TIMMDC1 Antibody - BSA Free

Images

 
Immunocytochemistry/ Immunofluorescence: TIMMDC1 Antibody [NBP2-13433] - Immunofluorescent staining of human cell line MCF7 shows localization to nucleoplasm & mitochondria.
Immunohistochemistry-Paraffin: TIMMDC1 Antibody [NBP2-13433] - Staining of human prostate shows strong granular cytoplasmic positivity in glandular cells.
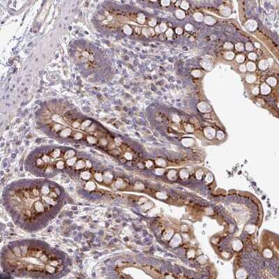
Immunohistochemistry-Paraffin: TIMMDC1 Antibody [NBP2-13433] - Staining of human colon shows strong granular cytoplasmic positivity in glandular cells.
Immunohistochemistry-Paraffin: TIMMDC1 Antibody [NBP2-13433] - Staining of human heart muscle shows moderate granular cytoplasmic positivity in cardiomyocytes.
Immunohistochemistry-Paraffin: TIMMDC1 Antibody [NBP2-13433] - Staining of human kidney shows moderate granular cytoplasmic positivity in cells in tubules.
Lane 1: Marker [kDa] 250, 130, 95, 72, 55, 36, 28, 17, 10Lane 2: Human cell line RT-4

Product Details

Summary
Reactivity HuSpecies Glossary
Applications WB, ICC/IF, IHC
Clonality
Polyclonal
Host
Rabbit
Conjugate
Unconjugated
Format
BSA Free

Order Details

View Available Formulations
Catalog# & Formulation Size Price

TIMMDC1 Antibody - BSA Free Summary

Description
Novus Biologicals Rabbit TIMMDC1 Antibody - BSA Free (NBP2-13433) is a polyclonal antibody validated for use in IHC, WB and ICC/IF. All Novus Biologicals antibodies are covered by our 100% guarantee.
Immunogen
This antibody was developed against a recombinant protein corresponding to the amino acids: YSGETVQERKQKDRKALHELKLEEWKGRLQVTEHLPEKIESSLQEDEPENDAKKIEALLNLPRNPSVIDKQDK
Isotype
IgG
Clonality
Polyclonal
Host
Rabbit
Gene
TIMMDC1
Purity
Immunogen affinity purified
Innovator's Reward
Test in a species/application not listed above to receive a full credit towards a future purchase.

Applications/Dilutions

Dilutions
  • Immunocytochemistry/ Immunofluorescence 0.25-2 ug/ml
  • Immunohistochemistry 1:10 - 1:500
  • Immunohistochemistry-Paraffin 1:50 - 1:200
  • Western Blot 0.04-0.4 ug/ml
Application Notes
For IHC-Paraffin, HIER pH 6 retrieval is recommended. Immunocytochemistry/Immunofluorescence Fixation Permeabilization: Use PFA/Triton X-100.
Control Peptide
TIMMDC1 Protein (NBP2-13433PEP)

Packaging, Storage & Formulations

Storage
Store at 4C short term. Aliquot and store at -20C long term. Avoid freeze-thaw cycles.
Buffer
PBS (pH 7.2) and 40% Glycerol
Preservative
0.02% Sodium Azide
Purity
Immunogen affinity purified

Alternate Names for TIMMDC1 Antibody - BSA Free

  • chromosome 3 open reading frame 1
  • FLJ22597
  • M5-14 protein
  • Protein M5-14
  • transmembrane protein C3orf1

Limitations

This product is for research use only and is not approved for use in humans or in clinical diagnosis. Primary Antibodies are guaranteed for 1 year from date of receipt.

Customers Who Viewed This Item Also Viewed...

236-EG
Species: Hu
Applications: BA
NBP3-47760
Species: Hu, Mu, Rt
Applications: ELISA, ICC/IF, IHC, WB
NBP1-90311
Species: Hu, Mu
Applications: IHC,  IHC-P, WB
MAB140
Species: Hu
Applications: CyTOF-ready, Dual ISH-IHC, ELISA(Cap), ELISA(Det), ELISA(Sta), Flow, IHC, Neut
NBP1-77072
Species: Hu, Mu, Rt
Applications: ELISA, ICC/IF, IHC,  IHC-P, WB
NB100-78486
Species: Hu, Mu, Rt(-)
Applications: CyTOF-ready, Flow, ICC/IF, IHC,  IHC-P, IP, KO, WB
NBP2-49553
Species: Hu
Applications: ICC/IF, IHC,  IHC-P
NBP3-24870
Species: Hu
Applications: ICC/IF
AF3735
Species: Hu
Applications: IHC, WB
NBP2-13433
Species: Hu
Applications: WB, ICC/IF, IHC

Publications for TIMMDC1 Antibody (NBP2-13433) (0)

There are no publications for TIMMDC1 Antibody (NBP2-13433).
By submitting your publication information earn gift cards and discounts for future purchases.

Reviews for TIMMDC1 Antibody (NBP2-13433) (0)

There are no reviews for TIMMDC1 Antibody (NBP2-13433). By submitting a review you will receive an Amazon e-Gift Card or Novus Product Discount.
  • Review with no image -- $10/€7/£6/$10 CAD/¥70 Yuan/¥1110 Yen
  • Review with an image -- $25/€18/£15/$25 CAD/¥150 Yuan/¥2500 Yen

Product General Protocols

Find general support by application which include: protocols, troubleshooting, illustrated assays, videos and webinars.

Video Protocols

WB Video Protocol
ICC/IF Video Protocol

FAQs for TIMMDC1 Antibody (NBP2-13433) (0)

There are no specific FAQs related to this product. Read our general customer & technical service FAQs.

Secondary Antibodies

 

Isotype Controls

Additional TIMMDC1 Products

Research Areas for TIMMDC1 Antibody (NBP2-13433)

Find related products by research area.

Blogs on TIMMDC1

There are no specific blogs for TIMMDC1, but you can read our latest blog posts.

Customers Who Bought This Also Bought

Contact Information

Product PDFs

Calculators

Concentration Calculator

The concentration calculator allows you to quickly calculate the volume, mass or concentration of your vial. Simply enter your mass, volume, or concentration values for your reagent and the calculator will determine the rest.

=
÷

Review this Product

Be the first to review our TIMMDC1 Antibody - BSA Free and receive a gift card or discount.

Bioinformatics

Gene Symbol TIMMDC1