Acylglycerol Kinase Antibody - BSA Free

Images

 
Western Blot: Acylglycerol Kinase Antibody [NBP1-32163] - Sample(30 ug of whole cell lysate) A:A431 B:H1299 10% SDS PAGE, antibody diluted at 1:500.
Immunocytochemistry/ Immunofluorescence: Acylglycerol Kinase Antibody [NBP1-32163] - Methanol-fixed Hep3B, using Acylglycerol kinase (NBP1-32163) antibody at 1:500 dilution.
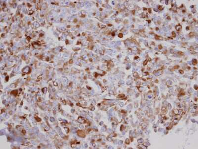
Immunohistochemistry-Paraffin: Acylglycerol Kinase Antibody [NBP1-32163] - Acylglycerol kinase antibody detects Acylglycerol kinase protein at cytoplasm in human hepatocellular carcinoma by immunohistochemical analysis. ...read more
Western Blot: Acylglycerol Kinase Antibody [NBP1-32163] - 50 ug mouse heart lysate/extract 10 % SDS-PAGE gel, antibody dilution 1:1000.
Immunohistochemistry-Paraffin: Acylglycerol Kinase Antibody [NBP1-32163] - Paraffin-embedded H1299 xenograft, using antibody at 1:100 dilution.
Immunohistochemistry-Paraffin: Acylglycerol Kinase Antibody [NBP1-32163] - Acylglycerol kinase antibody detects Acylglycerol kinase protein at mitochondria on mouse kidney by immunohistochemical analysis. Sample: ...read more
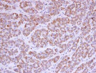
Immunohistochemistry-Paraffin: Acylglycerol Kinase Antibody [NBP1-32163] - Acylglycerol kinase antibody detects Acylglycerol kinase protein at cytoplasm on mouse heart by immunohistochemical analysis. Sample: ...read more
Western Blot: Acylglycerol Kinase Antibody [NBP1-32163] -Mouse tissue extract (30ug) was separated by 10% SDS-PAGE, and the membrane was blotted with Acylglycerol kinase antibody diluted at 1:1000. The HRP-conjugated ...read more
Genetic Strategies: Western Blot: Acylglycerol Kinase Antibody [NBP1-32163] - Non-transfected (–) and transfected (+) 293T whole cell extracts (30 ug) were separated by 10% SDS-PAGE, and the membrane was ...read more
Orthogonal Strategies: Western Blot: Acylglycerol Kinase Antibody [NBP1-32163] - Various whole cell extracts (30 ug) were separated by 10% SDS-PAGE, and the membrane was blotted with Acylglycerol kinase antibody ...read more

Product Details

Summary
Reactivity Hu, MuSpecies Glossary
Applications WB, ICC/IF, IHC
Clonality
Polyclonal
Host
Rabbit
Conjugate
Unconjugated
Format
BSA Free

Order Details

Acylglycerol Kinase Antibody - BSA Free Summary

Description
Novus Biologicals Rabbit Acylglycerol Kinase Antibody - BSA Free (NBP1-32163) is a polyclonal antibody validated for use in IHC, WB and ICC/IF. All Novus Biologicals antibodies are covered by our 100% guarantee.
Immunogen
Recombinant protein encompassing a sequence within the center region of human Acylglycerol Kinase. The exact sequence is proprietary.
Localization
Mitochondrion membrane
Isotype
IgG
Clonality
Polyclonal
Host
Rabbit
Gene
AGK
Purity
Antigen Affinity-purified
Innovator's Reward
Test in a species/application not listed above to receive a full credit towards a future purchase.

Applications/Dilutions

Dilutions
  • Immunocytochemistry/ Immunofluorescence 1:100-1:1000
  • Immunohistochemistry 1:100-1:1000
  • Immunohistochemistry-Paraffin 1:100-1:1000
  • Western Blot 1:500-1:3000
Theoretical MW
47 kDa.
Disclaimer note: The observed molecular weight of the protein may vary from the listed predicted molecular weight due to post translational modifications, post translation cleavages, relative charges, and other experimental factors.

Packaging, Storage & Formulations

Storage
Aliquot and store at -20C or -80C. Avoid freeze-thaw cycles.
Buffer
0.1M Tris, 0.1M Glycine, 10% Glycerol
Preservative
0.01% Thimerosal
Purity
Antigen Affinity-purified

Alternate Names for Acylglycerol Kinase Antibody - BSA Free

  • acylglycerol kinase
  • AGK
  • EC 2.7.1.107
  • EC 2.7.1.94
  • FLJ10842
  • FLJ10842
  • hAGK
  • HsMuLK
  • mitochondrial
  • MULK
  • MULKhsMuLK
  • Multi-substrate lipid kinase

Background

Lipid kinase that can phosphorylate both monoacylglycerol and diacylglycerol to form lysophosphatidic acid (LPA) and phosphatidic acid (PA), respectively. Does not phosphorylate sphingosine. Overexpression increases the formation and secretion of LPA, resulting in transactivation of EGFR and activation of the downstream MAPK signaling pathway, leading to increased cell growth

Limitations

This product is for research use only and is not approved for use in humans or in clinical diagnosis. Primary Antibodies are guaranteed for 1 year from date of receipt.

Customers Who Viewed This Item Also Viewed...

NBP2-37477
Species: Hu
Applications: ELISA, ICC/IF, IHC,  IHC-P, WB
5255-EN
Species: Hu
Applications: EnzAct
H00023049-M02
Species: Hu
Applications: ELISA, IHC,  IHC-P, S-ELISA, WB
NBP2-22203
Species: Hu, Pm, Mu, Rt
Applications: ELISA, Flow, ICC/IF, IHC,  IHC-P, WB
AF231
Species: Hu
Applications: CyTOF-ready, Dual ISH-IHC, ELISA(Cap), ELISA(Det), ELISA(Sta), Flow, ICC, IHC, IP, Simple Western, WB
NBP2-46518
Species: Hu
Applications: IHC,  IHC-P, WB
NBP2-01763
Species: Hu, Mu, Rt
Applications: Flow, IHC,  IHC-P, WB
MAB208
Species: Hu
Applications: CyTOF-ready, ELISA(Cap), ELISA(Det), ELISA(Sta), ICC, ICFlow, Neut, Simple Western, WB
DKK300
Species: Hu
Applications: ELISA
H00002038-M01
Species: Hu
Applications: ELISA, ICC/IF, WB
NB100-56583
Species: Hu, Rb, Rt
Applications: Flow, IHC,  IHC-P, KO, Simple Western, WB
H00005555-P01
Species: Hu
Applications: ELISA, AP, PA, PAGE, WB
NBP3-46899
Species: Hu
Applications: ELISA, ICC/IF, WB
236-EG
Species: Hu
Applications: BA
MAB8930
Species: Hu
Applications: ICC, Simple Western, WB
NBP3-46949
Species: Hu, Mu, Rt
Applications: ELISA, ICC/IF, IHC, WB
NBP1-03363
Species: Ch, Hu, Mu, Rt
Applications: ICC/IF, IHC, IHC-Fr,  IHC-P, Simple Western, WB
AF1347
Species: Hu, Mu, Rt
Applications: ICC, IHC, Simple Western, WB
NB100-2911
Species: Hu, Mu
Applications: ICC/IF, WB
NBP1-32163
Species: Hu, Mu
Applications: WB, ICC/IF, IHC
⚠ WARNING: This product can expose you to chemicals including mercury, which is known to the State of California to cause reproductive toxicity with developmental effects.  For more information go to www.P65Warnings.ca.gov.

Publications for Acylglycerol Kinase Antibody (NBP1-32163) (0)

There are no publications for Acylglycerol Kinase Antibody (NBP1-32163).
By submitting your publication information earn gift cards and discounts for future purchases.

Reviews for Acylglycerol Kinase Antibody (NBP1-32163) (0)

There are no reviews for Acylglycerol Kinase Antibody (NBP1-32163). By submitting a review you will receive an Amazon e-Gift Card or Novus Product Discount.
  • Review with no image -- $10/€7/£6/$10 CAD/Â¥70 Yuan/Â¥1110 Yen
  • Review with an image -- $25/€18/£15/$25 CAD/Â¥150 Yuan/Â¥2500 Yen

Product General Protocols

Find general support by application which include: protocols, troubleshooting, illustrated assays, videos and webinars.

Video Protocols

WB Video Protocol
ICC/IF Video Protocol

FAQs for Acylglycerol Kinase Antibody (NBP1-32163) (0)

There are no specific FAQs related to this product. Read our general customer & technical service FAQs.

Secondary Antibodies

 

Isotype Controls

Additional Acylglycerol Kinase Products

Research Areas for Acylglycerol Kinase Antibody (NBP1-32163)

Find related products by research area.

Blogs on Acylglycerol Kinase

There are no specific blogs for Acylglycerol Kinase, but you can read our latest blog posts.

Customers Who Bought This Also Bought

Contact Information

Product PDFs

Calculators

Concentration Calculator

The concentration calculator allows you to quickly calculate the volume, mass or concentration of your vial. Simply enter your mass, volume, or concentration values for your reagent and the calculator will determine the rest.

=
÷

Review this Product

Be the first to review our Acylglycerol Kinase Antibody - BSA Free and receive a gift card or discount.

Bioinformatics

Gene Symbol AGK
Entrez
Uniprot