SNX1 Antibody (JG40-06)

Images

 
Western Blot: SNX1 Antibody (JG40-06) [NBP2-75670] - Analysis of SNX1 on human skin tissue lysate using anti-SNX1 antibody at 1/2,000 dilution.
Immunocytochemistry/ Immunofluorescence: SNX1 Antibody (JG40-06) [NBP2-75670] - Staining SNX1 in SiHa cells (green). The nuclear counter stain is DAPI (blue). Cells were fixed in paraformaldehyde, permeabilised with ...read more
Immunohistochemistry-Paraffin: SNX1 Antibody (JG40-06) [NBP2-75670] - Analysis of paraffin-embedded rat epididymis tissue using anti-SNX1 antibody. Counter stained with hematoxylin.
Flow Cytometry: SNX1 Antibody (JG40-06) [NBP2-75670] - Analysis of SiHa cells with SNX1 antibody at 1/100 dilution (purple) compared with an unlabelled control (cells without incubation with primary antibody; yellow). ...read more
Immunocytochemistry/ Immunofluorescence: SNX1 Antibody (JG40-06) [NBP2-75670] - Staining SNX1 in A549 cells (green). The nuclear counter stain is DAPI (blue). Cells were fixed in paraformaldehyde, permeabilised with ...read more
Immunocytochemistry/ Immunofluorescence: SNX1 Antibody (JG40-06) [NBP2-75670] - Staining SNX1 in SH-SY-5Y cells (green). The nuclear counter stain is DAPI (blue). Cells were fixed in paraformaldehyde, permeabilised with ...read more
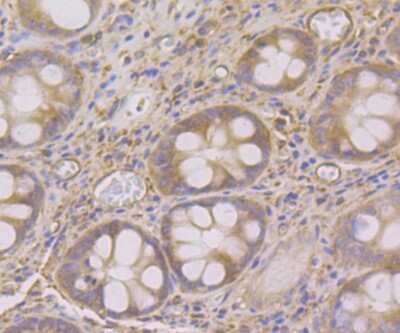
Immunohistochemistry-Paraffin: SNX1 Antibody (JG40-06) [NBP2-75670] - Analysis of paraffin-embedded human colon tissue using anti-SNX1 antibody. Counter stained with hematoxylin.
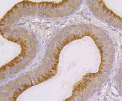
Immunohistochemistry-Paraffin: SNX1 Antibody (JG40-06) [NBP2-75670] - Analysis of paraffin-embedded human breast cancer tissue using anti-SNX1 antibody. Counter stained with hematoxylin.

Product Details

Summary
Product Discontinued
View other related SNX1 Primary Antibodies

Order Details


    • Catalog Number
      NBP2-75670
    • Availability
      Product Discontinued

    Can't find what you are looking for? Use our Antibody Concierge Service & we will help you locate your antibody!

    Or feel free to contact us for alternative products.

SNX1 Antibody (JG40-06) Summary

Additional Information
Recombinant Monoclonal Antibody.
Immunogen
Recombinant protein within Human SNX1 aa 1-140 / 522. (SwissProt: Q13596 Human; SwissProt: Q99N27 Rat)
Localization
Endosome. Golgi apparatus.
Isotype
IgG
Clonality
Monoclonal
Host
Rabbit
Gene
SNX1
Purity
Protein A purified
Innovator's Reward
Test in a species/application not listed above to receive a full credit towards a future purchase.

Applications/Dilutions

Dilutions
  • Flow Cytometry 1:50-1:100
  • Immunocytochemistry/ Immunofluorescence 1:50-1:200
  • Immunohistochemistry
  • Immunohistochemistry-Paraffin 1:50-1:200
  • Western Blot 1:1000-1:2000
Theoretical MW
63 kDa.
Disclaimer note: The observed molecular weight of the protein may vary from the listed predicted molecular weight due to post translational modifications, post translation cleavages, relative charges, and other experimental factors.

Packaging, Storage & Formulations

Storage
Store at 4C short term. Aliquot and store at -20C long term. Avoid freeze-thaw cycles.
Buffer
TBS (pH7.4), 0.05% BSA, 40% Glycerol
Preservative
0.05% Sodium Azide
Concentration
1 mg/ml
Purity
Protein A purified

Alternate Names for SNX1 Antibody (JG40-06)

  • HsT17379
  • MGC8664
  • SNX1Asorting nexin 1A
  • sorting nexin 1
  • sorting nexin-1
  • Vps5

Background

SNX1 encodes a member of the sorting nexin family. Members of this family contain a phox (PX) domain, which is a phosphoinositide binding domain, and are involved in intracellular trafficking. This endosomal protein regulates the cell-surface expression of epidermal growth factor receptor. This protein also has a role in sorting protease-activated receptor-1 from early endosomes to lysosomes. This protein may form oligomeric complexes with family members. This gene results in three transcript variants encoding distinct isoforms.

Limitations

This product is for research use only and is not approved for use in humans or in clinical diagnosis. Primary Antibodies are guaranteed for 1 year from date of receipt.

Customers Who Viewed This Item Also Viewed...

AF231
Species: Hu
Applications: CyTOF-ready, Dual ISH-IHC, ELISA(Cap), ELISA(Det), ELISA(Sta), Flow, ICC, IHC, IP, Simple Western, WB
NBP2-24513
Species: Bv, Ca, Eq, Hu, Mu, Ma-Op, Pm, RM
Applications: IHC,  IHC-P, WB
NBP2-36754
Species: Hu
Applications: ICC/IF, IHC,  IHC-P, KD, WB
NB100-1397
Species: Ca, Ch, ChHa, Hu, Mu, Rt
Applications: ICC/IF, IHC,  IHC-P, PEP-ELISA, WB
AF3926
Species: Hu, Mu, Rt
Applications: Simple Western, WB
236-EG
Species: Hu
Applications: BA
NBP3-12366
Species: Ch, Hu, Mu, Rt
Applications: ELISA, IHC,  IHC-P, IP, WB
NBP2-34294
Species: Hu, Mu, Rt
Applications: Flow, IHC,  IHC-P
NBP2-20449
Species: Hu, Mu, Rt
Applications: ICC/IF, WB
NB300-514
Species: Bv, Hu, Mu, Pm, Rt
Applications: CyTOF-ready, ELISA, Flow, ICC/IF, IHC,  IHC-P, IP, WB
NBP1-83202
Species: Hu
Applications: ICC/IF, IHC,  IHC-P, WB
NBP1-30914
Species: Ha, Hu, Mu, Rt
Applications: ICC/IF, IHC,  IHC-P, IM, WB
NBP2-13361
Species: Hu
Applications: ICC/IF, IHC,  IHC-P, WB
NBP1-87035
Species: Hu, Rt
Applications: ICC/IF, IHC,  IHC-P, WB
NBP1-88882
Species: Hu, Mu, Rt
Applications: IHC,  IHC-P, WB
NBP3-35065
Species: Hu, Mu, Rt
Applications: ELISA, WB
DYC1825-2
Species: Hu, Mu, Rt
Applications: ELISA
NBP2-75670
Species: Hu, Mu, Rt
Applications: WB, Flow, ICC/IF, IHC

Publications for SNX1 Antibody (NBP2-75670) (0)

There are no publications for SNX1 Antibody (NBP2-75670).
By submitting your publication information earn gift cards and discounts for future purchases.

Reviews for SNX1 Antibody (NBP2-75670) (0)

There are no reviews for SNX1 Antibody (NBP2-75670). By submitting a review you will receive an Amazon e-Gift Card or Novus Product Discount.
  • Review with no image -- $10/€7/£6/$10 CAD/¥70 Yuan/¥1110 Yen
  • Review with an image -- $25/€18/£15/$25 CAD/¥150 Yuan/¥2500 Yen

Product General Protocols

Find general support by application which include: protocols, troubleshooting, illustrated assays, videos and webinars.

Video Protocols

WB Video Protocol
ICC/IF Video Protocol

FAQs for SNX1 Antibody (NBP2-75670) (0)

There are no specific FAQs related to this product. Read our general customer & technical service FAQs.

Secondary Antibodies

 

Isotype Controls

Additional SNX1 Products

Research Areas for SNX1 Antibody (NBP2-75670)

Find related products by research area.

Blogs on SNX1

There are no specific blogs for SNX1, but you can read our latest blog posts.

Contact Information

Product PDFs

Calculators

Concentration Calculator

The concentration calculator allows you to quickly calculate the volume, mass or concentration of your vial. Simply enter your mass, volume, or concentration values for your reagent and the calculator will determine the rest.

=
÷

Review this Product

Be the first to review our SNX1 Antibody (JG40-06) and receive a gift card or discount.

Bioinformatics

Gene Symbol SNX1