TAP2 Antibody

Images

 
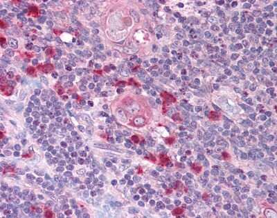
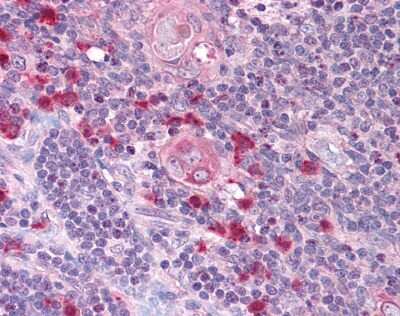
Immunohistochemistry-Paraffin: TAP2 Antibody [NBP1-40335] - Analysis of anti-TAP2 antibody with human thymus at concentration 10 ug/ml.

Product Details

Summary
Product Discontinued
View other related TAP2 Primary Antibodies

Order Details


    • Catalog Number
      NBP1-40335
    • Availability
      Product Discontinued

    Can't find what you are looking for? Use our Antibody Concierge Service & we will help you locate your antibody!

    Or feel free to contact us for alternative products.

TAP2 Antibody Summary

Immunogen
Synthetic peptide from human TAP2.
Specificity
Amino acids 689 to 703 of human TAP2
Isotype
IgG
Clonality
Polyclonal
Host
Rabbit
Gene
TAP2
Purity
Protein G purified
Innovator's Reward
Test in a species/application not listed above to receive a full credit towards a future purchase.

Applications/Dilutions

Dilutions
  • ELISA 1:1000
  • Immunohistochemistry
  • Immunohistochemistry-Paraffin 10 ug/ml
Application Notes
IHC: NBP1-40335 was validated for use in immunohistochemistry on a panel of 21 formalin-fixed, paraffin-embedded (FFPE) human tissues after heat induced antigen retrieval in pH 6.0 citrate buffer. After incubation with the primary antibody, slides were incubated with biotinylated secondary antibody, followed by alkaline phosphatase-streptavidin and chromogen. The stained slides were evaluated by a pathologist to confirm staining specificity.

Packaging, Storage & Formulations

Storage
Store at 4C short term. Aliquot and store at -20C long term. Avoid freeze-thaw cycles.
Buffer
PBS
Preservative
0.09% Sodium Azide
Concentration
1.0 mg/ml
Purity
Protein G purified

Alternate Names for TAP2 Antibody

  • ABC18
  • ABCB3
  • ABCB3ABC18
  • antigen peptide transporter 2
  • APT2
  • ATP-binding cassette, sub-family B (MDR/TAP), member 3
  • D6S217E
  • MHC 2
  • Peptide transporter involved in antigen processing 2
  • Peptide transporter PSF2
  • Peptide transporter TAP2
  • PSF2
  • PSF2PSF-2
  • Really interesting new gene 11 protein
  • RING11
  • RING11ATP-binding cassette sub-family B member 3
  • TAP2
  • transporter 2, ABC (ATP binding cassette)
  • transporter 2, ATP-binding cassette, sub-family B (MDR/TAP)
  • Y1

Background

The membrane-associated protein encoded by this gene is a member of the superfamily of ATP-binding cassette (ABC) transporters. ABC proteins transport various molecules across extra- and intra-cellular membranes. ABC genes are divided into seven distinct subfamilies (ABC1, MDR/TAP, MRP, ALD, OABP, GCN20, White). This protein is a member of the MDR/TAP subfamily. Members of the MDR/TAP subfamily are involved in multidrug resistance. This gene is located 7 kb telomeric to gene family member ABCB2. The protein encoded by this gene is involved in antigen presentation. This protein forms a heterodimer with ABCB2 in order to transport peptides from the cytoplasm to the endoplasmic reticulum. Mutations in this gene may be associated with ankylosing spondylitis, insulin-dependent diabetes mellitus, and celiac disease. Alternative splicing of this gene produces two products which differ in peptide selectivity and level of restoration of surface expression of MHC class I molecules. [provided by RefSeq]

Limitations

This product is for research use only and is not approved for use in humans or in clinical diagnosis. Primary Antibodies are guaranteed for 1 year from date of receipt.

Customers Who Viewed This Item Also Viewed...

NBP1-46535
Species: Hu, Mu, Rb, Rt, Xp
Applications: ICC/IF, IHC-FrFl, IHC, IHC-Fr,  IHC-P, WB
NBP2-01346
Species: Ca, Hu, Pm, Mu, Pm, Rt
Applications: Flow, ICC/IF, IHC,  IHC-P, WB
H00006890-M04
Species: Hu
Applications: ELISA, Flow, ICC/IF, WB
H00005696-M01
Species: Hu
Applications: ELISA, ICC/IF, IHC,  IHC-P, IP, WB
NBP3-38014
Species: Hu
Applications: ELISA, ICC/IF, IHC,  IHC-P, WB
NBP1-90286
Species: Hu, Mu, Rt
Applications: ICC/IF, IHC,  IHC-P, WB
NBP1-31649
Species: Hu
Applications: ICC/IF, IHC,  IHC-P, WB
NBP1-80865
Species: Hu
Applications: IHC,  IHC-P
NBP3-14425
Species: Hu
Applications: IHC,  IHC-P
NB100-1793
Species: Hu, Pm, Mu, Rt
Applications: Flow, IB, ICC/IF, IHC, IHC-Fr,  IHC-P, PEP-ELISA
NB100-1533
Species: Hu, Mu, Po, Rt, Sh
Applications: Flow, ICC/IF, IHC,  IHC-P, PEP-ELISA, WB
NB100-1538
Species: Ha, Hu, Rt
Applications: IHC,  IHC-P, IP, PEP-ELISA, WB
NBP2-01817
Species: Hu, Mu, Rt
Applications: Flow, ICC/IF, IHC,  IHC-P, WB
NBP1-31348
Species: Hu, Mu, Rt
Applications: ICC/IF, IHC,  IHC-P, WB
NBP2-88921
Species: Hu
Applications: ICC/IF, IHC,  IHC-P, WB
NBP1-86968
Species: Hu
Applications: IHC,  IHC-P
NB120-6405
Species: Rt
Applications: B/N, CyTOF-ready, EM, ELISA, Flow-IC, Flow, ICC/IF, IHC, IHC-Fr,  IHC-P, IP
H00003126-P01
Species: Hu
Applications: ELISA, AP, PA, WB
NBP2-61871
Species: Hu
Applications: ELISA, Flow, ICC/IF, IHC,  IHC-P, WB
NBP1-40335
Species: Hu
Applications: ELISA, IHC

Publications for TAP2 Antibody (NBP1-40335) (0)

There are no publications for TAP2 Antibody (NBP1-40335).
By submitting your publication information earn gift cards and discounts for future purchases.

Reviews for TAP2 Antibody (NBP1-40335) (0)

There are no reviews for TAP2 Antibody (NBP1-40335). By submitting a review you will receive an Amazon e-Gift Card or Novus Product Discount.
  • Review with no image -- $10/€7/£6/$10 CAD/¥70 Yuan/¥1110 Yen
  • Review with an image -- $25/€18/£15/$25 CAD/¥150 Yuan/¥2500 Yen

Product General Protocols

Find general support by application which include: protocols, troubleshooting, illustrated assays, videos and webinars.

FAQs for TAP2 Antibody (NBP1-40335) (0)

There are no specific FAQs related to this product. Read our general customer & technical service FAQs.

Secondary Antibodies

 

Isotype Controls

Additional TAP2 Products

Array NBP1-40335

Research Areas for TAP2 Antibody (NBP1-40335)

Find related products by research area.

Blogs on TAP2

There are no specific blogs for TAP2, but you can read our latest blog posts.

Contact Information

Product PDFs

Calculators

Concentration Calculator

The concentration calculator allows you to quickly calculate the volume, mass or concentration of your vial. Simply enter your mass, volume, or concentration values for your reagent and the calculator will determine the rest.

=
÷

Review this Product

Be the first to review our TAP2 Antibody and receive a gift card or discount.

Bioinformatics

Gene Symbol TAP2
Entrez
Uniprot