TMEM184A Antibody - BSA Free

Images

 
Western Blot: TMEM184A Antibody [NBP1-77142] - Analysis of TMEM184A in rat brain tissue lysate with TMEM184A antibody at 1 ug/mL in (A) the absence and (B) the presence of blocking peptide.
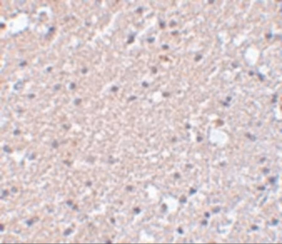
Immunohistochemistry: TMEM184A Antibody - BSA Free [NBP1-77142] - Immunohistochemistry of TMEM184A in human brain tissue with TMEM184A antibody at 5 ug/mL.

Product Details

Summary
Reactivity Hu, Mu, RtSpecies Glossary
Applications WB, ELISA, IHC
Clonality
Polyclonal
Host
Rabbit
Conjugate
Unconjugated
Format
BSA Free
Concentration
1 mg/ml

Order Details

TMEM184A Antibody - BSA Free Summary

Description
Novus Biologicals Rabbit TMEM184A Antibody - BSA Free (NBP1-77142) is a polyclonal antibody validated for use in IHC, WB and ELISA. All Novus Biologicals antibodies are covered by our 100% guarantee.
Immunogen
Antibody was raised against a 16 amino acid synthetic peptide near the carboxy terminus of human TMEM184A. The immunogen is located within the last 50 amino acids of TMEM184A. Amino Acid Squence: RKSRSLEKRMLIPSED
Isotype
IgG
Clonality
Polyclonal
Host
Rabbit
Gene
TMEM184A
Purity
Peptide affinity purified
Innovator's Reward
Test in a species/application not listed above to receive a full credit towards a future purchase.

Applications/Dilutions

Dilutions
  • ELISA 1:100-1:2000
  • Immunohistochemistry 5 ug/ml
  • Immunohistochemistry-Paraffin 5 ug/ml
  • Western Blot 1 ug/ml
Theoretical MW
52 kDa.
Disclaimer note: The observed molecular weight of the protein may vary from the listed predicted molecular weight due to post translational modifications, post translation cleavages, relative charges, and other experimental factors.
Control Peptide
TMEM184A Peptide (NBP1-77142PEP)

Reactivity Notes

Immunogen displays the following percentage of sequence identity for non-tested species: Bovine (80%)

Packaging, Storage & Formulations

Storage
Store at 4C.
Buffer
PBS
Preservative
0.02% Sodium Azide
Concentration
1 mg/ml
Purity
Peptide affinity purified

Alternate Names for TMEM184A Antibody - BSA Free

  • FLJ24011
  • transmembrane protein 184A

Background

TMEM184A, a multi-pass transmembrane protein, belongs to the UPF0206 family. While the exact function of TMEM184A remains unclear, it is known to be expressed at high levels in the developing testis. TMEM184A may mediate sex-specific signaling events during Sertoli cell differentiation. The restricted expression of this gene in Sertoli cells suggests a role for the encoded protein in the development and/or continued function of that cell type. Ectopic expression of TMEM184A in female genital ridges resulted in failure of gonocytes to enter meiosis.

Limitations

This product is for research use only and is not approved for use in humans or in clinical diagnosis. Primary Antibodies are guaranteed for 1 year from date of receipt.

Customers Who Viewed This Item Also Viewed...

NBP2-37463
Species: Hu
Applications: CyTOF-ready, ELISA, Flow, IHC,  IHC-P, WB
NBP1-76899
Species: Hu, Mu, Rt
Applications: ELISA, ICC/IF, IHC,  IHC-P, WB
NBP2-61822
Species: Hu
Applications: ELISA, Flow, ICC/IF, WB
NBP1-85610
Species: Hu
Applications: ICC/IF, IHC,  IHC-P
H00006934-M06
Species: Hu, Mu
Applications: ELISA, ICC/IF, IHC,  IHC-P, WB
AF3075
Species: Hu
Applications: ICC, Simple Western, WB
NBP2-61421
Species: Hu, Mu, Rt
Applications: ICC/IF, IHC,  IHC-P
AF2568
Species: Mu
Applications: IHC, WB
NBP1-94053
Species: Hu
Applications: IHC,  IHC-P
NBP1-82503
Species: Hu
Applications: ChIP-EXO-SEQ, IHC,  IHC-P
NBP1-92610
Species: Hu
Applications: ICC/IF, IHC,  IHC-P
NBP1-83449
Species: Hu
Applications: ChIP-EXO-SEQ, ICC/IF, IHC,  IHC-P, WB
NB100-81652
Species: Hu, Rt
Applications: ICC/IF, IHC,  IHC-P, IP, WB
NBP3-13179
Species: Mu, Rt
Applications: ICC/IF, IHC, IHC-Fr,  IHC-P, WB
NBP2-72338
Species: Hu
Applications: Flow, IHC,  IHC-P, WB
H00005097-M01
Species: Hu
Applications: ELISA, ICC/IF, IHC,  IHC-P, WB

Publications for TMEM184A Antibody (NBP1-77142) (0)

There are no publications for TMEM184A Antibody (NBP1-77142).
By submitting your publication information earn gift cards and discounts for future purchases.

Reviews for TMEM184A Antibody (NBP1-77142) (0)

There are no reviews for TMEM184A Antibody (NBP1-77142). By submitting a review you will receive an Amazon e-Gift Card or Novus Product Discount.
  • Review with no image -- $10/€7/£6/$10 CAD/¥70 Yuan/¥1110 Yen
  • Review with an image -- $25/€18/£15/$25 CAD/¥150 Yuan/¥2500 Yen

Product General Protocols

Find general support by application which include: protocols, troubleshooting, illustrated assays, videos and webinars.

Video Protocols

WB Video Protocol

FAQs for TMEM184A Antibody (NBP1-77142) (0)

There are no specific FAQs related to this product. Read our general customer & technical service FAQs.

Customers Who Bought This Also Bought

Contact Information

Product PDFs

Calculators

Concentration Calculator

The concentration calculator allows you to quickly calculate the volume, mass or concentration of your vial. Simply enter your mass, volume, or concentration values for your reagent and the calculator will determine the rest.

=
÷

Review this Product

Be the first to review our TMEM184A Antibody - BSA Free and receive a gift card or discount.

Bioinformatics

Gene Symbol TMEM184A
Uniprot