USPL1 Antibody - BSA Free

Images

 
Immunohistochemistry-Paraffin: USPL1 Antibody [NBP1-88973] - Staining of human testis shows moderate cytoplasmic positivity in cells in seminiferous ducts.
Immunohistochemistry-Paraffin: USPL1 Antibody [NBP1-88973] -Staining of human placenta shows moderate cytoplasmic positivity in trophoblastic cells.
Immunohistochemistry-Paraffin: USPL1 Antibody [NBP1-88973] -Staining of human kidney shows moderate cytoplasmic positivity in cells in tubules.
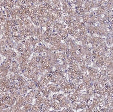
Immunohistochemistry-Paraffin: USPL1 Antibody [NBP1-88973] -Staining of human liver shows weak cytoplasmic positivity in hepatocytes.

Product Details

Summary
Reactivity HuSpecies Glossary
Applications IHC
Clonality
Polyclonal
Host
Rabbit
Conjugate
Unconjugated
Format
BSA Free

Order Details

View Available Formulations
Catalog# & Formulation Size Price

USPL1 Antibody - BSA Free Summary

Description
Novus Biologicals Rabbit USPL1 Antibody - BSA Free (NBP1-88973) is a polyclonal antibody validated for use in IHC. All Novus Biologicals antibodies are covered by our 100% guarantee.
Immunogen
This antibody was developed against Recombinant Protein corresponding to amino acids: YCPACREKGKLKALKTYRISFQESIFLCEDLQCIYPLGSKSLNNLISPDLEECHTPHKPQKRKSLESSYKDSLLLANSKKTRNYIAIDGGKVLNSKHNGEVYDETSSNLPDSSGQQNP
Isotype
IgG
Clonality
Polyclonal
Host
Rabbit
Gene
USPL1
Purity
Immunogen affinity purified
Innovator's Reward
Test in a species/application not listed above to receive a full credit towards a future purchase.

Applications/Dilutions

Dilutions
  • Immunohistochemistry 1:200 - 1:500
  • Immunohistochemistry-Paraffin 1:200 - 1:500
Application Notes
For IHC-Paraffin, HIER pH 6 retrieval is recommended.
Control Peptide
USPL1 Protein (NBP1-88973PEP)

Packaging, Storage & Formulations

Storage
Store at 4C short term. Aliquot and store at -20C long term. Avoid freeze-thaw cycles.
Buffer
PBS (pH 7.2) and 40% Glycerol
Preservative
0.02% Sodium Azide
Purity
Immunogen affinity purified

Alternate Names for USPL1 Antibody - BSA Free

  • bA121O19.1
  • C13orf22
  • chromosome 13 open reading frame 22
  • D13S106
  • D13S106E
  • DKFZp781K2286
  • EC 3.4.22.-
  • FLJ32952
  • highly charged protein
  • RP11-121O19.1
  • ubiquitin specific peptidase like 1
  • ubiquitin-specific peptidase-like protein 1
  • USPL1
  • USP-like 1

Background

USPL1 - chromosome 13 open reading frame 22

Limitations

This product is for research use only and is not approved for use in humans or in clinical diagnosis. Primary Antibodies are guaranteed for 1 year from date of receipt.

Customers Who Viewed This Item Also Viewed...

NB100-56503
Species: Dr, Hu, Mu, Rb, Rt
Applications: Flow-CS, Flow-IC, Flow, IB, ICC/IF, IHC,  IHC-P, Simple Western, WB
H00055686-M01
Species: Hu, Mu
Applications: ELISA, ICC/IF, IHC, IHC-Fr, IP, WB
NBP3-17971
Species: Ca, Hu, Pm, Mu, Pm, Rt
Applications: Flow, IHC,  IHC-P, WB
H00006607-M01
Species: Hu
Applications: ELISA, ICC/IF, IHC,  IHC-P, WB
NBP2-49530
Species: Hu
Applications: ICC/IF, IHC,  IHC-P, WB
NBP2-38323
Species: Hu
Applications: ICC/IF, IHC,  IHC-P, WB
NBP1-89266
Species: Hu
Applications: IHC,  IHC-P
NBP1-89977
Species: Hu
Applications: ChIP-EXO-SEQ, IHC,  IHC-P
H00001109-M01
Species: Hu
Applications: ELISA, ICC/IF, IHC,  IHC-P, S-ELISA, WB
NBP2-38780
Species: Hu
Applications: ICC/IF, IHC,  IHC-P, WB
NBP1-88927
Species: Hu, Mu
Applications: ICC/IF, IHC,  IHC-P, WB
NBP3-48071
Species: Hu, Mu, Rt
Applications: ELISA, IHC, WB
NBP2-34143
Species: Hu
Applications: ChIP-EXO-SEQ, ICC/IF, IHC,  IHC-P, KD, WB
NBP2-15939
Species: Hu
Applications: ICC/IF, IHC,  IHC-P, IP, WB
NBP2-38530
Species: Hu
Applications: ICC/IF, IHC,  IHC-P, WB
NBP1-84022
Species: Hu
Applications: ICC/IF, IHC,  IHC-P, WB
NBP1-88973
Species: Hu
Applications: IHC

Publications for USPL1 Antibody (NBP1-88973) (0)

There are no publications for USPL1 Antibody (NBP1-88973).
By submitting your publication information earn gift cards and discounts for future purchases.

Reviews for USPL1 Antibody (NBP1-88973) (0)

There are no reviews for USPL1 Antibody (NBP1-88973). By submitting a review you will receive an Amazon e-Gift Card or Novus Product Discount.
  • Review with no image -- $10/€7/£6/$10 CAD/¥70 Yuan/¥1110 Yen
  • Review with an image -- $25/€18/£15/$25 CAD/¥150 Yuan/¥2500 Yen

Product General Protocols

Find general support by application which include: protocols, troubleshooting, illustrated assays, videos and webinars.

FAQs for USPL1 Antibody (NBP1-88973) (0)

There are no specific FAQs related to this product. Read our general customer & technical service FAQs.

Customers Who Bought This Also Bought

Contact Information

Product PDFs

Calculators

Concentration Calculator

The concentration calculator allows you to quickly calculate the volume, mass or concentration of your vial. Simply enter your mass, volume, or concentration values for your reagent and the calculator will determine the rest.

=
÷

Review this Product

Be the first to review our USPL1 Antibody - BSA Free and receive a gift card or discount.

Bioinformatics

Gene Symbol USPL1