Wnt-2b Antibody (JB48-34)

Images

 
Western Blot: Wnt-2b Antibody (JB48-34) [NBP2-75713] - Analysis of Wnt2b on SiHa cell lysates using anti-Wnt2b at 1/500 dilution.
Immunocytochemistry/ Immunofluorescence: Wnt-2b Antibody (JB48-34) [NBP2-75713] - Staining Wnt2b in SHSY-5Y cells (green). The nuclear counter stain is DAPI (blue). Cells were fixed in paraformaldehyde, permeabilised ...read more
Immunohistochemistry-Paraffin: Wnt-2b Antibody (JB48-34) [NBP2-75713] - Analysis of paraffin-embedded rat testis tissue using anti-Wnt2b antibody. Counter stained with hematoxylin.
Flow Cytometry: Wnt-2b Antibody (JB48-34) [NBP2-75713] - Analysis of LOVO cells with Wnt2b antibody at 1/50 dilution (red) compared with an unlabelled control (cells without incubation with primary antibody; black). ...read more
Immunocytochemistry/ Immunofluorescence: Wnt-2b Antibody (JB48-34) [NBP2-75713] - Staining Wnt2b in Hela cells (green). The nuclear counter stain is DAPI (blue). Cells were fixed in paraformaldehyde, permeabilised with ...read more
Immunocytochemistry/ Immunofluorescence: Wnt-2b Antibody (JB48-34) [NBP2-75713] - Staining Wnt2b in LOVO cells (green). The nuclear counter stain is DAPI (blue). Cells were fixed in paraformaldehyde, permeabilised with ...read more
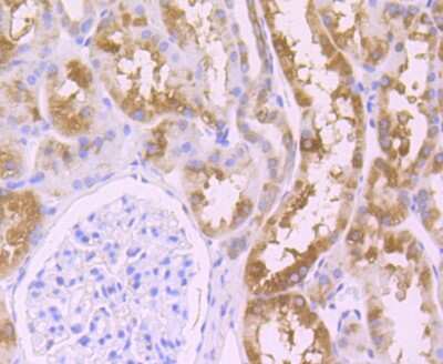
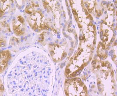
Immunohistochemistry-Paraffin: Wnt-2b Antibody (JB48-34) [NBP2-75713] - Analysis of paraffin-embedded human kidney tissue using anti-Wnt2b antibody. Counter stained with hematoxylin.
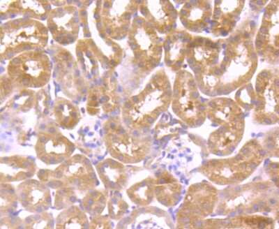
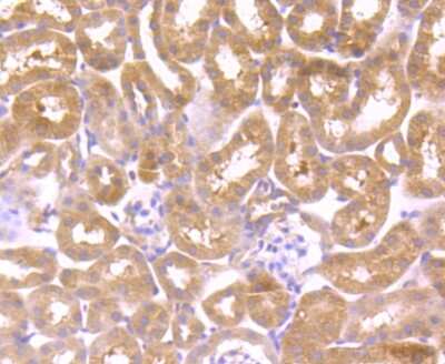
Immunohistochemistry-Paraffin: Wnt-2b Antibody (JB48-34) [NBP2-75713] - Analysis of paraffin-embedded mouse kidney tissue using anti-Wnt2b antibody. Counter stained with hematoxylin.

Product Details

Summary
Product Discontinued
View other related Wnt-2b Primary Antibodies

Order Details


    • Catalog Number
      NBP2-75713
    • Availability
      Product Discontinued

    Can't find what you are looking for? Use our Antibody Concierge Service & we will help you locate your antibody!

    Or feel free to contact us for alternative products.

Wnt-2b Antibody (JB48-34) Summary

Additional Information
Recombinant Monoclonal Antibody.
Immunogen
Recombinant protein within Human Wnt-2b aa 175-355 . (SwissProt: Q93097 Human; SwissProt: O70283 Mouse; SwissProt: G3V7U3 Rat)
Localization
Secreted. Extracellular region.
Isotype
IgG
Clonality
Monoclonal
Host
Rabbit
Gene
WNT2B
Purity
Protein A purified
Innovator's Reward
Test in a species/application not listed above to receive a full credit towards a future purchase.

Applications/Dilutions

Dilutions
  • Flow Cytometry 1:50-1:100
  • Immunocytochemistry/ Immunofluorescence 1:100-1:500
  • Immunohistochemistry
  • Immunohistochemistry-Paraffin 1:50-1:200
  • Western Blot 1:500-1:1000
Theoretical MW
44 kDa.
Disclaimer note: The observed molecular weight of the protein may vary from the listed predicted molecular weight due to post translational modifications, post translation cleavages, relative charges, and other experimental factors.

Packaging, Storage & Formulations

Storage
Store at 4C short term. Aliquot and store at -20C long term. Avoid freeze-thaw cycles.
Buffer
TBS (pH7.4), 0.05% BSA, 40% Glycerol
Preservative
0.05% Sodium Azide
Concentration
1 mg/ml
Purity
Protein A purified

Alternate Names for Wnt-2b Antibody (JB48-34)

  • Protein Wnt-13
  • protein Wnt-2b
  • wingless-type MMTV integration site family, member 2B
  • Wnt-13
  • WNT13XWNT2, Xenopus, homolog of
  • Wnt2b
  • Wnt-2b
  • XWNT2
  • XWNT2wingless-type MMTV integration site family, member 13

Background

WNT2B is a member of the wingless-type MMTV integration site (WNT) family of highly conserved, secreted signaling factors. WNT family members function in a variety of developmental processes including regulation of cell growth and differentiation and are characterized by a WNT-core domain. This gene may play a role in human development as well as human carcinogenesis. This gene produces two alternative transcript variants.This gene encodes a member of the wingless-type MMTV integration site (WNT) family of highly conserved, secreted signaling factors. WNT family members function in a variety of developmental processes including regulation of cell growth and differentiation and are characterized by a WNT-core domain. This gene may play a role in human development as well as human carcinogenesis. This gene produces two alternative transcript variants.

Limitations

This product is for research use only and is not approved for use in humans or in clinical diagnosis. Primary Antibodies are guaranteed for 1 year from date of receipt.

Customers Who Viewed This Item Also Viewed...

AF3464
Species: Hu
Applications: IHC, WB
3669-WN/CF
Species: Mu
Applications: BA
AF1329
Species: Hu, Mu, Rt
Applications: ChIP, CyTOF-ready, ICC, IHC, ICFlow, Simple Western, WB
7196-WN
Species: Hu
Applications: BA
NBP3-25757
Species: Hu, Mu, Rt
Applications: IHC,  IHC-P, WB
645-WN
Species: Hu, Mu
Applications: BA
6179-WN
Species: Hu
Applications: BA
AF3460
Species: Hu
Applications: IHC
NBP2-46367
Species: Hu, Mu, Rt
Applications: IHC,  IHC-P, WB
7347-WN
Species: Hu
Applications: BA
5036-WN
Species: Hu
Applications: BA, BA
AF4109
Species: Hu
Applications: IHC, WB
AF3367
Species: Hu, Mu
Applications: WB
AF2248
Species: Mu
Applications: IHC, WB
NBP1-76916
Species: Hu, Mu, Rt
Applications: ELISA, ICC/IF, IHC,  IHC-P, WB
NBP2-20913
Species: Hu, Mu
Applications: IHC,  IHC-P, WB
AF1617
Species: Hu
Applications: WB
AF475
Species: Mu
Applications: IHC, WB
NBP1-89679
Species: Hu, Mu, Rt
Applications: ChIP-EXO-SEQ, ICC/IF, IHC, IHC-Fr,  IHC-P, WB
NBP2-75713
Species: Hu, Mu, Rt
Applications: WB, Flow, ICC/IF, IHC

Publications for Wnt-2b Antibody (NBP2-75713) (0)

There are no publications for Wnt-2b Antibody (NBP2-75713).
By submitting your publication information earn gift cards and discounts for future purchases.

Reviews for Wnt-2b Antibody (NBP2-75713) (0)

There are no reviews for Wnt-2b Antibody (NBP2-75713). By submitting a review you will receive an Amazon e-Gift Card or Novus Product Discount.
  • Review with no image -- $10/€7/£6/$10 CAD/¥70 Yuan/¥1110 Yen
  • Review with an image -- $25/€18/£15/$25 CAD/¥150 Yuan/¥2500 Yen

Product General Protocols

Find general support by application which include: protocols, troubleshooting, illustrated assays, videos and webinars.

Video Protocols

WB Video Protocol
ICC/IF Video Protocol

FAQs for Wnt-2b Antibody (NBP2-75713) (0)

There are no specific FAQs related to this product. Read our general customer & technical service FAQs.

Secondary Antibodies

 

Isotype Controls

Additional Wnt-2b Products

Research Areas for Wnt-2b Antibody (NBP2-75713)

Find related products by research area.

Blogs on Wnt-2b

There are no specific blogs for Wnt-2b, but you can read our latest blog posts.

Contact Information

Product PDFs

Calculators

Concentration Calculator

The concentration calculator allows you to quickly calculate the volume, mass or concentration of your vial. Simply enter your mass, volume, or concentration values for your reagent and the calculator will determine the rest.

=
÷

Review this Product

Be the first to review our Wnt-2b Antibody (JB48-34) and receive a gift card or discount.

Bioinformatics

Gene Symbol WNT2B