WASF2 Antibody (SC66-05)

Images

 
Western Blot: WASF2 Antibody (SC66-05) [NBP2-67613] - Analysis of WASF2 on human placenta tissue lysates. Proteins were transferred to a PVDF membrane and blocked with 5% BSA in PBS for 1 hour at room temperature. The ...read more
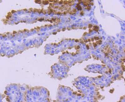
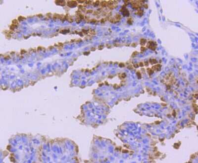
Immunohistochemistry-Paraffin: WASF2 Antibody (SC66-05) [NBP2-67613] - Analysis of paraffin-embedded mouse placenta tissue using anti-WASF2 antibody. Counter stained with hematoxylin.
Immunohistochemistry-Paraffin: WASF2 Antibody (SC66-05) [NBP2-67613] - Analysis of paraffin-embedded human kidney tissue using anti-WASF2 antibody. Counter stained with hematoxylin.
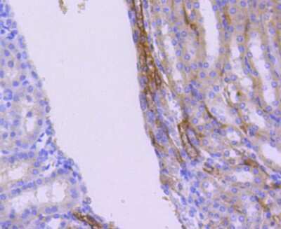
Immunohistochemistry-Paraffin: WASF2 Antibody (SC66-05) [NBP2-67613] - Analysis of paraffin-embedded mouse kidney tissue using anti-WASF2 antibody. Counter stained with hematoxylin.

Product Details

Summary
Product Discontinued
View other related WASF2 Primary Antibodies

Order Details


    • Catalog Number
      NBP2-67613
    • Availability
      Product Discontinued

    Can't find what you are looking for? Use our Antibody Concierge Service & we will help you locate your antibody!

    Or feel free to contact us for alternative products.

WASF2 Antibody (SC66-05) Summary

Additional Information
Recombinant Monoclonal Antibody.
Immunogen
Synthetic peptide within Human WASF2 aa 440-485 / 498. (SwissProt: Q9Y6W5 Human; SwissProt: Q8BH43 Mouse; Entrez Gene:313024 Rat)
Localization
Basolateral cell membrane, cytoskeleton, lamellipodium.
Isotype
IgG
Clonality
Monoclonal
Host
Rabbit
Gene
WASF2
Purity
Protein A purified
Innovator's Reward
Test in a species/application not listed above to receive a full credit towards a future purchase.

Applications/Dilutions

Dilutions
  • Immunohistochemistry
  • Immunohistochemistry-Paraffin 1:50-1:200
  • Western Blot 1:500-1:2000

Packaging, Storage & Formulations

Storage
Store at 4C short term. Aliquot and store at -20C long term. Avoid freeze-thaw cycles.
Buffer
TBS (pH7.4), 0.05% BSA, 40% Glycerol
Preservative
0.05% Sodium Azide
Concentration
1 mg/ml
Purity
Protein A purified

Alternate Names for WASF2 Antibody (SC66-05)

  • IMD2
  • Protein WAVE-2
  • SCAR2suppressor of cyclic-AMP receptor (WASP-family)
  • Verprolin homology domain-containing protein 2
  • WAS protein family, member 2
  • WASP family Verprolin-homologous protein 2
  • WAVE2dJ393P12.2
  • wiskWASP family protein member 2

Background

WASF2 encodes a member of the Wiskott-Aldrich syndrome protein family. The gene product is a protein that forms a multiprotein complex that links receptor kinases and actin. Binding to actin occurs through a C-terminal verprolin homology domain in all family members. The multiprotein complex serves to tranduce signals that involve changes in cell shape, motility or function. The published map location (PMID:10381382) has been changed based on recent genomic sequence comparisons, which indicate that the expressed gene is located on chromosome 1, and a pseudogene may be located on chromosome X.

Limitations

This product is for research use only and is not approved for use in humans or in clinical diagnosis. Primary Antibodies are guaranteed for 1 year from date of receipt.

Customers Who Viewed This Item Also Viewed...

AF5514
Species: Hu, Mu
Applications: WB
NB300-996
Species: Hu
Applications: Flow, ICC/IF, IHC,  IHC-P, PEP-ELISA, WB
H00010097-M01
Species: Hu
Applications: ELISA, IHC,  IHC-P, S-ELISA, WB
AF1444
Species: Mu
Applications: IHC, WB
NBP1-30955
Species: Hu, Mu
Applications: ICC/IF, IHC,  IHC-P, WB
AF887
Species: Hu, Mu, Rt
Applications: CyTOF-ready, IHC, ICFlow, Simple Western, WB
NBP1-88711
Species: Hu, Mu, Rt
Applications: ICC/IF, IHC,  IHC-P, Simple Western, WB
NB100-59845
Species: Hu
Applications: IHC,  IHC-P, IP (-), WB
NBP1-82512
Species: Hu, Mu, Rt
Applications: ICC/IF, IHC,  IHC-P, KD, Simple Western, WB
AF5515
Species: Hu, Mu
Applications: WB
NB100-91266
Species: Hu, Mu, Rt
Applications: ICC/IF, IHC, IHC-Fr,  IHC-P, WB
NBP2-67895
Species: Hu, Mu, Rt
Applications: Flow, IHC,  IHC-P, IP, WB
NBP1-87914
Species: Hu, Mu, Rt
Applications: ICC/IF, IHC,  IHC-P, WB
NBP3-03514
Species: Hu, Mu
Applications: ICC/IF, IHC,  IHC-P
AF5414
Species: Hu
Applications: Simple Western, WB
NBP2-19491
Species: Hu, Mu, Rt
Applications: IHC, IHC-Fr,  IHC-P, WB
NBP3-16424
Species: Hu, Mu, Rt
Applications: ICC/IF, IHC,  IHC-P, WB
NBP3-46656
Species: Hu, Mu, Rt
Applications: ELISA, IHC, WB
H00051531-B01P
Species: Hu, Rt
Applications: ICC/IF, WB
MAB208
Species: Hu
Applications: CyTOF-ready, ELISA(Cap), ELISA(Det), ELISA(Sta), ICC, ICFlow, Neut, Simple Western, WB

Publications for WASF2 Antibody (NBP2-67613) (0)

There are no publications for WASF2 Antibody (NBP2-67613).
By submitting your publication information earn gift cards and discounts for future purchases.

Reviews for WASF2 Antibody (NBP2-67613) (0)

There are no reviews for WASF2 Antibody (NBP2-67613). By submitting a review you will receive an Amazon e-Gift Card or Novus Product Discount.
  • Review with no image -- $10/€7/£6/$10 CAD/¥70 Yuan/¥1110 Yen
  • Review with an image -- $25/€18/£15/$25 CAD/¥150 Yuan/¥2500 Yen

Product General Protocols

Find general support by application which include: protocols, troubleshooting, illustrated assays, videos and webinars.

Video Protocols

WB Video Protocol

FAQs for WASF2 Antibody (NBP2-67613) (0)

There are no specific FAQs related to this product. Read our general customer & technical service FAQs.

Secondary Antibodies

 

Isotype Controls

Additional WASF2 Products

Research Areas for WASF2 Antibody (NBP2-67613)

Find related products by research area.

Blogs on WASF2

There are no specific blogs for WASF2, but you can read our latest blog posts.

Contact Information

Product PDFs

Calculators

Concentration Calculator

The concentration calculator allows you to quickly calculate the volume, mass or concentration of your vial. Simply enter your mass, volume, or concentration values for your reagent and the calculator will determine the rest.

=
÷

Review this Product

Be the first to review our WASF2 Antibody (SC66-05) and receive a gift card or discount.

Bioinformatics

Gene Symbol WASF2