ZNF235 Antibody - BSA Free

Images

 
Immunocytochemistry/ Immunofluorescence: ZNF235 Antibody [NBP1-92619] - Immunofluorescent staining of human cell line U-2 OS shows localization to nucleoplasm.
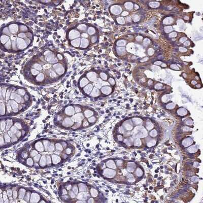
Immunohistochemistry-Paraffin: ZNF235 Antibody [NBP1-92619] - Staining of human rectum shows moderate cytoplasmic positivity in glandular cells.

Product Details

Summary
Reactivity HuSpecies Glossary
Applications ICC/IF, IHC
Clonality
Polyclonal
Host
Rabbit
Conjugate
Unconjugated
Format
BSA Free

Order Details

View Available Formulations
Catalog# & Formulation Size Price

ZNF235 Antibody - BSA Free Summary

Description
Novus Biologicals Rabbit ZNF235 Antibody - BSA Free (NBP1-92619) is a polyclonal antibody validated for use in IHC and ICC/IF. All Novus Biologicals antibodies are covered by our 100% guarantee.
Immunogen
This antibody was developed against Recombinant Protein corresponding to amino acids: ASVDDNCLVNHIGDHSSIIENQEFPTGKVPNSWSKIYLNETQNYQRSCKQTQMKNKLCIFAPYVDIFSCISHHH
Isotype
IgG
Clonality
Polyclonal
Host
Rabbit
Gene
ZNF235
Purity
Immunogen affinity purified
Innovator's Reward
Test in a species/application not listed above to receive a full credit towards a future purchase.

Applications/Dilutions

Dilutions
  • Immunocytochemistry/ Immunofluorescence 0.25-2 ug/ml
  • Immunohistochemistry 1:50 - 1:200
  • Immunohistochemistry-Paraffin 1:50 - 1:200
Application Notes
For IHC-Paraffin, HIER pH 6 retrieval is recommended. Immunocytochemistry/Immunofluorescence Fixation Permeabilization: Use PFA/Triton X-100.
Control Peptide
ZNF235 Protein (NBP1-92619PEP)

Packaging, Storage & Formulations

Storage
Store at 4C short term. Aliquot and store at -20C long term. Avoid freeze-thaw cycles.
Buffer
PBS (pH 7.2) and 40% Glycerol
Preservative
0.02% Sodium Azide
Purity
Immunogen affinity purified

Alternate Names for ZNF235 Antibody - BSA Free

  • ANF270
  • HZF6
  • ZFP93
  • zfp-93
  • zinc finger protein 235
  • zinc finger protein 270
  • zinc finger protein 6
  • zinc finger protein 93 homolog
  • zinc finger protein homologous to mouse Zfp93
  • zinc finger protein homologous to Zfp93 in mouse
  • zinc finger protein HZF6
  • ZNF270

Background

The ZNF235 gene product belongs to the zinc finger protein superfamily, members of which are regulatory proteins characterized by nucleic acid-binding zinc finger domains. The encoded protein is a member of the Kruppel family of zinc finger proteins, and contai

Limitations

This product is for research use only and is not approved for use in humans or in clinical diagnosis. Primary Antibodies are guaranteed for 1 year from date of receipt.

Customers Who Viewed This Item Also Viewed...

NBP1-79358
Species: Hu
Applications: WB
NBP2-21020
Species: Hu
Applications: ICC/IF, IHC,  IHC-P, WB
NBP1-82897
Species: Hu
Applications: ICC/IF, IHC,  IHC-P, WB
NBP2-37923
Species: Hu
Applications: ICC/IF, IHC,  IHC-P
NBP1-32382
Species: Hu
Applications: ICC/IF, IHC,  IHC-P, WB
NBP1-87154
Species: Hu
Applications: ICC/IF, IHC,  IHC-P, KD, WB
NBP2-30747
Species: Hu
Applications: ChIP-EXO-SEQ, ICC/IF, IHC,  IHC-P
AF3499
Species: Hu
Applications: WB
H00051710-M01
Species: Hu
Applications: ELISA, IHC,  IHC-P, S-ELISA, WB
NBP2-13566
Species: Hu
Applications: ChIP-EXO-SEQ, IHC,  IHC-P, WB
MAB5695
Species: Hu, Mu
Applications: WB

Publications for ZNF235 Antibody (NBP1-92619) (0)

There are no publications for ZNF235 Antibody (NBP1-92619).
By submitting your publication information earn gift cards and discounts for future purchases.

Reviews for ZNF235 Antibody (NBP1-92619) (0)

There are no reviews for ZNF235 Antibody (NBP1-92619). By submitting a review you will receive an Amazon e-Gift Card or Novus Product Discount.
  • Review with no image -- $10/€7/£6/$10 CAD/¥70 Yuan/¥1110 Yen
  • Review with an image -- $25/€18/£15/$25 CAD/¥150 Yuan/¥2500 Yen

Product General Protocols

Find general support by application which include: protocols, troubleshooting, illustrated assays, videos and webinars.

Video Protocols

ICC/IF Video Protocol

FAQs for ZNF235 Antibody (NBP1-92619) (0)

There are no specific FAQs related to this product. Read our general customer & technical service FAQs.

Customers Who Bought This Also Bought

Contact Information

Product PDFs

Calculators

Concentration Calculator

The concentration calculator allows you to quickly calculate the volume, mass or concentration of your vial. Simply enter your mass, volume, or concentration values for your reagent and the calculator will determine the rest.

=
÷

Review this Product

Be the first to review our ZNF235 Antibody - BSA Free and receive a gift card or discount.

Bioinformatics

Gene Symbol ZNF235