBP1-90700). By submitting a review you will receive an Amazon e-Gift Card or Novus Product Discount.
  • Review with no image -- $10/€7/£6/$10 CAD/¥70 Yuan/¥1110 Yen
  • Review with an image -- $25/€18/£15/$25 CAD/¥150 Yuan/¥2500 Yen

Product General Protocols

Find general support by application which include: protocols, troubleshooting, illustrated assays, videos and webinars.

Video Protocols

ICC/IF Video Protocol

FAQs for Adipolin/FAM132A Antibody (NBP1-90700) (0)

There are no specific FAQs related to this product. Read our general customer & technical service FAQs.

Customers Who Bought This Also Bought

Contact Information

Product PDFs

Calculators

Concentration Calculator

The concentration calculator allows you to quickly calculate the volume, mass or concentration of your vial. Simply enter your mass, volume, or concentration values for your reagent and the calculator will determine the rest.

=
÷

Review this Product

Be the first to review our Adipolin/FAM132A Antibody - BSA Free and receive a gift card or discount.

Bioinformatics

Gene Symbol FAM132A