t-Plasminogen Activator/tPA Antibody (AH54)

Images

 
Immunocytochemistry/ Immunofluorescence: t-Plasminogen Activator/tPA Antibody (AH54-10) [NBP2-67279] - Staining TPA in HepG2 cells (red). The nuclear counter stain is DAPI (blue).Cells were fixed in paraformaldehyde, ...read more
Immunohistochemistry-Paraffin: t-Plasminogen Activator/tPA Antibody (AH54-10) [NBP2-67279] - Analysis of paraffin-embedded mouse liver tissue using anti-TPA Tubulin antibody. Counter stained with hematoxylin.
Immunocytochemistry/ Immunofluorescence: t-Plasminogen Activator/tPA Antibody (AH54-10) [NBP2-67279] - Staining TPA in 293T cells (red). The nuclear counter stain is DAPI (blue). Cells were fixed in paraformaldehyde, ...read more
Immunocytochemistry/ Immunofluorescence: t-Plasminogen Activator/tPA Antibody (AH54-10) [NBP2-67279] - Staining TPA in A431 cells (red). The nuclear counter stain is DAPI (blue). Cells were fixed in paraformaldehyde, ...read more
Immunocytochemistry/ Immunofluorescence: t-Plasminogen Activator/tPA Antibody (AH54-10) [NBP2-67279] - Staining TPA in A549 cells (red). The nuclear counter stain is DAPI (blue).Cells were fixed in paraformaldehyde, ...read more
Immunohistochemistry-Paraffin: t-Plasminogen Activator/tPA Antibody (AH54-10) [NBP2-67279] - Analysis of paraffin-embedded human kidney tissue using anti-TPA antibody. Counter stained with hematoxylin.
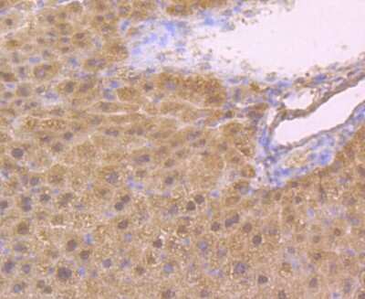
Immunohistochemistry-Paraffin: t-Plasminogen Activator/tPA Antibody (AH54-10) [NBP2-67279] - Analysis of paraffin-embedded human liver tissue using anti-TPA antibody. Counter stained with hematoxylin.
Immunohistochemistry-Paraffin: t-Plasminogen Activator/tPA Antibody (AH54-10) [NBP2-67279] - Analysis of paraffin-embedded human lung cancer tissue using anti-TPA antibody. Counter stained with hematoxylin.
Immunohistochemistry-Paraffin: t-Plasminogen Activator/tPA Antibody (AH54-10) [NBP2-67279] - Analysis of paraffin-embedded mouse brain tissue using anti-TPA Tubulin antibody. Counter stained with hematoxylin.
Immunohistochemistry-Paraffin: t-Plasminogen Activator/tPA Antibody (AH54-10) [NBP2-67279] - Analysis of paraffin-embedded mouse skeletal muscle tissue using anti-TPA antibody. Counter stained with hematoxylin.

Order Details


    • Catalog Number
      NBP2-67279
    • Availability
      Product Discontinued

    Can't find what you are looking for? Use our Antibody Concierge Service & we will help you locate your antibody!

    Or feel free to contact us for alternative products.

t-Plasminogen Activator/tPA Antibody (AH54) Summary

Additional Information
Recombinant Monoclonal Antibody
Immunogen
Recombinant protein
Localization
Secreted.
Isotype
IgG1
Clonality
Monoclonal
Host
Mouse
Gene
PLAT
Purity
Protein A purified
Innovator's Reward
Test in a species/application not listed above to receive a full credit towards a future purchase.

Applications/Dilutions

Dilutions
  • ELISA 1:5000-1:10000
  • Immunocytochemistry/ Immunofluorescence 1:100-1:200
  • Immunohistochemistry 1:50-1:200
  • Immunohistochemistry-Paraffin 1:50-1:200
  • Western Blot 1:1000 - 1:1100
Publications
Read Publications using
NBP2-67279 in the following applications:

Packaging, Storage & Formulations

Storage
Store at -20C. Avoid freeze-thaw cycles.
Buffer
TBS (pH7.4), 1% BSA, 40% Glycerol
Preservative
0.2% Sodium Azide
Concentration
2 mg/ml
Purity
Protein A purified

Alternate Names for t-Plasminogen Activator/tPA Antibody (AH54)

  • Alteplase
  • DKFZp686I03148
  • EC 3.4.21
  • EC 3.4.21.68
  • plasminogen activator, tissue type
  • plasminogen activator, tissue
  • PLAT
  • Reteplase
  • tissue plasminogen activator (t-PA)
  • tissue-type plasminogen activator
  • TPA
  • T-PA
  • tPlasminogen Activator
  • t-Plasminogen Activator

Background

Tissue plasminogen activator (tPA) is a serine protease which converts the abundant proenzyme plasminogen to active plasmin. It plays a key role in thrombolysis (1) and several neurobiological processes (2).

Limitations

This product is for research use only and is not approved for use in humans or in clinical diagnosis. Primary Antibodies are guaranteed for 1 year from date of receipt.

Customers Who Viewed This Item Also Viewed...

DSE100
Species: Hu
Applications: ELISA
1310-SE
Species: Hu
Applications: EnzAct
AF226
Species: Hu
Applications: WB
MAB8550
Species: Hu
Applications: CyTOF-ready, Flow, ICC, KO, WB
H00005555-P01
Species: Hu
Applications: ELISA, AP, PA, PAGE, WB
NBP1-80633
Species: Hu
Applications: IHC,  IHC-P
NBP3-38499
Species: Hu, Mu, Rt
Applications: ELISA, ICC/IF, WB
NBP2-01763
Species: Hu, Mu, Rt
Applications: Flow, IHC,  IHC-P, WB
H00002038-M01
Species: Hu
Applications: ELISA, ICC/IF, WB
NBP3-46899
Species: Hu
Applications: ELISA, ICC/IF, WB
NB600-586
Species: Ca, Fe, Hu, Mu
Applications: Dual ISH-IHC, ICC/IF, IHC, IHC-Fr,  IHC-P
AF1148
Species: Hu
Applications: CyTOF-ready, Flow, Simple Western, WB
AF1267
Species: Hu
Applications: IP, Neut, WB
DUP00
Species: Hu
Applications: ELISA
NB100-96916
Species: Hu
Applications: Flow, ICC/IF, IHC,  IHC-P, PEP-ELISA, WB
DY1707
Species: Hu
Applications: ELISA
MAB1417
Species: Bv, Hu, Mu
Applications: ICC, IHC

Publications for t-Plasminogen Activator/tPA Antibody (NBP2-67279)(2)

We have publications tested in 1 confirmed species: Rat.

We have publications tested in 1 application: Immunohistochemistry-Paraffin.


Filter By Application
Immunohistochemistry-Paraffin
(1)
All Applications
Filter By Species
Rat
(1)
All Species
Showing Publications 1 - 2 of 2.
Publications using NBP2-67279 Applications Species
Marchenko V, Zelinskaya I, Toropova Y et al. Influenza A(H1N1)pdm09 Virus Aggravates Pathology of Blood Vessels in Wistar Rats with Premorbid Acute Cardiomyopathy Viruses 2023-05-04 [PMID: 37243200] (Immunohistochemistry-Paraffin, Rat)

Details:
Dilution 1:200
Immunohistochemistry-Paraffin Rat
Zhao X, Yang J, Liu Y et al. An injectable and antifouling self-fused supramolecular hydrogel for preventing postoperative and recurrent adhesions Chemical Engineering Journal 2020-01-01

Reviews for t-Plasminogen Activator/tPA Antibody (NBP2-67279) (0)

There are no reviews for t-Plasminogen Activator/tPA Antibody (NBP2-67279). By submitting a review you will receive an Amazon e-Gift Card or Novus Product Discount.
  • Review with no image -- $10/€7/£6/$10 CAD/¥70 Yuan/¥1110 Yen
  • Review with an image -- $25/€18/£15/$25 CAD/¥150 Yuan/¥2500 Yen

Product General Protocols

Find general support by application which include: protocols, troubleshooting, illustrated assays, videos and webinars.

Video Protocols

WB Video Protocol
ICC/IF Video Protocol

FAQs for t-Plasminogen Activator/tPA Antibody (NBP2-67279) (0)

There are no specific FAQs related to this product. Read our general customer & technical service FAQs.

Contact Information

Product PDFs

Calculators

Concentration Calculator

The concentration calculator allows you to quickly calculate the volume, mass or concentration of your vial. Simply enter your mass, volume, or concentration values for your reagent and the calculator will determine the rest.

=
÷

Review this Product

Be the first to review our t-Plasminogen Activator/tPA Antibody (AH54) and receive a gift card or discount.

Bioinformatics

Gene Symbol PLAT