TPPP2 Antibody - BSA Free

Images

 
Orthogonal Strategies: Immunohistochemistry-Paraffin: TPPP2 Antibody [NBP1-88430] - Staining in human testis and prostate tissues using anti-TPPP2 antibody. Corresponding TPPP2 RNA-seq data are presented for the ...read more
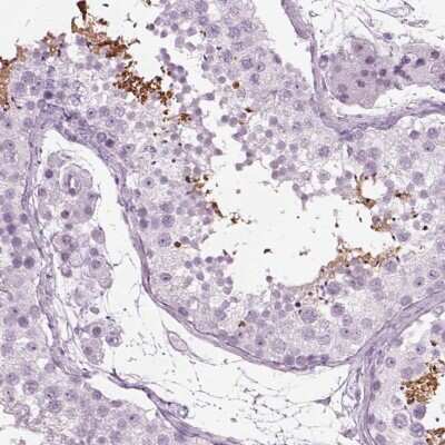
Immunohistochemistry-Paraffin: TPPP2 Antibody [NBP1-88430] - Staining of human prostate shows low expression as expected.
Immunohistochemistry-Paraffin: TPPP2 Antibody [NBP1-88430] - Staining of human testis shows high expression.
Analysis in control (vector only transfected HEK293T lysate) and tPPP2 over-expression lysate (Co-expressed with a C-terminal myc-DDK tag (~3.1 kDa) in mammalian HEK293T cells).

Product Details

Summary
Reactivity HuSpecies Glossary
Applications WB, IHC
Clonality
Polyclonal
Host
Rabbit
Conjugate
Unconjugated
Format
BSA Free
Validated by:
       

Orthogonal Strategies

 

Order Details

View Available Formulations
Catalog# & Formulation Size Price

TPPP2 Antibody - BSA Free Summary

Description
Novus Biologicals Rabbit TPPP2 Antibody - BSA Free (NBP1-88430) is a polyclonal antibody validated for use in IHC and WB. All Novus Biologicals antibodies are covered by our 100% guarantee.
Immunogen
This antibody was developed against Recombinant Protein corresponding to amino acids: TFHRFAAFGESSSSGTEMNNKNFSKLCKDCGIMDGKTVTSTDVDIVFSKVKAKNARTITFQQFKEAVKELGQKRFKGKSPDEVLENIYGLMEGKDPATTGATKATTVGAVDRLTDTSKYTGTHKERFDESGKGKGIAGREEMT
Isotype
IgG
Clonality
Polyclonal
Host
Rabbit
Gene
TPPP2
Purity
Immunogen affinity purified
Innovator's Reward
Test in a species/application not listed above to receive a full credit towards a future purchase.

Applications/Dilutions

Dilutions
  • Immunohistochemistry 1:50 - 1:200
  • Immunohistochemistry-Paraffin 1:50 - 1:200
  • Western Blot 0.04-0.4 ug/ml
Application Notes
For IHC-Paraffin, HIER pH 6 retrieval is recommended.
Control Peptide
TPPP2 Protein (NBP1-88430PEP)

Reactivity Notes

Immunogen displays the following percentage of sequence identity for non-tested species: Mouse (85%), Rat (88%)

Packaging, Storage & Formulations

Storage
Store at 4C short term. Aliquot and store at -20C long term. Avoid freeze-thaw cycles.
Buffer
PBS (pH 7.2) and 40% Glycerol
Preservative
0.02% Sodium Azide
Purity
Immunogen affinity purified

Alternate Names for TPPP2 Antibody - BSA Free

  • C14orf8
  • chromosome 14 open reading frame 8
  • p18
  • p25beta
  • Protein p25-beta
  • TPPP/p18
  • tubulin polymerization-promoting protein family member 2

Background

TPPP2 may bind tubulin but has no microtubule bundling activity

Limitations

This product is for research use only and is not approved for use in humans or in clinical diagnosis. Primary Antibodies are guaranteed for 1 year from date of receipt.

Customers Who Viewed This Item Also Viewed...

NB200-106
Species: Mu, Rt
Applications: ELISA, ICC/IF, IHC, IHC-Fr,  IHC-P, WB
NBP2-29463
Species: Pm, Hu, Pm, Mu
Applications: Flow, ICC/IF, IHC,  IHC-P, WB
NBP3-12954
Species: Mu, Rt
Applications: ICC/IF, IHC,  IHC-P, WB
NBP2-45603
Species: Hu, Mu, Rt
Applications: Flow, IHC,  IHC-P, WB
NBP1-82454
Species: Hu, Mu
Applications: ICC/IF, IHC,  IHC-P, WB
NBP2-46085
Species: Hu
Applications: IHC,  IHC-P, WB
H00027065-M01
Species: Hu, Rt
Applications: ELISA, ICC/IF, S-ELISA, WB
NBP3-11884
Species: Hu
Applications: ELISA, ICC/IF, IHC,  IHC-P, RIA, WB
NBP2-47561
Species: Hu
Applications: ICC/IF, IHC,  IHC-P, WB
NBP1-90949
Species: Hu
Applications: IHC,  IHC-P, WB
NBP1-80616
Species: Hu, Mu, Rt
Applications: IHC,  IHC-P, WB
NBP2-03198
Species: Hu
Applications: Flow, ICC/IF, IHC,  IHC-P, WB
NBP3-26876
Species: Hu
Applications: IHC,  IHC-P
NBP1-31308
Species: Bv, Hu, Mu, Rt
Applications: ICC/IF, IHC,  IHC-P, Simple Western, WB
H00029107-M08
Species: Hu
Applications: ELISA, ICC/IF, KD, S-ELISA, WB
NBP3-38209
Species: Hu, Rt
Applications: ELISA, ICC/IF, IHC,  IHC-P, IP, WB
AF1555
Species: Hu
Applications: WB
NBP1-33581
Species: Hu, Mu, Rt
Applications: ELISA, ICC/IF, IHC,  IHC-P, WB
1290-IL
Species: Hu
Applications: BA
MAB4937
Species: Hu
Applications: CyTOF-ready, ICFlow, WB

Publications for TPPP2 Antibody (NBP1-88430) (0)

There are no publications for TPPP2 Antibody (NBP1-88430).
By submitting your publication information earn gift cards and discounts for future purchases.

Reviews for TPPP2 Antibody (NBP1-88430) (0)

There are no reviews for TPPP2 Antibody (NBP1-88430). By submitting a review you will receive an Amazon e-Gift Card or Novus Product Discount.
  • Review with no image -- $10/€7/£6/$10 CAD/¥70 Yuan/¥1110 Yen
  • Review with an image -- $25/€18/£15/$25 CAD/¥150 Yuan/¥2500 Yen

Product General Protocols

Find general support by application which include: protocols, troubleshooting, illustrated assays, videos and webinars.

Video Protocols

WB Video Protocol

FAQs for TPPP2 Antibody (NBP1-88430) (0)

There are no specific FAQs related to this product. Read our general customer & technical service FAQs.

Customers Who Bought This Also Bought

Contact Information

Product PDFs

Calculators

Concentration Calculator

The concentration calculator allows you to quickly calculate the volume, mass or concentration of your vial. Simply enter your mass, volume, or concentration values for your reagent and the calculator will determine the rest.

=
÷

Review this Product

Be the first to review our TPPP2 Antibody - BSA Free and receive a gift card or discount.

Bioinformatics

Gene Symbol TPPP2