Src Antibody (ST05-03)

Images

 
Western Blot: Src Antibody (ST05-03) [NBP2-67536] - Analysis of Src on A431 cell lysates using anti-Src antibody at 1/1,000 dilution.
Immunocytochemistry/ Immunofluorescence: Src Antibody (ST05-03) [NBP2-67536] - Staining Src in Hela cells (green). The nuclear counter stain is DAPI (blue). Cells were fixed in paraformaldehyde, permeabilised with 0.25% ...read more
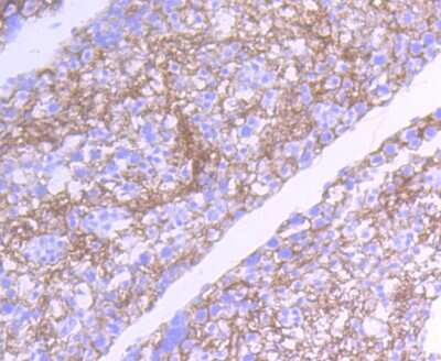
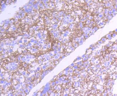
Immunohistochemistry-Paraffin: Src Antibody (ST05-03) [NBP2-67536] - Analysis of paraffin-embedded rat testis tissue using anti-Src antibody. Counter stained with hematoxylin.

Product Details

Summary
Product Discontinued
View other related Src Primary Antibodies

Order Details


    • Catalog Number
      NBP2-67536
    • Availability
      Product Discontinued

    Can't find what you are looking for? Use our Antibody Concierge Service & we will help you locate your antibody!

    Or feel free to contact us for alternative products.

Src Antibody (ST05-03) Summary

Additional Information
Recombinant Monoclonal Antibody.
Immunogen
Recombinant protein within Human Src aa 437-536 / 536. (SwissProt: P12931 Human; SwissProt: Q9WUD9 Rat)
Localization
Cell membrane, Mitochondrion inner membrane, Cytoplasm, Nucleus.
Isotype
IgG
Clonality
Monoclonal
Host
Rabbit
Gene
SRC
Purity
Protein A purified
Innovator's Reward
Test in a species/application not listed above to receive a full credit towards a future purchase.

Applications/Dilutions

Dilutions
  • Immunocytochemistry/ Immunofluorescence 1:50-1:200
  • Immunohistochemistry
  • Immunohistochemistry-Paraffin 1:50-1:200
  • Western Blot 1:1000

Packaging, Storage & Formulations

Storage
Store at 4C short term. Aliquot and store at -20C long term. Avoid freeze-thaw cycles.
Buffer
TBS (pH7.4), 0.05% BSA, 40% Glycerol
Preservative
0.05% Sodium Azide
Concentration
1 mg/ml
Purity
Protein A purified

Alternate Names for Src Antibody (ST05-03)

  • ASV
  • c-Src
  • EC 2.7.10
  • EC 2.7.10.2
  • pp60c-src
  • Rous sarcoma
  • RSVgp4
  • Src
  • tyrosine kinase pp60c-src
  • tyrosine-protein kinase SRC-1
  • v-src avian sarcoma (Schmidt-Ruppin A-2) viral oncogene homolog
  • v-src sarcoma (Schmidt-Ruppin A-2) viral oncogene homolog (avian)

Background

Src is a protein tyrosine kinase known to regulate cellular adhesion. Composed of three major domains; SH2, SH3 and a kinase catalytic domain, Src can be switched from an inactive to an active state though control of its phosphorylation state or through protein-protein interaction. Phosphorylation of Y529 by Csk and Chk inactivates Src, while dephosphorylation of Y529 will modify its conformation to an open active state (1-3). Mutation of Y529 leads to Scr overactivity. Several cancers including colon and breast cancer have been associated with an increase of Src activity (4).

Limitations

This product is for research use only and is not approved for use in humans or in clinical diagnosis. Primary Antibodies are guaranteed for 1 year from date of receipt.

Customers Who Viewed This Item Also Viewed...

AF231
Species: Hu
Applications: CyTOF-ready, Dual ISH-IHC, ELISA(Cap), ELISA(Det), ELISA(Sta), Flow, ICC, IHC, IP, Simple Western, WB
AF1230
Species: Hu, Mu, Rt
Applications: IHC, KO, WB
NBP2-67327
Species: Hu, Mu, Rt
Applications: Flow, ICC/IF, IHC,  IHC-P, IP, WB
DYC1825-2
Species: Hu, Mu, Rt
Applications: ELISA
AF887
Species: Hu, Mu, Rt
Applications: CyTOF-ready, IHC, ICFlow, Simple Western, WB
236-EG
Species: Hu
Applications: BA
MAB6210
Species: Hu
Applications: Simple Western, WB
AF467
Species: Hu, Mu
Applications: CyTOF-ready, Flow, ICC, IHC, Simple Western, WB
NB500-517
Species: Hu, Mu
Applications: ICC/IF, IHC,  IHC-P, IP, WB
NBP1-83276
Species: Hu, Rt
Applications: ICC/IF, IHC,  IHC-P, WB
NBP2-15071
Species: Hu, Mu, Rt
Applications: ICC/IF, IHC,  IHC-P, KO, WB
AF5414
Species: Hu
Applications: Simple Western, WB
NBP2-19804
Species: Hu, Mu
Applications: ICC/IF, IHC,  IHC-P, WB
NBP2-46404
Species: Hu, Mu, Rt
Applications: IHC,  IHC-P
NBP1-85951
Species: Hu, Mu, Rt
Applications: ICC/IF, IHC,  IHC-P, WB
AF3846
Species: Hu, Mu, Rt
Applications: IHC, WB
NBP2-67536
Species: Hu, Rt
Applications: WB, ICC/IF, IHC

Publications for Src Antibody (NBP2-67536) (0)

There are no publications for Src Antibody (NBP2-67536).
By submitting your publication information earn gift cards and discounts for future purchases.

Reviews for Src Antibody (NBP2-67536) (0)

There are no reviews for Src Antibody (NBP2-67536). By submitting a review you will receive an Amazon e-Gift Card or Novus Product Discount.
  • Review with no image -- $10/€7/£6/$10 CAD/¥70 Yuan/¥1110 Yen
  • Review with an image -- $25/€18/£15/$25 CAD/¥150 Yuan/¥2500 Yen

Product General Protocols

Find general support by application which include: protocols, troubleshooting, illustrated assays, videos and webinars.

Video Protocols

WB Video Protocol
ICC/IF Video Protocol

FAQs for Src Antibody (NBP2-67536) (0)

There are no specific FAQs related to this product. Read our general customer & technical service FAQs.

Secondary Antibodies

 

Isotype Controls

Additional Src Products

Research Areas for Src Antibody (NBP2-67536)

Find related products by research area.

Blogs on Src.

Androgen Receptor: What Makes a Man?
Steroid receptors (SRs) are a superfamily of ligand-dependent nuclear transcription factors that activate responsive genes response to hormone. Androgen receptors (ARs) are found in a wide variety of tissues, including reproductive organs, central ner...  Read full blog post.

The Heat is On: Heat Shock Proteins and the Link to Cancer
Novus Biologicals offers an extensive antibody catalog targeting heat shock proteins (HSPs). A large protein group covering a number of families, the HSPs are functionally related by their dramatic upregulation in response to stress. Stress triggers m...  Read full blog post.

Contact Information

Product PDFs

Calculators

Concentration Calculator

The concentration calculator allows you to quickly calculate the volume, mass or concentration of your vial. Simply enter your mass, volume, or concentration values for your reagent and the calculator will determine the rest.

=
÷

Review this Product

Be the first to review our Src Antibody (ST05-03) and receive a gift card or discount.

Bioinformatics

Gene Symbol SRC