TMEM5 Antibody

Images

 
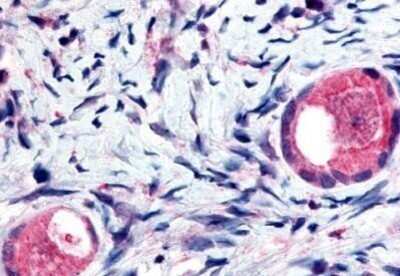
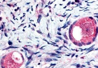
Immunohistochemistry-Paraffin: TMEM5 Antibody [NB110-40445] - Analysis of anti-TMEM5 antibody with human ovary, oocytes at concentration 5 ug/ml.

Product Details

Summary
Product Discontinued
View other related TMEM5 Primary Antibodies

Order Details


    • Catalog Number
      NB110-40445
    • Availability
      Product Discontinued

    Can't find what you are looking for? Use our Antibody Concierge Service & we will help you locate your antibody!

    Or feel free to contact us for alternative products.

TMEM5 Antibody Summary

Immunogen
Synthetic 18 amino acid peptide from extracellular domain of human TMEM5.
Specificity
Human TMEM5. BLAST analysis of the peptide immunogen showed no homology with other human proteins, except CACYBP (50%).
Predicted Species
Mouse (94%), Rat (94%), Canine (94%), Monkey (100%), Primate (94%), Equine (94%). Backed by our 100% Guarantee.
Isotype
IgG
Clonality
Polyclonal
Host
Rabbit
Gene
RXYLT1
Purity
Immunogen affinity purified
Innovator's Reward
Test in a species/application not listed above to receive a full credit towards a future purchase.

Applications/Dilutions

Dilutions
  • Immunohistochemistry
  • Immunohistochemistry-Paraffin 5 ug/ml

Reactivity Notes

Predicted cross-reactivity based on sequence identity: Gorilla (100%), Gibbon (100%), Marmoset (94%), Bovine (89%), Porcine (89%).

Packaging, Storage & Formulations

Storage
Store at 4C short term. Aliquot and store at -20C long term. Avoid freeze-thaw cycles.
Buffer
PBS
Preservative
0.1% Sodium Azide
Concentration
1.0 mg/ml
Purity
Immunogen affinity purified

Alternate Names for TMEM5 Antibody

  • HP10481
  • putative type II membrane protein
  • transmembrane protein 5

Limitations

This product is for research use only and is not approved for use in humans or in clinical diagnosis. Primary Antibodies are guaranteed for 1 year from date of receipt.

Customers Who Viewed This Item Also Viewed...

NBP1-84678
Species: Hu, Mu
Applications: ICC/IF, IHC,  IHC-P, WB
DDX0390P-100
Species: Hu, Mu
Applications: B/N, Flow, ICC/IF, IHC-FrFl, IHC, IHC-Fr,  IHC-P, IP, In vivo
NBP2-02148
Species: Hu
Applications: Flow, ICC/IF, WB
NBP1-90752
Species: Hu
Applications: IHC,  IHC-P
NBP1-76377
Species: Hu, Mu, Rt
Applications: ELISA, ICC/IF, IHC,  IHC-P, WB
H00079147-Q01
Species: Hu
Applications: ELISA, AP, PA, WB
7268-CT
Species: Hu
Applications: BA
NBP1-92030
Species: Hu
Applications: IHC,  IHC-P
NB500-317
Species: Bv(-), Ca(-), Ch(-), Hu, Mu(-), Rb(-)
Applications: ELISA, Flow, ICC/IF, IHC,  IHC-P, IP, RIA, WB
NBP1-88527
Species: Hu, Mu, Rt
Applications: IHC,  IHC-P, WB
NBP1-87492
Species: Hu
Applications: IHC,  IHC-P, WB
NBP3-12487
Species: Hu, Mu, Rt
Applications: ELISA, IHC,  IHC-P, WB
NB500-327
Species: Hu
Applications: CyTOF-ready, ELISA, Flow, IHC,  IHC-P, In vitro, WB
NBP2-67309
Species: Hu, Rt
Applications: Flow, ICC/IF, IHC,  IHC-P, IP, WB
7414-GT
Species: Hu
Applications: EnzAct
NB100-524
Species: Hu, Mu
Applications: Flow-IC, Flow, ICC/IF, IHC, IHC-Fr,  IHC-P, IP, WB
NB120-6405
Species: Rt
Applications: B/N, CyTOF-ready, EM, ELISA, Flow-IC, Flow, ICC/IF, IHC, IHC-Fr,  IHC-P, IP
NB110-40445
Species: Hu, Mu, Rt, Ca, Eq, Pm, Pm
Applications: IHC

Publications for TMEM5 Antibody (NB110-40445) (0)

There are no publications for TMEM5 Antibody (NB110-40445).
By submitting your publication information earn gift cards and discounts for future purchases.

Reviews for TMEM5 Antibody (NB110-40445) (0)

There are no reviews for TMEM5 Antibody (NB110-40445). By submitting a review you will receive an Amazon e-Gift Card or Novus Product Discount.
  • Review with no image -- $10/€7/£6/$10 CAD/¥70 Yuan/¥1110 Yen
  • Review with an image -- $25/€18/£15/$25 CAD/¥150 Yuan/¥2500 Yen

Product General Protocols

Find general support by application which include: protocols, troubleshooting, illustrated assays, videos and webinars.

FAQs for TMEM5 Antibody (NB110-40445) (0)

There are no specific FAQs related to this product. Read our general customer & technical service FAQs.

Contact Information

Product PDFs

Calculators

Concentration Calculator

The concentration calculator allows you to quickly calculate the volume, mass or concentration of your vial. Simply enter your mass, volume, or concentration values for your reagent and the calculator will determine the rest.

=
÷

Review this Product

Be the first to review our TMEM5 Antibody and receive a gift card or discount.

Bioinformatics

Gene Symbol RXYLT1
Entrez
Uniprot