STRA6 Antibody - Azide and BSA Free

Images

 
Western Blot: STRA6 Antibody [H00064220-D01P] - Analysis of STRA6 expression in mouse stomach.
Western Blot: STRA6 Antibody [H00064220-D01P] - Analysis of STRA6 expression in transfected 293T cell line by STRA6 polyclonal antibody.Lane 1: STRA6 transfected lysate(73.50 KDa).Lane 2: Non-transfected lysate.
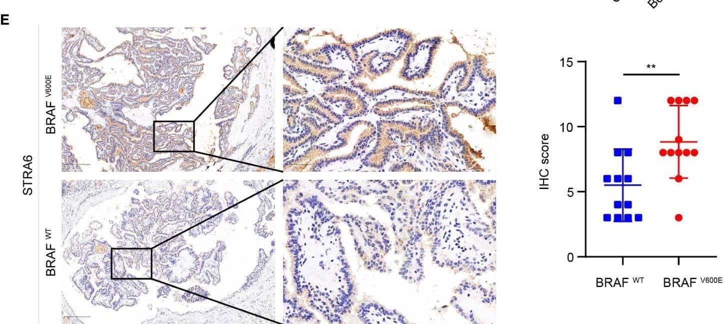
STRA6 is upregulated in BRAF-mutated PTC. (A) mRNA expression of STRA6 in various cancers according to the TCGA cohort. (B) STRA6 mRNA expression based on BRAF genotype in THCA cohort. (C) STRA6 mRNA expression of ...read more

Product Details

Summary
Reactivity Hu, Mu, YeSpecies Glossary
Applications WB, IHC
Clonality
Polyclonal
Host
Rabbit
Conjugate
Unconjugated
Format
Azide and BSA Free

Order Details

STRA6 Antibody - Azide and BSA Free Summary

Description
Novus Biologicals Rabbit STRA6 Antibody - Azide and BSA Free (H00064220-D01P) is a polyclonal antibody validated for use in IHC and WB. Anti-STRA6 Antibody: Cited in 10 publications. All Novus Biologicals antibodies are covered by our 100% guarantee.
Immunogen
STRA6 (AAH25256.1, 1 a.a. - 667 a.a.) full-length human protein. MSSQPAGNQTSPGATEDYSYGSWYIDEPQGGEELQPEGEVPSCHTSIPPGLYHACLASLSILVLLLLAMLVRRRQLWPDCVRGRPGLPSPVDFLAGDRPRAVPAAVFMVLLSSLCLLLPDEDALPFLTLASAPSQDGKTEAPRGAWKILGLFYYAALYYPLAACATAGHTAAHLLGSTLSWAHLGVQVWQRAECPQVPKIYKYYSLLASLPLLLGLGFLSLWYPVQLVRSFSRRTGAGSKGLQSSYSEEYLRNLLCRKKLGSSYHTSKHGFLSWARVCLRHCIYTPQPGFHLPLKLVLSATLTGTAIYQVALLLLVGVVPTIQKVRAGVTTDVSYLLASFGIVLSEDKQEVVELVKHHLWALEVCYISALVLSCLLTFLVLMRSLVTHRTNLRALHRGAALDLSPLHRSPHPSRQAIFCWMSFSAYQTAFICLGLLVQQIIFFLGTTALAFLVLMPVLHGRNLLLFRSLESSWPFWLTLALAVILQNMAAHWVFLETHDGHPQLTNRRVLYAATFLLFPLNVLVGAMVATWRVLLSALYNAIHLGQMDLSLLPPRAATLDPGYYTYRNFLKIEVSQSHPAMTAFCSLLLQAQSLLPRTMAAPQDSLRPGEEDEGMQLLQTKDSMAKGARPGASRGRARWGLAYTLLHNPTLQVFRKTALLGANGAQP
Specificity
Reacts with stimulated by retinoic acid gene 6 homolog (mouse).
Isotype
IgG
Clonality
Polyclonal
Host
Rabbit
Gene
STRA6
Purity
Protein A purified
Innovator's Reward
Test in a species/application not listed above to receive a full credit towards a future purchase.

Applications/Dilutions

Dilutions
  • Immunohistochemistry
  • Immunohistochemistry-Paraffin
  • Western Blot 1:100-1:2000
Application Notes
This antibody is reactive against tissue and transfected lysate in western blot, and as a detection antibody in ELISA. Use in Immunohistochemistry-Paraffin and Immunohistochemistry reported in scientific literature (PMID:31956331).
Publications
Read Publications using
H00064220-D01P in the following applications:

Packaging, Storage & Formulations

Storage
Aliquot and store at -20C or -80C. Avoid freeze-thaw cycles.
Buffer
PBS (pH 7.4)
Preservative
No Preservative
Purity
Protein A purified

Notes

This product is produced by and distributed for Abnova, a company based in Taiwan.

Alternate Names for STRA6 Antibody - Azide and BSA Free

  • FLJ12541
  • MCOPS9
  • stimulated by retinoic acid gene 6 homolog (mouse)
  • stimulated by retinoic acid gene 6 protein homolog
  • STRA6

Background

The protein encoded by this gene is a membrane protein involved in the metabolism of retinol. The encoded protein acts as a receptor for retinol/retinol binding protein complexes. This protein removes the retinol from the complex and transports it across the cell membrane. Defects in this gene are a cause of syndromic microphthalmia type 9 (MCOPS9). Several transcript variants encoding a few different isoforms have been found for this gene. [provided by RefSeq]

Limitations

This product is for research use only and is not approved for use in humans or in clinical diagnosis. Primary Antibodies are guaranteed for 1 year from date of receipt.

Customers Who Viewed This Item Also Viewed...

DRB400
Species: Hu
Applications: ELISA
NBP1-80851
Species: Hu, Mu, Rt
Applications: IHC,  IHC-P, WB
NBP1-88000
Species: Hu, Mu, Rt
Applications: ICC/IF, IHC,  IHC-P, KD, WB
NBP2-50444
Species: Hu
Applications: ELISA, ICC/IF, IHC, WB
NBP1-92280
Species: Hu
Applications: ChIP-EXO-SEQ, IHC,  IHC-P, WB
NBP2-00637
Species: Hu, Mu, Rt
Applications: Flow, ICC/IF, IHC,  IHC-P, WB
NBP3-16627
Species: Hu, Mu, Rt
Applications: ELISA, ICC/IF, IHC,  IHC-P, WB
NB400-141
Species: Ha, Hu, Mu
Applications: ICC/IF, IP, WB
MAB1417
Species: Bv, Hu, Mu
Applications: ICC, IHC
NBP2-45516
Species: Hu, Mu, Rt
Applications: ICC/IF, IHC,  IHC-P, WB
MAB5696
Species: Hu, Mu
Applications: WB
NBP2-59451
Species: Hu
Applications: ELISA, Flow, ICC/IF, MiAr, Simple Western, WB
NBP2-22106
Species: Hu, Mu, Rt
Applications: IHC,  IHC-P, IP, WB
NBP3-12233
Species: Hu, Mu, Rt
Applications: ELISA, ICC/IF, IHC,  IHC-P, IP, WB
NBP1-33476
Species: Hu, Mu, Rt, Ze
Applications: IHC, WB
NBP2-52575
Species: Hu
Applications: CyTOF-ready, ELISA, Flow, ICC/IF, IHC,  IHC-P, WB
MAB17761
Species: Hu, Mu, Rt
Applications: ICC, WB
NBP3-35469
Species: Hu, Mu, Rt
Applications: ELISA, ICC/IF, WB

Publications for STRA6 Antibody (H00064220-D01P)(10)

We have publications tested in 2 confirmed species: Human, Mouse.

We have publications tested in 4 applications: IF/IHC, IHC-P, WB, Western Blot.


Filter By Application
IF/IHC
(1)
IHC-P
(2)
WB
(2)
Western Blot
(1)
All Applications
Filter By Species
Human
(2)
Mouse
(3)
All Species
Showing Publications 1 - 10 of 10.
Publications using H00064220-D01P Applications Species
He W, Sun Y, Ge J et al. STRA6 regulates tumor immune microenvironment and is a prognostic marker in BRAF-mutant papillary thyroid carcinoma Frontiers in endocrinology 2023-02-10 [PMID: 36843593] (IHC-P, Human) IHC-P Human
He W, Cheng Z, Huo Z et al. STRA6 promotes thyroid carcinoma progression via activation of the ILK/AKT/mTOR axis in cells and female nude mice Endocrinology 2023-01-02 [PMID: 36592123]
Jean M, Srinivasagan R, Johannes L et al. Genetic dissection in mice reveals a dynamic crosstalk between the delivery pathways of vitamin A. J Lipid Res. 2022-04-19 [PMID: 35452666]
Nishimoto K, Toya Y, Davis CR et al. Dynamics of vitamin A uptake, storage, and utilization in vocal fold mucosa Mol Metab 2020-05-28 [PMID: 32473404] (WB, Human) WB Human
Wang HM, Wu C, Jiang YY et al. Retinol and vitamin A metabolites accumulate through RBP4 and STRA6 changes in a psoriasis murine model Nutr Metab (Lond) 2020-01-13 [PMID: 31956331] (IHC-P, IF/IHC, Mouse) IHC-P, IF/IHC Mouse
Szwarc MM, Hai L, Gibbons WE et al. Retinoid signaling controlled by SRC-2 in decidualization revealed by transcriptomics Reproduction 2018-10-17 [PMID: 30325183] (Western Blot, Mouse) Western Blot Mouse
Young PA, Leonard S, Martin DS, Findlay JB. The effect of retinol binding protein on the proteome of C2C12 muscle cells. Diabetes Metab Res Rev. 2015-11-10 [PMID: 26556762]
Breen CJ, Martin DS, Ma H, McQuaid K. Production of Functional Human Vitamin A Transporter/RBP Receptor (STRA6) for Structure Determination. PLoS One. 2015-03-27 [PMID: 25816144]
Berry DC, Levi L, Noy N. Holo-retinol-binding protein and its receptor STRA6 drive oncogenic transformation. Cancer Res. 2014-09-18 [PMID: 25237067]
Muenzner M, Tuvia N, Deutschmann C et al. RBP4 and its Membrane Receptor STRA6 Control Adipogenesis by Regulating Cellular Retinoid Homeostasis and RARalpha Activity. Mol Cell Biol. 2013-08-19 [PMID: 23959802] (WB, Mouse) WB Mouse

Reviews for STRA6 Antibody (H00064220-D01P) (0)

There are no reviews for STRA6 Antibody (H00064220-D01P). By submitting a review you will receive an Amazon e-Gift Card or Novus Product Discount.
  • Review with no image -- $10/€7/£6/$10 CAD/¥70 Yuan/¥1110 Yen
  • Review with an image -- $25/€18/£15/$25 CAD/¥150 Yuan/¥2500 Yen

Product General Protocols

Find general support by application which include: protocols, troubleshooting, illustrated assays, videos and webinars.

Video Protocols

WB Video Protocol

FAQs for STRA6 Antibody (H00064220-D01P) (0)

There are no specific FAQs related to this product. Read our general customer & technical service FAQs.

Customers Who Bought This Also Bought

Contact Information

Product PDFs

Calculators

Concentration Calculator

The concentration calculator allows you to quickly calculate the volume, mass or concentration of your vial. Simply enter your mass, volume, or concentration values for your reagent and the calculator will determine the rest.

=
÷

Review this Product

Be the first to review our STRA6 Antibody - Azide and BSA Free and receive a gift card or discount.

Bioinformatics

Gene Symbol STRA6
Entrez
Uniprot