TMEM176A Antibody

Images

 
Western Blot: TMEM176A Antibody [NBP1-83283] - Analysis in control (vector only transfected HEK293T lysate) and TMEM176A over-expression lysate (Co-expressed with a C-terminal myc-DDK tag (3.1 kDa) in mammalian HEK293T ...read more
Immunohistochemistry-Paraffin: TMEM176A Antibody [NBP1-83283] - Staining of human skeletal muscle shows no positivity in myocytes.
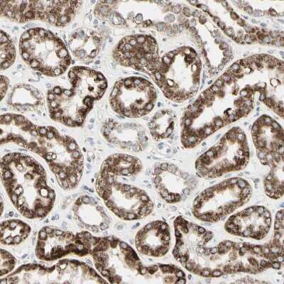
Immunohistochemistry-Paraffin: TMEM176A Antibody [NBP1-83283] - Staining of human kidney shows strong cytoplasmic positivity in cells in tubules.
Immunohistochemistry-Paraffin: TMEM176A Antibody [NBP1-83283] - Staining of human liver shows strong cytoplasmic positivity in hepatocytes.
Immunohistochemistry-Paraffin: TMEM176A Antibody [NBP1-83283] - Staining of human small intestine shows moderate to strong cytoplasmic positivity in glandular cells.

Product Details

Summary
Product Discontinued
View other related TMEM176A Primary Antibodies

Order Details


    • Catalog Number
      NBP1-83283
    • Availability
      Product Discontinued

    Can't find what you are looking for? Use our Antibody Concierge Service & we will help you locate your antibody!

    Or feel free to contact us for alternative products.

TMEM176A Antibody Summary

Immunogen
This antibody was developed against Recombinant Protein corresponding to amino acids: MGTADSDEMAPEAPQHTHIDVHIHQESALAKLLLTCCSALRPRATQAR
Isotype
IgG
Clonality
Polyclonal
Host
Rabbit
Gene
TMEM176A
Purity
Immunogen affinity purified
Innovator's Reward
Test in a species/application not listed above to receive a full credit towards a future purchase.

Applications/Dilutions

Dilutions
  • Immunohistochemistry 1:20 - 1:50
  • Immunohistochemistry-Paraffin 1:20 - 1:50
  • Western Blot 0.04-0.4 ug/ml
Application Notes
For IHC-Paraffin, HIER pH 6 retrieval is recommended.

Packaging, Storage & Formulations

Storage
Store at 4C short term. Aliquot and store at -20C long term. Avoid freeze-thaw cycles.
Buffer
PBS (pH 7.2) and 40% Glycerol
Preservative
0.02% Sodium Azide
Purity
Immunogen affinity purified

Alternate Names for TMEM176A Antibody

  • GS188
  • HCA112Hepatocellular carcinoma-associated antigen 112
  • likley ortholog of mouse GS188
  • transmembrane protein 176A

Limitations

This product is for research use only and is not approved for use in humans or in clinical diagnosis. Primary Antibodies are guaranteed for 1 year from date of receipt.

Customers Who Viewed This Item Also Viewed...

NBP3-45209
Species: Hu, Mu
Applications: ELISA, IP, WB
NBP1-81689
Species: Hu, Mu, Rt
Applications: ICC/IF, IHC,  IHC-P, WB
NBP2-46539
Species: Ca, Hu, Rt
Applications: ICC/IF, IHC,  IHC-P, WB
NBP2-14260
Species: Hu, Mu, Rt
Applications: ICC/IF, IHC,  IHC-P
211-TBB/CF
Species: Hu
Applications: BA
AF009
Species: Hu
Applications: IHC, WB
NBP1-72042
Species: Hu, Mu, Rt
Applications: ICC/IF, IHC,  IHC-P, PEP-ELISA, WB
NBP2-68928
Species: Hu, Rt
Applications: IHC,  IHC-P
NBP2-26091
Species: Hu
Applications: Flow, ICC/IF, IHC,  IHC-P, PEP-ELISA
NB110-61576
Species: Ca, Hu, Mu, Po, Rt
Applications: ICC/IF, IHC,  IHC-P, KD, WB
NBP2-21590
Species: Hu, Mu
Applications: ICC/IF, IHC-Fr, Simple Western, WB
NB300-560
Species: Av, Bv, Ma, Hu, Mu, Pm, Rt
Applications: IF, IHC, IHC-Fr,  IHC-P, WB
NBP1-88866
Species: Hu
Applications: IHC,  IHC-P
NLS1331
Species: Bt, Bv, Ca, Gp, Ha, Hu, Pm, Mu, Po, Pm, Rb, Rt, Sh
Applications: IHC,  IHC-P
NBP2-12446
Species: Hu, Mu, Rt
Applications: Flow, ICC/IF, IHC, IHC-Fr,  IHC-P, IM, IP, KD, WB
AF2796
Species: Hu
Applications: IHC, WB
NBP1-76544
Species: Hu, Mu, Rt
Applications: ELISA, ICC/IF, IHC,  IHC-P, Simple Western, WB
NBP3-38474
Species: Hu, Mu, Rt
Applications: ELISA, IHC,  IHC-P, WB

Publications for TMEM176A Antibody (NBP1-83283) (0)

There are no publications for TMEM176A Antibody (NBP1-83283).
By submitting your publication information earn gift cards and discounts for future purchases.

Reviews for TMEM176A Antibody (NBP1-83283) (0)

There are no reviews for TMEM176A Antibody (NBP1-83283). By submitting a review you will receive an Amazon e-Gift Card or Novus Product Discount.
  • Review with no image -- $10/€7/£6/$10 CAD/¥70 Yuan/¥1110 Yen
  • Review with an image -- $25/€18/£15/$25 CAD/¥150 Yuan/¥2500 Yen

Product General Protocols

Find general support by application which include: protocols, troubleshooting, illustrated assays, videos and webinars.

Video Protocols

WB Video Protocol

FAQs for TMEM176A Antibody (NBP1-83283) (0)

There are no specific FAQs related to this product. Read our general customer & technical service FAQs.

Contact Information

Product PDFs

Calculators

Concentration Calculator

The concentration calculator allows you to quickly calculate the volume, mass or concentration of your vial. Simply enter your mass, volume, or concentration values for your reagent and the calculator will determine the rest.

=
÷

Review this Product

Be the first to review our TMEM176A Antibody and receive a gift card or discount.

Bioinformatics

Gene Symbol TMEM176A