VISTA/B7-H5/PD-1H Antibody (CL3975) - Azide and BSA Free

Images

 
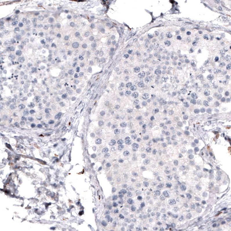
Orthogonal Strategies: Analysis in human lymph node and testis tissues using NBP3-44112 antibody. Corresponding VISTA/B7-H5/PD-1H RNA-seq data are presented for the same tissues.
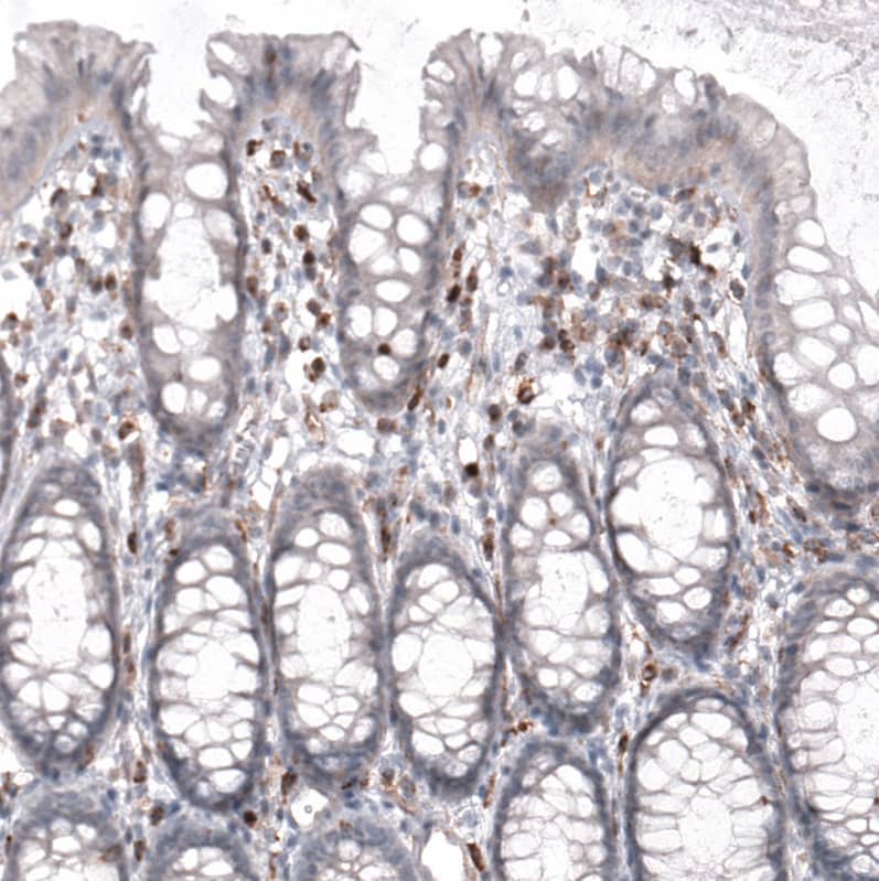
Staining of human rectum shows moderate to strong cytoplasmic positivity in lymphoid cells.
Staining of human lymph node shows moderate to strong cytoplasmic positivity in non-germinal center cells.
Staining of human placenta shows strong cytoplasmic positivity in trophoblastic cells.
Analysis in human cell line CAPAN-2.
Staining of human testis shows no positivity in cells in seminiferous ducts as expected.

Product Details

Summary
Reactivity HuSpecies Glossary
Applications WB, IHC
Clone
CL3975
Clonality
Monoclonal
Host
Mouse
Conjugate
Unconjugated
Format
Azide and BSA Free
Concentration
LYOPH
Validated by:
       

Orthogonal Strategies

 

Order Details

VISTA/B7-H5/PD-1H Antibody (CL3975) - Azide and BSA Free Summary

Description
Novus Biologicals Mouse VISTA/B7-H5/PD-1H Antibody (CL3975) - Azide and BSA Free (NBP2-59030) is a monoclonal antibody validated for use in IHC and WB. All Novus Biologicals antibodies are covered by our 100% guarantee.
Immunogen
This antibody was generated using a recombinant protein sequence of Q9H7M9, with the exact immunogen sequence remaining proprietary.
Isotype
IgG1
Clonality
Monoclonal
Host
Mouse
Gene
VSIR
Purity
Protein A purified
Innovator's Reward
Test in a species/application not listed above to receive a full credit towards a future purchase.

Applications/Dilutions

Dilutions
  • Immunohistochemistry-Paraffin 1:200 - 1:500
  • Western Blot 1 ug/ml
Application Notes
For IHC-Paraffin, HIER pH 6 retrieval is recommended.

Packaging, Storage & Formulations

Storage
Store at 4C short term. Aliquot and store at -20C long term. Avoid freeze-thaw cycles.
Buffer
Lyophilized from a 0.2 um filtered solution in PBS with Trehalose
Preservative
No Preservative
Concentration
LYOPH
Purity
Protein A purified
Reconstitution Instructions
Centrifuge the vial of lyophilized antibody at 12,000 x g for 20 seconds. Reconstitute by adding sterile, distilled water to achieve a final antibody concentration of 1mg/ml.

Alternate Names for VISTA/B7-H5/PD-1H Antibody (CL3975) - Azide and BSA Free

  • 4632428N05Rik
  • B7H5
  • B7-H5
  • C10orf54
  • chromosome 10 open reading frame 54
  • Dies1
  • Gi24
  • PD1H
  • PD-1H
  • platelet receptor Gi24
  • PP2135
  • SISP1
  • stress induced secreted protein 1
  • VISTA
  • VSIR

Limitations

This product is for research use only and is not approved for use in humans or in clinical diagnosis. Primary Antibodies are guaranteed for 1 year from date of receipt.

Customers Who Viewed This Item Also Viewed...

DVE00
Species: Hu
Applications: ELISA
AF887
Species: Hu, Mu, Rt
Applications: CyTOF-ready, IHC, ICFlow, Simple Western, WB
NBP2-19804
Species: Hu, Mu
Applications: ICC/IF, IHC,  IHC-P, WB
NBP2-15071
Species: Hu, Mu, Rt
Applications: ICC/IF, IHC,  IHC-P, KO, WB
NBP2-46404
Species: Hu, Mu, Rt
Applications: IHC,  IHC-P
AF467
Species: Hu, Mu
Applications: CyTOF-ready, Flow, ICC, IHC, Simple Western, WB
NBP3-03807
Species: Hu, Mu, Rt
Applications: ICC/IF, IP, WB
AF1230
Species: Hu, Mu, Rt
Applications: IHC, KO, WB
H00003660-M02
Species: Hu
Applications: ELISA, ICC/IF, IHC,  IHC-P, S-ELISA, WB
NBP3-16473
Species: Hu, Mu, Rt
Applications: ICC/IF, WB
MAB9181
Species: Hu
Applications: CyTOF-ready, Flow, IHC, IP, WB
NBP2-42864
Species: Hu, Mu, Rt
Applications: ICC/IF, IHC,  IHC-P, IP, WB
NBP1-83936
Species: Hu
Applications: IHC,  IHC-P, WB

Publications for VISTA/B7-H5/PD-1H Antibody (NBP3-44112) (0)

There are no publications for VISTA/B7-H5/PD-1H Antibody (NBP3-44112).
By submitting your publication information earn gift cards and discounts for future purchases.

Reviews for VISTA/B7-H5/PD-1H Antibody (NBP3-44112) (0)

There are no reviews for VISTA/B7-H5/PD-1H Antibody (NBP3-44112). By submitting a review you will receive an Amazon e-Gift Card or Novus Product Discount.
  • Review with no image -- $10/€7/£6/$10 CAD/¥70 Yuan/¥1110 Yen
  • Review with an image -- $25/€18/£15/$25 CAD/¥150 Yuan/¥2500 Yen

Product General Protocols

Find general support by application which include: protocols, troubleshooting, illustrated assays, videos and webinars.

Video Protocols

WB Video Protocol

FAQs for VISTA/B7-H5/PD-1H Antibody (NBP3-44112) (0)

There are no specific FAQs related to this product. Read our general customer & technical service FAQs.

Secondary Antibodies

 

Isotype Controls

Additional VISTA/B7-H5/PD-1H Products

Research Areas for VISTA/B7-H5/PD-1H Antibody (NBP3-44112)

Find related products by research area.

Blogs on VISTA/B7-H5/PD-1H

There are no specific blogs for VISTA/B7-H5/PD-1H, but you can read our latest blog posts.

Customers Who Bought This Also Bought

Contact Information

Product PDFs

Calculators

Concentration Calculator

The concentration calculator allows you to quickly calculate the volume, mass or concentration of your vial. Simply enter your mass, volume, or concentration values for your reagent and the calculator will determine the rest.

=
÷

Review this Product

Be the first to review our VISTA/B7-H5/PD-1H Antibody (CL3975) - Azide and BSA Free and receive a gift card or discount.

Bioinformatics

Gene Symbol VSIR