TARBP1 Antibody

Images

 
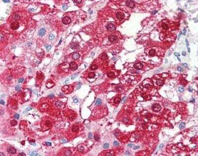
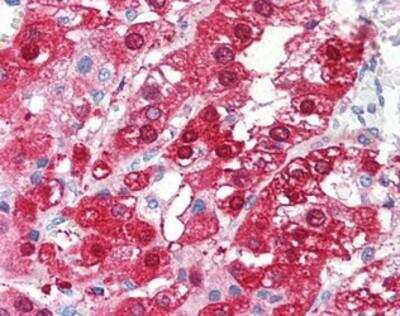
Immunohistochemistry-Paraffin: TARBP1 Antibody [NBP1-03040] - Staining of human adrenal. Immunohistochemistry of formalin-fixed, paraffin-embedded tissue after heat-induced antigen retrieval. Antibody concentration 5 ...read more
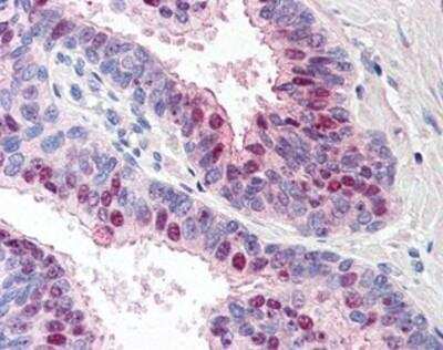
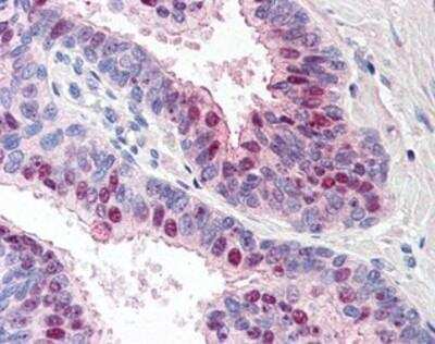
Immunohistochemistry-Paraffin: TARBP1 Antibody [NBP1-03040] - Staining of human prostate. Immunohistochemistry of formalin-fixed, paraffin-embedded tissue after heat-induced antigen retrieval. Antibody concentration 5 ...read more

Product Details

Summary
Product Discontinued
View other related TARBP1 Primary Antibodies

Order Details


    • Catalog Number
      NBP1-03040
    • Availability
      Product Discontinued

    Can't find what you are looking for? Use our Antibody Concierge Service & we will help you locate your antibody!

    Or feel free to contact us for alternative products.

TARBP1 Antibody Summary

Immunogen
A 17 aa synthetic peptide near the center of human TARBP1. The immunogen is located within aa 1310 - 1360 of TARBP1.
Epitope
Near the center
Isotype
IgG
Clonality
Polyclonal
Host
Rabbit
Gene
TARBP1
Purity
Peptide affinity purified
Innovator's Reward
Test in a species/application not listed above to receive a full credit towards a future purchase.

Applications/Dilutions

Dilutions
  • ELISA
  • Immunohistochemistry 1:10-1:500
  • Immunohistochemistry-Paraffin 5 ug/ml
  • Western Blot 1:100-1:2000

Packaging, Storage & Formulations

Storage
Store at 4C short term. Aliquot and store at -20C long term. Avoid freeze-thaw cycles.
Buffer
PBS
Preservative
0.02% Sodium Azide
Concentration
1.0 mg/ml
Purity
Peptide affinity purified

Alternate Names for TARBP1 Antibody

  • EC 2.1.1.-
  • FLJ30482
  • TAR (HIV-1) RNA binding protein 1
  • TAR RNA loop binding protein
  • TAR RNA-binding protein 1
  • TAR RNA-binding protein of 185 kDa
  • tardbp1
  • TRM3probable methyltransferase TARBP1
  • TRP-185TAR (HIV) RNA binding protein 1
  • TRP185TAR (HIV) RNA-binding protein 1

Background

HIV-1, the causative agent of acquired immunodeficiency syndrome (AIDS), contains an RNA genome that produces a chromosomally integrated DNA during the replicative cycle. Activation of HIV-1 gene expression by the transactivator Tat is dependent on an RNA regulatory element (TAR) located downstream of the transcription initiation site. This element forms a stable stem-loop structure and can be bound by either the protein encoded by this gene or by RNA polymerase II. This protein may act to disengage RNA polymerase II from TAR during transcriptional elongation. Alternatively spliced transcripts of this gene may exist, but their full-length natures have not been determined.

Limitations

This product is for research use only and is not approved for use in humans or in clinical diagnosis. Primary Antibodies are guaranteed for 1 year from date of receipt.

Customers Who Viewed This Item Also Viewed...

NBP2-48860
Species: Hu, Mu
Applications: IHC,  IHC-P, WB
NBP2-95202
Species: Hu, Mu, Rt
Applications: WB
NBP1-88376
Species: Hu, Mu
Applications: ICC/IF, IHC,  IHC-P, KD, WB
NBP3-38284
Species: Hu, Mu, Rt
Applications: ELISA, ICC/IF, WB
NB100-87021
Species: Hu
Applications: IP, WB
H00008575-M01
Species: Hu
Applications: ELISA, IHC,  IHC-P, IP, WB
NBA1-19349
Species: Mu
Applications: Flow, ICC/IF, In vitro, In vivo
235-F4
Species: Hu
Applications: BA
NBP3-16753
Species: Hu, Mu, Rt
Applications: ICC/IF, IHC,  IHC-P, WB
NB100-56599
Species: Hu, Mu, Rt(-)
Applications: Flow-IC, Flow, ICC/IF, WB
H00005725-M01
Species: Hu
Applications: ELISA, ICC/IF, IHC,  IHC-P, IP, Single-Cell Western, WB
NBP1-86616
Species: Hu
Applications: IHC,  IHC-P, WB
NBP3-16756
Species: Hu, Mu, Rt
Applications: ICC/IF, IHC,  IHC-P, WB
NBP2-58917
Species: Hu
Applications: IHC,  IHC-P, WB
NB100-317
Species: Hu, Mu, Rt
Applications: ChIP, ChIP, Flow, ICC/IF, IHC,  IHC-P, IP, WB
NB100-56648
Species: Hu, Mu, Rt
Applications: WB
NBP1-49535
Species: Hu, Mu
Applications: ICC/IF, IHC,  IHC-P, IP, KD, WB
NB200-103
Species: Hu, Mu, Rt, Xp(-), Ye
Applications: CyTOF-ready, ELISA, Flow-IC, Flow, ICC/IF, IHC, IHC-Fr,  IHC-P, IP, WB

Publications for TARBP1 Antibody (NBP1-03040) (0)

There are no publications for TARBP1 Antibody (NBP1-03040).
By submitting your publication information earn gift cards and discounts for future purchases.

Reviews for TARBP1 Antibody (NBP1-03040) (0)

There are no reviews for TARBP1 Antibody (NBP1-03040). By submitting a review you will receive an Amazon e-Gift Card or Novus Product Discount.
  • Review with no image -- $10/€7/£6/$10 CAD/¥70 Yuan/¥1110 Yen
  • Review with an image -- $25/€18/£15/$25 CAD/¥150 Yuan/¥2500 Yen

Product General Protocols

Find general support by application which include: protocols, troubleshooting, illustrated assays, videos and webinars.

Video Protocols

WB Video Protocol

FAQs for TARBP1 Antibody (NBP1-03040) (0)

There are no specific FAQs related to this product. Read our general customer & technical service FAQs.

Contact Information

Product PDFs

Calculators

Concentration Calculator

The concentration calculator allows you to quickly calculate the volume, mass or concentration of your vial. Simply enter your mass, volume, or concentration values for your reagent and the calculator will determine the rest.

=
÷

Review this Product

Be the first to review our TARBP1 Antibody and receive a gift card or discount.

Bioinformatics

Gene Symbol TARBP1
Entrez
Uniprot