TOMM6 Antibody - BSA Free

Images

 
Western Blot: TOMM6 Antibody [NBP2-93442] - Analysis of extracts of various cell lines, using TOMM6 at 1:1000 dilution. Secondary antibody: HRP Goat Anti-Rabbit IgG (H+L) at 1:10000 dilution. Lysates/proteins: 25ug per ...read more
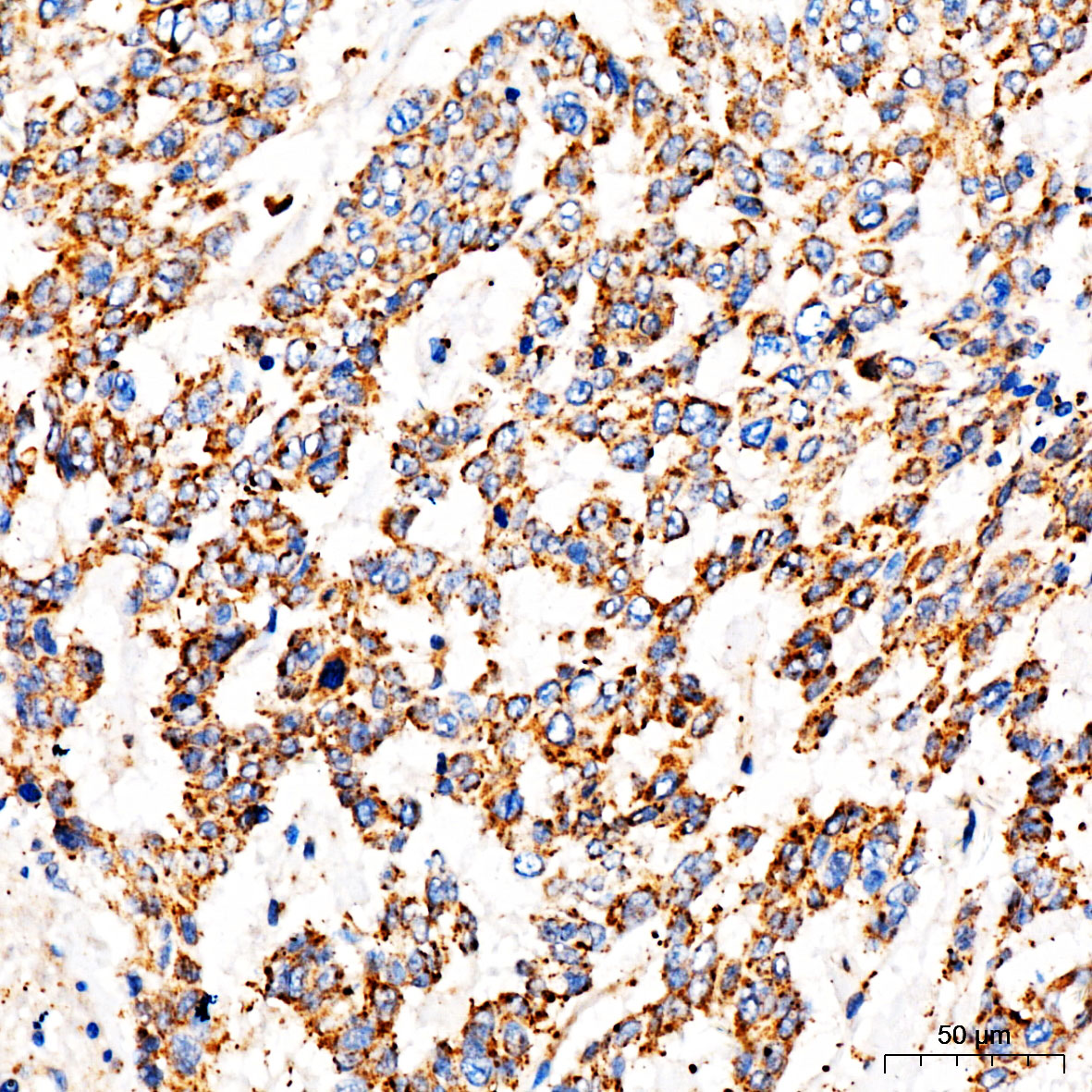
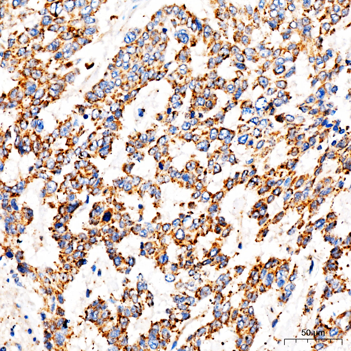
Immunohistochemistry: TOMM6 Antibody - BSA Free [NBP2-93442] - Immunohistochemistry analysis of TOMM6 in paraffin-embedded human lung cancer tissue using TOMM6 Rabbit pAb at a dilution of 1:100 (40x lens). High ...read more
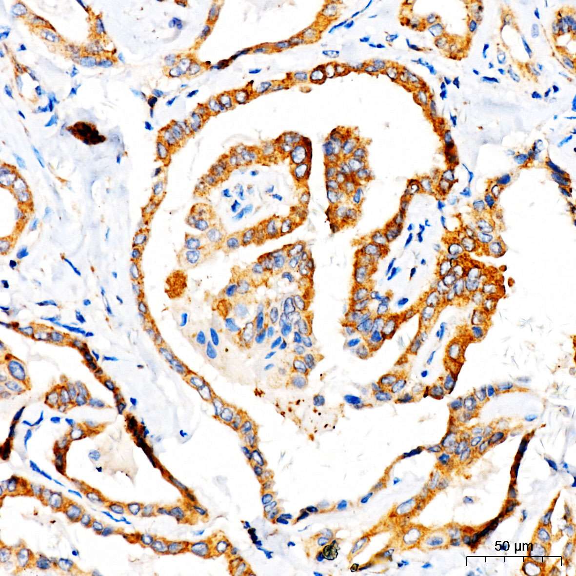
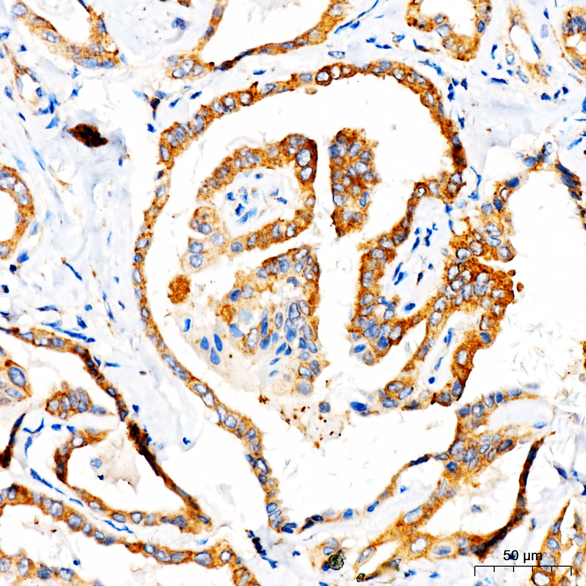
Immunohistochemistry: TOMM6 Antibody - BSA Free [NBP2-93442] - Immunohistochemistry analysis of TOMM6 in paraffin-embedded human thyroid cancer tissue using TOMM6 Rabbit pAb at a dilution of 1:100 (40x lens). High ...read more
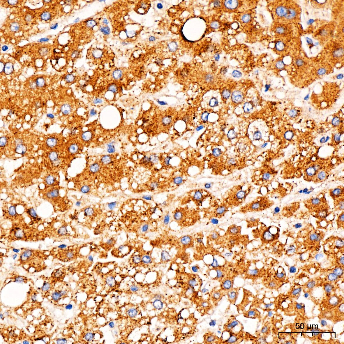
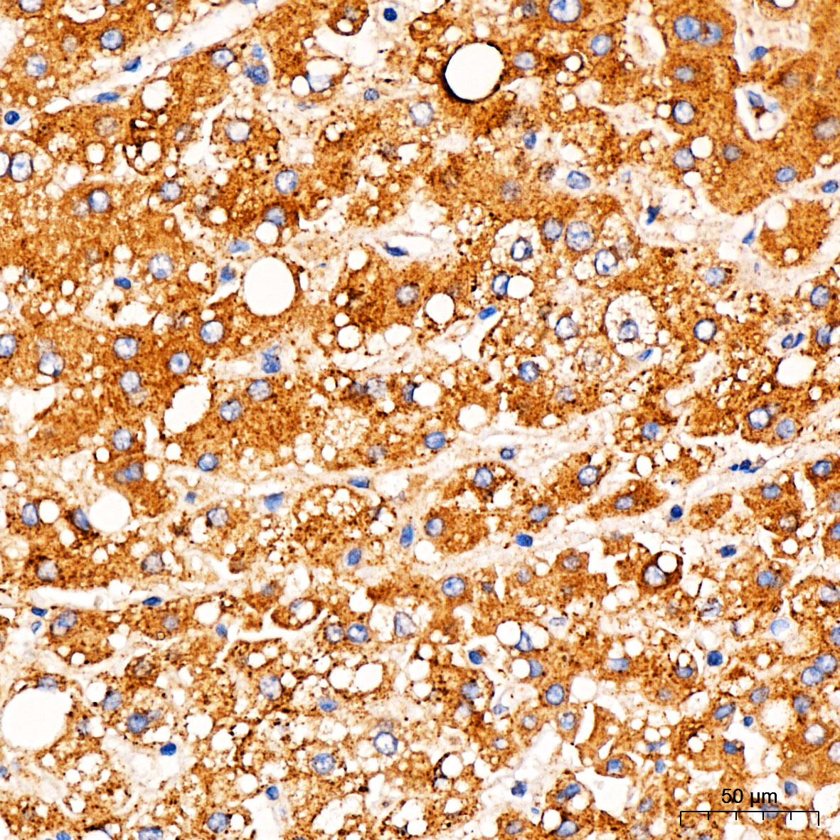
Immunohistochemistry: TOMM6 Antibody - BSA Free [NBP2-93442] - Immunohistochemistry analysis of TOMM6 in paraffin-embedded human liver cancer tissue using TOMM6 Rabbit pAb at a dilution of 1:100 (40x lens). High ...read more

Product Details

Summary
Product Discontinued
View other related TOMM6 Primary Antibodies

Order Details


    • Catalog Number
      NBP2-93442
    • Availability
      Product Discontinued

    Can't find what you are looking for? Use our Antibody Concierge Service & we will help you locate your antibody!

    Or feel free to contact us for alternative products.

TOMM6 Antibody - BSA Free Summary

Immunogen
Recombinant fusion protein containing a sequence corresponding to amino acids 1-74 of human TOMM6 (NP_001127965.1). MASSTVPVSAAGSANETPEIPDNVGDWLRGVYRFATDRNDFRRNLILNLGLFAAGVWLARNLSDIDLMAPQPGV
Isotype
IgG
Clonality
Polyclonal
Host
Rabbit
Gene
TOMM6
Purity
Affinity purified
Innovator's Reward
Test in a species/application not listed above to receive a full credit towards a future purchase.

Applications/Dilutions

Dilutions
  • Western Blot 1:500-1:2000
Theoretical MW
8 kDa.
Disclaimer note: The observed molecular weight of the protein may vary from the listed predicted molecular weight due to post translational modifications, post translation cleavages, relative charges, and other experimental factors.

Packaging, Storage & Formulations

Storage
Store at -20C. Avoid freeze-thaw cycles.
Buffer
PBS (pH 7.3), 50% glycerol
Preservative
0.02% Sodium Azide
Purity
Affinity purified

Alternate Names for TOMM6 Antibody - BSA Free

  • FLJ32622
  • mitochondrial import receptor subunit TOM6 homolog
  • over-expressed breast tumor protein
  • TOM6
  • translocase of outer membrane 6 kDa subunit homolog
  • translocase of outer mitochondrial membrane 6 homolog (yeast)

Limitations

This product is for research use only and is not approved for use in humans or in clinical diagnosis. Primary Antibodies are guaranteed for 1 year from date of receipt.

Customers Who Viewed This Item Also Viewed...

NBP2-38289
Species: Hu
Applications: ICC/IF, IHC,  IHC-P, WB
NBP3-45163
Species: Hu, Mu, Rt
Applications: ELISA, IHC, WB
NBP1-92298
Species: Hu
Applications: ICC/IF, IHC,  IHC-P, WB
NBP1-80671
Species: Hu, Mu
Applications: ICC/IF, IHC,  IHC-P, KD, WB
H00009804-M01
Species: Hu, Mu, Rt
Applications: ELISA, Flow, ICC/IF, IHC,  IHC-P, WB
NBP1-80681
Species: Hu
Applications: ICC/IF, IHC,  IHC-P, WB
NBP1-86422
Species: Hu, Mu
Applications: IHC,  IHC-P
AF3145
Species: Hu
Applications: WB
NBP2-44318
Species: Hu
Applications: IHC,  IHC-P, PEP-ELISA, WB
NBP2-81939
Species: Hu
Applications: ELISA, ICC/IF, WB
NBP1-86941
Species: Hu, Mu, Rt
Applications: ICC/IF, IHC,  IHC-P, KD, WB
NBP1-77397
Species: Hu, Mu
Applications: Flow, IB, ICC/IF, IHC,  IHC-P, KD, Simple Western, WB
H00001719-M01
Species: Hu, Mu, Rt, Ye
Applications: ELISA, ICC/IF, S-ELISA, WB
NBP1-84509
Species: Hu, Mu, Rt
Applications: ICC/IF, IHC,  IHC-P, IP, Simple Western, WB
H00005018-D01P
Species: Hu
Applications: ICC/IF, WB
NBP2-41176
Species: Hu, Mu
Applications: ELISA, ICC/IF, WB
NBP1-86182
Species: Hu
Applications: ICC/IF, IHC,  IHC-P, WB
NB100-695
Species: Fi, Hu, Mu, Rt
Applications: ELISA, IHC, KD, Simple Western, WB

Publications for TOMM6 Antibody (NBP2-93442) (0)

There are no publications for TOMM6 Antibody (NBP2-93442).
By submitting your publication information earn gift cards and discounts for future purchases.

Reviews for TOMM6 Antibody (NBP2-93442) (0)

There are no reviews for TOMM6 Antibody (NBP2-93442). By submitting a review you will receive an Amazon e-Gift Card or Novus Product Discount.
  • Review with no image -- $10/€7/£6/$10 CAD/¥70 Yuan/¥1110 Yen
  • Review with an image -- $25/€18/£15/$25 CAD/¥150 Yuan/¥2500 Yen

Product General Protocols

Find general support by application which include: protocols, troubleshooting, illustrated assays, videos and webinars.

Video Protocols

WB Video Protocol

FAQs for TOMM6 Antibody (NBP2-93442) (0)

There are no specific FAQs related to this product. Read our general customer & technical service FAQs.

Contact Information

Product PDFs

Calculators

Concentration Calculator

The concentration calculator allows you to quickly calculate the volume, mass or concentration of your vial. Simply enter your mass, volume, or concentration values for your reagent and the calculator will determine the rest.

=
÷

Review this Product

Be the first to review our TOMM6 Antibody - BSA Free and receive a gift card or discount.

Bioinformatics

Gene Symbol TOMM6