TSPYL1 Antibody

Images

 
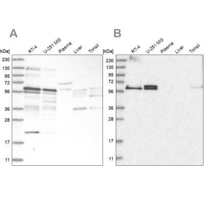
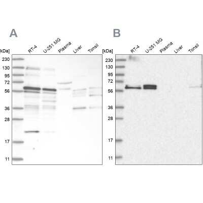
Independent Antibodies: Western Blot: TSPYL1 Antibody [NBP1-86898] - Analysis using Anti-TSPYL1 antibody NBP1-86898 (A) shows similar pattern to independent antibody NBP2-38191 (B).
Immunohistochemistry-Paraffin: TSPYL1 Antibody [NBP1-86898] - Staining of human kidney shows nuclear positivity in cells in tubules.

Product Details

Summary
Product Discontinued
View other related TSPYL1 Primary Antibodies
Validated by:
 

Independent Antibodies

       

Order Details


    • Catalog Number
      NBP1-86898
    • Availability
      Product Discontinued

    Can't find what you are looking for? Use our Antibody Concierge Service & we will help you locate your antibody!

    Or feel free to contact us for alternative products.

TSPYL1 Antibody Summary

Immunogen
This antibody was developed against Recombinant Protein corresponding to amino acids: AEEVKTGKCATVSAAVAERESAEVVVKEGLAEKEVMEEQMEVEEQPPEGEEIEVAEEDRLEEEAREEEGPWPLHEALRMDPLE
Isotype
IgG
Clonality
Polyclonal
Host
Rabbit
Gene
TSPYL1
Purity
Immunogen affinity purified
Innovator's Reward
Test in a species/application not listed above to receive a full credit towards a future purchase.

Applications/Dilutions

Dilutions
  • Immunohistochemistry 1:1000 - 1:2500
  • Immunohistochemistry-Paraffin 1:1000 - 1:2500
  • Western Blot 0.04-0.4 ug/ml
Application Notes
For IHC-Paraffin, HIER pH 6 retrieval is recommended.
Publications
Read Publication using NBP1-86898.

Reactivity Notes

Reactivity reported in scientific literature (PMID: 23435261)

Packaging, Storage & Formulations

Storage
Store at 4C short term. Aliquot and store at -20C long term. Avoid freeze-thaw cycles.
Buffer
PBS (pH 7.2) and 40% Glycerol
Preservative
0.02% Sodium Azide
Purity
Immunogen affinity purified

Alternate Names for TSPYL1 Antibody

  • SIDDT
  • testis-specific Y-encoded-like protein 1
  • TSPY-like 1
  • TSPY-like protein 1
  • TSPY-like
  • TSPYLtestis-specific-like protein, Y encoded

Background

The protein encoded by the TSPYL1 gene is found in the nucleolus and is similar to that of a family of genes on the Y-chromosome. This gene is intronless. Defects in this gene are a cause of sudden infant death with dysgenesis of the testes syndrome (SIDDT). (provided by RefSeq)

Limitations

This product is for research use only and is not approved for use in humans or in clinical diagnosis. Primary Antibodies are guaranteed for 1 year from date of receipt.

Customers Who Viewed This Item Also Viewed...

NBP3-17556
Species: Hu
Applications: ICC/IF
NBP2-88921
Species: Hu
Applications: ICC/IF, IHC,  IHC-P, WB
MEP00B
Species: Mu
Applications: ELISA
PP-H7431-00
Species: Hu
Applications: WB
AF475
Species: Mu
Applications: IHC, WB
NBP1-82956
Species: Hu
Applications: ICC/IF, IHC,  IHC-P, WB
H00057492-M02
Species: Hu, Mu
Applications: ELISA, ICC/IF, IHC,  IHC-P, WB
AF196
Species: Mu
Applications: IHC, WB
NBP3-12581
Species: Hu
Applications: IHC,  IHC-P, WB
NBP1-84071
Species: Hu
Applications: IHC,  IHC-P, WB
NBP1-83077
Species: Hu
Applications: ICC/IF, IHC,  IHC-P, KD, WB
NBP2-69049
Species: Hu
Applications: IHC,  IHC-P
AF1408
Species: Hu, Rt
Applications: IHC, IP, KO, Simple Western, WB
AF3075
Species: Hu
Applications: ICC, Simple Western, WB
AF1286
Species: Hu
Applications: IHC, IP, Simple Western, WB
H00007536-M01
Species: Hu, Mu
Applications: ELISA, ICC/IF, IHC,  IHC-P, IP, WB
NBP3-07388
Species: Hu
Applications: Flow, ICC/IF, IHC,  IHC-P
DTM100
Species: Hu
Applications: ELISA
NBP3-43646
Species: Hu, Mu, Rt
Applications: IHC,  IHC-P
NBP1-86898
Species: Hu
Applications: WB, IHC

Publications for TSPYL1 Antibody (NBP1-86898)(1)

Reviews for TSPYL1 Antibody (NBP1-86898) (0)

There are no reviews for TSPYL1 Antibody (NBP1-86898). By submitting a review you will receive an Amazon e-Gift Card or Novus Product Discount.
  • Review with no image -- $10/€7/£6/$10 CAD/¥70 Yuan/¥1110 Yen
  • Review with an image -- $25/€18/£15/$25 CAD/¥150 Yuan/¥2500 Yen

Product General Protocols

Find general support by application which include: protocols, troubleshooting, illustrated assays, videos and webinars.

Video Protocols

WB Video Protocol

FAQs for TSPYL1 Antibody (NBP1-86898) (0)

There are no specific FAQs related to this product. Read our general customer & technical service FAQs.

Contact Information

Product PDFs

Calculators

Concentration Calculator

The concentration calculator allows you to quickly calculate the volume, mass or concentration of your vial. Simply enter your mass, volume, or concentration values for your reagent and the calculator will determine the rest.

=
÷

Review this Product

Be the first to review our TSPYL1 Antibody and receive a gift card or discount.

Bioinformatics

Gene Symbol TSPYL1