Protocadherin-1 Antibody - BSA Free

Images

 
Western Blot: Protocadherin-1 Antibody [NBP2-47321] - Analysis in control (vector only transfected HEK293T lysate) and PCDH1 over-expression lysate (Co-expressed with a C-terminal myc-DDK tag (3.1 kDa) in mammalian ...read more
Immunocytochemistry/ Immunofluorescence: Protocadherin-1 Antibody [NBP2-47321] - Staining of human cell line HaCaT shows localization to nucleoli, cell junctions & vesicles. Antibody staining is shown in green.
Immunohistochemistry-Paraffin: Protocadherin-1 Antibody [NBP2-47321] - Staining of human cerebral cortex shows strong cytoplasmic and nucleolar positivity in neuronal cells.
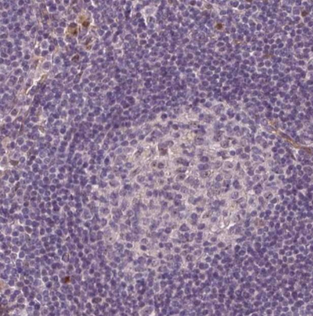
Orthogonal Strategies: Analysis in human cerebral cortex and lymph node tissues using NBP2-47321 antibody. Corresponding PCDH1 RNA-seq data are presented for the same tissues.
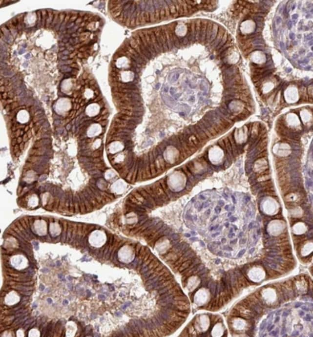
Staining of human small intestine shows strong membranous positivity in glandular cells.
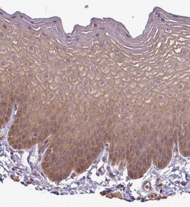
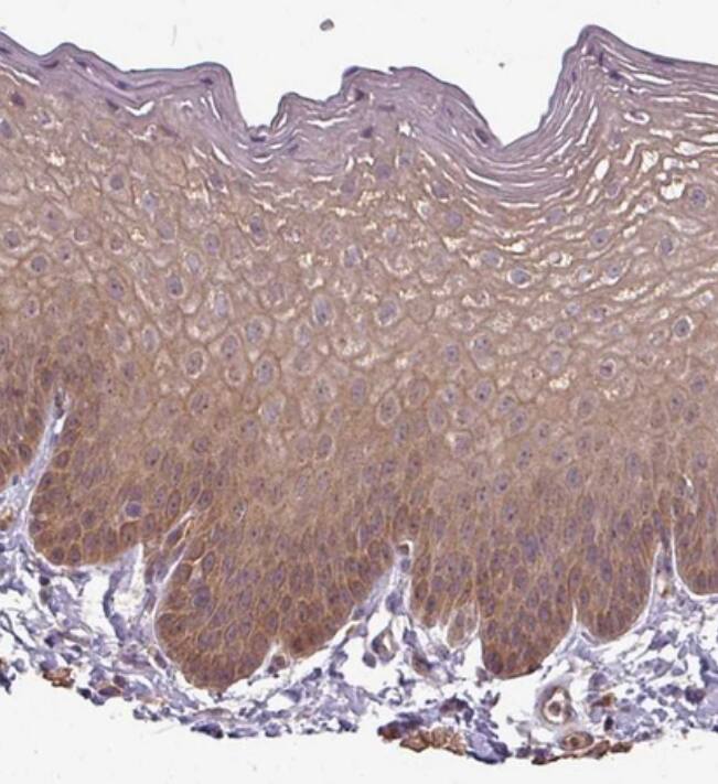
Staining of human skin shows moderate cytoplasmic positivity in squamous epithelial cells.
Staining of human lymph node shows no positivity in germinal center cells as expected.

Product Details

Summary
Reactivity Hu, Mu, RtSpecies Glossary
Applications WB, ICC/IF, IHC
Clonality
Polyclonal
Host
Rabbit
Conjugate
Unconjugated
Format
BSA Free
Validated by:
       

Orthogonal Strategies

 

Order Details

Protocadherin-1 Antibody - BSA Free Summary

Description
Novus Biologicals Rabbit Protocadherin-1 Antibody - BSA Free (NBP2-47321) is a polyclonal antibody validated for use in IHC, WB and ICC/IF. All Novus Biologicals antibodies are covered by our 100% guarantee.
Immunogen
This antibody was developed against a recombinant protein corresponding to amino acids: AKSGYQAGKKETKDLYAPKPSGKASKGNKSKGKKSKSPKPVKPVEDEDEAGLQKSLKFNLMSDAPGDSPRIHLPLNYPP
Predicted Species
Mouse (95%), Rat (95%). Backed by our 100% Guarantee.
Isotype
IgG
Clonality
Polyclonal
Host
Rabbit
Gene
PCDH1
Purity
Affinity purified
Innovator's Reward
Test in a species/application not listed above to receive a full credit towards a future purchase.

Applications/Dilutions

Dilutions
  • Immunocytochemistry/ Immunofluorescence 0.25-2 ug/ml
  • Immunohistochemistry 1:20 - 1:50
  • Immunohistochemistry-Paraffin 1:20 - 1:50
  • Western Blot 0.04-0.4 ug/ml
Application Notes
IHC-Paraffin, HIER pH 6 retrieval is recommended. ICC/IF, Fixation Permeabilization: Use PFA/Triton X-100.
Control Peptide
Protocadherin-1 Protein (NBP2-47321PEP)

Packaging, Storage & Formulations

Storage
Store at 4C short term. Aliquot and store at -20C long term. Avoid freeze-thaw cycles.
Buffer
PBS (pH 7.2) and 40% Glycerol
Preservative
0.02% Sodium Azide
Purity
Affinity purified

Alternate Names for Protocadherin-1 Antibody - BSA Free

  • cadherin-like 1
  • Cadherin-like protein 1
  • FLJ53887
  • MGC45991
  • PC42
  • PC42PCDH42
  • PCDH1
  • PCDH42
  • protocadherin 1 (cadherin-like 1)
  • protocadherin 1
  • protocadherin 42
  • Protocadherin1
  • Protocadherin-1
  • protocadherin-42

Background

PCDH1 belongs to the protocadherin subfamily within the cadherin superfamily. The encoded protein is a membrane protein found at cell-cell boundaries. It is involved in neural cell adhesion, suggesting a possible role in neuronal development. The protein includes an extracelllular region, containing 7 cadherin-like domains, a transmembrane region and a C-terminal cytoplasmic region. Cells expressing the protein showed cell aggregation activity. Alternative splicing occurs in this gene.

Limitations

This product is for research use only and is not approved for use in humans or in clinical diagnosis. Primary Antibodies are guaranteed for 1 year from date of receipt.

Customers Who Viewed This Item Also Viewed...

6510-CA
Species: Hu
Applications: BA
NBP1-80943
Species: Hu
Applications: ICC/IF, IHC,  IHC-P
NBP2-46340
Species: Hu, Mu, Rt
Applications: ICC/IF, IHC,  IHC-P, WB
H00005100-M01
Species: Hu
Applications: ELISA, IHC,  IHC-P, KD, S-ELISA, WB
NBP2-61772
Species: Hu
Applications: ELISA, Flow, ICC/IF, WB
NBP3-29042
Species: Hu, Mu
Applications: IP, WB
NBP2-05952
Species: Hu
Applications: WB
H00083259-Q01
Species: Hu
Applications: ELISA, AP, PA, WB
NBP1-77005
Species: Hu, Mu, Rt
Applications: ELISA, ICC/IF, IHC,  IHC-P, WB
MAB8364
Species: Hu
Applications: WB
NBP3-41312
Species: Hu, Mu, Rt
Applications: IHC, WB
NBP2-67471
Species: Hu, Mu, Rt
Applications: ICC/IF, IHC,  IHC-P, WB
H00079026-M01
Species: Hu, Mu
Applications: ELISA, ICC/IF, IHC, IHC-Fr, IP, WB
DYC1825-2
Species: Hu, Mu, Rt
Applications: ELISA
5604-CA
Species: Hu
Applications: BA
NBP1-86825
Species: Hu
Applications: ICC/IF, IHC,  IHC-P
MAB1790
Species: Hu
Applications: IHC, Simple Western, WB
AF6677
Species: Mu
Applications: IHC, WB
6774-CA
Species: Hu
Applications: BA
AF2715
Species: Hu
Applications: CyTOF-ready, Flow, ICC, WB

Publications for Protocadherin-1 Antibody (NBP2-47321) (0)

There are no publications for Protocadherin-1 Antibody (NBP2-47321).
By submitting your publication information earn gift cards and discounts for future purchases.

Reviews for Protocadherin-1 Antibody (NBP2-47321) (0)

There are no reviews for Protocadherin-1 Antibody (NBP2-47321). By submitting a review you will receive an Amazon e-Gift Card or Novus Product Discount.
  • Review with no image -- $10/€7/£6/$10 CAD/¥70 Yuan/¥1110 Yen
  • Review with an image -- $25/€18/£15/$25 CAD/¥150 Yuan/¥2500 Yen

Product General Protocols

Find general support by application which include: protocols, troubleshooting, illustrated assays, videos and webinars.

Video Protocols

WB Video Protocol
ICC/IF Video Protocol

FAQs for Protocadherin-1 Antibody (NBP2-47321) (0)

There are no specific FAQs related to this product. Read our general customer & technical service FAQs.

Customers Who Bought This Also Bought

Contact Information

Product PDFs

Calculators

Concentration Calculator

The concentration calculator allows you to quickly calculate the volume, mass or concentration of your vial. Simply enter your mass, volume, or concentration values for your reagent and the calculator will determine the rest.

=
÷

Review this Product

Be the first to review our Protocadherin-1 Antibody - BSA Free and receive a gift card or discount.

Bioinformatics

Gene Symbol PCDH1