VPS35 Antibody (JB33-82)

Images

 
Genetic Strategies: Knockout Validated: VPS35 Antibody (JB33-82) [NBP2-75710] - Lysates of HAP1 WT and VPS35 KO were prepared, and 20 ug of protein were processed for immunoblot with the VPS35 antibody (JB33-82). ...read more
Western Blot: VPS35 Antibody (JB33-82) [NBP2-75710] - Analysis of VPS35 on different lysates using anti-VPS35 antibody at 1/500 dilution.Positive control:Lane 1: PC-3M Lane 2: U937Lane 3: SH-SY-5Y
Immunohistochemistry-Paraffin: VPS35 Antibody (JB33-82) [NBP2-75710] - Analysis of paraffin-embedded mouse colon tissue using anti-VPS35 antibody. Counter stained with hematoxylin.
Flow Cytometry: VPS35 Antibody (JB33-82) [NBP2-75710] - Analysis of 293T cells with VPS35 antibody at 1/100 dilution (red) compared with an unlabelled control (cells without incubation with primary antibody; black). ...read more
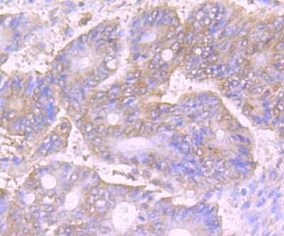
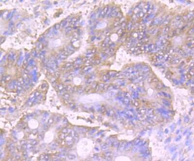
Immunohistochemistry-Paraffin: VPS35 Antibody (JB33-82) [NBP2-75710] - Analysis of paraffin-embedded human colon cancer tissue using anti-VPS35 antibody. Counter stained with hematoxylin.
Immunohistochemistry-Paraffin: VPS35 Antibody (JB33-82) [NBP2-75710] - Analysis of paraffin-embedded human kidney tissue using anti-VPS35 antibody. Counter stained with hematoxylin.
Immunohistochemistry-Paraffin: VPS35 Antibody (JB33-82) [NBP2-75710] - Analysis of paraffin-embedded human placenta tissue using anti-VPS35 antibody. Counter stained with hematoxylin.

Product Details

Summary
Product Discontinued
View other related VPS35 Primary Antibodies
Validated by:
     

Genetic Strategies

   

Order Details


    • Catalog Number
      NBP2-75710
    • Availability
      Product Discontinued

    Can't find what you are looking for? Use our Antibody Concierge Service & we will help you locate your antibody!

    Or feel free to contact us for alternative products.

VPS35 Antibody (JB33-82) Summary

Additional Information
Recombinant Monoclonal Antibody.
Immunogen
Recombinant protein within Human VPS35 aa 80-220 / 796. (SwissProt: Q96QK1 Human; SwissProt: Q9EQH3 Mouse)
Localization
Cytoplasm. Membrane. Endosome.
Isotype
IgG
Clonality
Monoclonal
Host
Rabbit
Gene
VPS35
Purity
Protein A purified
Innovator's Reward
Test in a species/application not listed above to receive a full credit towards a future purchase.

Applications/Dilutions

Dilutions
  • Flow Cytometry 1:50-1:100
  • Immunohistochemistry
  • Immunohistochemistry-Paraffin 1:100-1:300
  • Knockout Validated
  • Western Blot 1:500-1:1000
Theoretical MW
91 kDa.
Disclaimer note: The observed molecular weight of the protein may vary from the listed predicted molecular weight due to post translational modifications, post translation cleavages, relative charges, and other experimental factors.

Packaging, Storage & Formulations

Storage
Store at 4C short term. Aliquot and store at -20C long term. Avoid freeze-thaw cycles.
Buffer
TBS (pH7.4), 0.05% BSA, 40% Glycerol
Preservative
0.05% Sodium Azide
Concentration
1 mg/ml
Purity
Protein A purified

Alternate Names for VPS35 Antibody (JB33-82)

  • DKFZp434P1672
  • FLJ10752
  • FLJ13588
  • FLJ20388
  • hVPS35
  • Maternal-embryonic 3
  • MEM3DKFZp434E1211
  • vacuolar protein sorting 35 (yeast homolog)
  • vacuolar protein sorting 35 (yeast)
  • vacuolar protein sorting 35 homolog (S. cerevisiae)
  • vacuolar protein sorting-associated protein 35
  • Vesicle protein sorting 35

Background

The maintenance of organelles in eukaryotic cells depends on sorting proteins, which ensure the proper delivery of organelle-specific proteins. In S. cerevisiae, VPS35 has a direct role in the retrieval of vacuolar cargo proteins, suggesting that human VPS35 may have an analogous function in the maintenance of lysosomes.

Limitations

This product is for research use only and is not approved for use in humans or in clinical diagnosis. Primary Antibodies are guaranteed for 1 year from date of receipt.

Customers Who Viewed This Item Also Viewed...

NBP2-36754
Species: Hu
Applications: ICC/IF, IHC,  IHC-P, KD, WB
NBP3-12366
Species: Ch, Hu, Mu, Rt
Applications: ELISA, IHC,  IHC-P, IP, WB
NB100-282
Species: Hu
Applications: ICC/IF, IHC,  IHC-P, WB
NBP2-34294
Species: Hu, Mu, Rt
Applications: Flow, IHC,  IHC-P
MAB5699
Species: Hu
Applications: IHC
NBP2-24513
Species: Bv, Ca, Eq, Hu, Mu, Ma-Op, Pm, RM
Applications: IHC,  IHC-P, WB
NBP2-13075
Species: Ba, Hu, Pm, Mu, Rt
Applications: DB, ELISA, IB, ICC/IF, IHC-FrFl, IHC, IHC-Fr,  IHC-P, IP, WB
AF3926
Species: Hu, Mu, Rt
Applications: Simple Western, WB
NB300-514
Species: Bv, Hu, Mu, Pm, Rt
Applications: CyTOF-ready, ELISA, Flow, ICC/IF, IHC,  IHC-P, IP, WB
NBP2-15365
Species: Hu, Mu, Rt
Applications: ICC/IF, IHC, IHC-Fr,  IHC-P, S-ELISA, WB
NB300-268
Species: Bv, Ce, Hu, I, Mu, Pl
Applications: Flow-IC, Flow, ICC/IF, IHC, IHC-Fr,  IHC-P, IP, KO, WB
MAB1417
Species: Bv, Hu, Mu
Applications: ICC, IHC
NBP2-13361
Species: Hu
Applications: ICC/IF, IHC,  IHC-P, WB
NBP3-46186
Species: Hu, Mu, Rt
Applications: ELISA, IHC, IP, WB
NBP1-83202
Species: Hu
Applications: ICC/IF, IHC,  IHC-P, WB
NB100-268
Species: Hu, Po
Applications: IP, WB

Publications for VPS35 Antibody (NBP2-75710) (0)

There are no publications for VPS35 Antibody (NBP2-75710).
By submitting your publication information earn gift cards and discounts for future purchases.

Reviews for VPS35 Antibody (NBP2-75710) (0)

There are no reviews for VPS35 Antibody (NBP2-75710). By submitting a review you will receive an Amazon e-Gift Card or Novus Product Discount.
  • Review with no image -- $10/€7/£6/$10 CAD/¥70 Yuan/¥1110 Yen
  • Review with an image -- $25/€18/£15/$25 CAD/¥150 Yuan/¥2500 Yen

Product General Protocols

Find general support by application which include: protocols, troubleshooting, illustrated assays, videos and webinars.

Video Protocols

WB Video Protocol

FAQs for VPS35 Antibody (NBP2-75710) (0)

There are no specific FAQs related to this product. Read our general customer & technical service FAQs.

Secondary Antibodies

 

Isotype Controls

Additional VPS35 Products

Research Areas for VPS35 Antibody (NBP2-75710)

Find related products by research area.

Blogs on VPS35

There are no specific blogs for VPS35, but you can read our latest blog posts.

Contact Information

Product PDFs

Calculators

Concentration Calculator

The concentration calculator allows you to quickly calculate the volume, mass or concentration of your vial. Simply enter your mass, volume, or concentration values for your reagent and the calculator will determine the rest.

=
÷

Review this Product

Be the first to review our VPS35 Antibody (JB33-82) and receive a gift card or discount.

Bioinformatics

Gene Symbol VPS35