SETD3 Antibody - BSA Free

Images

 
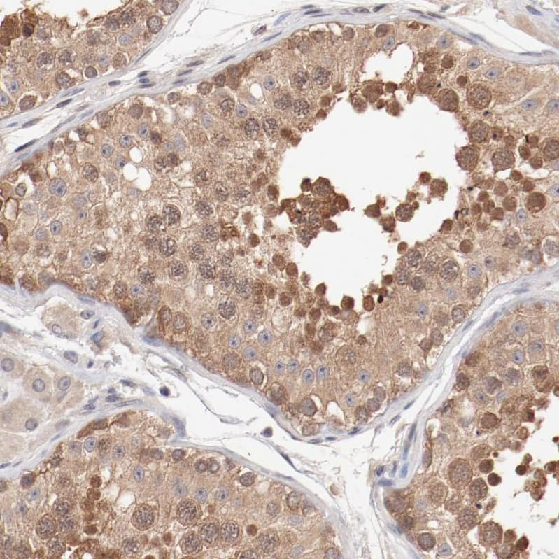
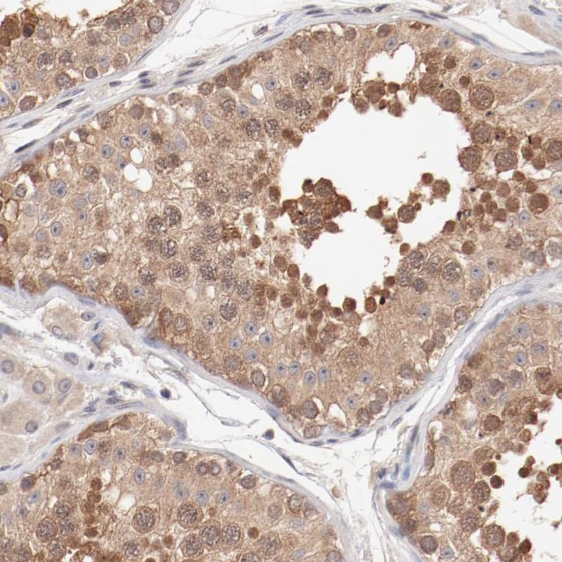
Staining of human testis shows moderate cytoplasmic positivity in cells in seminiferous ducts.
Staining of human liver shows no expression in hepatocytes as expected.
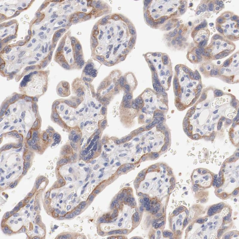
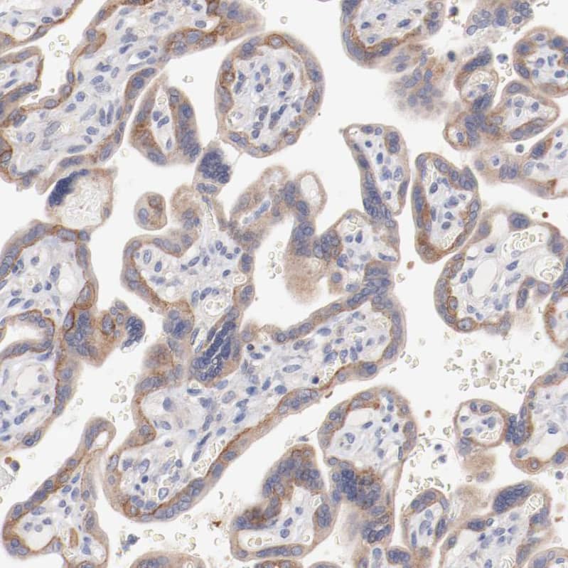
Staining of human placenta shows moderate cytoplasmic positivity in trophoblastic cells.
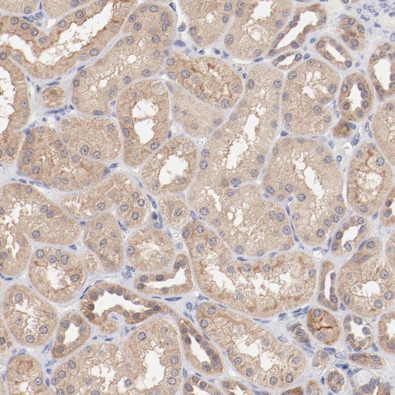
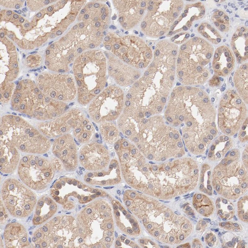
Staining of human kidney shows moderate cytoplasmic positivity in cells in tubules.
Analysis in control (vector only transfected HEK293T lysate) and SETD3 over-expression lysate (Co-expressed with a C-terminal myc-DDK tag (~3.1 kDa) in mammalian HEK293T cells).

Product Details

Summary
Reactivity Hu, Mu, RtSpecies Glossary
Applications WB, IHC
Clonality
Polyclonal
Host
Rabbit
Conjugate
Unconjugated
Format
BSA Free

Order Details

SETD3 Antibody - BSA Free Summary

Description
Novus Biologicals Rabbit SETD3 Antibody - BSA Free (NBP1-88415) is a polyclonal antibody validated for use in IHC and WB. All Novus Biologicals antibodies are covered by our 100% guarantee.
Immunogen
This antibody was developed against Recombinant Protein corresponding to amino acids: SGTGATATVSPKEILNLTSELLQKCSSPAPGPGKEWEEYVQIRTLVEKIRKKQKGLSVTFDGKREDYFPDLMKWASENGASVEGFEMVNFKEEGFGLRATRDIKAEELFLWVPRKLLMTVE
Predicted Species
Mouse (98%), Rat (98%). Backed by our 100% Guarantee.
Isotype
IgG
Clonality
Polyclonal
Host
Rabbit
Gene
SETD3
Purity
Affinity purified
Innovator's Reward
Test in a species/application not listed above to receive a full credit towards a future purchase.

Applications/Dilutions

Dilutions
  • Immunohistochemistry 1:50 - 1:200
  • Immunohistochemistry-Paraffin 1:50 - 1:200
  • Western Blot 0.04 - 0.4 ug/ml
Application Notes
For IHC-Paraffin, HIER pH 6 retrieval is recommended.
Control Peptide
SETD3 Protein (NBP1-88415PEP)

Packaging, Storage & Formulations

Storage
Store at 4C short term. Aliquot and store at -20C long term. Avoid freeze-thaw cycles.
Buffer
PBS (pH 7.2) and 40% Glycerol
Preservative
0.02% Sodium Azide
Purity
Affinity purified

Alternate Names for SETD3 Antibody - BSA Free

  • C14orf154
  • chromosome 14 open reading frame 154
  • DKFZp761E1415
  • EC 2.1.1.43
  • FLJ23027
  • MGC87236
  • SET domain containing 3
  • SET domain-containing protein 3

Limitations

This product is for research use only and is not approved for use in humans or in clinical diagnosis. Primary Antibodies are guaranteed for 1 year from date of receipt.

Customers Who Viewed This Item Also Viewed...

NBP1-52030
Species: Hu
Applications: PEP-ELISA, WB
NB100-56511
Species: Hu, Mu
Applications: Flow, ICC/IF, IHC, IHC-Fr,  IHC-P, IP, KD, KO, WB
NBP2-17038
Species: Hu
Applications: ICC/IF, IHC,  IHC-P, WB
MAB66861
Species: Hu
Applications: ICC, WB
NBP1-33291
Species: Hu
Applications: ICC/IF, IHC,  IHC-P, IP, WB
NBP2-94007
Species: Hu, Mu
Applications: ICC/IF, WB
NBP2-94458
Species: Hu, Mu, Rt
Applications: ELISA, ICC/IF, IHC,  IHC-P, WB
NBP2-83556
Species: Hu
Applications: WB
NBP3-32238
Species: Hu, Pm
Applications: Flow, ICC/IF, IHC,  IHC-P, WB
AF2905
Species: Hu
Applications: ELISA, ICC, WB
NBP3-45664
Species: Hu, Mu, Rt
Applications: ELISA, IHC, IP, WB
NB120-10109
Species: Hu
Applications: CyTOF-ready, IHC,  IHC-P, S-ELISA, WB

Publications for SETD3 Antibody (NBP1-88415) (0)

There are no publications for SETD3 Antibody (NBP1-88415).
By submitting your publication information earn gift cards and discounts for future purchases.

Reviews for SETD3 Antibody (NBP1-88415) (0)

There are no reviews for SETD3 Antibody (NBP1-88415). By submitting a review you will receive an Amazon e-Gift Card or Novus Product Discount.
  • Review with no image -- $10/€7/£6/$10 CAD/¥70 Yuan/¥1110 Yen
  • Review with an image -- $25/€18/£15/$25 CAD/¥150 Yuan/¥2500 Yen

Product General Protocols

Find general support by application which include: protocols, troubleshooting, illustrated assays, videos and webinars.

Video Protocols

WB Video Protocol

FAQs for SETD3 Antibody (NBP1-88415) (0)

There are no specific FAQs related to this product. Read our general customer & technical service FAQs.

Customers Who Bought This Also Bought

Contact Information

Product PDFs

Calculators

Concentration Calculator

The concentration calculator allows you to quickly calculate the volume, mass or concentration of your vial. Simply enter your mass, volume, or concentration values for your reagent and the calculator will determine the rest.

=
÷

Review this Product

Be the first to review our SETD3 Antibody - BSA Free and receive a gift card or discount.

Bioinformatics

Gene Symbol SETD3