STAT1 [p Ser727] Antibody (SN67-04)

Images

 
Western Blot: STAT1 [p Ser727] Antibody (SN67-04) [NBP2-67657] - Analysis of STAT1 [p Ser727] on SiHa cell lysates. Lane 1: SiHa cells, whole cell lysate, 10 ug /lane. Lane 2: SiHa cells were treated with 2.8 ug/ul ...read more
Immunohistochemistry-Paraffin: STAT1 [p Ser727] Antibody (SN67-04) [NBP2-67657] - Analysis of paraffin-embedded human breast invasive ductal tumor tissue with Rabbit anti-STAT1 [p Ser727] antibody washed with ddH2O and ...read more
Western Blot: STAT1 [p Ser727] Antibody (SN67-04) [NBP2-67657] - Western blot analysis of STAT1 on different lysates. Proteins were transferred to a PVDF membrane and blocked with 5% BSA in PBS for 1 hour at room ...read more
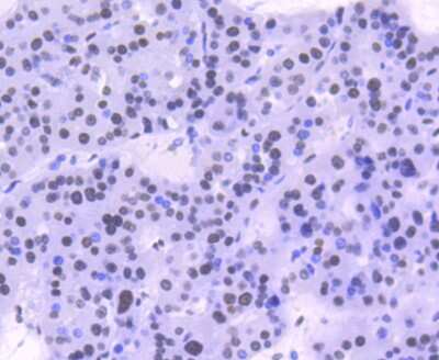
Immunohistochemistry-Paraffin: STAT1 [p Ser727] Antibody (SN67-04) [NBP2-67657] - Analysis of paraffin-embedded human breast carcinoma tissue using anti-Phospho-STAT1(S727) antibody. Counter stained with hematoxylin.
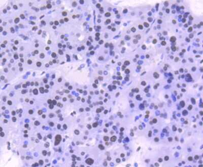
Immunohistochemistry-Paraffin: STAT1 [p Ser727] Antibody (SN67-04) [NBP2-67657] - Analysis of paraffin-embedded human liver cancer tissue using anti-Phospho-STAT1(S727) antibody. Counter stained with hematoxylin.
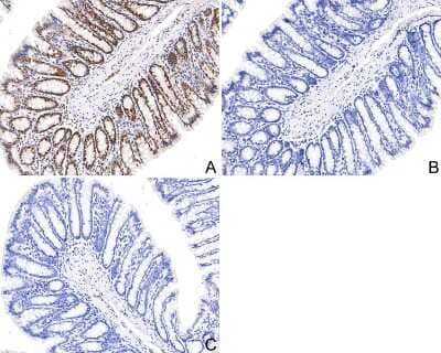
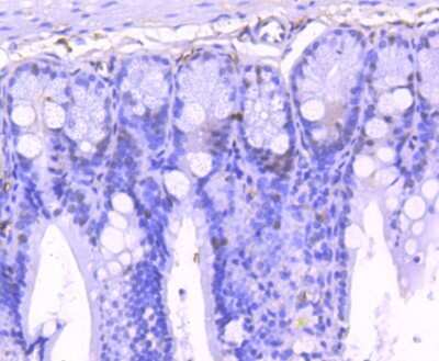
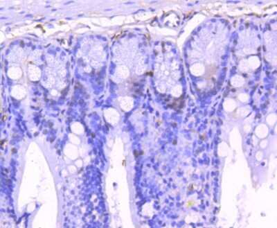
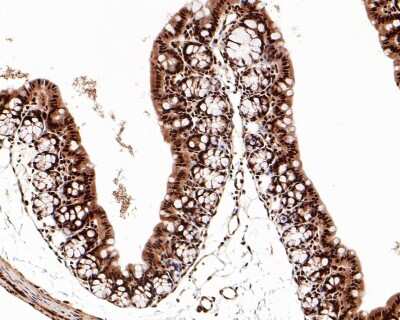
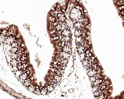
Immunohistochemistry-Paraffin: STAT1 [p Ser727] Antibody (SN67-04) [NBP2-67657] - Analysis of paraffin-embedded mouse colon tissue using anti-Phospho-STAT1(S727) antibody. Counter stained with hematoxylin.
Immunohistochemistry-Paraffin: STAT1 [p Ser727] Antibody (SN67-04) [NBP2-67657] - Analysis of paraffin-embedded human liver carcinoma tissue with Rabbit anti-Phospho-STAT1 [p Ser727] antibody washed with ddH2O and PBS, ...read more
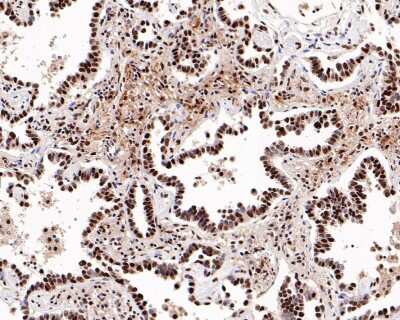
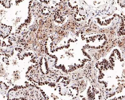
Immunohistochemistry-Paraffin: STAT1 [p Ser727] Antibody (SN67-04) [NBP2-67657] - Analysis of paraffin-embedded human lung carcinoma tissue with Rabbit anti-STAT1 [p Ser727] antibody washed with ddH2O and PBS, and then ...read more
Immunohistochemistry-Paraffin: STAT1 [p Ser727] Antibody (SN67-04) [NBP2-67657] - Analysis of paraffin-embedded mouse colon tissue with Rabbit anti-STAT1 [p Ser727] antibody washed with ddH2O and PBS, and then probed ...read more
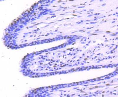
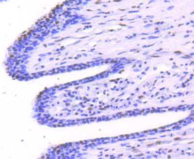
Immunohistochemistry-Paraffin: STAT1 [p Ser727] Antibody (SN67-04) [NBP2-67657] - Analysis of paraffin-embedded rat colon tissue with Rabbit anti-Phospho-STAT1 [p Ser727] antibody washed with ddH2O and PBS, and then ...read more

Product Details

Summary
Product Discontinued
View other related STAT1 Primary Antibodies

Order Details


    • Catalog Number
      NBP2-67657
    • Availability
      Product Discontinued

    Can't find what you are looking for? Use our Antibody Concierge Service & we will help you locate your antibody!

    Or feel free to contact us for alternative products.

STAT1 [p Ser727] Antibody (SN67-04) Summary

Additional Information
Recombinant Monoclonal Antibody.
Immunogen
Synthetic phospho-peptide corresponding to residues surrounding Ser727 of Human STAT1 aa 701-750 / 750. (SwissProt: P42224 Human; SwissProt: P42225 Mouse; Entrez Gene: 25124 Rat)
Modification
p Ser727
Localization
Nucleus, Cytoplasm.
Isotype
IgG
Clonality
Monoclonal
Host
Rabbit
Gene
STAT1
Purity
Protein A purified
Innovator's Reward
Test in a species/application not listed above to receive a full credit towards a future purchase.

Applications/Dilutions

Dilutions
  • Immunohistochemistry
  • Immunohistochemistry-Paraffin 1:50-1:200
  • Western Blot 1:500-1:1000

Packaging, Storage & Formulations

Storage
Store at 4C short term. Aliquot and store at -20C long term. Avoid freeze-thaw cycles.
Buffer
TBS (pH7.4), 0.05% BSA, 40% Glycerol
Preservative
0.05% Sodium Azide
Concentration
1 mg/ml
Purity
Protein A purified

Alternate Names for STAT1 [p Ser727] Antibody (SN67-04)

  • CANDF7
  • DKFZp686B04100
  • ISGF-3
  • ISGF-3,91kD
  • signal transducer and activator of transcription 1, 91kDa
  • signal transducer and activator of transcription-1
  • STAT1
  • STAT91

Background

STATs (signal transducers and activators of transcription) are a family of cytoplasmic latent transcription factors that are activated to regulate gene expression in response to a large number of extracellular signaling polypeptides including cytokines, interferons, and growth factors. After phosphorylation by JAK tyrosine kinases, STATs enter the nucleus to regulate transcription of many different genes. Among the seven STATs (Stat1, Stat2, Stat3, Stat4, Stat5a, Stat5b, and Stat6), Stat1, Stat3, Stat5a, and Stat5b have a wide activation profile. STAT1 is activated by many different ligands including IFN family (IFN-a, IFN-b, IFN-g and IL-10), gp130 family (IL-6, IL-11, LIF, CNTF, and G-CSF), and receptor tyrosine kinases (EGF, PDGF, and CSF-1). STAT1 has two forms, the 91 kDa STAT1a and the 84 kDa STAT1b which are encoded by the same gene with splicing variant.

Limitations

This product is for research use only and is not approved for use in humans or in clinical diagnosis. Primary Antibodies are guaranteed for 1 year from date of receipt.

Customers Who Viewed This Item Also Viewed...

MAB1799
Species: Hu, Mu, Rt
Applications: ICC, IP, ICFlow, KO, WB
485-MI
Species: Mu
Applications: BA
NB400-141
Species: Ha, Hu, Mu
Applications: ICC/IF, IP, WB
M6000B
Species: Mu
Applications: ELISA
NBP2-75930
Species: Hu, Mu, Rt
Applications: Flow, ICC/IF, IHC,  IHC-P, WB
NBP2-67429
Species: Hu, Mu, Rt
Applications: ICC/IF, IHC,  IHC-P, IP, WB
NBP2-75547
Species: Hu, Mu, Rt
Applications: Flow, IHC,  IHC-P, WB
AF2168
Species: Hu, Mu
Applications: ChIP, Simple Western, WB
AF1584
Species: Hu, Mu
Applications: CyTOF-ready, ICC, IP, ICFlow, KO, Simple Western, WB
PAF-ST2
Species: Hu
Applications: IP, KO, WB
AF1230
Species: Hu, Mu, Rt
Applications: IHC, KO, WB
NB100-56583
Species: Hu, Rb, Rt
Applications: Flow, IHC,  IHC-P, KO, Simple Western, WB
NB300-605
Species: Hu, Mu, Po, Rt
Applications: Flow, IB, ICC/IF, IHC, IHC-Fr,  IHC-P, In vitro, WB
DY417
Species: Mu
Applications: ELISA
DYC1825-2
Species: Hu, Mu, Rt
Applications: ELISA
NBP2-16991
Species: Hu
Applications: ELISA, ICC/IF, IHC,  IHC-P, WB
6507-IL/CF
Species: Hu
Applications: BA
NBP2-67657
Species: Hu, Mu, Rt
Applications: WB, IHC

Publications for STAT1 Antibody (NBP2-67657) (0)

There are no publications for STAT1 Antibody (NBP2-67657).
By submitting your publication information earn gift cards and discounts for future purchases.

Reviews for STAT1 Antibody (NBP2-67657) (0)

There are no reviews for STAT1 Antibody (NBP2-67657). By submitting a review you will receive an Amazon e-Gift Card or Novus Product Discount.
  • Review with no image -- $10/€7/£6/$10 CAD/¥70 Yuan/¥1110 Yen
  • Review with an image -- $25/€18/£15/$25 CAD/¥150 Yuan/¥2500 Yen

Product General Protocols

Find general support by application which include: protocols, troubleshooting, illustrated assays, videos and webinars.

Video Protocols

WB Video Protocol

FAQs for STAT1 Antibody (NBP2-67657) (0)

There are no specific FAQs related to this product. Read our general customer & technical service FAQs.

Secondary Antibodies

 

Isotype Controls

Additional STAT1 Products

Research Areas for STAT1 Antibody (NBP2-67657)

Find related products by research area.

Blogs on STAT1.

Signal Transducer and Activator of Transcription STAT6: More than a Player in Allergic Inflammation
By Jamshed Arslan, Pharm. D., PhD. What is STAT6?The cellular pathway comprising tyrosine kinase Janus Kinase (JAK) and the transcription factor STAT connect extracellular signals from various cytokines, hormones an...  Read full blog post.

Using a STAT3 antibody in chromatin immunoprecipitation (ChIP)
Signal transducer and activator of transcription 3 (STAT3) is an important oncogenic transcriptional factor that mediates tumor induced immune suppression.  Specifically, STAT3 transmits signals from cytokines and growth factor receptors in the pla...  Read full blog post.

Contact Information

Product PDFs

Calculators

Concentration Calculator

The concentration calculator allows you to quickly calculate the volume, mass or concentration of your vial. Simply enter your mass, volume, or concentration values for your reagent and the calculator will determine the rest.

=
÷

Review this Product

Be the first to review our STAT1 [p Ser727] Antibody (SN67-04) and receive a gift card or discount.

Bioinformatics

Gene Symbol STAT1