Somatostatin R2/SSTR2 Antibody (SSTR2/7532) - Azide and BSA Free

Images

 
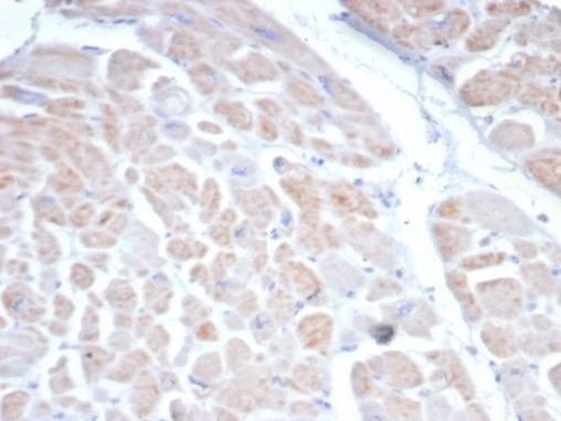
Formalin-fixed, paraffin-embedded human heart stained with Somatostatin R2/SSTR2 antibody (SSTR2/7532).
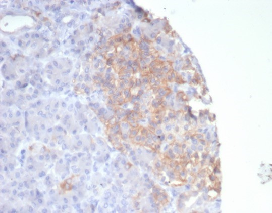
Formalin-fixed, paraffin-embedded human pancreas stained with Somatostatin R2/SSTR2 antibody (SSTR2/7532). HIER: Tris/EDTA, pH9.0, 45min. Secondary: HRP-polymer, 30min. DAB, 5min.
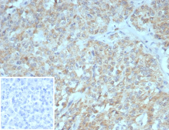
Formalin-fixed, paraffin-embedded human pancreas stained with Somatostatin R2/SSTR2 antibody (SSTR2/7532). Inset: PBS instead of primary antibody; secondary only negative control.

Product Details

Summary
Reactivity HuSpecies Glossary
Applications IHC
Clone
SSTR2/7532
Clonality
Monoclonal
Host
Mouse
Conjugate
Unconjugated
Format
Azide and BSA Free
Concentration
1 mg/ml

Order Details

Somatostatin R2/SSTR2 Antibody (SSTR2/7532) - Azide and BSA Free Summary

Description
Positive Controls: Human pancreas.

Antibody with azide - store at 2 to 8C. Antibody without azide - store at -20 to -80C. Non-hazardous. No MSDS required.
Immunogen
Recombinant fragment (around aa 169-369) of human Somatostatin R2/SSTR2 (exact sequence is proprietary)
Localization
Cell surface.
Isotype
IgG2b Lambda
Clonality
Monoclonal
Host
Mouse
Gene
SSTR2
Purity
Protein A or G purified
Innovator's Reward
Test in a species/application not listed above to receive a full credit towards a future purchase.

Applications/Dilutions

Dilutions
  • Immunohistochemistry-Paraffin 1-2 ug/ml
Application Notes
Immunohistochemistry (Formalin-fixed): 1-2ug/ml for 30 minutes. at RT. Staining of formalin-fixed tissues requires heating tissue sections in 10mM Tris with 1mM EDTA, pH 9.0, for 45 min at 95C followed by cooling at RT for 20 minutes.

Optimal dilution for a specific application should be determined.

Packaging, Storage & Formulations

Storage
Store at -20 to -70C. Avoid freeze-thaw cycles.
Buffer
10mM PBS
Preservative
No Preservative
Concentration
1 mg/ml
Purity
Protein A or G purified

Alternate Names for Somatostatin R2/SSTR2 Antibody (SSTR2/7532) - Azide and BSA Free

  • Smstr2
  • Somatostatin R2
  • somatostatin receptor 2
  • somatostatin receptor type 2
  • SomatostatinR2
  • SRIF-1
  • SS2R
  • SS-2-R
  • SS2-R
  • SST2
  • SSTR2

Background

Somatostatin acts to regulate numerous physiological processes by binding to and activating specific receptors in target tissues. Activation of these receptors by somatostatin--which is secreted by nerve and endocrine cells--regulates the secretion of insulin, glucagon and growth hormone, neuronal excitability in both the brain and the peripheral nervous system, and cell growth. Somatostatin receptors have been implicated in numerous diseases ranging from Alzheimer's to cancers of the gastrointestinal tract, breast, prostate, and pituitary.

Somatostatin Receptor 2 (SSR2), along with SSR1, is expressed at the highest levels in the stomach and jejunum, as well as in the cerebrum and kidneys.

Limitations

This product is for research use only and is not approved for use in humans or in clinical diagnosis. Primary Antibodies are guaranteed for 1 year from date of receipt.

Customers Who Viewed This Item Also Viewed...

NBP2-37447
Species: Hu
Applications: CyTOF-ready, ELISA, Flow, ICC/IF, IHC,  IHC-P
NB100-74540
Species: Hu, Mu, Po
Applications: Flow, ICC, IHC,  IHC-P, WB
NBP3-14480
Species: Hu
Applications: IHC,  IHC-P
NBP2-37266
Species: Hu, Rt
Applications: CyTOF-ready, ELISA, Flow, WB
AF1067
Species: Hu, Mu, Rt
Applications: ELISA, IHC, Neut, WB
NBP1-90927
Species: Hu
Applications: IHC,  IHC-P, WB
NB100-74539
Species: Hu, Mu
Applications: ICC, IF, IHC,  IHC-P, WB
AF1067
Species: Hu, Mu, Rt
Applications: ELISA, IHC, Neut, WB
MAB1417
Species: Bv, Hu, Mu
Applications: ICC, IHC
291-G1
Species: Hu
Applications: BA
NB100-1533
Species: Hu, Mu, Po, Rt, Sh
Applications: Flow, ICC/IF, IHC,  IHC-P, PEP-ELISA, WB
AF1445
Species: Mu, Rt
Applications: ELISA(Cap), ELISA(Det), ELISA(Sta), IHC, Neut, Simple Western, WB
NBP3-04850
Species: Hu, Mu, Rt
Applications: ICC/IF, WB
DVE00
Species: Hu
Applications: ELISA

Publications for Somatostatin R2/SSTR2 Antibody (NBP3-20936) (0)

There are no publications for Somatostatin R2/SSTR2 Antibody (NBP3-20936).
By submitting your publication information earn gift cards and discounts for future purchases.

Reviews for Somatostatin R2/SSTR2 Antibody (NBP3-20936) (0)

There are no reviews for Somatostatin R2/SSTR2 Antibody (NBP3-20936). By submitting a review you will receive an Amazon e-Gift Card or Novus Product Discount.
  • Review with no image -- $10/€7/£6/$10 CAD/¥70 Yuan/¥1110 Yen
  • Review with an image -- $25/€18/£15/$25 CAD/¥150 Yuan/¥2500 Yen

Product General Protocols

Find general support by application which include: protocols, troubleshooting, illustrated assays, videos and webinars.

FAQs for Somatostatin R2/SSTR2 Antibody (NBP3-20936) (0)

There are no specific FAQs related to this product. Read our general customer & technical service FAQs.

Secondary Antibodies

 

Isotype Controls

Additional Somatostatin R2/SSTR2 Products

Research Areas for Somatostatin R2/SSTR2 Antibody (NBP3-20936)

Find related products by research area.

Blogs on Somatostatin R2/SSTR2

There are no specific blogs for Somatostatin R2/SSTR2, but you can read our latest blog posts.

Customers Who Bought This Also Bought

Contact Information

Product PDFs

Calculators

Concentration Calculator

The concentration calculator allows you to quickly calculate the volume, mass or concentration of your vial. Simply enter your mass, volume, or concentration values for your reagent and the calculator will determine the rest.

=
÷

Review this Product

Be the first to review our Somatostatin R2/SSTR2 Antibody (SSTR2/7532) - Azide and BSA Free and receive a gift card or discount.

Bioinformatics

Gene Symbol SSTR2