TBC1D1 Antibody

Images

 
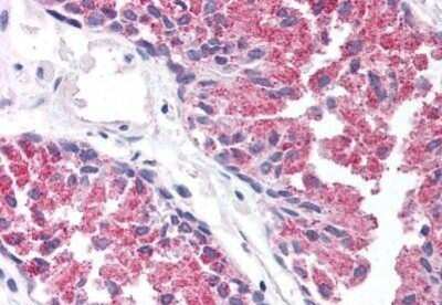
Immunohistochemistry-Paraffin: TBC1D1 Antibody [NB100-80834] - Staining of human breast. Immunohistochemistry of formalin-fixed, paraffin-embedded tissue after heat-induced antigen retrieval. Antibody concentration 5 ...read more
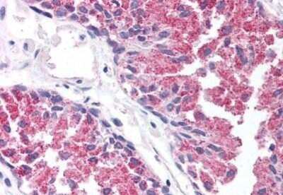
Immunohistochemistry-Paraffin: TBC1D1 Antibody [NB100-80834] - Staining of human prostate. Immunohistochemistry of formalin-fixed, paraffin-embedded tissue after heat-induced antigen retrieval. Antibody concentration 5 ...read more

Product Details

Summary
Product Discontinued
View other related TBC1D1 Primary Antibodies

Order Details


    • Catalog Number
      NB100-80834
    • Availability
      Product Discontinued

    Can't find what you are looking for? Use our Antibody Concierge Service & we will help you locate your antibody!

    Or feel free to contact us for alternative products.

TBC1D1 Antibody Summary

Immunogen
A 22 amino acid synthetic peptide near the C-terminus of human TBC1D1. The immunogen is located within the last 50 amino acids of TBC1D1.
Specificity
a 22 amino acid peptide from near the carboxy terminus of human TBC1D1
Isotype
IgG
Clonality
Polyclonal
Host
Rabbit
Gene
TBC1D1
Purity
Peptide affinity purified
Innovator's Reward
Test in a species/application not listed above to receive a full credit towards a future purchase.

Applications/Dilutions

Dilutions
  • ELISA
  • Immunohistochemistry 1:10-1:500
  • Immunohistochemistry-Paraffin 5 ug/ml
  • Western Blot 4 ug/ml
Control
TBC1D1 Overexpression Lysate

Packaging, Storage & Formulations

Storage
Store at 4C short term. Aliquot and store at -20C long term. Avoid freeze-thaw cycles.
Buffer
PBS
Preservative
0.02% Sodium Azide
Concentration
1.0 mg/ml
Purity
Peptide affinity purified

Alternate Names for TBC1D1 Antibody

  • KIAA1108TBC
  • TBC1 (tre-2/USP6, BUB2, cdc16) domain family, member 1
  • TBC1 domain family member 1
  • TBC1

Background

TBC1D1 is the founding member of a family of proteins sharing a 180- to 200-amino acid TBC domain and presumed to have a role in regulating cell growth and differentiation. These proteins share significant homology with TRE2/USP6, yeast Bub2, and CDC16. TBC1D1 and TBC1D4 (AS160) have been demonstrated to be Rab GAPs (GTPase-activating proteins) that link upstream to Akt and phosphoinositide 3-kinase and downstream to Rabs involved in trafficking of GLUT4 vesicles. TBC1D1 regulates insulin-mediated GLUT4 translocation through its GAP activity, and is a likely Akt substrate. Mutations in the Tbc1d1 gene lead to some cases of severe human obesity.

Limitations

This product is for research use only and is not approved for use in humans or in clinical diagnosis. Primary Antibodies are guaranteed for 1 year from date of receipt.

Customers Who Viewed This Item Also Viewed...

NBP2-74462
Species: Hu, Mu, Rt
Applications: CyTOF-ready, Flow, ICC/IF, WB
NBP2-76350
Species: Hu
Applications: Flow, ICC/IF, PEP-ELISA
NBP1-49533
Species: Hu, Mu, Pl, Rt
Applications: Flow-IC, Flow, ICC/IF, IHC,  IHC-P, KD, WB
MAB1417
Species: Bv, Hu, Mu
Applications: ICC, IHC
NBP3-33529
Species: Hu, Mu, Rt
Applications: ELISA, ICC/IF, IHC,  IHC-P, WB
AF887
Species: Hu, Mu, Rt
Applications: CyTOF-ready, IHC, ICFlow, Simple Western, WB
AF2850
Species: Hu, Mu, Rt
Applications: ICC, IHC, Simple Western, WB
NBP2-22127
Species: Hu, Mu, Pm, Rt
Applications: ELISA, Flow, ICC/IF, IHC,  IHC-P, Simple Western, WB
AF2854
Species: Hu, Mu, Rt
Applications: IHC, WB
NBP2-34014
Species: Hu
Applications: IHC,  IHC-P
NBP2-37322
Species: Hu
Applications: CyTOF-ready, ELISA, Flow, ICC/IF, IHC,  IHC-P, WB
MAB1455
Species: Hu
Applications: CyTOF-ready, Dual ISH-IHC, ICC, IHC, ICFlow, Simple Western, WB
NBP2-92630
Species: Hu, Mu, Rt
Applications: ELISA, ICC/IF, IHC,  IHC-P, WB
NBP2-36551
Species: Hu, Mu
Applications: IP, WB
NBP2-67232
Species: Hu, Mu
Applications: ICC/IF, IHC,  IHC-P, WB
NBP2-41263
Species: Hu, Mu, Rt
Applications: ELISA, ICC/IF, IHC,  IHC-P, WB
NB100-80834
Species: Hu
Applications: WB, ELISA, IHC

Publications for TBC1D1 Antibody (NB100-80834) (0)

There are no publications for TBC1D1 Antibody (NB100-80834).
By submitting your publication information earn gift cards and discounts for future purchases.

Reviews for TBC1D1 Antibody (NB100-80834) (0)

There are no reviews for TBC1D1 Antibody (NB100-80834). By submitting a review you will receive an Amazon e-Gift Card or Novus Product Discount.
  • Review with no image -- $10/€7/£6/$10 CAD/¥70 Yuan/¥1110 Yen
  • Review with an image -- $25/€18/£15/$25 CAD/¥150 Yuan/¥2500 Yen

Product General Protocols

Find general support by application which include: protocols, troubleshooting, illustrated assays, videos and webinars.

Video Protocols

WB Video Protocol

FAQs for TBC1D1 Antibody (NB100-80834) (0)

There are no specific FAQs related to this product. Read our general customer & technical service FAQs.

Control Lysate(s)

Secondary Antibodies

 

Isotype Controls

Additional TBC1D1 Products

Blogs on TBC1D1.

Muscle-specific UBE2O ablation requires activated AMPK alpha 2 to protect against metabolic syndrome
By Jamshed Arslan, Pharm. D., PhD. Generating energy (ATP) from nutrients is a recipe for life. One of the sensors of cellular energy levels is the serine/threonine kinase AMPK. This enzyme facilitates lipid oxidati...  Read full blog post.

Contact Information

Product PDFs

Calculators

Concentration Calculator

The concentration calculator allows you to quickly calculate the volume, mass or concentration of your vial. Simply enter your mass, volume, or concentration values for your reagent and the calculator will determine the rest.

=
÷

Review this Product

Be the first to review our TBC1D1 Antibody and receive a gift card or discount.

Bioinformatics

Gene Symbol TBC1D1
Entrez
Uniprot