WDFY3 Antibody - BSA Free

Images

 
Independent Antibodies: Western Blot: WDFY3 Antibody [NBP1-03332] - Whole cell lysate from HeLa (5, 15 and 50 mcg for WB; 1 mg for IP, 20% of IP loaded) and 293T (T; 50 mcg) cells. NBP1-03332 used for WB at 1 ...read more
Immunocytochemistry/ Immunofluorescence: WDFY3 Antibody [NBP1-03332] - A431 cells were fixed for 10 minutes using 10% formalin and then permeabilized for 5 minutes using 1X PBS + 0.05% Triton-X100. The cells were ...read more
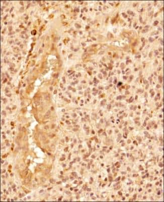
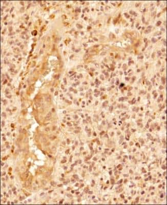
Immunohistochemistry-Paraffin: WDFY3 Antibody [NBP1-03332] - IHC analysis of a formalin fixed paraffin embedded tissue section of the human glioblastoma using 1:200 dilution of WDFY3 antibody (NBP1-03332). The signal ...read more

Product Details

Summary
Product Discontinued
View other related WDFY3 Primary Antibodies

Order Details


    • Catalog Number
      NBP1-03332
    • Availability
      Product Discontinued

    Can't find what you are looking for? Use our Antibody Concierge Service & we will help you locate your antibody!

    Or feel free to contact us for alternative products.

WDFY3 Antibody - BSA Free Summary

Immunogen
Synthetic peptide made to an internal portion of the human WDFY3 protein (between amino acids 500-550) [Q8IZQ1]
Isotype
IgG
Clonality
Polyclonal
Host
Rabbit
Gene
WDFY3
Purity
Immunogen affinity purified
Innovator's Reward
Test in a species/application not listed above to receive a full credit towards a future purchase.

Applications/Dilutions

Dilutions
  • Electron Microscopy
  • Immunocytochemistry/ Immunofluorescence 5 ug/ml
  • Immunohistochemistry 1:200 - 1:1000
  • Immunohistochemistry-Paraffin 1:200 - 1:1000
  • Immunoprecipitation 2-5 mcg/mg lysate
  • Western Blot 1:2000-1:10000
Application Notes
Use in Electron Microscopy reported in scientific literature (PMID 24358206) Use in Immunocytochemistry/immunofluorescence reported in scientific literature (PMID 24664425). Immunohistochemistry 1:1,000 to 1:5,000. Epitope retrieval with citrate buffer pH6.0 is recommended for FFPE tissue sections
Reviewed Applications
Read 1 Review rated 5
using
NBP1-03332 in the following applications:

Publications
Read Publications using
NBP1-03332 in the following applications:

  • EM
    2 publications
  • 3 publications
  • IP
    1 publication
  • WB
    3 publications

Reactivity Notes

Mouse reactivity reported in scientific literature (PMID: 27330028).

Packaging, Storage & Formulations

Storage
Store at -20 degrees C. Avoid freeze/thaw cycles.
Buffer
PBS
Preservative
0.02% Sodium Azide
Concentration
1.0 mg/ml
Purity
Immunogen affinity purified

Alternate Names for WDFY3 Antibody - BSA Free

  • ALFY
  • Autophagy-linked FYVE protein
  • KIAA0993MGC16461
  • WD repeat and FYVE domain containing 3
  • WD repeat and FYVE domain-containing protein 3
  • ZFYVE25

Background

The WDFY3 gene encodes a protein which contains WD repeats and an FYVE domain. Multiple alternatively spliced transcript variants have been found for this gene, but the full-length nature of some variants has not been defined. (provided by RefSeq)

Limitations

This product is for research use only and is not approved for use in humans or in clinical diagnosis. Primary Antibodies are guaranteed for 1 year from date of receipt.

Customers Who Viewed This Item Also Viewed...

H00008878-M01
Species: Bv, Ha, Hu, Mu, Rb, Rt
Applications: ELISA, ICC/IF, IHC, IHC-Fr,  IHC-P, IP, WB
NBP2-02627
Species: Ca, Hu, Pm, Mu, Rt
Applications: Flow, ICC/IF, IHC,  IHC-P, WB
NBP2-37399
Species: Hu
Applications: CyTOF-ready, ELISA, Flow, ICC/IF, IHC,  IHC-P, WB
NBP1-19151
Species: Bv, Hu, Ma
Applications: ICC/IF, IHC,  IHC-P, IP, WB
NBP1-31381
Species: Hu, Mu, Rt
Applications: ICC/IF, IHC,  IHC-P, IP, WB
H00002965-M01
Species: Hu
Applications: ELISA, ICC/IF, IHC,  IHC-P, KD, S-ELISA, WB
NBP2-03024
Species: Hu, Mu, Rt
Applications: Flow, ICC/IF, IHC,  IHC-P, WB
NBP2-30382
Species: Hu
Applications: ICC/IF, IHC,  IHC-P, WB
NBP1-82016
Species: Hu
Applications: ICC/IF, IHC,  IHC-P, WB
NBP2-15501
Species: Hu, Mu, Rt
Applications: ICC/IF, IHC,  IHC-P, IP, WB
H00004077-M01
Species: Hu, Mu
Applications: EM, ELISA, ICC/IF, Simple Western, WB
NB100-56139
Species: Hu
Applications: ICC/IF, IHC, IHC-Fr,  IHC-P, IP, WB
NBP1-85724
Species: Hu, Mu, Rt
Applications: ICC/IF, IHC,  IHC-P, WB
NBP3-26149
Species: Hu, Mu
Applications: ELISA, Flow, ICC/IF, IHC, WB
NB110-53818
Species: Al, Bv, Dr, Fi, Gp, Hu, Mu, Po, Pm, Rt, Xp, Ze
Applications: EM, ELISA, Flow, IB, ICC/IF, IHC,  IHC-P, IP, KD, KO, PLA, RIA, Simple Western, WB
NBP2-48726
Species: Hu
Applications: IHC,  IHC-P, WB
NB110-60928
Species: Al, Bv, Ca, Hu, Mu, Pm, Rt
Applications: EM, IHC,  IHC-P, WB
NB100-56343
Species: Hu, Mu
Applications: ChIP, ChIP, ICC/IF, IP, Simple Western, WB

Publications for WDFY3 Antibody (NBP1-03332)(8)

We have publications tested in 2 confirmed species: Human, Mouse.

We have publications tested in 4 applications: EM, ICC/IF, IP, WB.


Filter By Application
EM
(2)
ICC/IF
(3)
IP
(1)
WB
(3)
All Applications
Filter By Species
Human
(2)
Mouse
(1)
All Species
Showing Publications 1 - 8 of 8.
Publications using NBP1-03332 Applications Species
Karanasios E, Ktistakis NT. Studying Autophagy: List of Useful Antibodies Produced via a Community Effort. Autophagy at the Cell, Tissue and Organismal Level. 2016-04-24
Soreng K, Pankiv S, Bergsmark C et al. ALFY localizes to early endosomes and cellular protrusions to facilitate directional cell migration Journal of cell science 2022-02-15 [PMID: 35099014] (WB) WB
Wu DJ, Adamopoulos IE. Loss of WDFY3 ameliorates severity of serum transfer-induced arthritis independently of autophagy. Cell Immunol 2017-04-22 [PMID: 28449847]
Suzuki E, Maverakis E, Sarin R et al. T Cell-Independent Mechanisms Associated with Neutrophil Extracellular Trap Formation and Selective Autophagy in IL-17A-Mediated Epidermal Hyperplasia. J. Immunol. 2016-10-24 [PMID: 27798153] (ICC/IF, WB) ICC/IF, WB
Wu DJ, Gu R, Sarin R et al. Autophagy-linked FYVE containing protein WDFY3 interacts with TRAF6 and modulates RANKL-induced osteoclastogenesis. J. Autoimmun. 2016-06-18 [PMID: 27330028] (IP, ICC/IF, WB, Mouse) IP, ICC/IF, WB Mouse
Orosco LA, Ross AP, Cates SL et al. Loss of Wdfy3 in mice alters cerebral cortical neurogenesis reflecting aspects of the autism pathology. Nat Commun. 2014-09-08 [PMID: 25198012]
Park S, Jang I, Zuber C et al. ERADication of EDEM1 occurs by selective autophagy and requires deglycosylation by cytoplasmic peptide N-glycanase. Histochem. Cell Biol. 2014-03-25 [PMID: 24664425] (EM, ICC/IF, Human) EM, ICC/IF Human
Sommi P, Necchi V, Vitali A et al. PaCS Is a Novel Cytoplasmic Structure Containing Functional Proteasome and Inducible by Cytokines/Trophic Factors. PLoS One 2013-12-17 [PMID: 24358206] (EM, Human) EM Human

Review for WDFY3 Antibody (NBP1-03332) (1) 51

Average Rating: 5
(Based on 1 review)
We have 1 review tested in 1 species: Mouse.

Reviews using NBP1-03332:
Filter by Applications
IP
(1)
All Applications
Filter by Species
Mouse
(1)
All Species
Images Ratings Applications Species Date Details
Immunoprecipitation WDFY3 NBP1-03332
Enlarge
5
reviewed by:
Verified Customer
IP Mouse 03/09/2015
View

Summary

ApplicationImmunoprecipitation
SpeciesMouse
LotA2

Product General Protocols

Video Protocols

WB Video Protocol
ICC/IF Video Protocol

FAQs for WDFY3 Antibody (NBP1-03332). (Showing 1 - 2 of 2 FAQs).

  1. I am now trying to detect WDFY3 by Western blot with your antibody NBP1-03332. Do you have any idea about the positive control for it?
    • We recommend using HeLa, 293T or Jurkat cell lysate as a positive control and loading between 25-50ug of protein per well.
  2. I was wondering what percentage gel was used to resolve the Wdfy3 NBP1-03332 protein by western blot?
    • The image on our website is a western blot using a gradient gel that was 3-8% tris-acetate buffer.

Secondary Antibodies

 

Isotype Controls

Additional WDFY3 Products

Array NBP1-03332

Research Areas for WDFY3 Antibody (NBP1-03332)

Find related products by research area.

Blogs on WDFY3

There are no specific blogs for WDFY3, but you can read our latest blog posts.

Contact Information

Product PDFs

Calculators

Concentration Calculator

The concentration calculator allows you to quickly calculate the volume, mass or concentration of your vial. Simply enter your mass, volume, or concentration values for your reagent and the calculator will determine the rest.

=
÷

Recent Reviews

5
5
1
4
0
3
0
2
0
1
0

Verified Customer
03/09/2015
Application: IP
Species: Mouse

Bioinformatics

Gene Symbol WDFY3
Entrez
Uniprot