ZFP200 Antibody (OTI5F4) - Azide and BSA Free

Images

 
Western Blot: ZFP200 Antibody (OTI5F4) - Azide and BSA Free [NBP2-74923] - Analysis of HEK293T cells were transfected with the pCMV6-ENTRY control (Left lane) or pCMV6-ENTRY ZNF200.
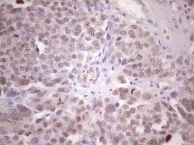
Immunohistochemistry: ZFP200 Antibody (OTI5F4) - Azide and BSA Free [NBP2-74923] - Analysis of Carcinoma of Human thyroid tissue. (Heat-induced epitope retrieval by 1 mM EDTA in 10mM Tris, pH8.5, 120C for 3min)
Immunohistochemistry: ZFP200 Antibody (OTI5F4) - Azide and BSA Free [NBP2-74923] - Analysis of Adenocarcinoma of Human breast tissue. (Heat-induced epitope retrieval by 1 mM EDTA in 10mM Tris, pH8.5, 120C for 3min)
Immunohistochemistry: ZFP200 Antibody (OTI5F4) - Azide and BSA Free [NBP2-74923] - Analysis of Adenocarcinoma of Human ovary tissue. (Heat-induced epitope retrieval by 1 mM EDTA in 10mM Tris, pH8.5, 120C for 3min)
Immunohistochemistry: ZFP200 Antibody (OTI5F4) - Azide and BSA Free [NBP2-74923] - Analysis of Carcinoma of Human prostate tissue. (Heat-induced epitope retrieval by 1 mM EDTA in 10mM Tris, pH8.5, 120C for 3min)
Immunohistochemistry: ZFP200 Antibody (OTI5F4) - Azide and BSA Free [NBP2-74923] - Analysis of Human pancreas tissue. (Heat-induced epitope retrieval by 1 mM EDTA in 10mM Tris, pH8.5, 120C for 3min)

Product Details

Summary
Reactivity HuSpecies Glossary
Applications WB, IHC
Clone
OTI5F4
Clonality
Monoclonal
Host
Mouse
Conjugate
Unconjugated
Format
Azide and BSA Free
Concentration
LYOPH

Order Details

ZFP200 Antibody (OTI5F4) - Azide and BSA Free Summary

Description
Novus Biologicals Mouse ZFP200 Antibody (OTI5F4) - Azide and BSA Free (NBP2-46423) is a monoclonal antibody validated for use in IHC and WB. All Novus Biologicals antibodies are covered by our 100% guarantee.
Immunogen
Full length human recombinant protein of human ZNF200 (NP_932353) produced in E.coli.
Isotype
IgG1
Clonality
Monoclonal
Host
Mouse
Gene
ZNF200
Purity
Immunogen affinity purified
Innovator's Reward
Test in a species/application not listed above to receive a full credit towards a future purchase.

Applications/Dilutions

Dilutions
  • Immunohistochemistry 1:150
  • Immunohistochemistry-Paraffin
  • Western Blot 1:2000
Theoretical MW
45.2 kDa.
Disclaimer note: The observed molecular weight of the protein may vary from the listed predicted molecular weight due to post translational modifications, post translation cleavages, relative charges, and other experimental factors.

Packaging, Storage & Formulations

Storage
Store at -20C. Avoid freeze-thaw cycles.
Buffer
Lyophilized from PBS (pH 7.3) with 8% Trehalose
Preservative
No Preservative
Concentration
LYOPH
Purity
Immunogen affinity purified
Reconstitution Instructions
we recommend adding 100uL distilled water to a final antibody concentration of about 1 mg/mL. To use this carrier-free antibody for conjugation experiment, we strongly recommend performing another round of desalting process.

Alternate Names for ZFP200 Antibody (OTI5F4) - Azide and BSA Free

  • MGC45293
  • zinc finger protein 200
  • ZNFMF

Background

ZFP200 (ZNF200) is a gene that codes for a protein with three isoforms, with lengths of 395, 394 and 394 amino acids and weights of approximately 46, 45, and 45 kDa respectively. ZFP200 is highly expressed in the testis and could have a role in spermatogenesis. Current studies are being done on diseases and disorder related to this gene including familial Mediterranean fever, anemia, and prostatitis. ZFP200 has also been shown to have interactions with PPARGC1B and UBC in pathways such as the generic transcription and gene expression pathways.

Limitations

This product is for research use only and is not approved for use in humans or in clinical diagnosis. Primary Antibodies are guaranteed for 1 year from date of receipt.

Customers Who Viewed This Item Also Viewed...

NBP2-16686
Species: Hu
Applications: ICC/IF, IHC,  IHC-P, KO, WB
NBP2-49118
Species: Hu
Applications: IHC,  IHC-P
NBP1-80604
Species: Hu
Applications: ICC/IF, IHC,  IHC-P, WB
NB500-171
Species: Hu, I, Mu, Rt, Xp, Ye
Applications: ChIP, IB, ICC/IF, IHC,  IHC-P, Single-Cell Western, WB
PP-A8620A-00
Species: Hu, Mu
Applications: DirELISA, IHC, IP, WB
NBP2-07996
Species: Hu
Applications: WB
NBL1-11570
Species: Hu
Applications: WB
NBP3-46113
Species: Hu, Mu, Rt
Applications: ELISA, IHC, IP, , WB
AF5215
Species: Hu, Mu
Applications: ICC, WB
NB100-55409
Species: Hu
Applications: Flow, ICC/IF, PEP-ELISA, WB
H00008365-M01
Species: Hu
Applications: ELISA, ICC/IF, S-ELISA
NBL1-11567
Species: Hu
Applications: WB
NBP2-45893
Species: Hu, Mu, Rt
Applications: IHC,  IHC-P, WB
NBP1-88509
Species: Hu
Applications: IHC,  IHC-P, WB
AF3430
Species: Hu
Applications: ICC, WB
NBP1-71867
Species: Hu, Mu
Applications: IHC,  IHC-P, IP, WB
NB600-809
Species: Hu
Applications: Flow, ICC/IF, PEP-ELISA
NBP2-74923
Species: Hu
Applications: WB, IHC

Publications for ZFP200 Antibody (NBP2-74923) (0)

There are no publications for ZFP200 Antibody (NBP2-74923).
By submitting your publication information earn gift cards and discounts for future purchases.

Reviews for ZFP200 Antibody (NBP2-74923) (0)

There are no reviews for ZFP200 Antibody (NBP2-74923). By submitting a review you will receive an Amazon e-Gift Card or Novus Product Discount.
  • Review with no image -- $10/€7/£6/$10 CAD/¥70 Yuan/¥1110 Yen
  • Review with an image -- $25/€18/£15/$25 CAD/¥150 Yuan/¥2500 Yen

Product General Protocols

Find general support by application which include: protocols, troubleshooting, illustrated assays, videos and webinars.

Video Protocols

WB Video Protocol

FAQs for ZFP200 Antibody (NBP2-74923) (0)

There are no specific FAQs related to this product. Read our general customer & technical service FAQs.

Customers Who Bought This Also Bought

Contact Information

Product PDFs

Calculators

Concentration Calculator

The concentration calculator allows you to quickly calculate the volume, mass or concentration of your vial. Simply enter your mass, volume, or concentration values for your reagent and the calculator will determine the rest.

=
÷

Review this Product

Be the first to review our ZFP200 Antibody (OTI5F4) - Azide and BSA Free and receive a gift card or discount.

Bioinformatics

Gene Symbol ZNF200