SGSM1 Antibody - BSA Free

Images

 
Immunohistochemistry-Paraffin: SGSM1 Antibody [NBP1-93564] - Staining of human testis shows moderate cytoplasmic positivity in cells in seminiferous ducts.
Immunohistochemistry-Paraffin: SGSM1 Antibody [NBP1-93564] - Staining of human cerebral cortex shows moderate to strong cytoplasmic positivity in neurons.
Immunohistochemistry-Paraffin: SGSM1 Antibody [NBP1-93564] - Staining of human pancreas shows strong cytoplasmic positivity in islets of Langerhans.
Staining of human cerebral cortex shows moderate to strong cytoplasmic positivity in neurons.
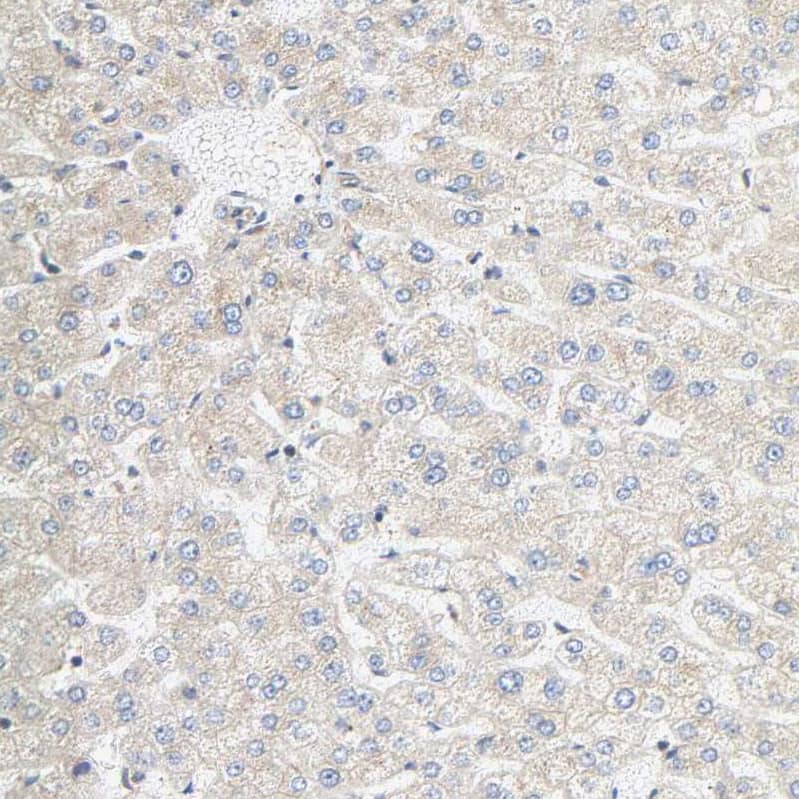
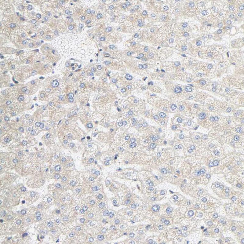
Staining of human liver shows no positivity in hepatocytes.

Product Details

Summary
Reactivity HuSpecies Glossary
Applications IHC
Clonality
Polyclonal
Host
Rabbit
Conjugate
Unconjugated
Format
BSA Free

Order Details

View Available Formulations
Catalog# & Formulation Size Price

SGSM1 Antibody - BSA Free Summary

Description
Novus Biologicals Rabbit SGSM1 Antibody - BSA Free (NBP1-93564) is a polyclonal antibody validated for use in IHC. All Novus Biologicals antibodies are covered by our 100% guarantee.
Immunogen
This antibody was developed against Recombinant Protein corresponding to amino acids: SPDSGHPSSHNFSSGLSEHSEPSLSTEDSVLDAQRNTPTVLRPRDGSVDDRQSSEATTSQDEAPREELAVQDSLESDLLANESMDEFMSITGSLDMALPEKDDVVMEGWRSSETEKHGQADSEDNLSEEPEMESLFPALASLAVTT
Isotype
IgG
Clonality
Polyclonal
Host
Rabbit
Gene
SGSM1
Purity
Immunogen affinity purified
Innovator's Reward
Test in a species/application not listed above to receive a full credit towards a future purchase.

Applications/Dilutions

Dilutions
  • Immunohistochemistry 1:20 - 1:50
  • Immunohistochemistry-Paraffin 1:20 - 1:50
Application Notes
For IHC-Paraffin, HIER pH 6 retrieval is recommended.
Control Peptide
SGSM1 Protein (NBP1-93564PEP)

Reactivity Notes

Immunogen displays the following percentage of sequence identity for non-tested species: Mouse (83%), Rat (83%)

Packaging, Storage & Formulations

Storage
Store at 4C short term. Aliquot and store at -20C long term. Avoid freeze-thaw cycles.
Buffer
PBS (pH 7.2) and 40% Glycerol
Preservative
0.02% Sodium Azide
Purity
Immunogen affinity purified

Alternate Names for SGSM1 Antibody - BSA Free

  • RUN and TBC1 domain-containing protein 2
  • RUTBC2
  • small G protein signaling modulator 1 protein
  • small G protein signaling modulator 1

Limitations

This product is for research use only and is not approved for use in humans or in clinical diagnosis. Primary Antibodies are guaranteed for 1 year from date of receipt.

Customers Who Viewed This Item Also Viewed...

NBP1-91991
Species: Hu, Mu, Rt
Applications: ICC/IF, IHC,  IHC-P, WB
NBP1-54654
Species: Hu
Applications: IHC,  IHC-P, WB
NBP3-16506
Species: Hu, Mu, Rt
Applications: ICC/IF, IHC,  IHC-P, WB
H00009609-M01
Species: Hu
Applications: ELISA, ICC/IF, IHC,  IHC-P, S-ELISA, WB
NBP2-13304
Species: Hu
Applications: ICC/IF, IHC,  IHC-P, WB
NBP3-46828
Species: Hu, Mu, Rt
Applications: ELISA, IHC, WB
NBP1-89917
Species: Hu
Applications: ICC/IF, IHC,  IHC-P, WB
NBP1-83606
Species: Hu, Mu, Rt
Applications: ICC/IF, IHC,  IHC-P, WB
NBP1-88830
Species: Hu
Applications: ICC/IF, IHC,  IHC-P, WB
NB500-212
Species: Hu
Applications: ICC/IF, IP, KD, WB
NBP1-89614
Species: Hu, Mu, Rt
Applications: ICC/IF, IHC,  IHC-P, WB
NBP2-38449
Species: Hu
Applications: ICC/IF, IHC,  IHC-P
NBP1-76845
Species: Hu, Mu, Rt
Applications: ELISA, ICC/IF, IHC,  IHC-P, WB
NBP1-45223
Species: Ca, Hu, Mu
Applications: IHC,  IHC-P, PEP-ELISA
NBP1-93637
Species: Hu
Applications: ICC/IF, IHC,  IHC-P, WB
NBP1-90448
Species: Hu
Applications: ICC/IF, IHC,  IHC-P, WB
NBP1-89334
Species: Hu, Mu, Rt
Applications: ICC/IF, IHC,  IHC-P, WB
NBP3-47062
Species: Hu, Mu, Rt
Applications: ELISA, IHC, IP, WB

Publications for SGSM1 Antibody (NBP1-93564) (0)

There are no publications for SGSM1 Antibody (NBP1-93564).
By submitting your publication information earn gift cards and discounts for future purchases.

Reviews for SGSM1 Antibody (NBP1-93564) (0)

There are no reviews for SGSM1 Antibody (NBP1-93564). By submitting a review you will receive an Amazon e-Gift Card or Novus Product Discount.
  • Review with no image -- $10/€7/£6/$10 CAD/¥70 Yuan/¥1110 Yen
  • Review with an image -- $25/€18/£15/$25 CAD/¥150 Yuan/¥2500 Yen

Product General Protocols

Find general support by application which include: protocols, troubleshooting, illustrated assays, videos and webinars.

FAQs for SGSM1 Antibody (NBP1-93564) (0)

There are no specific FAQs related to this product. Read our general customer & technical service FAQs.

Secondary Antibodies

 

Isotype Controls

Additional SGSM1 Products

Array NBP1-93564

Research Areas for SGSM1 Antibody (NBP1-93564)

Find related products by research area.

Blogs on SGSM1

There are no specific blogs for SGSM1, but you can read our latest blog posts.

Customers Who Bought This Also Bought

Contact Information

Product PDFs

Calculators

Concentration Calculator

The concentration calculator allows you to quickly calculate the volume, mass or concentration of your vial. Simply enter your mass, volume, or concentration values for your reagent and the calculator will determine the rest.

=
÷

Review this Product

Be the first to review our SGSM1 Antibody - BSA Free and receive a gift card or discount.

Bioinformatics

Gene Symbol SGSM1