STAT2 Antibody (JF0884)

Images

 
Western Blot: STAT2 Antibody (JF0884) [NBP2-67168] - Analysis of STAT2 on A431 cell lysates with Rabbit anti-STAT2 antibody at 1/500 dilution. Lysates/proteins at 10 ug/Lane. Predicted band size: 98 kDa Observed band ...read more
Immunocytochemistry/ Immunofluorescence: STAT2 Antibody (JF0884) [NBP2-67168] - Staining STAT2 in SW480 cells (green). The nuclear counter stain is DAPI (blue). Cells were fixed in paraformaldehyde, permeabilised with ...read more
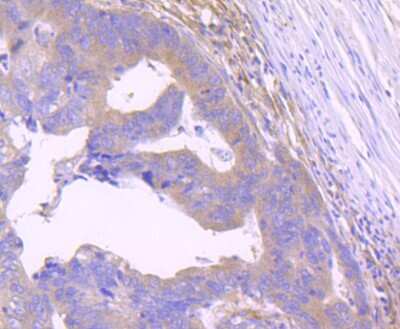
Immunohistochemistry-Paraffin: STAT2 Antibody (JF0884) [NBP2-67168] - Analysis of paraffin-embedded mouse skin tissue using anti-STAT2 antibody. Counter stained with hematoxylin.
Western Blot: STAT2 Antibody (JF0884) [NBP2-67168] - Analysis of STAT2 on different lysates with Rabbit anti-STAT2 antibody at 1/500 dilution. Lane 1: Hela cell lysate Lane 2: K562 cell lysate Lysates/proteins at 10 ...read more
Immunocytochemistry/ Immunofluorescence: STAT2 Antibody (JF0884) [NBP2-67168] - Staining STAT2 in A431 cells (green). The nuclear counter stain is DAPI (blue). Cells were fixed in paraformaldehyde, permeabilised with ...read more
Immunocytochemistry/ Immunofluorescence: STAT2 Antibody (JF0884) [NBP2-67168] - Staining STAT2 in A549 cells (green). The nuclear counter stain is DAPI (blue). Cells were fixed in paraformaldehyde, permeabilised with ...read more
Immunohistochemistry-Paraffin: STAT2 Antibody (JF0884) [NBP2-67168] - Analysis of paraffin-embedded human colon cancer tissue using anti-STAT2 antibody. Counter stained with hematoxylin.
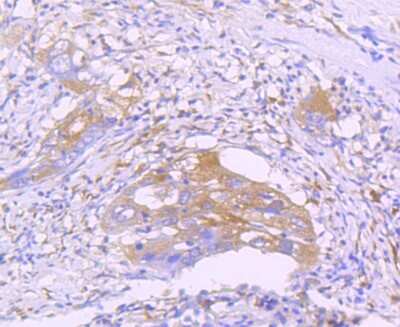
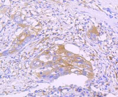
Immunohistochemistry-Paraffin: STAT2 Antibody (JF0884) [NBP2-67168] - Analysis of paraffin-embedded human lung cancer tissue using anti-STAT2 antibody. Counter stained with hematoxylin.

Product Details

Summary
Product Discontinued
View other related STAT2 Primary Antibodies

Order Details


    • Catalog Number
      NBP2-67168
    • Availability
      Product Discontinued

    Can't find what you are looking for? Use our Antibody Concierge Service & we will help you locate your antibody!

    Or feel free to contact us for alternative products.

STAT2 Antibody (JF0884) Summary

Additional Information
Recombinant Monoclonal Antibody.
Immunogen
Synthetic peptide within human STAT2 aa 1-49/851. (SwissProt: P52630 Human; SwissProt: Q9WVL2 Mouse; Unigene: 24237 Rat)
Localization
Cytoplasm, Nucleus.
Isotype
IgG
Clonality
Monoclonal
Host
Rabbit
Gene
STAT2
Purity
Protein A purified
Innovator's Reward
Test in a species/application not listed above to receive a full credit towards a future purchase.

Applications/Dilutions

Dilutions
  • Immunocytochemistry/ Immunofluorescence 1:50-1:200
  • Immunohistochemistry
  • Immunohistochemistry-Paraffin 1:50-1:200
  • Western Blot 1:500-1:1000

Packaging, Storage & Formulations

Storage
Store at 4C short term. Aliquot and store at -20C long term. Avoid freeze-thaw cycles.
Buffer
TBS (pH7.4), 0.05% BSA, 40% Glycerol
Preservative
0.05% Sodium Azide
Concentration
1 mg/ml
Purity
Protein A purified

Alternate Names for STAT2 Antibody (JF0884)

  • interferon alpha induced transcriptional activator
  • ISGF-3
  • MGC59816
  • P113
  • signal transducer and activator of transcription 2
  • signal transducer and activator of transcription 2, 113kD
  • signal transducer and activator of transcription 2, 113kDa
  • STAT113
  • STAT2

Background

Stat-2 is a latent transcription factor that functions both as a signal transducer in the cytoplasm and an activator of transcription in the nucleus. Stat-2 is one of seven members of the Signal transducer and activators of transcription (Stats) family. Stat-2 is phosphorylated at Tyr690 by JAKs(1-3). Additionally, upon activation, Stat-2 will form a multiprotein DNA-binding complex with Stat-1 and ISGF3

Limitations

This product is for research use only and is not approved for use in humans or in clinical diagnosis. Primary Antibodies are guaranteed for 1 year from date of receipt.

Customers Who Viewed This Item Also Viewed...

AF2894
Species: Hu, Mu
Applications: CyTOF-ready, ICFlow, Simple Western, WB
NBP2-75930
Species: Hu, Mu, Rt
Applications: Flow, ICC/IF, IHC,  IHC-P, WB
NBP2-16991
Species: Hu
Applications: ELISA, ICC/IF, IHC,  IHC-P, WB
NBP2-75547
Species: Hu, Mu, Rt
Applications: Flow, IHC,  IHC-P, WB
NB400-141
Species: Ha, Hu, Mu
Applications: ICC/IF, IP, WB
MAB1799
Species: Hu, Mu, Rt
Applications: ICC, IP, ICFlow, KO, WB
485-MI
Species: Mu
Applications: BA
NBP2-67429
Species: Hu, Mu, Rt
Applications: ICC/IF, IHC,  IHC-P, IP, WB
NBP2-76968
Species: Hu, Mu, Rt
Applications: Flow, ICC/IF, IHC,  IHC-P, WB
AF2168
Species: Hu, Mu
Applications: ChIP, Simple Western, WB
AF1584
Species: Hu, Mu
Applications: CyTOF-ready, ICC, IP, ICFlow, KO, Simple Western, WB
8499-IF
Species: Hu
Applications: BA
M6000B
Species: Mu
Applications: ELISA
NBP1-84382
Species: Hu
Applications: ICC/IF, IHC,  IHC-P, KD, WB
NBP2-47427
Species: Ca, Hu
Applications: ICC/IF, IHC,  IHC-P, WB
AF245
Species: Hu
Applications: CyTOF-ready, Flow, WB
AF2167
Species: Hu, Mu, Rt
Applications: CyTOF-ready, ICFlow, Simple Western, WB
NBP2-67168
Species: Hu, Mu, Rt
Applications: WB, ICC/IF, IHC

Publications for STAT2 Antibody (NBP2-67168) (0)

There are no publications for STAT2 Antibody (NBP2-67168).
By submitting your publication information earn gift cards and discounts for future purchases.

Reviews for STAT2 Antibody (NBP2-67168) (0)

There are no reviews for STAT2 Antibody (NBP2-67168). By submitting a review you will receive an Amazon e-Gift Card or Novus Product Discount.
  • Review with no image -- $10/€7/£6/$10 CAD/¥70 Yuan/¥1110 Yen
  • Review with an image -- $25/€18/£15/$25 CAD/¥150 Yuan/¥2500 Yen

Product General Protocols

Find general support by application which include: protocols, troubleshooting, illustrated assays, videos and webinars.

Video Protocols

WB Video Protocol
ICC/IF Video Protocol

FAQs for STAT2 Antibody (NBP2-67168) (0)

There are no specific FAQs related to this product. Read our general customer & technical service FAQs.

Secondary Antibodies

 

Isotype Controls

Additional STAT2 Products

Research Areas for STAT2 Antibody (NBP2-67168)

Find related products by research area.

Blogs on STAT2.

Signal Transducer and Activator of Transcription STAT6: More than a Player in Allergic Inflammation
By Jamshed Arslan, Pharm. D., PhD. What is STAT6?The cellular pathway comprising tyrosine kinase Janus Kinase (JAK) and the transcription factor STAT connect extracellular signals from various cytokines, hormones an...  Read full blog post.

Contact Information

Product PDFs

Calculators

Concentration Calculator

The concentration calculator allows you to quickly calculate the volume, mass or concentration of your vial. Simply enter your mass, volume, or concentration values for your reagent and the calculator will determine the rest.

=
÷

Review this Product

Be the first to review our STAT2 Antibody (JF0884) and receive a gift card or discount.

Bioinformatics

Gene Symbol STAT2