Topoisomerase III alpha Antibody

Images

 
Immunocytochemistry/ Immunofluorescence: Topoisomerase III alpha Antibody [NBP2-67219] - Staining TOP3A in A431 cells (green). Cells were fixed in paraformaldehyde, permeabilised with 0.25% Triton X100/PBS and ...read more
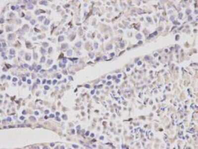
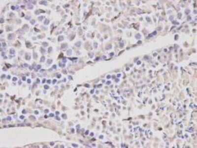
Immunohistochemistry-Paraffin: Topoisomerase III alpha Antibody [NBP2-67219] - Analysis of paraffin-embedded mouse testis tissue using anti- TOP3A rabbit polyclonal antibody.

Product Details

Summary
Product Discontinued
View other related Topoisomerase III alpha Primary Antibodies

Order Details


    • Catalog Number
      NBP2-67219
    • Availability
      Product Discontinued

    Can't find what you are looking for? Use our Antibody Concierge Service & we will help you locate your antibody!

    Or feel free to contact us for alternative products.

Topoisomerase III alpha Antibody Summary

Immunogen
Peptide
Localization
Mitochondrion matrix.
Isotype
IgG
Clonality
Polyclonal
Host
Rabbit
Gene
TOP3A
Purity
Protein A purified
Innovator's Reward
Test in a species/application not listed above to receive a full credit towards a future purchase.

Applications/Dilutions

Dilutions
  • Immunocytochemistry/ Immunofluorescence 1:200
  • Immunohistochemistry
  • Immunohistochemistry-Paraffin 1:100-1:200

Packaging, Storage & Formulations

Storage
Store at 4C short term. Aliquot and store at -20C long term. Avoid freeze-thaw cycles.
Buffer
TBS (pH7.4), 1%BSA, 50% Glycerol
Preservative
0.05% Sodium Azide
Concentration
1 mg/ml
Purity
Protein A purified

Alternate Names for Topoisomerase III alpha Antibody

  • DNA topoisomerase 3-alpha
  • TOP3
  • topoisomerase (DNA) III alpha

Background

The Topoisomerase III alpha gene encodes a DNA topoisomerase, an enzyme that controls and alters the topologic states of DNA during transcription. This enzyme catalyzes the transient breaking and rejoining of a single strand of DNA which allows the strands to pass through one a

Limitations

This product is for research use only and is not approved for use in humans or in clinical diagnosis. Primary Antibodies are guaranteed for 1 year from date of receipt.

Customers Who Viewed This Item Also Viewed...

NB100-214
Species: Hu, Mu
Applications: IP, WB
NB100-1720
Species: Hu
Applications: IHC,  IHC-P, IP, WB
NB100-148
Species: Ch, Hu, Mu, Rt
Applications: ChIP, ICC/IF, IHC, IHC-Fr,  IHC-P, IP, In vitro, KD, PLA, WB
NBP2-95212
Species: Hu, Mu, Rt
Applications: ELISA, ICC/IF, IHC,  IHC-P, WB
NB100-471
Species: Hu
Applications: ChIP, ICC/IF, IHC, IP, Simple Western, WB
NBP1-90365
Species: Hu, Mu, Rt
Applications: ICC/IF, IHC,  IHC-P, WB
NBP2-58116
Species: Hu
Applications: ICC/IF, KD, WB
H00146956-B01P
Species: Hu
Applications: ICC/IF, WB
NBP2-53281
Species: Hu, Mu
Applications: ICC/IF, IHC,  IHC-P, PA, WB
NB100-618
Species: Hu, Mu
Applications: IHC,  IHC-P, IP (-), WB
NB100-105
Species: Bv, Ca, Fe, Ma, Hu, Pm, Mu, Po, Pm, Rb, Rt, Sh, Xp
Applications: ChIP, ChIP, ELISA, Flow, GS, IA, IB, ICC/IF, IHC-FrFl, IHC, IHC-Fr,  IHC-P, IP, In vitro, KD, KO, LA, PLA, Simple Western, TCS, WB
NBP2-71688
Species: Ca, Hu, Mu, Rt
Applications: CyTOF-ready, Flow, ICC/IF, IHC,  IHC-P, IP, WB
H00006047-A01
Species: Hu
Applications: ELISA, IP, WB
NB500-106
Species: Ch, Dr, Fi, Hu, Mar, Mu, Po, Pm, Rb, Rt, Ye, Ze
Applications: ChIP, ChIP, ELISA, Flow, ICC/IF, IHC-FrFl, IHC, IHC-Fr,  IHC-P, IP, Simple Western, WB
NB100-147
Species: Hu, Pm, Mu, Rt
Applications: ICC/IF, IHC,  IHC-P, IP, In vitro, KD, WB
NBP1-83077
Species: Hu
Applications: ICC/IF, IHC,  IHC-P, KD, WB

Publications for Topoisomerase III alpha Antibody (NBP2-67219) (0)

There are no publications for Topoisomerase III alpha Antibody (NBP2-67219).
By submitting your publication information earn gift cards and discounts for future purchases.

Reviews for Topoisomerase III alpha Antibody (NBP2-67219) (0)

There are no reviews for Topoisomerase III alpha Antibody (NBP2-67219). By submitting a review you will receive an Amazon e-Gift Card or Novus Product Discount.
  • Review with no image -- $10/€7/£6/$10 CAD/¥70 Yuan/¥1110 Yen
  • Review with an image -- $25/€18/£15/$25 CAD/¥150 Yuan/¥2500 Yen

Product General Protocols

Find general support by application which include: protocols, troubleshooting, illustrated assays, videos and webinars.

Video Protocols

ICC/IF Video Protocol

FAQs for Topoisomerase III alpha Antibody (NBP2-67219) (0)

There are no specific FAQs related to this product. Read our general customer & technical service FAQs.

Secondary Antibodies

 

Isotype Controls

Additional Topoisomerase III alpha Products

Research Areas for Topoisomerase III alpha Antibody (NBP2-67219)

Find related products by research area.

Blogs on Topoisomerase III alpha

There are no specific blogs for Topoisomerase III alpha, but you can read our latest blog posts.

Contact Information

Product PDFs

Calculators

Concentration Calculator

The concentration calculator allows you to quickly calculate the volume, mass or concentration of your vial. Simply enter your mass, volume, or concentration values for your reagent and the calculator will determine the rest.

=
÷

Review this Product

Be the first to review our Topoisomerase III alpha Antibody and receive a gift card or discount.

Bioinformatics

Gene Symbol TOP3A