Transgelin/TAGLN/SM22 alpha Antibody (TAGLN/247) - Azide and BSA Free

Images

 
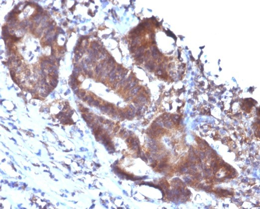
Immunohistochemistry-Paraffin: Transgelin/TAGLN/SM22 alpha Antibody (TAGLN/247) - Azide and BSA Free [NBP2-47688] - Human Colon Carcinoma stained with Transgelin Monoclonal Antibody (TAGLN/247)
Immunohistochemistry-Paraffin: Transgelin/TAGLN/SM22 alpha Antibody (TAGLN/247) - Azide and BSA Free [NBP2-47688] - Human Colon Carcinoma stained with Transgelin Monoclonal Antibody (TAGLN/247)
Formalin-fixed, paraffin-embedded human colon carcinoma stained with Transgelin/TAGLN/SM22 alpha antibody (TAGLN/247).
Formalin-fixed, paraffin-embedded human colon carcinoma stained with Transgelin/TAGLN/SM22 alpha antibody (TAGLN/247). HIER: Tris/EDTA, pH9.0, 45min. Secondary: HRP-polymer, 30min. DAB, 5min.
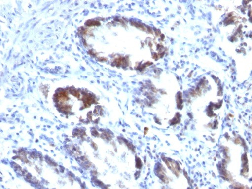
Formalin-fixed, paraffin-embedded human kidney stained with Transgelin/TAGLN/SM22 alpha antibody (TAGLN/247). Inset: PBS instead of primary antibody; secondary only negative control.

Product Details

Summary
Reactivity Hu, Mu, Po, Bv, RbSpecies Glossary
Applications IHC
Clone
TAGLN/247
Clonality
Monoclonal
Host
Mouse
Conjugate
Unconjugated
Format
Azide and BSA Free
Concentration
1.0 mg/ml

Order Details

Transgelin/TAGLN/SM22 alpha Antibody (TAGLN/247) - Azide and BSA Free Summary

Description
1.0 mg/ml of antibody purified from Bioreactor Concentrate by Protein A/G. Prepared in 10mM PBS WITHOUT BSA & azide. Also available at 200 ug/ml WITH BSA & azide (NBP2-44435).

Antibody with azide - store at 2 to 8C. Antibody without azide - store at -20 to -80C.
Immunogen
Recombinant full-length human Transgelin/TAGLN/SM22 alpha protein. (Uniprot: Q01995)
Localization
Cytoplasmic
Specificity
This monoclonal antibody recognizes a 22kDa protein, identified as Transgelin, also designated SM22-alpha. It may cross-react with SM22-beta. Transgelin is expressed abundantly in smooth muscle cells. The human transgelin gene encodes a 201 amino acid protein that contains nuclear factor-binding motifs known to regulate transcription in smooth muscle. During embryogenesis, transgelin is expressed in smooth, cardiac and skeletal muscle, but is restricted during late fetal development and adulthood to all vascular and visceral smooth muscle cells and low levels of expression in heart. Transgelin is down regulated in several transformed cell lines, indicating that a reduction of transgelin expression may be an early indicator of the onset of transformation. Transgelin also binds Actin, causing Actin fibers to gel within minutes of binding. Binding of transgelin to Actin occurs at a ratio of 1:6 Actin monomers.
Isotype
IgG1 Kappa
Clonality
Monoclonal
Host
Mouse
Gene
TAGLN
Purity
Protein A or G purified
Innovator's Reward
Test in a species/application not listed above to receive a full credit towards a future purchase.

Applications/Dilutions

Dilutions
  • Immunohistochemistry
  • Immunohistochemistry-Paraffin
Application Notes
Immunohistochemistry (Formalin-fixed): 1-2ug/ml for 30 minutes at RT. Staining of formalin-fixed tissues requires heating tissue sections in 10mM Tris with 1mM EDTA, pH 9.0, for 45 min at 95C followed by cooling at RT for 20 minutes.
Optimal dilution for a specific application should be determined.
Theoretical MW
22 kDa.
Disclaimer note: The observed molecular weight of the protein may vary from the listed predicted molecular weight due to post translational modifications, post translation cleavages, relative charges, and other experimental factors.

Packaging, Storage & Formulations

Storage
Store at -20 to -80C. Avoid freeze-thaw cycles.
Buffer
10 mM PBS
Preservative
No Preservative
Concentration
1.0 mg/ml
Purity
Protein A or G purified

Alternate Names for Transgelin/TAGLN/SM22 alpha Antibody (TAGLN/247) - Azide and BSA Free

  • DKFZp686P11128
  • Protein WS3-10
  • SM22 alpha
  • SM2222 kDa actin-binding protein
  • SMCCDKFZp686B01212
  • Smooth muscle protein 22-alpha
  • TAGLN
  • TAGLN1
  • transgelin variant 2
  • Transgelin
  • WS3-10
  • WS3-10SM22-alpha

Background

In contrast to fast and slow skeletal muscle cells that fuse and terminally differentiate, smooth muscle cells are able to simultaneously proliferate and express lineage-restricted proteins. One of these proteins, expressed exclusively in smooth muscles, has been referred to as SM22-alpha, a 22 kDa protein with structural similarity to the vertebrate thin filament myofibrillar regulatory protein calponin and the Drosophila muscle protein mp20, neither of which play a direct role in the contractile apparatus.The protein is a transformation and shape-change sensitive actin cross-linking/geling protein found in fibroblasts and smooth muscle. Its expression is down-regulated in many cell lines, and this down-regulation may be an early and sensitive marker for the onset of transformation. A functional role of this protein is unclear.

Limitations

This product is for research use only and is not approved for use in humans or in clinical diagnosis. Primary Antibodies are guaranteed for 1 year from date of receipt.

Customers Who Viewed This Item Also Viewed...

NBP2-29463
Species: Pm, Hu, Pm, Mu
Applications: Flow, ICC/IF, IHC,  IHC-P, WB
NBP2-47561
Species: Hu
Applications: ICC/IF, IHC,  IHC-P, WB
NBP1-90949
Species: Hu
Applications: IHC,  IHC-P, WB
NBP1-80616
Species: Hu, Mu, Rt
Applications: IHC,  IHC-P, WB
NBP2-03198
Species: Hu
Applications: Flow, ICC/IF, IHC,  IHC-P, WB
NBP3-26876
Species: Hu
Applications: IHC,  IHC-P
NBP3-13785
Species: Hu
Applications: ELISA, Flow, ICC/IF,  IHC-P, IP, PA, WB
NBP2-46085
Species: Hu
Applications: IHC,  IHC-P, WB
H00027065-M01
Species: Hu, Rt
Applications: ELISA, ICC/IF, S-ELISA, WB
NB200-103
Species: Hu, Mu, Rt, Xp(-), Ye
Applications: CyTOF-ready, ELISA, Flow-IC, Flow, ICC/IF, IHC, IHC-Fr,  IHC-P, IP, WB
AF6897
Species: Hu, Mu
Applications: IHC, Simple Western, WB
NBP2-32840
Species: Hu, Pm, Mu, Rt
Applications: Flow, ICC/IF, IHC,  IHC-P, WB
NB200-106
Species: Mu, Rt
Applications: ELISA, ICC/IF, IHC, IHC-Fr,  IHC-P, WB
NBP2-00776
Species: Ca, Hu, Pm, Mu, Rt
Applications: Flow, ICC/IF, IHC,  IHC-P, WB
NBP2-45731
Species: Ca, Hu, Pm
Applications: IHC,  IHC-P, WB

Publications for Transgelin/TAGLN/SM22 alpha Antibody (NBP2-47688) (0)

There are no publications for Transgelin/TAGLN/SM22 alpha Antibody (NBP2-47688).
By submitting your publication information earn gift cards and discounts for future purchases.

Reviews for Transgelin/TAGLN/SM22 alpha Antibody (NBP2-47688) (0)

There are no reviews for Transgelin/TAGLN/SM22 alpha Antibody (NBP2-47688). By submitting a review you will receive an Amazon e-Gift Card or Novus Product Discount.
  • Review with no image -- $10/€7/£6/$10 CAD/¥70 Yuan/¥1110 Yen
  • Review with an image -- $25/€18/£15/$25 CAD/¥150 Yuan/¥2500 Yen

Product General Protocols

Find general support by application which include: protocols, troubleshooting, illustrated assays, videos and webinars.

FAQs for Transgelin/TAGLN/SM22 alpha Antibody (NBP2-47688) (0)

There are no specific FAQs related to this product. Read our general customer & technical service FAQs.

Customers Who Bought This Also Bought

Contact Information

Product PDFs

Calculators

Concentration Calculator

The concentration calculator allows you to quickly calculate the volume, mass or concentration of your vial. Simply enter your mass, volume, or concentration values for your reagent and the calculator will determine the rest.

=
÷

Review this Product

Be the first to review our Transgelin/TAGLN/SM22 alpha Antibody (TAGLN/247) - Azide and BSA Free and receive a gift card or discount.

Bioinformatics

Gene Symbol TAGLN