Syntrophin Antibody (JG35-62)

Images

 
Western Blot: Syntrophin Antibody (JG35-62) [NBP2-76874] - Western blot analysis of Syntrophin alpha 1 on SiHa cells lysates using anti-Syntrophin alpha 1 antibody at 1/1,000 dilution.
Immunocytochemistry/ Immunofluorescence: Syntrophin Antibody (JG35-62) [NBP2-76874] - ICC staining Syntrophin alpha 1 in HepG2 cells (green). The nuclear counter stain is DAPI (blue). Cells were fixed in ...read more
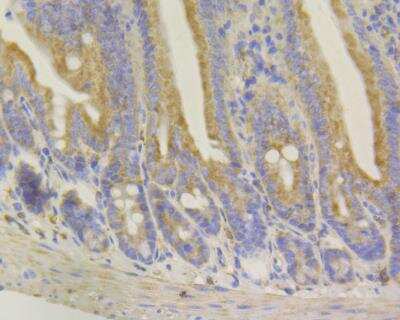
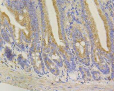
Immunohistochemistry: Syntrophin Antibody (JG35-62) [NBP2-76874] - Immunohistochemical analysis of paraffin-embedded human colon tissue using anti-Syntrophin alpha 1 antibody. Counter stained with hematoxylin.
Flow Cytometry: Syntrophin Antibody (JG35-62) [NBP2-76874] - Flow cytometric analysis of LOVO cells with Syntrophin alpha 1 antibody at 1/100 dilution (purple) compared with an unlabelled control (cells without ...read more
Immunocytochemistry/ Immunofluorescence: Syntrophin Antibody (JG35-62) [NBP2-76874] - ICC staining Syntrophin alpha 1 in LOVO cells (green). The nuclear counter stain is DAPI (blue). Cells were fixed in ...read more
Immunocytochemistry/ Immunofluorescence: Syntrophin Antibody (JG35-62) [NBP2-76874] - ICC staining Syntrophin alpha 1 in SiHa cells (green). The nuclear counter stain is DAPI (blue). Cells were fixed in ...read more
Immunohistochemistry: Syntrophin Antibody (JG35-62) [NBP2-76874] - Immunohistochemical analysis of paraffin-embedded human skeletal muscle tissue using anti-Syntrophin alpha 1 antibody. Counter stained with hematoxylin.
Immunohistochemistry: Syntrophin Antibody (JG35-62) [NBP2-76874] - Immunohistochemical analysis of paraffin-embedded mouse colon tissue using anti-Syntrophin alpha 1 antibody. Counter stained with hematoxylin.
Immunohistochemistry: Syntrophin Antibody (JG35-62) [NBP2-76874] - Immunohistochemical analysis of paraffin-embedded mouse skeletal muscle tissue using anti-Syntrophin alpha 1 antibody. Counter stained with hematoxylin.

Product Details

Summary
Product Discontinued
View other related Syntrophin Primary Antibodies

Order Details


    • Catalog Number
      NBP2-76874
    • Availability
      Product Discontinued

    Can't find what you are looking for? Use our Antibody Concierge Service & we will help you locate your antibody!

    Or feel free to contact us for alternative products.

Syntrophin Antibody (JG35-62) Summary

Additional Information
Recombinant Monoclonal Antibody.
Immunogen
Synthetic peptide within Human Syntrophin aa 1-49 / 505. (SwissProt: Q13424 Human; SwissProt: Q61234 Mouse)
Localization
Cell junction, Cell membrane, Cytoplasm, Cytoskeleton, Membrane.
Isotype
IgG
Clonality
Monoclonal
Host
Rabbit
Gene
SNTA1
Purity
Protein A purified
Innovator's Reward
Test in a species/application not listed above to receive a full credit towards a future purchase.

Applications/Dilutions

Dilutions
  • Flow Cytometry 1:50-1:200
  • Immunocytochemistry/ Immunofluorescence 1:50-1:200
  • Immunohistochemistry
  • Immunohistochemistry-Paraffin 1:50-1:200
  • Western Blot 1:500-1:1000
Theoretical MW
54 kDa.
Disclaimer note: The observed molecular weight of the protein may vary from the listed predicted molecular weight due to post translational modifications, post translation cleavages, relative charges, and other experimental factors.

Packaging, Storage & Formulations

Storage
Store at 4C short term. Aliquot and store at -20C long term. Avoid freeze-thaw cycles.
Buffer
TBS (pH7.4), 0.05% BSA, 40% Glycerol
Preservative
0.05% Sodium Azide
Concentration
1 mg/ml
Purity
Protein A purified

Alternate Names for Syntrophin Antibody (JG35-62)

  • 59 kDa dystrophin-associated protein A1 acidic component 1
  • dJ1187J4.5
  • LQT12
  • Pro-TGF-alpha cytoplasmic domain-interacting protein 1
  • SNT1alpha-1-syntrophin
  • syntrophin, alpha 1 (dystrophin-associated protein A1, 59kD, acidic component)
  • syntrophin, alpha 1 (dystrophin-associated protein A1, 59kDa, acidic component)
  • syntrophin-1
  • TACIP1acidic alpha 1 syntrophin

Limitations

This product is for research use only and is not approved for use in humans or in clinical diagnosis. Primary Antibodies are guaranteed for 1 year from date of receipt.

Customers Who Viewed This Item Also Viewed...

MAB4069
Species: Hu, Mu, Rt
Applications: WB
NB600-804
Species: Hu
Applications: IHC,  IHC-P, PEP-ELISA
DYC1825-2
Species: Hu, Mu, Rt
Applications: ELISA
NBP2-12897
Species: Ha, Hu, Mu, Rt
Applications: ICC/IF, IHC,  IHC-P, IP, MiAr, WB
NB600-1287
Species: Ca, Hu, Mu, Rb, Rt
Applications: CyTOF-ready, Flow, ICC/IF, IHC,  IHC-P, IP, WB
H00002263-M01
Species: Bv, Hu
Applications: ELISA, ICC/IF, IHC,  IHC-P, S-ELISA, WB
NBP1-89953
Species: Hu, Mu
Applications: IHC,  IHC-P
AF1230
Species: Hu, Mu, Rt
Applications: IHC, KO, WB
NBP1-83420
Species: Hu, Rt
Applications: IHC,  IHC-P, WB
H00011155-M06
Species: Hu, Mu, Rt
Applications: ELISA, ICC/IF, IP, KD, WB
NBP1-89166
Species: Hu
Applications: ICC/IF, IHC,  IHC-P, WB
NB100-858
Species: Gp, Hu, Mu, Rt
Applications: Flow, ICC/IF, IHC-WhMt, IHC, IHC-Fr,  IHC-P, PEP-ELISA, WB
AF3846
Species: Hu, Mu, Rt
Applications: IHC, WB
NB300-569
Species: Am, Bv, Hu, Mu, Po, Rb, Rt
Applications: ELISA, Flow, ICC/IF, IHC, IHC-Fr,  IHC-P, KD, WB
AF1056
Species: Rt
Applications: IHC, WB
NBP2-76874
Species: Hu, Mu
Applications: WB, Flow, ICC/IF, IHC

Publications for Syntrophin Antibody (NBP2-76874) (0)

There are no publications for Syntrophin Antibody (NBP2-76874).
By submitting your publication information earn gift cards and discounts for future purchases.

Reviews for Syntrophin Antibody (NBP2-76874) (0)

There are no reviews for Syntrophin Antibody (NBP2-76874). By submitting a review you will receive an Amazon e-Gift Card or Novus Product Discount.
  • Review with no image -- $10/€7/£6/$10 CAD/¥70 Yuan/¥1110 Yen
  • Review with an image -- $25/€18/£15/$25 CAD/¥150 Yuan/¥2500 Yen

Product General Protocols

Find general support by application which include: protocols, troubleshooting, illustrated assays, videos and webinars.

Video Protocols

WB Video Protocol
ICC/IF Video Protocol

FAQs for Syntrophin Antibody (NBP2-76874) (0)

There are no specific FAQs related to this product. Read our general customer & technical service FAQs.

Contact Information

Product PDFs

Calculators

Concentration Calculator

The concentration calculator allows you to quickly calculate the volume, mass or concentration of your vial. Simply enter your mass, volume, or concentration values for your reagent and the calculator will determine the rest.

=
÷

Review this Product

Be the first to review our Syntrophin Antibody (JG35-62) and receive a gift card or discount.

Bioinformatics

Gene Symbol SNTA1