BST2 Antibody (120G8.04) - Azide and BSA Free

Images

 
Immunocytochemistry/ Immunofluorescence: BST2 Antibody (120G8.04) [DDX0390P-100] - Murine peyer patch: BST-2
Immunohistochemistry: BST2 Antibody (120G8.04) [DDX0390P-100] - IHC staining of murine spleen cryosections
Flow Cytometry: BST2 Antibody (120G8.04) [DDX0390P-100] - In vivo depletion of mouse PDCs (gated on CD11c+CD3- cells).
Flow Cytometry: BST2 Antibody (120G8.04) [DDX0390P-100] - Facs sorting of mouse PDCs (120G8/CD11c)
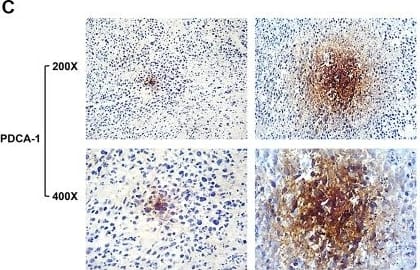
Treatment with HP06T07 induces accumulation of T cells, NK cells, and pDCs. Three mg/kg HP06T07 or PBS was intratumorally injected into right sides of tumors at 50 μl and was administered consecutively six times at ...read more

Product Details

Summary
Reactivity Hu, MuSpecies Glossary
Applications Flow, Func, ICC/IF, IHC, IP, B/N, IHC
Clone
120G8.04
Clonality
Monoclonal
Host
Rat
Conjugate
Unconjugated
Format
Azide and BSA Free
Concentration
0.5 mg/ml

Order Details

BST2 Antibody (120G8.04) - Azide and BSA Free Summary

Description
Novus Biologicals Rat BST2 Antibody (120G8.04) - Azide and BSA Free (DDX0390P-100) is a monoclonal antibody validated for use in IHC, Flow, ICC/IF and IP. Anti-BST2 Antibody: Cited in 66 publications. All Novus Biologicals antibodies are covered by our 100% guarantee.
Immunogen
mouse plasmatocytoid DCs (pDCs)
Specificity
Mouse pDCs/BST-2/IFN producing cells (IPC) (extracellular domain)
Isotype
IgG1 Kappa
Clonality
Monoclonal
Host
Rat
Gene
BST2
Purity
Ion exchange chromatography
Innovator's Reward
Test in a species/application not listed above to receive a full credit towards a future purchase.

Applications/Dilutions

Dilutions
  • Block/Neutralize
  • Flow Cytometry 1:10-1:1000
  • Immunocytochemistry/ Immunofluorescence
  • Immunohistochemistry Free-Floating
  • Immunohistochemistry 1:10-1:500
  • Immunohistochemistry-Frozen
  • Immunohistochemistry-Paraffin 1:10-1:500
  • Immunoprecipitation 1:10 - 1:500
  • In vivo assay
Application Notes
Monoclonal antibody 120G8.04 may be used between at 1-10 ug/ml. For pDCs in vivo depletion in Balb /c mice, mAb 120G8 was used between 50-200 ug / injection. Use in Immunohistochemistry free floating reported in scientific literature (PMID: 31207335).
Publications
Read Publications using
DDX0390P-100 in the following applications:

Reactivity Notes

Human reactivity reported in scientific literature (PMID: 31339007).

Packaging, Storage & Formulations

Storage
Store at -20C. Avoid freeze-thaw cycles.
Buffer
Tris-NaCl (pH 8.0)
Preservative
No Preservative
Concentration
0.5 mg/ml
Purity
Ion exchange chromatography

Notes

This product is manufactured by Eurobio Scientific (formerly Dendritics) and distributed by Novus Biologicals.

Alternate Names for BST2 Antibody (120G8.04) - Azide and BSA Free

  • bone marrow stromal antigen 2
  • bone marrow stromal cell antigen 2
  • BST2
  • BST-2
  • CD317 antigen
  • CD317
  • HM1.24 Antigen
  • NPC-A-7
  • PDCA-1
  • Tetherin

Background

Bone marrow stromal cells are involved in the growth and development of B-cells. The specific function of the protein encoded by the bone marrow stromal cell antigen 2 is undetermined; however, this protein may play a role in pre-B-cell growth and in rheumatoid arthritis. [provided by RefSeq]

Limitations

This product is for research use only and is not approved for use in humans or in clinical diagnosis. Primary Antibodies are guaranteed for 1 year from date of receipt.

Customers Who Viewed This Item Also Viewed...

NB100-524
Species: Hu, Mu
Applications: Flow-IC, Flow, ICC/IF, IHC, IHC-Fr,  IHC-P, IP, WB
NBP2-79843
Species: Hu
Applications: CyTOF-ready, ELISA, Flow, ICC/IF, IHC,  IHC-P, PA, WB
7268-CT
Species: Hu
Applications: BA
NBP1-19371
Species: Ca, Hu, Mu, Po, Rb, Rt
Applications: Dual ISH-IHC, Flow, ICC/IF, IHC, IHC-Fr,  IHC-P, Simple Western, WB
NBP1-87466
Species: Hu, Mu, Rt
Applications: ICC/IF, IHC-FrFl, IHC, IHC-Fr,  IHC-P, WB
NBP2-20774
Species: Hu, Mu
Applications: ICC/IF, IHC,  IHC-P, WB
NBP2-24653
Species: Hu, Mu, Rt
Applications: IHC,  IHC-P, WB
NBP2-02541
Species: Hu, Pm, Mu, Pm, Rt
Applications: ICC/IF, IHC,  IHC-P, WB
NBP2-21037
Species: Hu
Applications: IHC,  IHC-P, WB
NBP2-31361
Species: Hu
Applications: IHC,  IHC-P, WB
NBP1-81988
Species: Hu
Applications: IHC,  IHC-P
NBP2-75930
Species: Hu, Mu, Rt
Applications: Flow, ICC/IF, IHC,  IHC-P, WB
NBP1-88592
Species: Hu
Applications: IHC,  IHC-P
NBP1-76601
Species: Hu
Applications: ELISA, ICC/IF, IHC,  IHC-P, WB
NBP2-61931
Species: Hu, Rt
Applications: Flow, ICC/IF, IHC,  IHC-P, WB
MAB6287
Species: Hu
Applications: CyTOF-ready, Flow
NBP2-01801
Species: Hu, Mu, Rt
Applications: Flow, ICC/IF, IHC,  IHC-P, WB
NBP1-32905
Species: Bv, Hu, Pm, Rb
Applications: ICC/IF, IHC, IHC-Fr,  IHC-P, WB
NBP2-82073
Species: Hu
Applications: ELISA, ICC/IF, IHC,  IHC-P, WB
DDX0390P-100
Species: Hu, Mu
Applications: Flow, Func, ICC/IF, IHC, IP, B/N, IHC

Publications for BST2 Antibody (DDX0390P-100)(66)

We have publications tested in 2 confirmed species: Human, Mouse.

We have publications tested in 4 applications: IF/IHC, IHC-FrFl, IHC-P, In Vivo.


Filter By Application
IF/IHC
(2)
IHC-FrFl
(1)
IHC-P
(1)
In Vivo
(3)
All Applications
Filter By Species
Human
(1)
Mouse
(7)
All Species
Showing Publications 1 - 10 of 66. Show All 66 Publications.
Publications using DDX0390P-100 Applications Species
Liu X, Hogg GD, Zuo C et al. Context-dependent activation of STING-interferon signaling by CD11b agonists enhances anti-tumor immunity Cancer cell 2023-05-12 [PMID: 37236195]
Blériot C, Barreby E, Dunsmore G, Ballaire R et Al. A subset of Kupffer cells regulates metabolism through the expression of CD36 Immunity 2021-09-01 [PMID: 34469775]
Yamamoto A, Morioki H, Nakae T et al. Transcription factor old astrocyte specifically induced substance is a novel regulator of kidney fibrosis The FASEB Journal 2021-02-01 [PMID: 33150680]
Li T, Wu J et al. A Novel C Type CpG Oligodeoxynucleotide Exhibits Immunostimulatory Activity In Vitro and Enhances Antitumor Effect In Vivo. Front Pharmacol 2020-03-03 [PMID: 32116691] (IF/IHC, Mouse) IF/IHC Mouse
Ishiguro N, Moriyama M, Furusho K et al. Activated M2 macrophage contributes to the pathogenesis of IgG4-related disease via TLR7/IL-33 signaling Arthritis & rheumatology (Hoboken, N.J.) 2019-07-23 [PMID: 31339007] (IHC-P, Mouse, Human) IHC-P Mouse, Human
Olde Heuvel F, Holl S, Chandrasekar A et al. STAT6 mediates the effect of ethanol on neuroinflammatory response in TBI Brain Behav. Immun. 2019-06-15 [PMID: 31207335] (IHC-FrFl, Mouse) IHC-FrFl Mouse
Sayour EJ, Grippin A, De Leon G et al. Personalized Tumor RNA Loaded Lipid-Nanoparticles Prime the Systemic and Intratumoral Milieu for Response to Cancer Immunotherapy. Nano Lett. 2018-09-27 [PMID: 30259750] (In Vivo, Mouse) In Vivo Mouse
Kostarnoy AV, Gancheva PG, Lepenies B et al. Receptor Mincle promotes skin allergies and is capable of recognizing cholesterol sulfate. Proc. Natl. Acad. Sci. U.S.A. 2017-03-28 [PMID: 28292894] (IF/IHC, Mouse) IF/IHC Mouse
Chalise JP et al. IDO1 and TGF-beta Mediate Protective Effects of IFN-alpha in Antigen-Induced Arthritis. J Immunol 2016-10-15 [PMID: 27647832]
Pan ZJ, Horton CG, Lawrence C, Farris AD. Plasmacytoid dendritic cells and type 1 IFN promote peripheral expansion of Foxp3(+) regulatory T cells specific for the ubiquitous RNA-binding nuclear antigen La/SS-B. Clin Exp Immunol 2016-05-26 [PMID: 27227559] (In Vivo, Mouse) In Vivo Mouse
Show All 66 Publications.

Reviews for BST2 Antibody (DDX0390P-100) (0)

There are no reviews for BST2 Antibody (DDX0390P-100). By submitting a review you will receive an Amazon e-Gift Card or Novus Product Discount.
  • Review with no image -- $10/€7/£6/$10 CAD/¥70 Yuan/¥1110 Yen
  • Review with an image -- $25/€18/£15/$25 CAD/¥150 Yuan/¥2500 Yen

Product General Protocols

Video Protocols

ICC/IF Video Protocol

FAQs for BST2 Antibody (DDX0390P-100) (0)

There are no specific FAQs related to this product. Read our general customer & technical service FAQs.

Secondary Antibodies

 

Isotype Controls

Additional BST2 Products

Research Areas for BST2 Antibody (DDX0390P-100)

Find related products by research area.

Blogs on BST2

There are no specific blogs for BST2, but you can read our latest blog posts.

Customers Who Bought This Also Bought

Contact Information

Product PDFs

Calculators

Concentration Calculator

The concentration calculator allows you to quickly calculate the volume, mass or concentration of your vial. Simply enter your mass, volume, or concentration values for your reagent and the calculator will determine the rest.

=
÷

Review this Product

Be the first to review our BST2 Antibody (120G8.04) - Azide and BSA Free and receive a gift card or discount.

Bioinformatics

Gene Symbol BST2