XXYLT1 Antibody - BSA Free

Images

 
Western Blot: XXYLT1 Antibody - BSA Free [NBP3-47760] - HeLa cells were subjected to SDS PAGE followed by western blot with (XXYLT1 antibody) at dilution of 1:800
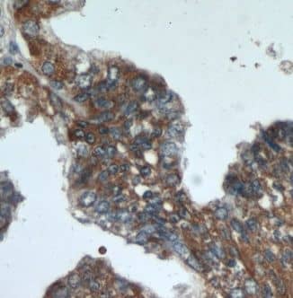
Immunohistochemistry: XXYLT1 Antibody - BSA Free [NBP3-47760] - Immunohistochemistry of paraffin-embedded human prostate hyperplasia using (XXYLT1 antibody) at dilution of 1:50

Product Details

Summary
Reactivity Hu, Mu, RtSpecies Glossary
Applications WB, ELISA, ICC/IF, IHC
Clonality
Polyclonal
Host
Rabbit
Conjugate
Unconjugated
Format
BSA Free

Order Details

XXYLT1 Antibody - BSA Free Summary

Description
Novus Biologicals Rabbit XXYLT1 Antibody - BSA Free (NBP3-47760) is a polyclonal antibody validated for use in IHC, WB, ELISA and ICC/IF. All Novus Biologicals antibodies are covered by our 100% guarantee.
Immunogen
chromosome 3 open reading frame 21. (Uniprot# Q8NBI6)
Isotype
IgG
Clonality
Polyclonal
Host
Rabbit
Gene
XXYLT1
Purity
Immunogen affinity purified
Innovator's Reward
Test in a species/application not listed above to receive a full credit towards a future purchase.

Applications/Dilutions

Dilutions
  • ELISA
  • Immunocytochemistry/ Immunofluorescence 1:20-1:200
  • Immunohistochemistry 1:20-1:200
  • Western Blot 1:500-1:2000
Theoretical MW
44 kDa.
Disclaimer note: The observed molecular weight of the protein may vary from the listed predicted molecular weight due to post translational modifications, post translation cleavages, relative charges, and other experimental factors.

Packaging, Storage & Formulations

Storage
Store at -20C. Avoid freeze-thaw cycles.
Buffer
PBS, 50% Glycerol, pH (7.3)
Preservative
0.02% Sodium Azide
Purity
Immunogen affinity purified

Alternate Names for XXYLT1 Antibody - BSA Free

  • C3orf21

Limitations

This product is for research use only and is not approved for use in humans or in clinical diagnosis. Primary Antibodies are guaranteed for 1 year from date of receipt.

Customers Who Viewed This Item Also Viewed...

236-EG
Species: Hu
Applications: BA
NBP1-90311
Species: Hu, Mu
Applications: IHC,  IHC-P, WB
NB100-78486
Species: Hu, Mu, Rt(-)
Applications: CyTOF-ready, Flow, ICC/IF, IHC,  IHC-P, IP, KO, WB
NBP2-49553
Species: Hu
Applications: ICC/IF, IHC,  IHC-P
NBP3-24870
Species: Hu
Applications: ICC/IF
AF3735
Species: Hu
Applications: IHC, WB
NBP2-13433
Species: Hu
Applications: ICC/IF, IHC,  IHC-P, WB
AF1916
Species: Hu
Applications: ICC, IHC, WB

Publications for XXYLT1 Antibody (NBP3-47760) (0)

There are no publications for XXYLT1 Antibody (NBP3-47760).
By submitting your publication information earn gift cards and discounts for future purchases.

Reviews for XXYLT1 Antibody (NBP3-47760) (0)

There are no reviews for XXYLT1 Antibody (NBP3-47760). By submitting a review you will receive an Amazon e-Gift Card or Novus Product Discount.
  • Review with no image -- $10/€7/£6/$10 CAD/¥70 Yuan/¥1110 Yen
  • Review with an image -- $25/€18/£15/$25 CAD/¥150 Yuan/¥2500 Yen

Product General Protocols

Find general support by application which include: protocols, troubleshooting, illustrated assays, videos and webinars.

Video Protocols

WB Video Protocol
ICC/IF Video Protocol

FAQs for XXYLT1 Antibody (NBP3-47760) (0)

There are no specific FAQs related to this product. Read our general customer & technical service FAQs.

Customers Who Bought This Also Bought

Contact Information

Product PDFs

Calculators

Concentration Calculator

The concentration calculator allows you to quickly calculate the volume, mass or concentration of your vial. Simply enter your mass, volume, or concentration values for your reagent and the calculator will determine the rest.

=
÷

Review this Product

Be the first to review our XXYLT1 Antibody - BSA Free and receive a gift card or discount.

Bioinformatics

Gene Symbol XXYLT1