SETD1A Antibody

Images

 
Immunocytochemistry/ Immunofluorescence: SETD1A Antibody [NBP1-81513] - Immunofluorescent staining of human cell line A-431 shows localization to nuclear speckles.
Immunohistochemistry-Paraffin: SETD1A Antibody [NBP1-81513] - Staining of human Pancreas shows moderate nuclear positivity in exocrine glandular cells.
Immunohistochemistry-Paraffin: SETD1A Antibody [NBP1-81513] - Staining of human pancreas shows low expression as expected.
Immunohistochemistry-Paraffin: SETD1A Antibody [NBP1-81513] - Staining of human testis shows high expression.
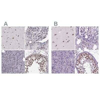
Orthogonal Strategies: Immunohistochemistry-Paraffin: SETD1A Antibody [NBP1-81513] - Staining in human testis and pancreas tissues using anti-SETD1A antibody. Corresponding SETD1A RNA-seq data are presented for ...read more
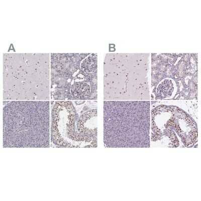
Independent Antibodies: Immunohistochemistry-Paraffin: SETD1A Antibody [NBP1-81513] - Staining of human cerebral cortex, kidney, pancreas and testis using Anti-SETD1A antibody NBP1-81513 (A) shows similar protein ...read more
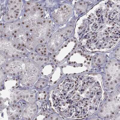
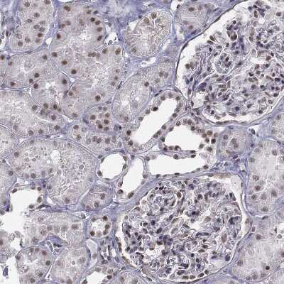
Immunohistochemistry-Paraffin: SETD1A Antibody [NBP1-81513] - Staining of human kidney.
Immunohistochemistry-Paraffin: SETD1A Antibody [NBP1-81513] - Staining of human cerebral cortex.
Immunohistochemistry-Paraffin: SETD1A Antibody [NBP1-81513] - Staining of human Cerebral cortex shows moderate nuclear positivity in neuronal and glial cells.
Immunohistochemistry-Paraffin: SETD1A Antibody [NBP1-81513] - Staining of human cerebral cortex, kidney, pancreas and testis using Anti-SETD1A antibody NBP1-81513 (A) shows similar protein distribution across tissues to ...read more
Immunohistochemistry-Paraffin: SETD1A Antibody [NBP1-81513] - Staining of human Kidney shows moderate nuclear positivity in cells in tubules and glomeruli.
Immunohistochemistry-Paraffin: SETD1A Antibody [NBP1-81513] - Staining of human Testis shows strong nuclear positivity in cells in seminiferous ducts.

Product Details

Summary
Product Discontinued
View other related SETD1A Primary Antibodies

Order Details


    • Catalog Number
      NBP1-81513
    • Availability
      Product Discontinued

    Can't find what you are looking for? Use our Antibody Concierge Service & we will help you locate your antibody!

    Or feel free to contact us for alternative products.

SETD1A Antibody Summary

Immunogen
This antibody was developed against Recombinant Protein corresponding to amino acids: AFGAFDQWWESKEEKAKPFQNAAKQQAKEEDKEKTKLKEPGLLSLVDWAKSGGTTGIEAFAFGSGLRGALRLPSFKVKRKEPSEISEASEEKRPRPSTPAEEDEDDP
Predicted Species
Mouse (97%), Rat (97%). Backed by our 100% Guarantee.
Isotype
IgG
Clonality
Polyclonal
Host
Rabbit
Gene
SETD1A
Purity
Immunogen affinity purified
Innovator's Reward
Test in a species/application not listed above to receive a full credit towards a future purchase.

Applications/Dilutions

Dilutions
  • Immunocytochemistry/ Immunofluorescence 0.25-2 ug/ml
  • Immunohistochemistry 1:10-1:500
  • Immunohistochemistry-Paraffin 1:50-1:200
Application Notes
For IHC-Paraffin, HIER pH 6 retrieval is recommended. ICC/IF Fixation Permeabilization: Use PFA/Triton X-100.
Publications
Read Publication using NBP1-81513.

Packaging, Storage & Formulations

Storage
Store at 4C short term. Aliquot and store at -20C long term. Avoid freeze-thaw cycles.
Buffer
PBS (pH 7.2) and 40% Glycerol
Preservative
0.02% Sodium Azide
Purity
Immunogen affinity purified

Alternate Names for SETD1A Antibody

  • histone-lysine N-methyltransferase SETD1A
  • hSET1A
  • KIAA0339EC 2.1.1.43
  • KMT2FSET1
  • Lysine N-methyltransferase 2F
  • SET domain containing 1A
  • SET domain-containing protein 1A
  • Set1
  • Set1/Ash2 histone methyltransferase complex subunit SET1
  • Set1A

Background

SET1A is a component of a histone methyltransferase (HMT) complex that produces mono-, di-, and trimethylated histone H3 at Lys4. The complex is the analog of the S. cerevisiae Set1/COMPASS complex (Lee and Skalnik, 2005 [PubMed 16253997]). Also see SET1B (MIM 611055).[supplied by OMIM]

Limitations

This product is for research use only and is not approved for use in humans or in clinical diagnosis. Primary Antibodies are guaranteed for 1 year from date of receipt.

Customers Who Viewed This Item Also Viewed...

NB500-171
Species: Hu, I, Mu, Rt, Xp, Ye
Applications: ChIP, IB, ICC/IF, IHC,  IHC-P, Single-Cell Western, WB
NBP3-27690
Species: Hu, Mu, Rt
Applications: ICC/IF, IHC, IP, WB
NBP3-03807
Species: Hu, Mu, Rt
Applications: ICC/IF, IP, WB
NB600-250
Species: Hu
Applications: IHC,  IHC-P, IP, WB
NB600-252
Species: Hu, Mu
Applications: ChIP, CHIP-SEQ, ICC/IF, IHC,  IHC-P, IP, WB
NBP2-67753
Species: Hu, Mu, Rt
Applications: Flow, ICC/IF, IHC,  IHC-P, IP, WB
AF5810
Species: Hu, Mu
Applications: IHC, WB
NBP1-28684
Species: Hu
Applications: IHC,  IHC-P, IP
NBP2-57428
Species: Hu
Applications: ChIP-EXO-SEQ, ICC/IF, WB
NB100-68209
Species: Hu
Applications: IP, KD, WB
NB100-1923
Species: Ce
Applications: IHC,  IHC-P, IP, WB
NB600-274
Species: Hu, Mu
Applications: IHC,  IHC-P, IP, WB (-)
NBP2-94643
Species: Hu, Mu, Rt
Applications: ELISA, IHC,  IHC-P, WB
AF808
Species: Mu
Applications: ELISA(Cap), ELISA(Det), ELISA(Sta), ICC, IHC, Neut, WB
NB100-2242
Species: Hu, Mu
Applications: ChIP, IP, WB
NB100-40845
Species: Hu, Mu
Applications: ChIP, CHIP-SEQ, IHC,  IHC-P, IP, KD, WB

Publications for SETD1A Antibody (NBP1-81513)(1)

Reviews for SETD1A Antibody (NBP1-81513) (0)

There are no reviews for SETD1A Antibody (NBP1-81513). By submitting a review you will receive an Amazon e-Gift Card or Novus Product Discount.
  • Review with no image -- $10/€7/£6/$10 CAD/¥70 Yuan/¥1110 Yen
  • Review with an image -- $25/€18/£15/$25 CAD/¥150 Yuan/¥2500 Yen

Product General Protocols

Find general support by application which include: protocols, troubleshooting, illustrated assays, videos and webinars.

Video Protocols

ICC/IF Video Protocol

FAQs for SETD1A Antibody (NBP1-81513) (0)

There are no specific FAQs related to this product. Read our general customer & technical service FAQs.

Secondary Antibodies

 

Isotype Controls

Additional SETD1A Products

Research Areas for SETD1A Antibody (NBP1-81513)

Find related products by research area.

Blogs on SETD1A

There are no specific blogs for SETD1A, but you can read our latest blog posts.

Contact Information

Product PDFs

Calculators

Concentration Calculator

The concentration calculator allows you to quickly calculate the volume, mass or concentration of your vial. Simply enter your mass, volume, or concentration values for your reagent and the calculator will determine the rest.

=
÷

Review this Product

Be the first to review our SETD1A Antibody and receive a gift card or discount.

Bioinformatics

Gene Symbol SETD1A